MDS and BM failure Flashcards

(30 cards)

1
Q

What is Myelodysplastic syndrome?

A

Group of aquired, haematological stem cells dysorder with
1. Functionally defective blood cells in (but hypercellular) bone marrow
2. Peripheral cytopenia

Also increased risk of progression into malignancy

How well did you know this?
1
Not at all
2
3
4
5
Perfectly
2
Q

What morphological features can be seen in MDS?
In
1. Neutrophils
2. Erythrocytes
3. Megakaryocyttes

A
  1. Neutrophils: pelger-huet anomality and hypogranularity
  2. Erytrhocytes: Most common abnormality macrocytosis, but erythroblasts in bone marrow very abnormal (sideroblastics can also occur)
  3. Dysplastic megakaryocytes (small or hypeolobulated in BMI)
  4. Increased proportion of blast cells (>5%)
How well did you know this?
1
Not at all
2
3
4
5
Perfectly
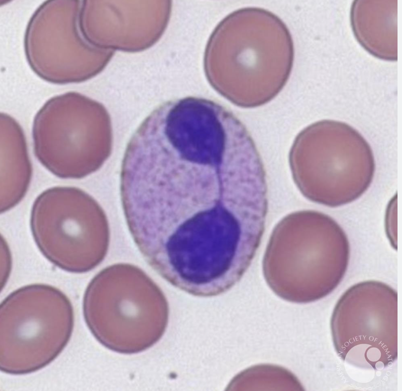
3
Q

What is Pelger-Huet anomaly?

A

Neutrophil where two nuclei are connected with very thinck bridge (+Hyposegmentation)

How well did you know this?
1
Not at all
2
3
4
5
Perfectly
4
Q

What factors carry a worse prognosis in MDS?

A
  • High BLast cell %
  • Poor karyotype
  • Low Hb
  • Low Platelets
  • Low Neutrophils
How well did you know this?
1
Not at all
2
3
4
5
Perfectly
5
Q

In MDS, the normal BM is replaced by clonal population of cells derived from a single mutated haematopoietic stemm cell that still proliferates but the cells mature abnormally.

In what ways is maturation abnormal?

A
  1. ineffective haemopoiesis (as more haemopoietic precursurs die –> explanation for hypercellular marrow + pancytopenia)
  2. Abnormal maturation = Dysplasia = myeloDYSPLASTIC syndrome
How well did you know this?
1
Not at all
2
3
4
5
Perfectly
6
Q

What are the complications/ problems of Myelodysplasia?

A
  1. Deterioration of Blood counts
  2. Development of AML (5-50%) <1year, depending on sub-type)
  3. AML from MDS has very poor prognosis, as often few/no normal stem-cells present to regenerate normal haematopoesis
How well did you know this?
1
Not at all
2
3
4
5
Perfectly
7
Q

What is typical clinical presentation of Myelodysplasic syndrome?

A

Usually due to cytopenia, depedant on the cell-lineage involved
1. Erythrocytes: breathlessness, anemaia, pallor
2. WCC: infections
3. Platelets: petechiae

How well did you know this?
1
Not at all
2
3
4
5
Perfectly
8
Q

What do pattients with melodysplasia die of?

A

Complication of cytopenias
* haemorrhoage
* infection etc

or progression to AML

How well did you know this?
1
Not at all
2
3
4
5
Perfectly
9
Q

What are curative treatment options of MDS?

A

Only curative treatment if BM transplant

potentailly intenstive chemotherapy

How well did you know this?
1
Not at all
2
3
4
5
Perfectly
10
Q

What is supportive treatment options for MDS?

A
  1. Blood product support
  2. Antimicrobial therapy
  3. Growth factors (Epo, G-CSF, TPO-Receptor Agonist)
How well did you know this?
1
Not at all
2
3
4
5
Perfectly
11
Q

What disease-modyfing medications can be used in the management of MDS?

A
  1. Immunosuppressive therapy
  2. e.g. Lenalidomide for specific sub-type of MDS (due to 5q)
  3. Oral chemotherapy: hydroxyurea if High WCC (but WCC usually low in MDS )
How well did you know this?
1
Not at all
2
3
4
5
Perfectly
12
Q

What place does Chemotherapy play in the treatment of MDS?

A

Minority of patients, as mainly disease of the elderly and intensive chemotherapy not indicated

How well did you know this?
1
Not at all
2
3
4
5
Perfectly
13
Q

What are primary causes of Bone Marrow Failure?

A
  1. Genetic Mutations (e.g. Fanconi Anaemia)
  2. Haematological diseases
How well did you know this?
1
Not at all
2
3
4
5
Perfectly
14
Q

What are causes of secondary BM failure?

A
  1. BM infiltration (Haematological, non-haematological)
  2. Radiation
  3. Drugs
  4. Chemicals (benzenes)
  5. Autoimmune
  6. Infections (Parvovirus, Viral Hepatitis, HIV)
How well did you know this?
1
Not at all
2
3
4
5
Perfectly
15
Q

What drugs cause BM failure?

A
How well did you know this?
1
Not at all
2
3
4
5
Perfectly
16
Q

What are the characteristics of aplastic anaemia?

What is the most common Aetiology?

Incidence

A
  1. 1/500.000
  2. Peak incidence 15-24 and >60

Aetiology

70% idiopathics
inherited
* Dyskeratosis congenita, Fanconi anaemia, Schachman-Diamond syndrome

Secondary e.g. malignant infiltration, radiation, chemo

17
Q

What is the pathophysiolofy of idiopathic Aplastic anaemia?

A

Failure of BM to produce blood cells: usually problem in stem cells (CD 34) and often auto-immune

18
Q

How is aplastic anaemia diagnosed?

A
  1. Blood count: cytopenia (AA= erythrocytes but can have other cytopenias)
  2. BM aspirate BM: Hypocellular
19
Q

What are some diffrentials for Pancytopenia and Hypocellular Marrow?

A

1. Aplastic anaemia
2. Hypocellular ALL
3. Hypoplastic MDS /AML
4. others very rare

20
Q

What are the Camitta criteria for diagnosis of Aplastic anaemia?

A

Need 2/3 of periheral blood features
1. Low reticulocytes
2. Low Neutrophils
3. Low Platelets

AND
Bone Marrow: <25 % cellular

21
Q

How is BM failure managed?

A
  1. Treat cause
  2. Supportive: Blood product support, ABX +/- iron chelation
  3. Biological stimmulants (EPO, TPO receptor agonist)
  4. Immunosuppression in auto-immune causes
  5. Stem cell transplant
22
Q

What are treatment option for Idiopathic AA?

A
  1. Immunosuppression
  2. Androgens
  3. Stem Cell transplant: generally for patients <40 years (prognosis with sibling donor: >70%)
23
Q

What are complications of immunosuppression in idiopathic AA?

A
  1. Relapse (35%)
  2. Clonal Haematological disorders
  3. Sold tumour risk ~3%
24
Q

What is Fanconi anaemia?

A

Most common cause of inherited aplastic anaemia

Autosomal recessive or X-linked inheritence of DNA cross-link repair defect

Several genes are associated with it

25
What is the clinical presentation of Fanconi anaemia?
Haematology: Pancytopenia + normocytic or macrocytic anaemia, Other abnormalities in 70% MSK: short statue, raidal and thumb abnormalitie Others: renal, caé au lait spots etc. 50% risk of AML or Myelodysplastic syndrome in early adulthood
26
What is Dyskeratosis congenita?
Inherited dysorder or telomere repair characterised by Abnormality * Abnormal skin pigmentation * Nail dystrophy * Leukoplakia + 85% have **Bone Marrow failure**
27
What is the prognosis of Fanconi anaemia?
Overall poor prognosis --> severe aplastic anaemia will often kill most people before the age of 10
28
What is the comparison between Dyskeratosis Congenita and idiopathic aplastic anaemia?
Clinically similar But no somatic features in aplastic canemia
29
What is the epidemiology of Myelodysplastic syndrome?
Usually idiopathic in middle-aged and eldery patients (Might be secondary to cytotoxic chemoatherapy in younger patients)
30
What is the difference between MDS and Myeloid Leukaemia?
Both have * replacement of normal bone marrow by clonal cells but * % of blast cells different * >5% in MDS * >20% in AML MDS is not yet classified as a AML/ CML (however now classified as malignant) but can lead to disease progression and tranformation to AML