
Alcaligenes faecalis
Gram negative
Diplococcus
Slight yellow
Non-Motile
Catalase Positive
Small Colonies

Proteus mirabalis
Gram negative
Single Rod
Brownish Colony
Motile
Catalase Positive
Brown Agar

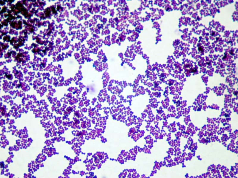
Staplycoccus epidermidis
Gram positive
Coccus clusters
Off whitish
Non-motile
Catalase Positive
Small colonies

Proteus vulgaris
Gram negative
Single Rod
Brownish colony
Non motile
Catalase Positive
Brown agar

Bacillus cereus
Gram positive
Single/ chains Rods
Off white colonies
Slightly motile
Catalase positive
Large crusty colonies

Staphylococcus aureus
Gram positive
Clusters of coccus
Cream/ golden colonies
Non motile
Catalase positive
Medium colonies