Module 1 Flashcards

(48 cards)

1
Q

V ou F : la cathode est le pôle positif tandis que l’anode est le pôle négatif.

A

F. contraire
- cathode = pôle négatif
- anode = pôle positif

=> les électrons sont attirés par le positif

How well did you know this?
1
Not at all
2
3
4
5
Perfectly
2
Q

V ou F : le filament qui compose la cathode constitue la source d’électrons qui bombarderont l’anode pour produire des rayons X. Le filament est composé de tungstène.

A

V

How well did you know this?
1
Not at all
2
3
4
5
Perfectly
3
Q

V ou F : lorsque soumis à un courant électrique, le filament chauffe, procurant de l’énergie aux électrons et causant la libération d’un petit nuage d’électrons autour de ce dernier.

A

V

How well did you know this?
1
Not at all
2
3
4
5
Perfectly
4
Q

Qu’est-ce que représente le mA?

A

l’amplitude de courant => détermine le nombre d’électrons qui est libéré, une propriété importante lors de l’exposition radiographique.

How well did you know this?
1
Not at all
2
3
4
5
Perfectly
5
Q

La plupart des cathodes ont 2 filaments, un gros et un petit. Quelle est la différence entre ces 2 derniers.

A
  • GROS FILAMENT : résiste + à la chaleur, mais est moins précis. Il sert de gros point focal et est utilisé lors d’expositions élevées.
  • PETIT FILAMENT : sert de petit point focal et son utilisation est privilégiée lorsqu’un détail radiographique plus précis est désiré.
How well did you know this?
1
Not at all
2
3
4
5
Perfectly
6
Q

Qu’est-ce qu’une parabole?

A

=> renferme les filaments
=> elle est composée de nickel, limite l’étendue du nuage d’électrons facilitant la direction du faisceau d’électrons vers l’anode
=> en son absence, les électrons auraient tendance à bombarder une plus grande surface de l’anode diminuant la précision

How well did you know this?
1
Not at all
2
3
4
5
Perfectly
7
Q

À quoi sert le filtre?

A

Dès leur sortie, les rayons X de basse énergie, inutiles à la génération d’image radiographique et contribuant seulement à augmenter la dose de radiation atteignant le patient, sont absorbés par le filtre.

How well did you know this?
1
Not at all
2
3
4
5
Perfectly
8
Q

De quoi est composée l’anode?

A

tungstène ; résiste à la chaleur et possède un nb atomique assez élevé pour générer des rayons X d’énergie appropriée lorsque bombarbé par des électrons

How well did you know this?
1
Not at all
2
3
4
5
Perfectly
9
Q

V ou F : l’anode rotative nécessite l’utilisation de facteurs d’exposition moins élevés.

A

F. Anode rotative = superficie bcp plus grande que l’anode stationnaire distribuant davantage de chaleur et conséquemment, l’utilisation de facteurs d’exposition plus élevés.

How well did you know this?
1
Not at all
2
3
4
5
Perfectly
10
Q

V ou F : les anodes rotatives sont souvent utilisées en pratique ambulatoire des GA tandis que les anodes stationnaires sont plus utilisées chez les animaux de cie.

A

F. Contraire.
- anode rotative : petits animaux (machines radio immobiles)

  • anode stationnaire : ambulatoire GA (appareils portatifs)
How well did you know this?
1
Not at all
2
3
4
5
Perfectly
11
Q

Quels sont les 2 types d’interaction lorsqu’il y a collision des électrons sur l’anode?

A
How well did you know this?
1
Not at all
2
3
4
5
Perfectly
12
Q

V ou F : les interactions de freinage génèrent la majorité des rayons X, et elles se produisent avec l’utilisation de kVp élevé. Tandis que la radiation caractéristique est responsable d’une minorité des rayons X du faisceau.

A

V

How well did you know this?
1
Not at all
2
3
4
5
Perfectly
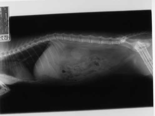
13
Q

Cette radio est-elle sur-exposée ou sous-exposée?

A

Sur-exposée

=> rx trop foncée

How well did you know this?
1
Not at all
2
3
4
5
Perfectly
14
Q

Quels sont les 3 paramètres qui déterminent l’énergie et le nombre de rayons X?

A
  • la tension (kVp)
  • l’intensité (mA)
  • le temps (s)
How well did you know this?
1
Not at all
2
3
4
5
Perfectly
15
Q

Quel est le rôle du kVp?

A
  • dicte la différence de potentiel entre la cathode et l’anode et donc la vitesse et l’énergie des électrons provenant de la cathode
  • l’énergie des électrons est directement liée à celle des rayons X produits suite au bombardement des électrons sur l’anode
How well did you know this?
1
Not at all
2
3
4
5
Perfectly
16
Q

Quel est le rôle du mA?

A
  • dicte le nombre d’électrons qui bombarderont l’anode et donc le nombre de rayons X à l’intérieur du faisceau susceptibles d’atteindre le patient
How well did you know this?
1
Not at all
2
3
4
5
Perfectly
17
Q

Complétez : Les stations utilisant un bas mA possèdent généralement un A.____ filament, alors que celles qui permettent un mA élevé, possèdent généralement un B.____ filament.

A

A) petit
B) gros

How well did you know this?
1
Not at all
2
3
4
5
Perfectly
18
Q

V ou F : plus le temps d’exposition sélectionné est long, plus le nombre de rayons X produits est grand et plus les chances que l’image radiographique noircisse est grand.

A

V

How well did you know this?
1
Not at all
2
3
4
5
Perfectly
19
Q

V ou F : lorsqu’un animal est en mouvement ou respire rapidement, un temps d’exposition trop long résulte en une image floue.

A

V

How well did you know this?
1
Not at all
2
3
4
5
Perfectly
20
Q

V ou F : un temps d’exposition plus long implique un nombre plus élevé d’électrons libérés de la cathode.

21
Q

Quelles sont les 3 interactions qui peuvent survenir entre le patient et les rayons X?

A

1) la transmission
2) l’absorption
3) les radiations secondaires (scatter)

=> ces 3 interactions vont influencer l’apparence de l’image

22
Q

Qu’est-ce que la transmission?

A

=> il s’agit de l’absence d’interaction entre le rayon X et le patient : le rayon X passe tout droit et frappe le détecteur ou l’écran (dans une cassette standard), lui déposant sa trace, sous forme d’un petit point (ou pixel en numérique) noir.

23
Q

Qu’est-ce que l’absorption?

A

il s’agit d’une absorption (ou capture complète) du rayon X par les atomes du patient par une réaction photoélectrique.

24
Q

V ou F : dans la réaction photoélectrique, le photon ou rayon X ne se rend pas au détecteur ou à l’écran ; l’énergie du rayon X est complètement transmise à un électron orbital intérieur d’un atome du patient. L’électron est éjecté de l’atome du patient et ce dernier devient ionisé. C’est cette ionisation qui est responsable des effets néfastes de la radiation dans les tissus.

25
V ou F : l'absorption a surtout lieu dans les tissus mous.
F. L'absorption a surtout lieu dans les tissus ou matériaux avec un nombre atomique relativement élevé : les tissus minéralisés (calcium), le produit de contraste (baryum et iode) et le plomb en sont des exmples.
26
Complétez : l'absorption se produit plus facilement lors d'exposition à A.___ kVp et mAs B._____
A) bas kVp B) mAs élevé
27
V ou F : les radiations secondaires causent une détérioration de la qualité de l'image.
V
28
Nommez 3 façons de limiter les effets de radiations secondaires sur l'image radiographique.
- la collimation - les grilles anti diffusantes - les points focaux
29
La proportion des 3 différents interactions des rayons X avec le patient dépend de 3 facteurs majeurs. Nommez-les.
- la composition atomique du patient - l'épaisseur du tissu à traverser - la densité physique du patient
30
V ou F : plus le patient est composé d'un matériel avec un nombre atomique élevé (ex : tissu minéralisé, produit de contraste), plus il y aura d'absorption du faisceau radiographique.
V
31
V ou F : plus le tissu à traverser est épais, moins il y a de radiations secondaires.
F. Plus le tissu à traverser est épais, plus il y a de chance que les photons entrent en collision avec un atome et donc plus il y a d'absorption des rayons X et de radiations secondaires. Pour la même raison, plus un patient est dense, plus il y a d'absorption et de radiations secondaires.
32
Un petit point focal donnera-t-il des images plus nettes qu'un gros point focal?
Oui petit point focal => meilleur détail des structures radiographiées
33
V ou F : le point focal est directement lié à la taille du filament et à la parabole le recouvrant.
V
34
V ou F : La plupart des cathodes possèdent 2 filaments : le plus petit filament génère un point focal plus petit et donc une image avec un meilleur détail.
V.
35
V ou F : le petit filament est particulièrement utilisé lors d'exposition à mAs élevé.
F. Le petit filament est moins résistant à la chaleur et est donc seulement utilisé lors d'expositions à bas mAs
36
Qu'est-ce qu'un collimateur?
Les collimateurs sont des plaques de plomb servant à limiter l'étendue du faisceau radiographique primaire, à sa sortie du tube, qui pourraient autrement diverger. => leur utilisation permet de limiter l'exposition à la région anatomique désirée. Ceci est très important pour éventuellement limiter le nombre de radiations secondaires produites. => améliore la qualité radiographique et la diminution de l'irradiation du personnel
37
Quelle est l'utilité des grilles anti-diffusantes?
=> améliore qualité radiographique et diminue radiations secondaires
38
V ou F : lorsqu'on passe d'une technique sans grille à une technique avec grille anti-diffusante, il faut diminuer de 4x le mAs.
F. Il faut quadrupler le mAs => pcq un certain nombre de rayons X seront absorbés par la grille
39
Quelles sont les 2 manières de projeter l'image radiographique?
1) sur film (radio conventionnelle ou agentique, non-numérique) 2) sur un écran d'ordinateur (radiographie numérique)
40
Combien de temps doit-être conserver un document médicolégal (ex : une radiographie)?
au moins 5 ans
41
Quel est le format d'image standard en imagerie médicale?
le format d'image DICOM
42
Quel est cet artéfact?
objet dans le faisceau
43
Quel est cet artéfact?
double exposition : image en double
44
Nommez 2 effets stochastiques.
- mutations causant des difformités congénitales génétiques - cancer
45
V ou F : les tissus ont tous la même radiosensibilité.
F. Les tissus dont les cellules se multiplient plus rapidement (mitose) sont plus radiosensibles.
46
V ou F : il existe un seuil minimal de radiation avant de voir des effets déterministiques.
V
47
Nommez le matériel essentiels de protection lorsqu'on ne peut pas sortir de la salle pendant la prise des radiographies.
- tabliers de plomb - gants - lunettes plombés - protège-thyroïde
48
V ou F : L'équipement de protection protège des radiations secondaires et du faisceau principal.
F. Protège des radiations secondaires seulement! et non du faisceau principal, les mains gantées ou non sont donc à proscrire du faisceau primaire!