MLA Paper 1 Flashcards

(41 cards)

1
Q

motor neuron disease: types

typically LMN signs in arms and UMN signs in legs
in familial cases the gene responsible lies on chromosome 21 and codes for superoxide dismutase

A

Amyotrophic lateral sclerosis (50% of patients)

Primary lateral sclerosis
* UMN signs only

Progressive muscular atrophy
* LMN signs only
* affects distal muscles before proximal
* carries best prognosis

Progressive bulbar palsy
* palsy of the tongue, muscles of chewing/swallowing and facial muscles due to loss of function of brainstem motor nuclei
* carries worst prognosis

How well did you know this?
1
Not at all
2
3
4
5
Perfectly
2
Q

Upper vs lower motor neuron signs

A
How well did you know this?
1
Not at all
2
3
4
5
Perfectly
3
Q

common clinical sign that may be found with a mid shaft humeral fracture

A

Wrist drop
- radial nerve runs in the radial groove of the mid shaft of the humerous
- very vulnerable to damage in a mid shaft fracture

Axillary nerve located near proximal humerus !

How well did you know this?
1
Not at all
2
3
4
5
Perfectly
4
Q

this type of medication has the strongest evidence base for reducing relapse in multiple sclerosis

A

Natalizumab : monoclonal antibody

Note: amantadine can reduce fatigue

antagonises alpha-4-beta-1 integrin found on surface of leucocytes - reducing migration of leukocytes across the blood brain barrier

How well did you know this?
1
Not at all
2
3
4
5
Perfectly
5
Q

Multiple sclerosis: specific problems and management

A

1. Fatigue –> amantadine , mindfullness training and CBT

2. Spasticity –>
* 1st line:baclofen & gabapentin
* 2nd line: diazepam, dantrolene and tizanidine, physio

3. Bladder dysfunction
* urgency, incontinence, overfloq?
* USS
* If significant residual volume –> intermittent self-catheterisation
* If no significant residual volume –> anticholingerics may improve

4. Oscillopsia (visual fields appear to oscillate)
* 1st line: Gabapentin

How well did you know this?
1
Not at all
2
3
4
5
Perfectly
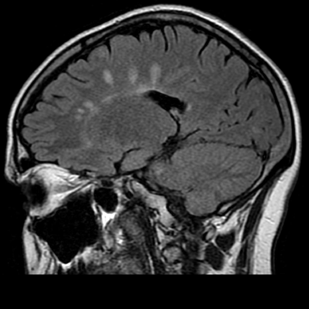
6
Q

what type of imaging should be used to view demyelinating lesions?

A

MRI w/ contrast

Will show plaques representing areas of demyelination

MRI showing multiple white matter plaques perpendicular to the corpus callosum --> DAWSONs fingers!
How well did you know this?
1
Not at all
2
3
4
5
Perfectly
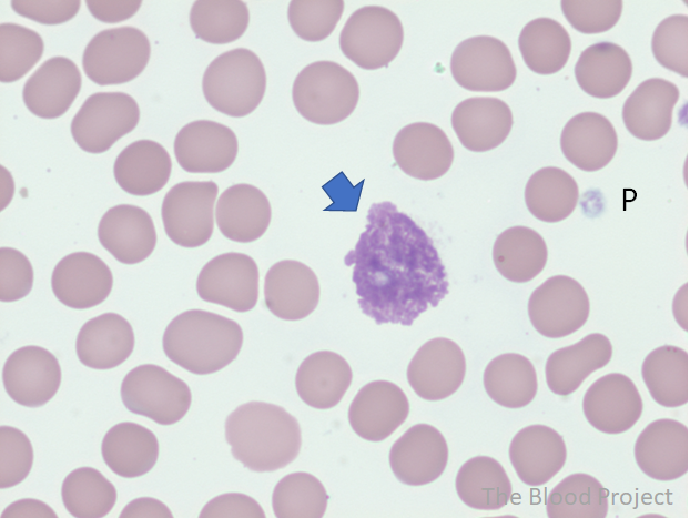
7
Q

‘Tear drop’ poikilocytes are seen in:

A

Myelofibrosis

Seen within the cytoplasm of myeloid blast cells

How well did you know this?
1
Not at all
2
3
4
5
Perfectly
8
Q

Smear cells are typically seen in

A

chronic lymphocytic leukaemia (CLL)

they are remnants of cells and have no identifiable plasma membrane or nuclear structure

How well did you know this?
1
Not at all
2
3
4
5
Perfectly
9
Q

these type of cells are generally found in hereditary spherocytosis or autoimmune haemolytic anaemia

A

SPHEROCYTES

Sphere shaped cells rather than donut shaped , more fragile than normal red blood cells.

How well did you know this?
1
Not at all
2
3
4
5
Perfectly
10
Q

these type of cells are generally seen within iron-deficiency anaemia or hyposplenism

A

TARGET CELLS

Increase in red cell surface area or decrease in intracellular haemoglobin

How well did you know this?
1
Not at all
2
3
4
5
Perfectly
11
Q

first line treatment in otitis externa

A

Ciprofloxacin and dexamethasone

Topical antibiotics with or without steroid

How well did you know this?
1
Not at all
2
3
4
5
Perfectly
12
Q

Chicken pox exposure in pregnancy:

A
  1. Ask patients chicken pox history
  2. check maternal blood for varicella antibodies
  3. If confirmed not immune then considr varicella immunoglobulin (effective up to 10 days post exposure, given at any point)
  4. oral aciclovir now 1st choice of PEP (day 7 to day 14 after exposure)
How well did you know this?
1
Not at all
2
3
4
5
Perfectly
13
Q

Infective endocarditis in intravenous drug users most commonly affects

A

tricuspid valve

How well did you know this?
1
Not at all
2
3
4
5
Perfectly
14
Q

If a mild-moderate flare of distal ulcerative colitis doesn’t respond to topical (rectal) aminosalicylates then what should be added

A

oral aminosalicylates

e.g. mesalazine / sulphalazine

How well did you know this?
1
Not at all
2
3
4
5
Perfectly
15
Q

What test is used for the diagnosis of T1DM?

A

Random plasma glucose >11 is diagnostic for T1DM or fasting plasma glucose > 7

How well did you know this?
1
Not at all
2
3
4
5
Perfectly
16
Q

This

classically presents with a sore throat, fever, headache, bright red tongue and a coarse, red rash

A

SCARLET FEVER

How well did you know this?
1
Not at all
2
3
4
5
Perfectly
17
Q

Scarlet fever: management

A

10 days of phenoxymethylpenicillin or azithromycin (if pen allergic)

Notifiable disease.
Children can reutrn to school 24 hours after commencing antibiotics

18
Q

This condition presents with an erythematous polymorphous rash, strawberry tongue, cervical lymphadenopathy, bilateral conjunctivitis, oedema, erythema, and skin peeling of the hands and feet.

Patients may have a fever lasting 5 days

A

KAWASAKI DISEASE

19
Q

this presents with a diffuse erythematous facial rash appearing on one or both cheeks (resembling a ‘slapped cheek’) in children

A

Parvovirus b19

20
Q

Critieria for discharge post asthma exacerbatio

A
  1. Been stable on their discharge medication for 12-24 hours
  2. Inhaler technique checked and recorded
  3. PEF > 75% of best or predicted
21
Q

this is a test for infectious mononucleosis, glandular fever, detecting the Epstein Barr virus

A

Monospot test

22
Q

these medications are known to exacerbate plaque psoriasis

A

Beta blockers

B - beta blockers
L - lithium
A - ACEi
N - NSAIDs
Q - quinines

23
Q

Prophylaxis for spontaneous bacterial peritonitis:

A

Patients with ascites (and protein concentration <= 15 g/L) should be given oral ciprofloxacin as prophylaxis

Treat - Cefotaxime
Prevent - Ciprofloxacin

24
Q

How might you reduce the risk of hypertensive disorders in pregnancy?

A

women should take 75-150mg daily from 12 weeks gestation until birth

> 1 high risk factors
2 moderate risk factors

25
pulseless VT management
CPR and Defibrillation
26
VT with a pulse
Synchronised DC cardioversion
27
Polymyalgia rheumatic: tx
Tx --> prednisolone e.g. 15mg/od Patients typically respond dramatically to steroids! Weakness is not considered a symptom of polymyalgia rheumatica --> its mainly due to pain inhibition
28
Patients with heart failure with reduced LVEF should be given
beta blocker and an ACE inhibitor as first-line treatment
29
Drugs that may lead to serotonin syndrome?
STEAM S: SSRI T: Tramadol E: Ecstasy A: Amphetamines M: MAOi
30
lithium toxicity: management
1. **Mild-moderate** = volume resuscitation with normal saline 2. **Haemodialysis** in **severe** toxicity 3. Sodium bicarbonate (increasing alkalinity of urine thus promotes lithium excretion)
31
Dialysis Indications
A - Acidosis E - Electrolyte (Refractory Hyperkalaemia) I - Ingested Toxins (SLIME = Salicylates, Lithium, Isopropanol, Methanol/Mg Laxatives, Ethylene Glycol) O - Refractory oedema U - Uraemic Encephalopathy/Carditis
32
What is subclinical hypothyroidism?
TSH raised, but T3,T4 normal. No obvious symptoms. Management 1. TSH > 10 and free thyroxine normal range : offer levothyroxine if TSH level is >10 on 2 separate occasions 3 months apart 2. TSH between 5.5-10 and free thyroxine w/i normal range a) < 65 years then consider 6 month trial of levothyroxine if TSH level between .5-10 on two separate occasions three months apart AND hypothyroidism symptoms 3. If older: (over 80) then watch and wait strategy is used
33
If a patient with ulcerative colitis has had a severe relapse or >=2 exacerbations in the past year they should be given either ............. or ............. to maintain remission
Oral azathioprine or oral mercaptopurine to maintain remission ## Footnote Topical aminosalicylate may be used to induce and maintain remission of mild to moderate ulcerative colitis.
34
Painful shin rash + cough → sarcoidosis? What abnormality is most likely to be seen on bloods:
serum ACE level
35
Irreducible, painful lump inferolateral to the pubic tubercle → ?
strangulated femoral hernia
36
triad of falling BP, rising JVP and muffled heart sound is characteristic of
BECKS TRIAD CARDIAC TAMPONADE Mx --> urgent pericardiocentesis
37
Warfarin drug interactions
**Inducers:** “SCARS” * **S** → Smoking * **C** → Chronic alcohol intake * **A** → Anti- epileptics: Phenytoin, Carbamazepine, Phenobarbitone (all barbiturates) * **R** → Rifampicin * **S** → St John's Wort **Inhibitors:** “ASS-ZOLES” * **A** → Antibiotics: Ciprofloxacin, Erythromycin, Isoniazid * **S** → SSRIs: Fluoxetine, Sertraline * **S** → Sodium Valproate * - **Zoles** → Omeprazole, Ketoconazole, Fluconazole
38
Galeazzi vs Monteggia's fracture
* G: Galeazzi - R: radius - I: inferior * M: Monteggia - U: ulna - S: superior
39
Acute heart failure with hypotension: mx
inotropic support on the high dependency unit e.g. dobutamine
40
INR 5.0-8.0 (no bleeding) -
withhold 1 or 2 doses of warfarin, reduce subsequent maintenance dose
41
INR Major bleeding (e.g. variceal haemorrhage, intracranial haemorrhage)
* Stop warfarin * Give intravenous vitamin K 5mg * Prothrombin complex concentrate - if not available then FFP*