Early embryonic development (just a simple image)

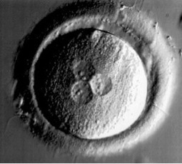
CLEAVAGE
THESE FIGS SHOWN PREIMPLANTATION EMBRYOS GOING THROUGH CLEAVAGE
OCCURS IN THE OVIDUCT
THE FINAL STAGE IS THE BLASTOCYST - NOTE TROPHOBLAST, INNER CELL MASS AND BLASTOCYST CAVITY
COMPACTION OCCURS DURING CLEAVAGE
FIRST DIFFERENTIATION EVENT DURING DEVELOPMENT
Cleavage and the first 4-5 days of development occur in the isthmus of the ampulla
Mitotic division. 2 cell
ZP stays intact until zygote is in the uterus. Cells called blastomeres (2 cell stage) divide, etc.
A mature blastocyst has about 250 cells
Inner cell mass vs. trophoblast
Cavity in middle=blastocyst cavity.
Older stage plastocyst has no zona pellucida
inner cell mass becomes the embryo
Trophoblast has extra embryonic tissue (esp. placenta)
cannot implant without the ZP around the blastocyst.

COMPACTION
UNCOMPACTED VS COMPACTED EMBRYO
DIAGRAM SHOWS MECHANISM OF COMPACTION
5 CELLS ORGANIZE ON PERIPHERY OF EMBYRO
THREE CELLS ARE LOCATED IN THE CENTER OF EMBRYO
IMPORTANT BECAUSE IT IS THE FIRST DIFFERENTIATION EVENT IN HUMAN DEVELOPMENT
Boundaries “zip up” harder to tell if cells are separate or together.
Cut through, 3 cells middle, 5 outside. 3 middle cells–>inncer cell mass——>30 cells
5 outside–> trophoblast——–>200 cells
No cavity at the 8 cell stage.
E-Cadherin is the molecule for cell to cell adhesion. Extracellular domains bind to other calhedrins. homophilic=binding where 2 protiens are the same.
There is an antibody treatment that blocks compaction.

ROLE OF CADHERIN IN COMPACTION
WHAT MOLECULE BRINGS ABOUT COMPACTION?
CELL ADHESION MOLECULES- CAUSE CELL TO STICK TO CELLS OR TO ECM
CADHERIN = CELL ADHESION MOLECULE
DIAGRAM OF DOMAINS OF CADHERIN
EXTRACELLULAR DOMAIN FUNCTIONS IN BINDING
CADHERIN IS CALCIUM DEPENDENT
HOMOPHILIC BINDING – CAUSES ADJACENT PMs TO ZIP UP

EXPERIMENTAL EVIDENCE THAT E-CADHERIN FUNCTIONS IN COMPACTION
antibodies specific to E-Cadherin blocks compaction

HOW DO YOU KNOW THE FUNCTION OF A PROTEIN??
RNA Gene KO, antibody, knock down mRNA (no translation)
synthesize complementary strands, mRNA destroyed. knock down.
BLASTOCYST FORMATION AND HATCHING
Strysin?
Sense mRNA strypsin increases mRNA—> hatches
no mRNA—>hatches
antisense mRNA to strypsin hybridizes to strypsin mRNA (gets destroyed)–> no hatching

Size of the Blastocyst

Another Huge Achievement in IVF 2010
Video microscopy and video bioinformatics
Study from Renee Peras lab provided new information that enables prediction of which embryos will develop into normal blastocysts by events occurring during the first two cleavages
IVF lab had > 100 zygotes. Let the oocytes divide on plate. Time lapse videos made from that.

Embryonic Stem Cells
Human embryonic stem cells come from the inner cell mass. We can use antibodies for the trophoblast or mictodissection to obtain them. Can be plated and passaged indefinitely.—Regenerative medicine/Clinical trials

IMPLANTATION DAY 6
BLASTOCYST ATTACHES TO ENDOMETRIUM - SOON AFTER HATCHING
ATTACHES TO INNER CELL MASS IS CLOSE TO ENDOMETRIUM
ENDOMETRIUM IS IN SECRETORY PHASE
HAS RICH SUPPLY OF BLOOD VESSELS
IMPLANTS IN POSTERIOR WALL 2/3 TIME
IMPLANTS IN ANTERIOR WALL 1/3 TIME
Implantation-best =posterior dorsal wall
inner cell mass needs to be adjacent to endometrium

IMPLANTATION DAY 7
INNER CELL MASS DIFFERENTIATES
FORMS HYPOBLAST
TROPHOBLAST INVADES ENDOMETRIUM
DIFFERENTIATES INTO:
SYNCYTIOTROPHOBLAST
CYTOTROPHOBLAST
BY END OF FIRST WEEK BLASTOCYST IS SUPERFICIALLY IMPLANTED IN ENDOMETRIUM
Two types of trophoblast: cytotrophoblast and syncytiotrophoblast (no plasma membranes. huge cell with many nuclei. Very invasive, fast, anchors blastocyst)
Inner cell mass becomes the bilaminar embryonic disc (epiblast+hypoblast)

WEEK 2 OF DEVELOPMENT (brief)
BILAMINAR EMBRYONIC DISC FORMS
EPIBLAST
HYPOBLAST
AMNION, CHORION, YOLK SAC,
CONNECTING STALK FORM
TROPHOBLAST DIFFERENTIATES
Inner cell mass becomes the bilaminar embryonic disc. (see above)

IMPLANTATION
EPIBLAST/HYPOBLAST
AMNION/AMNIOTIC CAVITY
HEUSER’SMEMBRANE/
PRIMARY YOLK SAC
SYNCYTIOTROPHOBLAST
LACUNAE
INTERSTITAL IMPLANTATION
Interstitial implantion: the blastocyst implants superficially, then burrows into the endometrium, becomes embedded in the uterine wall (endometrium)
Cavities form in the syncytiotrophoblast (lacunae) etc.

FORMATION OF THE CHORION
AND EXTRAEMBRYONIC MESODERM
EE RETICULUM
EE SPLANCHNIC MESODERM
EE SOMATIC MESODERM
CHORIONIC CAVITY
CHORION
UTEROPLACENTAL
CIRCULATION
(EE=ExtraEmbryonic)
Heuser’s membrane goes around the cytotrophoblast—>blastocyst cavity—>Primary holk sac
Syncytiotrophoblast grows-blood goes into some lacunae. This eventually becomes the placenta.
Pink between Heuser’s membrane and the cytotrophoblast is the extracellular matrix. Blue is the epiblast
yellowish color is the hypoblast
extraembryonic mesoderm–>Splachnic (gut…rises from Heuser’s membrane) and somatic (from the cytotrophoblast)
Cavities in the matrix will fuse to become one cavity–the Chorionic cavity. Chorion-wall distal to cavity
Placental tissues > embryo
cytotrophoblast-primary villi form into syncytoblast at the end of week two.
The primary yolk sac—>secondary holk sac
~50% of fertilized eggs last to the end of week 3.

FORMATION OF THE SECONDARY YOLK SAC
SECONDARY YOLK SAC
CONNECTING STALK
PRIMARY VILLI
SPACES FORM IN EE-MESODERM FORMING CHORIONIC CAVITY
EE MESODERM IS SLIT INTO 2 LAYERS SOMATIC AND SPLANCHNIC
CONNECTING STALK - NOT SPLIT
CHORION FORMED = EE SOMATIC MESODERM + TROPHOBLAST - THIS BECOMES FETAL PART OF PLACENTA
YOLK SAC GETS SMALLER
EMBRYO HAS NOT CHANGED MUCH - EXCEPT PROCHORDAL PLATE HAS FORMED

ABNORMAL DEVELOPMENT OF FIRST AND SECOND WEEK
ABNORMAL ZYGOTES/PEs
NON-SURVIVAL OF FERTILIZED OVA
ECTOPIC IMPLANTATION
TUBAL PREGNANCY
PLACENTA PRAEVIA
PE EMBRYOS MAY HAVE DEGENERATE CELLS ETC; MAY NOT IMPLANT; HAPPENS OFTEN
ABOUT 50% OF FERTILIZED OVA ARE LOST DURING FIRST 3 WEEKS
GENETIC PROBLEMS
CL MAY NOT FUNCTION PROPERLY
TUMORS OR LESIONS IN UTERUS
BLOCKED TUBES
ECTOPIC IMPLANTATION
MOST COMMON SITE =OVIDUCT
ABDOMINAL IMPLANTATION
DANGEROUS AND LIFE THREATENING TO MOTHER
ABDOMINAL PAIN, BLEEDING
MUST BE TREATED OR MOTHER CAN HEMORRHAGE
LEADING Cause OF MATERNAL DEATH DURING FIRST TRIMESTER
PLACENTA PREVIA - IMPLANTATION NEAR CERVIX
PLACENTA MAY BE SMALL
MAY RUPTURE PREMATURELY
NEEDS WATCHING
Placenta Previa: placenta blocks the cervix. could disengage prematurally.
Most ectopic pregnancies are in the oviduct, but sometimes in the abdominal cavity. It’s rare, but they can be carried to term.

Places where ectopic pregnancies can occur (image only)

TUBAL PREGNANCY images

HYDATIDIFORM MOLE
lots of vesicles (look like grapes)
2 variations:
PARTIAL HYDATIDIFORM MOLE
PARTIAL HYDATIDIFORM MOLES HAVE FEMALE AND MALE DNA

NOTE THE PARTIAL MOLE IS TRIPLOID
COMPLETE HYDATIDIFORM MOLE
TWO WAYS COMPLETE HYDATIDIFORM MOLE MAY OCCUR
FERTILIZATION BY 2 SPERM WITH LOSS OF FEMALE PRONUCLEUS
FERTILIZATION BY ONE SPERM. FEMLAE PRONUCLEUS IS LOST AND SPERM DUPLICATES ITS DNA TO PRODUCE DIPLOID CELL
NOTE: IN BOTH CASES THE ZYGOTE CONTAINS DNA ONLY FROM MALE

CHORIOCARCINOMA image only

GENOMIC IMPRINTING
EXPERIMENTS ON LEFT SHOW WHAT DEVELOPS IF GENOME IS DERIVED ALL FROM MALE OR ALL FROM FEMALE
WHAT DO THESE RESULTS SUGGEST?
SOME GENES IN HUMANS ARE IMPRINTED - THINK OF IMPRINTING AS SILENCING
DURING MEIOSIS SOME GENES IN MALES GET TURNED OFF - SAME GENE STAYS ON IN FEMALES
VICE VERSA ALSO OCCURS
IF ZYGOTE INHERITS BOTH MATERNAL AND PATERNAL DNA IT IS OK
IF IT GETS ALL DNA FROM ONE GENDER, SOME GENES WILL NOT WORK AND DEVELOPMENT DOES NOT GO VERY FAR
