Quelle est l’opacité du CÉ retrouvé dans l’oesophage?

minérale
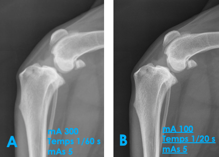
Lequel des 2 appareils permet une exposition plus élevée?

B)
Quel élément sera-t-il préférable d’utiliser pour concevoir l’anode afin de réaliser l’examen suivant?

Tungsène
Quel paramètre permet d’ajuster le nombre d’électrons qui bombarderont l’anode et ensuite qui permettront la production d’un nombre suffisant de rayons X?
A) taille du filament
B) différence de potentiel
C) kVp
D) point focal
E) mA
E) mA
Le port d’un équipement de protection contre les rayons X vise à se protéger de quel phénomène?
A) 1
B) 2
C) 3

2)
Qu’est-ce qui détermine la taille du rectangle ici?
A) grosseur du tube
B) taille du filament
C) ouverture du collimateur
D) facteurs d’exposition
E) taille du chien

C)
Critiquez l’exposition de cette radiographie.
A) elle est adéquate
B) elle est sous-exposée
C) elle est surexposée
D) l’appareil est défectueux

C)
Nommez le dispositif indiqué par les flèches rouges et à quoi sert-il?

grille anti diffusante
absorbe radiations
Laquelle des 2 radiographies a été prise avec un filament de taille plus petite?

B : on y voit mieux les rebords osseux. Ici, c’est une partie du corps immobile et on peut se permettre d’augmenter le temps afin de diminuer le mA et donc le filament.
La taille du filament affecte le mA : plus petit = mA plus bas
À mAs équivalent : temps augm, mA diminue => permet d’avoir une meilleure netteté

Nommez l’artéfact visible sur cette projection.
A) grille anti-diffusante à l’envers
B) double exposition
C) mauvais alignement de la cassette
D) surexposition

A)
Lorsque vous visionnez une radiographie numérique, quel facteur détermine le plus souvent la résolution de l’image?
A) kVp
B) écran
C) mAs
D) taille du filament
E) processeur de l’ordinateur

B)
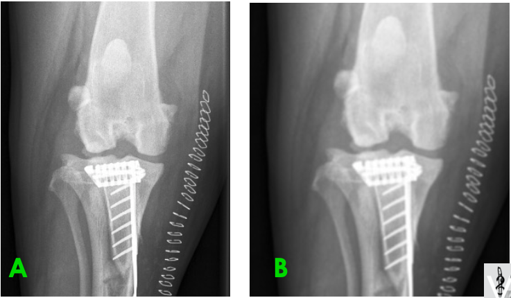
Qu’est-ce qui explique la différence de qualité entre ces 2 images?
A) la radio B a été effectuée avec un mAs plus élevé pour le même kVp
B) la radio B a été effectuée avec un plus petit filament
C) la cassette était plus loin du membre pour la radio B
D) l’animal a bougé lors de la radio A

C)
Nommez la projection qui résulterait de cette position.
A) dorsopalmaire
B) ventrodorsale
C) dorsoventrale
D) latérale gauche

B)
Les techniciens en sueur vous présentent la radio suivante, quelle décision prenez-vous alors?
A) faire l’interprétation de son mieux en expliquant au client nos limitations
B) donner une sédation et reprendre la radiographie plus droite
C) optez pour une contention manuelle et reprendre la radiographie plus droite
D) reprendre la radiographie en doublant le mAs

B)

Quels sont les 7 signes de Roentgen?
1) opacité
2) forme
3) nombre
4) contour
5) taille
6) localisation/distribution
7) sévérité
Nommez les opacités de chaque lettre.

a) métal
b) gras
c) minérale
d) air
e) tissu mou
Quel est votre conclusion radiographique? Énumérez quelques diagnostics différentiels.

=> masse splénique
Ddx : néoplasme, granulome, kyste, hématome, nodule hyperplasique
Quel est votre diagnostic radiographique?

Obstruction mécanique secondaire à un CÉ

Anamnèse : Elkhound norvégien, femelle, 16 ans, présentée pour faiblesse et ataxie des membres pelviens.
Qu’en pensez-vous?

Spondylose, mais n’explique pas les signes cliniques
Je pense que le cheval a de la fourbure et pour le confirmer, je désire mesurer la distance entre la muraille et P3. Quelle ligne représente le mieux la distance désirée?
A, B, C ou D

A