Ascending sensory pathway through the brainstem
Spinothalamic
For the gag reflex, CN ____ does the sensing, whereas CN_____ does the moving
9.10
The cotricobulbar UMN pathway is bilateral for most, expect it’s crossed for 12 and 9; and ipsilateral for CN _____
XI
When the interal arcuate fibers are visible, what is the somatotopy of the medulla’s DCMLS?
Arms most dorsal
Thorax
Legs most ventral
(standing person)

Descending motor pathway traveling through the brainstem
Corticospinal
The two cranial nerves in the midbrain are ____ and ____
-3 and 4

Descending motor pathway that ends in the brainstem (synapses)
Corticobulbar
The fourth ventricle is shared between the ____ and _____
3 Sensory Cranial Nerves
1, 2, 8
The cerebral aqueduct is associated with the ______
Midbrain
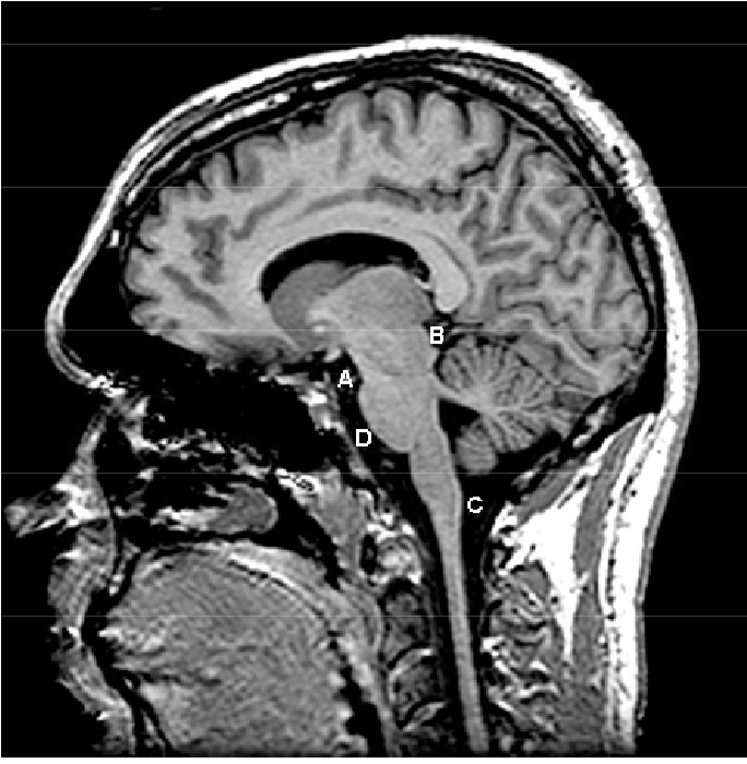
Name the 4 Cisterns

A: Interpeduncular
B: Quadrigeminal
C: Magna
D: Prepontine
Clinical significance of spacing regarding DCMLS and Spinothalamic in Medulla vs Midbrain
In the midbrain they are close together, so you would see complete loss of function. In the medulla they are split up, so you would see opposing functions being lost
One motor and one sensory pathway will travel through the medulla. Can you name these?
The motor cranial nerves all travel _____laterally
Ipsi
The descending sympathetic pathway (dilates eyes via pupillary dilator muscle), travels in the _____ brainstem
Lateral
4 Midline Cranial Nerve
3, 4, 6, 12

In regards to the rule of 4’s, once you know the midline nerves, you know that the three nerves associated with the pons are
5, 7, 8

One motor and one sensory pathway will make synapses in the medulla. Can you name them?
In the upper/rostral medulla’s pyramids, what are the 3 somatotropes from lateral to medial?

4 mixed cranial nerves
5, 7, 9, 10
In regards to sensory nuclei in the brain stem, they tend to be more _____
Lateral
In regards to motor nuclei in the brainstem, they are located more ______
Medial
Key difference in histo slide of closed medulla vs open medulla

Cranial Nerve signs are always ____lateral to the lesion
Ipsi