What is the structure in between the aortic valve and mitral valve?
Intervalvular Fibrosa

Name the papillary muscles of the mitral valve.
1. Anterolateral
2. Posteromedial
Which papillary muscle is likely to rupture and why?
Posteromedial muscle blood supply: Solo blood supply = right coronary artery - posterior interventricular artery (RCA) More likely to rupture (70%) of patients
Anterolateral muscle blood supply: left anterior descending artery - diagonal branch (LAD) and left circumflex artery - obtuse marginal branch (LCX)
What are the other synonymous names for mitral valve Commissures?
Anterior Commissure = Anterior - Lateral Commissure
Posterior Commissure = Posterior - Medial Commissure
What is the normal “Short Axis” measurements of the mitral valve in the Mid Esophageal Long Axis view during end-systole?
ME LAX Normal End Systolic Annulus <36 mm

Why is the mid esophageal long axis the best view for mitral valve high axis measurements?
*Hint: 3 reasons*
2. Best place to measure vena contracta
What is the best view to measure the long axis of the mitral valve?
ME Commissural View
What is the normal “Long Axis” measurement of the mitral valve annulus during end-systole?
<46 mm

What view of the Mitral Valve is seen in the mid esophageal at approximately 0 - 30 degrees?
ME 4 chamber

What view of the Mitral Valve is seen in the mid esophageal at approximately 60 degrees?
ME Commissural View

What scallops are seen in the commissural view of the mitral valve?
P1 = Right
A2 = Center
P3 = Left

What view of the Mitral Valve is seen in the mid esophageal at approximately 90 Degrees?
Mid Esophageal 2 chamber

What view of the Mitral Valve is seen in the mid esophageal at approximately 120 degrees?
Mid Esophageal Long Axis

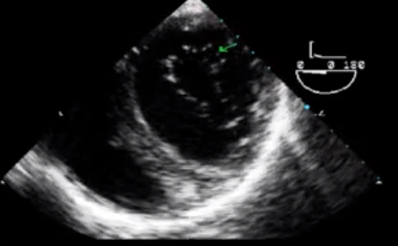
What view is seen here?

Basal Short Axis View

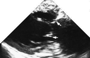
What view is seen here?

Transgastric 2 chamber view
Mitral Valve Subvalvular Apparatus

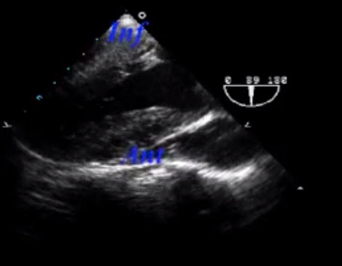
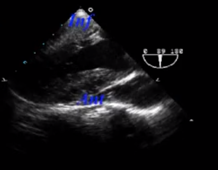
What walls of the heart are shown here?

INFERIOR = CLOSE TO THE PROBE
ANTERIOR = AWAY FROM THE PROBE

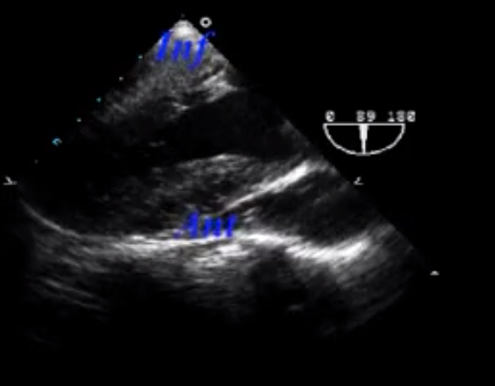
What papillary muscle is seen here?

Posteromedial Papillary Muscle

What does induction of general anesthesia do to the severity of MR?
Loading conditions change (Afterload and Preload drop)
Severity of MR Underestimated
What is the most common cause of MR in the west?
Myxomatous Degeneration
Myxomatous degeneration is a process that occurs when the valve becomes thickened with formation of small nodules on the edges of the leaflets. This prevents complete closing of the valves and as a result blood can flow backward into the left atrium. The resultant backflow is called mitral regurgitation.
What is the most common cause of MR in developing nations?
Rheumatic Disease
Besides myxomatous degeneration and rheumatic disease, what are some causes of MR?
Ischemia (Pap Muscle Dysfunction and/or rupture)
Cardiomyopathy (Dilated vs. idiopathic hypertrophic subaortic stenosis)
Endocarditis
Congenital (cleft anterior leaflet with AV Canal defect)
Connective Tissue Diseases (SLE, RA, Marfan’s)
Label the Papillary muscles in the TG SAX Mid-Papillary TEE view

Label the Papillary muscles in the Mid Commissural View

What is the Best place to look for MV Prolapse or excessive leaflet motion?
ME LAX (high point of the annulus)