Challenges of viewing small objects
Obtaining sufficient contrast
Obtaining good resolution
Interpretation of the object being viewed
Types of microscopy used to study development
Light microscopy
Brightfield
Differential Interference Contrast (DIC)
Phase Contrast
Confocal Scanning Laser Microscopy (CSLM)
Transmission Electron Microscopy (TEM)
Light Microscopy: Brightfield
Brightfield
Uses visible light to detect small objects
Most well-known and widely-used research tool in biology
Advantages
Specimens can be stained to reveal
information about molecules
Slides can be stored for long periods of time
Disadvantage
Cannot easily look at live specimens
Image of seminiferous tubule from epididymus

Phase Contrast &
Differential Interference Contrast
Phase contrast and DIC offer improved contrast over standard brightfield light microscopy
Advantage
Ability to visualize and study living cells
Disadvantage
Does not work well with thick specimens

Confocal Scanning Laser Microscopy (CSLM)
Laser scans the specimen
Specimens labeled with fluorescent probes called fluorochromes (e.g. Alexa 488, Texas Red, DAPI, etc.)
Advantages
Sections can be combined into a 3-D image
Creates high-resolution optical sections
Eliminates background fluorescence
Can visualize thick specimens
Disadvantage
Photobleaching of fluorochromes
Usually can not view live specimens, the specimens must be fixed.

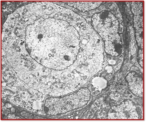
Transmission Electron Microscopy (TEM)
Allows to examine the detail at higher resolution and magnification than normal light microscopes,
Advantage
Angstrom unit resolution
Disadvantage
Takes 1-2 weeks to get image

Summary
Brightfield
Must fix cells, samples can be stained, and samples last a long time
Phase contrast / DIC
Can view live cells & increased contrast over brightfield microscopy
Confocal Laser Microscopy
Reduces and eliminates background fluorescence
3-D reconstruction of optical sections
But limited by photobleaching
Transmission Electron Microscopy
Extremely high resolution allows higher magnification (>100,000x)
Takes longer to prepare specimens than light microscopy