name the 2 major fissures and 1 minor fissure
R oblique fissue (major), L oblique fissure (major), and R horizontal fissure (minor)

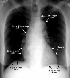
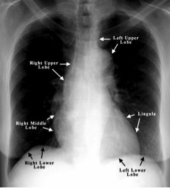
what lobes does the R oblique fissure separate
R upper and middle lobes from the R lower lobe
what level does R oblique fissure begin, where does it extend, where does it end
begins T5
extends obliquely down and forward
ends at anterior pleural gutter of diaphragm

Which is more vertical: right oblique fissure or left oblique fissure
left oblique fissure

describe the radiology of the R oblique fissure
what does the right horizontal fissure separate
beginning, extension, and ending of R horizontal fissure
R horizontal fissure radiology

what does the L oblique fissure separate
beginning, extension, and end of L oblique fissure

To Differentiate Right from Left:
location of RUL
apical, anterior, & posterior

locate RML
lateral & medial

locate RLL
superior, medial basal, anterior basal, lateral basal, & posterior basal

locate LUL
apical-posterior, anterior, superior lingular, & inferior lingular
o corresponds to RML
o LUL is analogous to RUL and RML combined

locate LLL
superior, medial basal, anterior basal, lateral basal, posterior basal
o LLL is the same as LRL

location of lingular lobes
located in left upper lobe, bordering the heart

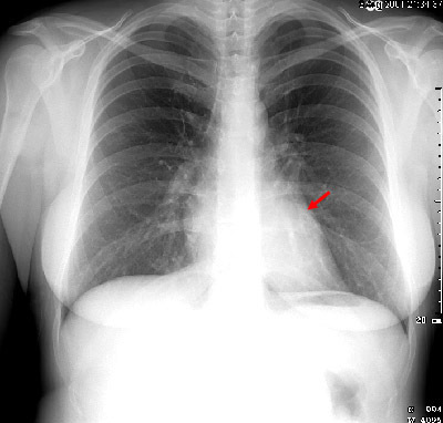
anatomical parts responsible for the cardiac contours on the PA chest film
anterior: Right heart border, left heart border, ascending aorta
posterior: Descending thoracic aorta, aortic knob (posterior portion of aortic arch)

Which views are included in routine plain film examination of the chest?
Minimum Diagnostic Series (both on full inspiration):
How does a thoracic spine plain film study differ from a chest study?
Chest Technique: 72” FFD, High kVp, Low mA and short time
• Chest films must include all air spaces of the lungs vs. tightly collimated thoracic spine film
Positioning: PA Chest vs. AP Thoracic
Left Lateral Chest vs. Either Lateral Thoracic
What condition or anatomical region is best demonstrated by the apical lordotic view?
Lung Apices: apical refers to the anatomy and lordotic refers to the patient position/technique
Is the routine chest x-ray taken with inspiration or expiration?
Routine CXR = Full inspiration
o Breath held on inspiration
o Expands lung fields
o depresses diaphragm
o Provides contrast (air vs. tissue)
Describe the difference in appearance between inspiration and expiration chest films.
Need good inspiration for chest film. You should see first 10 ribs posteriorly and a breath in will lower the diaphragm. Without a deep inspiration the heart will look enlarged and the lungs will be condensed and more radio-opaque.
What condition is better demonstrated upon expiration than inspiration?
Pneumothorax – upright expiration is more sensitive. Look for mediastinal displacement. (Atelectasis maybe though too?)
