obligate intracellular bacteria
can only grow and multiply in eukaryotic cells, not as free-living organisms
facultative - can both grow inside and outside cells
Rickettsiaceae
family of small Gram-negtive coccobacilli
strict intracellular pathogens
transmission is often by insect vectors
four genera are medically important - Rickettsia, Coxiella, Ehrlichia, Anaplasma
Bartonella spp.
formerly thought to be closely related to the Rickettsiaceae
now classified as distinct from this family
actually facultative intracellular bacteria
two medically important species - B. henselae and B. quintana
cause cat scratch disease and bacillary angiomatosis
Coxiella burnetii
cause of Q fever - fever, pulmonary infiltrates, NO rash
harbored by sheep and other animals - especially abundant in the placenta and fetal membranes
spread by aerosols during birth of lambs or other animals or through ingestion of unpasteurized milk
Ehrlichia chaffeensis and Anaplasma phagocytophilum
both transmitted by ticks
Ehrlichia infects monocytes and macrophages whereas Anaplasma infects neutrophils
cause similar infections called ehrlichiosis and anaplasmosis - patients present with fever, ehadaches, and myalgias, thrombocytopenia, and leukopenia
Chlamydia
three medicall important kinds - C. trachomatis, C. pneumoniae, and C. psittaci
complicated extracellular and intracellular life cycle - elementary body (EB) and reticulate body (RB)
mycoplasma
NOT obligate intracellular bacteria but are discussed here because they cause disease very similar to that of Chlamydia
smallest organisms that can be free-living in nature and self-replicating
common cause of community-acquired pneumonuia
three most important spirochetes
Borrelia
two species are medically improtant:
Borrelia burgdorferi (Lyme disease, tick transmission to humans)
B. recurrentis (relapsing fever, transitted to humans through ticks and lice)
Treponema
causes syphilis
Leptospira
Leptospira interrogans - aerobic spirochete, causes infections in a variety of animals such as rats, cattle, and dogs
transmitted to humans following exposure to water contaminated with animal urine - ingestion, through cuts in the skin, exposure of conjunctiva
primary phase - fever, chills, headache, and muscle pains as the organism disseminates throughout the bloodstream, symptoms reside after a week as bacteria are cleared from the bloodstream
secondary phase - 1-3 days later recurrence of symptoms, 15% of patients will develop meningitis
effective treatments - tetracycline/doxycycline, penicillin, amoxicillin/ampicillin, erythromycin
Mycobacteria
Gram-positive structure but stains acid-fast
60% lipids in cell envelope (mycolic acid)
most grow very slowly
cause chronic disease with insiduous onset
Micobacterium tuberculosis
facultative intracellular organism - strictly aerobic, usually only infects humans
causes tuberculosis
Micobacterium tuberculosis determinants of pathogenicity
exposure, infection and disease
coughing person with pulmonary tuberculosis gives off aerosolized droplets
bacteria in the aerosol particles are taken up by alveolar macrophages when enhaled, survival and multiplication within macrophages -> infection
organism survives in a phagosome by preventing fusion with lysosome
spreads to local lymph nodes, disseminates to remote sites, eventually controlled but not eradicated by the host immune response
cellular immune response is key, delayed type hypersensitiveity
reactivation occurs in 10% of infected patients, 5% in the first 2 years and 5% during the rest of the person’s life
reactivation tuberculosis
most frequently involves the lung, bu tmay occur at any site
reactivation of TB results int he classic signs and symptoms of TB:
fever
night sweats
weight loss
upper lobe pulmonary lesions if reactivation is in the lungs
leads to cough that spreads the organism to the next host
Micobacterium tuberculosis
Micobacterium tuberculosis histopathology
cellular immune response - recruitment of mononuclear cells -> amorphous collection of macrophage,s monocytes, and neutrophils
macrophages differentiate in to multinucleated giant cells, foamy macrophages, and epithelioid macrophages
lymphocytes recruited to site -> surrounds macrophages
fibrous layer forms around macrophages -> now called granuloma
dying macrophages release toxic products -> necrosis of the center of the granuloma -> “caseating granuloma”
bacteria survive within the caseous material
granuloma ruptures into airway -> bacteria spilled into the airways -> coughed out into the environment

Micobacterium tuberculosis bacterial factors
mycolic acid and liupids - unique cell envelope lipids essential for survivial of the organism in its host
these lipids may alter the host immune response to M. tuberculosis
slow growth (12-24 horu doubleing time) leads to antibiotic resistance
Micobacterium tuberculosis clinical disease
chronic disease, two types of disease
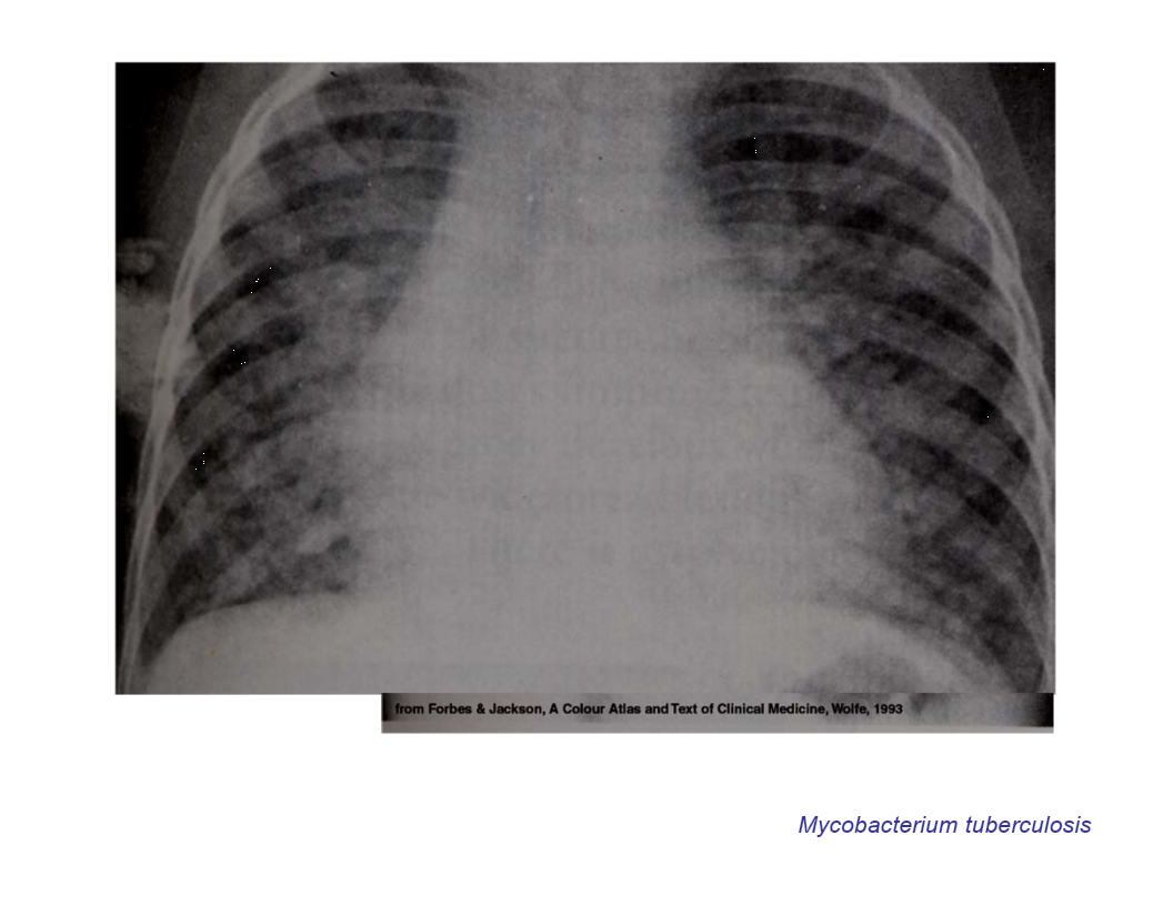
pulmonary TB:
chronic productive cough with blood0tinged sputum
cavities or infiltrates are often seen in the apex of the lung
extrapulmonary TB:
disease may occur in other organs and sites
lymph nodes, pleura, genitourinary tract, bones and joints, meninges, and peritoneum
particularly commin in HIV-infected patients

Pott’s DIsease
TB of the spine

Miliart TB
widely disseminated TB not controlled by the immune system
may follow primary or reactivation tuberculosis
cough may or may not be present
hepatomegaly, splenomegal, and lymphadenopathy are common
frequently, CXR reveals a miliary reticulonodular (snowstorm) pattern
sputum AFB smears are usually negative
skin PPD testis negative in approximately 1/2 of cases

Mycobacterium tuberculosis diagnostic tests
tuberculin skin testing
interferon-gamma release assays (IGRAs)
Tuberculin skin testing
tuberculin consists of heat-stable proteins liberated into liquid culture media
purified protein derivative (PPD) of tuberculin is used to skin test individuals
PPD is injected intradermally -> eviddence of a delayed-type hypersensitivity reaction (induration) is sought after 48-72 hours
disadvantages - cross-reacts with BCG vaccine, cross-reacts with some atypical mycobacteria, requires follow-up visit to check result
Mycobacterium tuberculosis
interferon-gamma release assays (IGRAs
alternative to PPD
patient’s lymphocytes incubated with M. tuberculosis antigens
if patient is infected with M. tuberculosis, lymphocytes will produce interferon-gamma, which is detected by ELISA
does not cross-react with most other Mycobacteria spp. or BCG vaccination
Mycobacterium tuberculosis
Gold standard for diagnosis of TB
growth of M. tuberculosis from clinical specimens such as sputum
Lowenstein-Jensen medium (60% homogenzed egg with malachite green to inhibit growth of other bacteria)
growth is very slow - 3-6 weeks of incubation
new system use radio-labeled palmitic acid - metabolized to liberate radio-labeled CO2 -> labeled CO2 can be detected long before colonies are visible
nucleic acid probes - rapidly speciate growing cultures
Mycobacterium tuberculosis