Module 2B - Respiratory Flashcards

(304 cards)

1
Q

Pathophysiology of bronchiectasis

A
  • Chronic inflammation and dilation of bronchi –> mucus plugs form –> obstructs airflow
  • Deficit in mucocliary clearance + immune cells release cytokines –> damages ciliated epithelial cells –> destroys elastin –> eleastin replaced with collagen –> less elastic and more stiff –> cannot clear mucus –> more mucus plugging and recurrent infections
  • .
  • .
How well did you know this?
1
Not at all
2
3
4
5
Perfectly
2
Q

Gas exchange video

A

Dr Matt and Dr Mike video:
https://www.youtube.com/watch?v=xLtLY9qaQks

How well did you know this?
1
Not at all
2
3
4
5
Perfectly
3
Q

Basic breathing mechanics video

A

Dr Matt and Dr Mike video:
https://www.youtube.com/watch?v=59knV9PJ3Rs

  • Thoracic volume increases (due to diaphragm contracting and moving down + external intercostals moving up and out –> ‘bucket handle’) –> air rushes into lungs
  • Internal intercostals bring ribcage in and down, abdominal muscles contract –> reduces thoracic volume and air is forced out of the lungs
How well did you know this?
1
Not at all
2
3
4
5
Perfectly
4
Q

Commonly found pathogens on sputum culture in patient with bronchiectasis

A
  • Haemophilus influenzae (most commonly found) and Pseudomonas aeruginosa
How well did you know this?
1
Not at all
2
3
4
5
Perfectly
5
Q

The gold standard diagnostic imaging for bronchiectasis is a high-resolution CT scan (HRCT), what findings would there be?

A
  • bronchial dilation
  • ‘signet ring sign’
  • Lack of tapering of bronchi
How well did you know this?
1
Not at all
2
3
4
5
Perfectly
6
Q

4 differentials for a chronic cough.

A
  • COPD
  • Asthma
  • Lung cancer
  • TB
  • Cystic fibrosis
How well did you know this?
1
Not at all
2
3
4
5
Perfectly
7
Q

what is pt has > 2 exacerbations per year?

Bronchiectasis management –> general + infective excaerbation

A
  • Airway clearance techniques (resp. physio) +/- pulmonary rehab
  • Annual influenza and pneumococcal vaccines

Infective exacerbation:
- sputum culture
- 7-14 day course of antibiotics (local guidelines - ciprofloxacin is choice for exacerbations caused by Pseudomonas aeruginosa)
- (note: if >2 exacerbations in one year, consider mucoactive treatment and long-term antibiotic therapy)

How well did you know this?
1
Not at all
2
3
4
5
Perfectly
8
Q

What type of inheritance does cystic fibrosis have?

A
  • autosomal recessive
How well did you know this?
1
Not at all
2
3
4
5
Perfectly
9
Q

Which gene is affected in cystic fibrosis and what does this cause? + which mutation is most common

A
  • Mutations on the CFTR gene on chromosome 7 (delta-F508 mutation most common)
  • Dysfunction of CFTR leads to the production of thick, sticky mucus that mainly affects the respiratory and GI systems
How well did you know this?
1
Not at all
2
3
4
5
Perfectly
10
Q

Pathophysiology of CF:

  • The role of CFTR is to regulate the transport of _______ ions and bicarbonate across epithelial cells
  • A dysfunctional CFTR results in a _______ and _______ retention inside cells, this imbalance establishes a ______-rich environment outside the cell, prompting sodium and water reabsorption.
  • Consequently, mucus becomes dehydrated and _________.
A
  • The role of CFTR is to regulate the transport of chloride ions and bicarbonate across epithelial cells
  • A dysfunctional CFTR results in a chloride and water retention inside cells, this imbalance establishes a sodium-rich environment outside the cell, prompting sodium and water reabsorption.
  • Consequently, mucus becomes dehydrated and thickened.
How well did you know this?
1
Not at all
2
3
4
5
Perfectly
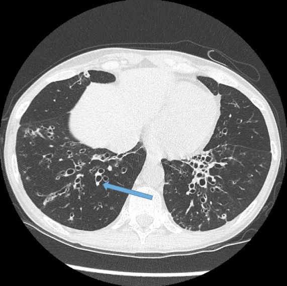
11
Q

one for growing children?

Clinical features of cystic fibrosis

A
  • Meconium ileus
  • Chronic cough with thick sputum production –> recurrent respiratory tract infections
  • Malabsorption in GI tract
  • Loose, greasy stools (steatorrhoea) due to a lack of fat-digesting lipase enzymes
  • Fertility problems
  • Failure to thrive (poor height and weight gain)
How well did you know this?
1
Not at all
2
3
4
5
Perfectly
12
Q

Salty sweat is a characteristic of what condition + cause

A
  • Cystic fibrosis (CF)
  • due to a defective chloride channel –> reduced reabsoprtion of chloride and consequently sodium
How well did you know this?
1
Not at all
2
3
4
5
Perfectly
13
Q

How is cystic fibrosis usually diagnosed?

And what is usually the first sign of CF?

A
  • Newborn blood spot screening programme (CF is 1/9 rare genetic conditions screened for)
  • Sweat chloride test is gold-standard diagnostic test for CF
  • Meconium ileus
  • the first stool that a baby passes is called meconium in the first 24hrs, in CF this is thick and sticky, not passed within 24hrs and can obstruct the bowel
How well did you know this?
1
Not at all
2
3
4
5
Perfectly
14
Q

Management of cystic fibrosis.

(general)
(pharmacological)
(nutritional)
(monitoring)

A

General:
- Chest physio + high-freq. chest wall oscillation
- Exercise –> promotes airway clearance, enhances lung function, and improves overall health
Pharm:
- Mucolytics (eg. dornase alfa, hypertonic saline) –> reduces mucus viscosity
- Bronchodilators (SABA/LABA)
- Anti-inflammatories: ICS or oral NSAIDs
- Regular inhaled antibiotics to manage chronic infections –> systemic antibiotics for acute exacerbations
- CFTR modulators: selection depends on specific CFTR genotype
Nutrition:
- Pancreatic enzyme replacement therapy (PERT) with meals
- Fat-soluble vitamin supplementation (Vit A, D, E, and K)
- High-energy diet
Monitoring:
- Monitor LFTs, bone health, diabetes, fertility

How well did you know this?
1
Not at all
2
3
4
5
Perfectly
15
Q

Influenza is spread via _______

A

droplets (when an infected person coughs or sneezes)

How well did you know this?
1
Not at all
2
3
4
5
Perfectly
16
Q

Prevention and management of influenza.

A
  • Prevention: annual influenza vaccine

Consider antivirals (has to be started within 48hr onset):
- First-line: oseltamivir
- Second-line (and for immunocompromised): zanamivir

How well did you know this?
1
Not at all
2
3
4
5
Perfectly
17
Q

Is pneumonia a disease of the airways or the alveoli?

A

alveoli

How well did you know this?
1
Not at all
2
3
4
5
Perfectly
18
Q

What is the most common causative organism in community-acquired pneumonia (CAP)?

A

Streptococcus pneumoniae

How well did you know this?
1
Not at all
2
3
4
5
Perfectly
19
Q

Haemophilus influenzae is often the causative organism of pneumonia in patients with what condition?

A

COPD

How well did you know this?
1
Not at all
2
3
4
5
Perfectly
20
Q

What is often the causative organism of pneumonia in patients who are alcoholics?

A

Klebsiella pneumoniae

How well did you know this?
1
Not at all
2
3
4
5
Perfectly
21
Q

What is often the causative organism of pneumonia in patients with cystic fibrosis (or immunocompromised states)?

A

Pseudomonas aeruginosa

How well did you know this?
1
Not at all
2
3
4
5
Perfectly
22
Q

Atypical pneumonia pathogens

A
  • Legionella pneumophilia –> air conditioning or dirty water
  • Chlamydia psittaci –> psittacosis –> associated with birds
  • Mycoplasma pneumoniae
  • Pneumocystis jirovecii (fungus) –> if mention HIV in the stem
  • Chlamydophila pneumoniae
  • Coxiella burnetii –> Q fever
How well did you know this?
1
Not at all
2
3
4
5
Perfectly
23
Q

What virus is the most common cause of viral pneumonia?

(and what virus is most common cause in infants and elderly?)

A

Influenza virus

  • Infants and elderly: Respiratory syncytial virus (RSV)
How well did you know this?
1
Not at all
2
3
4
5
Perfectly
24
Q

pneumonia that occurs ≥ 48 hours after admission to hospital is called ____________________.

A

Hospital-acquired pneumonia (HAP)

How well did you know this?
1
Not at all
2
3
4
5
Perfectly
25
pneumonia that develops ≥ 48 hours after endotracheal intubation is called ___________________.
Ventilator-associated pneumonia (VAP)
26
Score used to assess severity of pneumonia + criteria
CURB-65: - Confusion (new - abbreviated mental test score < 9) - Urea (> 7 mmol/L - Resp. rate (> 30/min) - Blood pressure (systolic < 90 mmHg, diastolic < 60 mmHg) - Age (>65yrs) - 0 or 1 (low risk): home-based care - 2 (intermediate risk): consider hospital-based care - 3 (high risk): consider intensive care
27
# which urinary tests? Investigations for pneumonia. (how would you assess response to treatment?)
- Chest x-ray - blood and sputum cultures - pneumococcal and legionella urinary antigen tests - CRP monitoring (to help determine response to treatment)
28
Management of CAP --> low-severity and mod/high severity
Low-severity CAP: - amoxicillin first-line (5-day course) - (if penicillin allergic then use a macrolide or tetracycline) Moderate and high-severity CAP: - Dual antibiotic therapy: amoxicillin + macrolide (7-10 day course) - (Can consider a beta-lactamase stable penicillin such as co-amoxiclav, ceftriaxone or piperacillin with tazobactam and a macrolide in high-severity CAP)
29
Pleural effusion causes (exudate): Pleural effusion most common cause (transudate):
Exudate (>30g/L protein): - Infection (pneumonia most common, TB) - Neoplastic (lung cancer, mesothelioma, metastases) - CTD (SLE, RA) Transudate (<30g/L protein): - Heart failure (most common) - .
30
What is acute bronchitis?
- type of chest infection (usually self-limiting within 3 weeks) - result of inflammation of trachea and major bronchi
31
Acute bronchitis management
- analgesia - good fluid intake - antibiotic therapy if patients: are systemically very unwell, have pre-existing co-morbidities, have a raised CRP (doxycycline first-line)
32
contraindications for doxycycline (tetracycline) use
cannot be used in children or pregnant women --> use amoxicillin instead
33
causative organism of TB
Mycobacterium tuberculsosis
34
How is TB transmitted?
via airborne droplets
35
Mycobacterium tuberculosis is an ____ ____ _______. (type of bacteria)
acid-fast bacilli
36
Mycolic acid glycolipids, Trehalose dimycolate ('cord factor'), Catalase-peroxidase, and Lipoarabinomannan are all _________ _______ that resist host response and elicit granuloma formation.
virulence factors
37
Latent vs Active TB
- Latent TB --> asymptomatic and non-contagious - Active infection --> due to primary or reactivated TB --> leads to various symptoms and is contagious
38
TH1 response in TB (latent infection) pathophysiology leads to the formation of _________ _________ (caseous centre with necrotic material), which is then surrounded by lymphocytes and macrophages which leads to successful containment.
caseating granuloma
39
Main risk factor for reactivation of latent TB
Immunosuppression
40
Two main investigations for latent infection in a person exposed to M. tuberculosis but WITHOUT signs of active TB.
- TST (tuberculin skin test) - IGRAs (interferon-gamma release assays) (both tests evaluate cell-mediated immunity)
41
# how many samples and gold-standard test Sputum analysis in TB. (solid media vs liquid media)
- Sputum microscopy --> 3 samples required in 8hrs --> acid-fast (Ziehl-Neelson stain) identifies the bacilli - Sputum culture (gold standard) --> most sensitive and specific test (solid media can take up to 6 weeks, liquid media give rapid results within 1-3 weeks)
42
Chest x-ray findings in TB
- Primary --> hilar lymphadenopathy, effusion, pulmonary infiltrates (consolidation), calcification - Reactivation --> upper lobe cavity lesion.
43
What conventional solid media is used for sputum culture in TB investigation?
- Lowestein-Jensen agar
44
# what must be ruled out before treatment Treatment for latent TB infection.
- isoniazid for 9 months or rifampin for 4 months (Before the initiation of treatment for latent TB, active infection must be ruled out to prevent the development of resistance)
45
# + when should isolate until... Treatment for active TB infection.
(Isolation is needed while infectious, monthly sputum samples should be taken until 2 consecutive negative cultures) - Intensive phase --> 2 months of isoniazid + rifampin + pyrazinamide + ethambutol - Continuation phase --> 4 months of isoniazid + rifampin
46
Side effects of TB drugs
- Rifampicin --> Orange secretions (P450 enzyme inducer) - Isoniazid --> Neuropathy - Pyrazinamide --> Gout - Ethambutol --> Optic neuritis
47
What drug is always given with isoniazid to prevent peripheral neuropathy?
- Pyridoxine
48
Treatment for multidrug-resistant TB infection (if TB is resistant to both isoniazid and rifampin)
- A longer, individualised regimen is needed - eg. Levofloxacin (or moxifloxacin) + bedaquiline + linezolid is a commonly used regimen
49
A severe complication of TB infection is miliary TB, what is miliary TB? + how does TB spread?
- massive spread of infection with multiple organ involvement - Haematogenous spread
50
Populations who should be screened for latent TB infection.
- Individuals with recent exposure (contacts) - Health care workers - Homeless shelters and prisons - Individuals with increased risk of reactivation: HIV/immunocompromised - Travellers from high-incidence countries
51
TB vaccine
BCG vaccine
52
Rhinoviruses (most common), coronaviruses, adenoviruses, influenza, parainfluenza, respiratory syncytial virus and enteroviruses are all examples of _____ ___________ _____ _________.
upper respiratory tract infections
53
Symptoms + Signs of viral URTIs
Symptoms: - nasal discharge, nasal obstruction, sore throat, headache, cough, tiredness and general malaise. - Other symptoms include facial pain, earache, hoarseness and nausea. Signs: - Erythema at back of the throat - Nasal discharge - Tender cervical lymphadenopathy - Mild fever
54
Management of viral URTIs
- Supportive management only is usually sufficient (self-limiting) - Usually resolves in 7-10 days but may last up to 3 weeks - Advise paracetamol, fluids, rest and over-the-counter remedies if appropriate (viral throat swabs if adult being admitted to hospital for infection control purposes)
55
Investigations for occupational asthma?
- Peak flows --> Reduced peak flows during the working week with normal readings when not at work
56
Asthma, atopic dermatitis (eczema), and allergic rhinitis (hayfever) are all examples of ______ __________ (Ig_-mediated).
atopic conditions (IgE-mediated)
57
Difference between asthma and COPD (location of disease)
- Asthma affects the airways - COPD affects the lungs (bronchi, alveoli)
58
Asthma is defined as a chronic inflammatory disorder of the airways secondary to type _ hypersensitivity.
type **1**
59
Investigations for asthma
- Peak flow diary - Spirometry --> obstructive pattern - Reversibility testing with bronchodilators: improvement of FEV1 by > 12% or 200ml - FeNO --> lvls correlate with lvls of inflammation
60
Which type of nitric oxide synthase (NOS) used in FeNO testing tends to rise in inflammatory cells (particularly eosinophils)?
- inducible NOS (iNOS) - a raised FeNO indicates that there is inflammation in the airways
61
Management of asthma (step-wise approach)
- Step 1: SABA (eg. salbutamol) - Step 2: SABA + low-dose ICS (eg. beclomethasone or budesonide) - Step 3: SABA + low-dose ICS + LABA (eg. formoterol or salmeterol) - Step 4: SABA + LABA + medium-dose ICS +/- LTRA (eg. Montelukast) - Step 5: SABA +/- LTRA + low-dose MART (ICS + fast-acting LABA in one inhaler) - Step 6: SABA +/- LTRA + medium-dose MART - Step 7: SABA +/- LTRA + either high-dose ICS (fixed dose) or trial LAMA or theophylline (seek specialist advice) - Conservative: inhaler technique, avoid triggers
62
Definitions of low, moderate, and high-dose ICS
- Low: < 400 micrograms - Moderate: 400-800 micrograms - High: > 800 micrograms
63
Main risk factor associated with COPD
Smoking
64
Investigations for COPD (spirometry) (CXR)
- Spirometry --> obstructive pattern (not bronchodilator reversible) - Chest x-ray: hyperinflation, bullae, flat hemidiaphragm - FBC: exclude secondary polycythaemia - BMI calculation
65
Severity of COPD is categorised using the FEV1, what is the classification?
66
# when should pulm. rehab be offered? Management of COPD
General management includes: - smoking cessation: offer nicotine replacement therapy, varenicline or bupropion - yearly influenza vaccination + one-off pneumococcal vaccination (every 5 yrs) - pulmonary rehab to all people who view themselves as functionally disabled by COPD --> MRC grade 3 and above - The flow chart shows NICE guidelines for bronchodilator therapy If symptoms persist: - oral theophylline - prophylactic antibiotic therapy (azithromycin) - consider mucolytics and PDE-4 inhibitors
67
MRC dyspnoea scale
68
# FEV 1 value, O2 sats on air, minimum per day (hrs) When should LTOT (long term oxygen therapy) be offered to COPD patients? (contraindications for LTOT)
- LTOT should be used for at least 15hrs a day - if patients have severe airflow obstruction --> FEV1 < 30% predicted - if patients O2 sats < 92% on room air - do not offer LTOT to patients who continue to smoke despite smoking cessation advice - also assess for risks of falls from tripping over the equipment and burns/fires (smokers)
69
Classification of acute exacerbation of asthma (asthma attack) (moderate, severe, life-threatening)
Moderate: - Increasing symptoms - PEFR >50-75% of the patient's best or predicted score - No features of acute severe asthma Acute severe: - PEFR 33-50% of the patient's best or predicted score - Respiratory rate (RR) ≥ 25 breaths per minute - Heart rate (HR) ≥ 110 beats per minute - Inability to complete sentences in one breath Life-threatening: - PEFR <33% of the patient's best or predicted score - SpO₂ <92% - PaCO₂ will be normal (if the PaCO₂ rises, then this is now classed as a near-fatal asthma exacerbation) - PaO₂ <8kPa - low - Absence of audible breath sounds over the chest (silent chest) - Cyanosis (usually of the lips) - Reduced respiratory effort - New-onset arrhythmia - Exhaustion - Reduced Glasgow coma score (GCS) - Hypotension
70
Management of acute exacerbation of asthma (asthma attack) (and discharge advice)
- If hypoxic: high flow 15L oxygen via non-rebreather mask --> target O2 sats 94-98% - High-dose nebulised SABA (eg. salbutamol) + nebulised SAMA (ipratropium bromide) - IV hydrocortisone or prednisolone 40-50mg (continue for 5 days) - Regular medications (eg. ICS) should still be continued during this time - IV magnesium sulphate can be considered next - If still no response: intubation and ventilation (get help!) **Discharge advice:** - review of situation and treatment plan should be done - any possible triggers for the attack - inhaler use and technique - optimisation of treatment and a plan for preventing further exacerbations
71
Management of acute exacerbation of COPD (and discharge advice)
- If hypoxic: high flow 15L oxygen via non-rebreather mask prior to ABG results --> then can titrate down using Venturi mask (24% at 2-3L/min or 28% at 4L/min) - High-dose nebulised SABA (eg. salbutamol) + nebulised SAMA (ipratropium bromide) - IV hydrocortisone or prednisolone 40-50mg (continue for 5 days) - IV theophylline can be considered next - O2 target sats: 88-92% if pt known to have CO2 retention - if pt goes into type 2 resp. failure --> NIV - Antibiotics --> if indicated Optimising the patient for discharge: - Measurement of spirometry - Optimisation of maintenance bronchodilator therapy - Satisfactory pulse oximetry and ABGs in patients who have had respiratory failure - Confirmation that the patient has returned to their functional baseline - Arrangement for follow-up and home care e.g. nurse visits
72
Name of common causative organism in an acute exacerbation of COPD
- Haemophilus influenzae
73
Which tests should you do for the following differentials in the acute setting: - Pulmonary embolism - Myocardial infarction - Heart failure - Tension pneumothorax
- Pulmonary embolism - D-dimer --> CTPA - Myocardial infarction - Cardiac troponins and ECG - Heart failure - BNP (shows heart muscle working harder) - Tension pneumothorax --> tracheal deviation and CXR
74
Fine-end inspiratory crackles on auscultation indicates what condition?
IPF
75
Investigations/Diagnosis of IPF (spirometry findings and TLCO) (HRCT scan findings) (CXR findings)
- Spirometry: restrictive pattern - Impaired gas exchange: reduced transfer factor (TLCO) Imaging: - HRCT scan is investigation of choice to diagnose IPF --> shows 'honeycombing' - CXR: bilateral interstitial shadowing --> typically small, irregular, peripheral opacities - 'ground-glass'
76
Management of IPF
- Pulmonary rehabilitation - Supplementary oxygen and eventually a lung transplant - pirfenidone (antifibrotic agent) may be useful in selected patients
77
Prognosis of IPF
Poor, 3-4 yrs
78
Sarcoidosis --> what type of granulomas are formed
- non-caseating granulomas --> hallmark of sarcoidosis (diagnosis from a biopsy)
79
A patient who has sarcoidosis has these 3 symptoms/signs: - bilateral hilar lymphadenopathy (BHL) - erythema nodosum - arthritis/arthalgia What is this syndrome called?
- Lofgren's triad
80
Bilateral hilar lymphadenopathy differentials
Sarcoidosis or TB
81
Lung function tests (PFTs) pattern for a patient with sarcoidosis
- Restrictive pattern with impaired gas transfer (TLCO)
82
Well's Law (two reasons to initiate treatment in sarcoidosis)
- danger of damage to organs (including preventing mortality) --> eg. pulmonary involvement - improve quality of life
83
CXR of a young woman with sarcoidosis
- bilateral hilar lymphadenopathy with diffuse reticulonodular parenchymal involvement
84
Sarcoidosis first-line treatment if symptomatic
Oral corticosteroids 20-40mg daily
85
Is sarcoidosis x3 more common in white ethnicity or black African ethnicity?
- Black African ethnicity
86
Acute respiratory distress syndrome (what is it?)
- ARDS is caused by the increased permeability of alveolar capillaries leading to fluid accumulation in the alveoli (ie. non-cardiogenic pulmonary oedema) --> mortality of around 40%!
87
Investigations for ARDS in the acute setting
- Chest x-ray - ABGs
88
Management of ARDS
Acute setting (ITU) - oxygenation/ventilation to treat hypoxaemia - general organ support: eg. vasopressors as needed --> epinephrine - treatment of underlying cause: eg. antibiotics for sepsis
89
What are the two histological subtypes of lung cancer --> which is more common + which is strongly associated with smoking
- Non-small cell lung cancer (more common - 85%) - Small cell lung cancer (more aggressive) --> strongly associated with smoking
90
# most common among non-smokers? associated with hypercalcaemia? 3 types of tumours which comprise non-small cell lung cancers
- Squamous cell carcinoma (25% cases) --> hypercalcaemia - Adenocarcinoma (40% cases) --> most common among non-smokers - Large cell carcinoma (10% cases)
91
what nerve is compressed by a Pancoast tumour (located at apex of the lung) which can cause a 'hoarse' voice?
- recurrent laryngeal nerve
92
4 clinical features of Horner's syndrome
- Ptosis (drooping of upper eyelid) - Miosis (constricted pupil) - Enaphthalmos (eye deeper in socket) - Anhidrosis (loss of sweating)
93
What symptom would be likely result due to a lung tumour compressing the oesophagus?
Dysphagia
94
Investigations for suspected lung cancer
- Chest x-ray --> usually first line - High resolution CT --> investigation of choice - Bronchoscopy to collect biopsy for histology - PET scan --> staging (distant metastasis)
95
Management of lung cancer (general)
- General: MDT and smoking cessation
96
Which major blood vessel is most commonly affected by a lung tumour?
superior vena cava
97
What is the most common virus to trigger an asthma attack?
rhinovirus
98
What aspect of the history is particularly relevant in suspected mesothelioma?
asbestos exposure --> usually the cause of mesothelioma
99
Investigations in suspected mesothelioma
- Chest x-ray --> shows pleural thickening + pleural effusion - Pleural CT --> gold-standard - (if pleural effusion present: fluid sent for MC&S, biochem, and cytology) - Local thoracoscopy --> biopsy
100
Prognosis of mesothelioma (and management)
- poor, median survival 12 months management: - industrial compensation - chemo, surgery if operable
101
How is obesity hypoventilation syndrome diagnosed?
Criteria: - Obesity: BMI > 30 kg/m2 - Hypoventilation: ABG shows hypercapnia and hypoxaemia (type 2 resp. failure) in absence of other causes - Sleep-disorderd breathing
102
Most significant risk factor for obstructive sleep apnoea
Obesity - excessive adipose tissue in the neck and thorax increases the mechanical load on the respiratory system, contributing to upper airway collapse during sleep
103
Management for obstructive sleep apnoea
- weight loss - CPAP (continuous positive airway pressure)
104
Alpha-1-antitrypsin deficiency affects which two organs?
- lungs --> COPD and bronchiectasis - liver --> dysfunction, cirrhosis
105
Alpha-1-antitrypsin deficiency genetics --> gene + chromosome + inheritance pattern
- SERPINA1 gene on chromosome 14 - autosomal recessive
106
3 categories of pneumothorax
- spontaneous (primary or secondary) - traumatic - iatrogenic --> through surgery ...
107
Under normal circumstances, the pleural space has a slightly ________ pressure relative to atmospheric pressure. This ________ pressure ensures the lungs remain inflated against the chest wall. In the event of a breach in the integrity of the lung or chest wall, ___ enters the pleural space. This disrupts the normal ________ gradient. As ___ accumulates, the intrapleural pressure becomes progressively more ________ relative to the lung's intrinsic pressure. Consequently, the affected lung starts to ________ due to its natural elastic recoil, leading to a reduction in the lung volume on the affected side. If the entry point of air becomes a one-way valve (air enters but does not exit the pleural space), a _______ pneumothorax can develop. Here, the accumulating air compresses the ____________, which can press on major blood vessels impairing venous return to the heart leading to decreased _______ output and potential circulatory collapse. Additionally, _____________ reactions may occur within the pleural space due to the presence of air. This might lead to pleural pain or pleurisy.
Under normal circumstances, the pleural space has a slightly **negative** pressure relative to atmospheric pressure. This **negative** pressure ensures the lungs remain inflated against the chest wall. In the event of a breach in the integrity of the lung or chest wall, **air** enters the pleural space. This disrupts the normal **pressure** gradient. As **air** accumulates, the intrapleural pressure becomes progressively more **positive** relative to the lung's intrinsic pressure. Consequently, the affected lung starts to **collapse** due to its natural elastic recoil, leading to a reduction in the lung volume on the affected side. If the entry point of air becomes a one-way valve (air enters but does not exit the pleural space), a **tension** pneumothorax can develop. Here, the accumulating air compresses the **mediastinum**, impairing venous return to the heart and leading to decreased **cardiac** output and potential circulatory collapse. Additionally, **inflammatory** reactions may occur within the pleural space due to the presence of air. This might lead to pleural pain or pleurisy.
108
Primary vs secondary spontaneous pneumothorax (who is at risk of a primary spontaneous pneumothorax?)
- Primary --> occurs without underlying lung disease --> often in tall, thin, young individuals (Marfan's) - Secondary --> Occurs in patients with pre-existing lung disease
109
Pneumothorax --> management + recurrent pneumothorax management + discharge advice
**Management**: - High-risk characteristics? --> tension? --> emergency needle decompression (2nd ICS space large bore cannula) --> followed by chest drain insertion - < 2cm and stable --> discharge with follow-up - Symptoms and > 2cm --> ambulatory device OR needle aspiration OR chest drain (if primary then aspirate and discharge, if secondary then chest drain and observe) **Recurrent pneumothorax:** - Talc pleurodesis **Discharge advice:** - Smoking cessation - Fitness to fly --> must not fly until 7 days after radiological resolution (CXR indicates resolved) - Scuba diving --> permanently avoid
110
Triangle of safety for chest drain insertion
- 5th ICS (or the inferior nipple line) - Midaxillary line (or the lateral edge of the latissimus dorsi) - Anterior axillary line (or the lateral edge of the pectoralis major)
111
Most common cause of transudate pleural effusions and exudate pleural effusions
- Heart failure (most common transudate cause) - Infection: pneumonia (most common exudate cause)
112
Investigations for pleural effusion
- Chest x-ray (PA) - USS-guided pleural aspiration (21G needle and 50ml syringe)
113
Light's criteria for pleural effusions
- Exudates have a protein level of > 30 g/L, transudates have a protein level of < 30 g/L - If the protein level is between 25-35 g/L --> Light's criteria should be applied - An exudate is likely if at least one of the following criteria are met: --> Pleural fluid protein divided by serum protein >0.5 --> Pleural fluid LDH divided by serum LDH >0.6 --> Pleural fluid LDH more than two-thirds the upper limits of normal serum LDH
114
Management for pleural effusion
- Recurrent aspiration - Pleurodesis --> removal of pleural space - indwelling pleural catheter if refractory
115
Asbestos-related lung disease is the most common occupational health disease, what would the following investigations show for a patient with asbestosis? - Spirometry and gas transfer factor (TLCO) - CXR - High-resolution CT - Lung biopsy
- Spirometry --> restrictive pattern - Reduced gas transfer factor (TLCO) - CXR --> fine nodular shadowing - HRCT --> fibrosis (more sensitive than CXR) - Lung biopsy --> interstitial fibrosis and asbestos bodies
116
What malignancy is highly related to asbestos exposure?
- Mesothelioma --> cancer of the pleura
117
A patient used to work as a coal miner, what respiratory disease are they likely to have?
- Coal worker's pneumoconiosis (deposition of dust in alveoli, localised inflammatory response leading to longer-term changes
118
Causes of type 1 and type 2 respiratory failure.
- Type 1 (more acute) --> pneumonia, asthma, PE, heart failure - Type 2 (more chronic) --> COPD, obesity hypoventilation syndrome, neuromuscular weakness (Note: if there is metabolic compensation then indicates acute-on-chronic resp. failure)
119
# if everything fails? Management of respiratory failure
1. Oxygen therapy (hypoxia kills) - NIV --> CPAP - type 1, BiPAP - type 2 - nasal cannula / Venturi mask to titrate to target O2 sats 2. Treat underlying cause - Antibiotics/Nebulisers/Steroids - pneumonia, infective exacerbations of asthma/COPD - Naloxone - for opioid overdose - Anticoagulants/thrombolysis - PE - Diuretics - heart failure/pulmonary oedema - Weight loss (longer term) 3. When all else fails: Invasive ventilation --> ECMO
120
# include idiopathic management Pulmonary arterial hypertension management
(Depends if primary or secondary pulm. hypertension - if secondary then treat underlying cause) Main aims of treatment are to improve QOL and prolong survival: - Diuretics --> for fluid retention and oedema - Oral anticoagulants --> for risk of thrombosis - LTOT --> if pO2 < 8kPa Idiopathic pulmonary hypertension may be treated with: - Calcium channel blockers - IV prostaglandins
121
Clinical features of a pulmonary embolism?
- pleuritic chest pain, dyspnoea, haemoptysis - tachypnoea - crackles - tachycardia - fever (> 37.8)
122
Pulmonary embolism - Wells score (what score suggests PE likely and what further investigations would you do?)
Wells score > 4 --> PE likely - CTPA - (if PE unlikely then D-dimer and if +ve then arrange CTPA)
123
# normal/renal impairment or pregnant/haemodynamically unstable Management of PE
- DOAC (apixaban or rivaroxaban) first-line for 3 months - if renal impairment or pregnant --> then give LMWH - PE with hemodynamic compromise --> thrombolysis
124
Allergic bronchopulmonary aspergillosis causative organism
Aspergillus fumigatus (fungal infection)
125
The following are all examples of... - ABPA (allergic bronchopulmonary aspergillosis) - allergic sinusitis - IgE-mediated asthma - hypersensitivity pneumonitis
Hypersensitivity respiratory conditions
126
Extrinsic allergic alveolitis (EAA) is thought to be largely caused by immune-complex mediated tissue damage (type _ hypersensitivity) although delayed hypersensitivity (type _) is also thought to play a role in EAA, especially in the chronic phase.
EAA is thought to be largely caused by immune-complex mediated tissue damage (type **III** hypersensitivity) although delayed hypersensitivity (type **IV**) is also thought to play a role in EAA, especially in the chronic phase.
127
Main risk factors for PE/DVT
- Immobility - Recent surgery - Long-haul travel
128
Causes of pulmonary hypertension
- Group 1: Idiopathic pulmonary hypertension or CTD --> eg. SLE) - Group 2: Left heart failure --> due to MI or systemic hypertension - Group 3: Chronic lung disease --> eg. COPD or pulmonary fibrosis - Group 4: Pulmonary vascular disease --> eg. PE - Group 5: Miscellaneous --> eg. sarcoidosis, haem disorders...
129
What drug can cause a 'dry cough'?
ACE inhibitors
130
Differentials for a wheeze
- Asthma - COPD - Acute bronchitis - foreign body inhalation
131
Differentials for snoring
- Nasal obstruction - enlarged tonsils - Obstructive sleep apnoea (OSA) - obesity
132
Initial investigations for snoring
- Hx and physical examination - Sleep study --> polysomnography - Nasal endoscopy --> nasal obstructions - polyps or deviated septum - Epworth Sleepiness Scale --> daytime sleepiness > 10
133
Differentials for pleuritic chest pain
- Pleurisy (inflammation of pleura) - PE - Pneumothorax - (pericarditis, MI)
134
Differentials for a solitary pulmonary nodule
- Benign --> infectious granuloma (TB) OR non-infectious granuloma (sarcoidosis) - Malignant --> primary lung cancer
135
A 2-year-old child is suspected to have aspirated a small object, a CXR is awaited, which side will the foreign body likely to end up in, and why?
- Right side (right lower lobe if pt standing) - as right side bronchus is less angulated (straighter) (older people tend to aspirate into right lower lobe and therefore this is often the location of pneumonia)
136
A 23-year-old lady presents with recurrent sinus and bronchial infections. What are the main defence mechanisms against inhaled pathogens?
- Mucociliary system and Alveolar macrophages
137
In an acute viral infection, is the cough switch active or not active? + what is defined as an acute cough?
- cough switch is active - acute cough < 4 weeks
138
A virus (flu for example) enters a cell, how does the immune system respond to this?
- Cytotoxic T cells - Natural Killer cells - Interferons - Antibodies
139
What is the likely diagnosis?
- Pneumonia - infection/inflammation of alveoli - dull percussion - area of lung that isn’t aerated well - bronchial breathing - feature of pneumonia
140
Describe the abnormality in this chest x-ray
infiltrate/consolidation in upper/middle/lower lobes on right side, lower lobe on left side
141
Management of pneumonia
- CURB-65 - to assess severity of pneumonia (>2 should likely admit patient) - Oxygen - IV fluids - Analgesia - Antibiotics - use local guidelines (given to you in exam)
142
Name the most likely causative organism for this scenario: 27-year-old man with CF and productive cough
Pseudomonas aeroginosa
143
Name the most likely causative organism for this scenario: 2 year old girl with productive cough and wheeze
RSV (respiratory syncytial virus)
144
Name the most likely causative organism for this scenario: 69-year-old man with hx of COPD and recurrent LTRIs
Haemophilus influenza
145
Name the most likely causative organism for this scenario: 47-year-old lady with known HIV presents with fever and bilateral infiltrates in lungs
Pneumocystis jirovecii Pneumonia (fungus) - but still treated with an antibiotic (co-trimoxazole)
146
Name the most likely causative organism for this scenario: 37-year-old man of Latvian origin presents with right upper lobe cavity
Mycobacterium Tuberculosis
147
Name the most likely causative organism for this scenario: 48-year-old man with CAP
Streptococcus Pneumonia
148
What organism comes from bad air conditioning (recent travel hx and low socioeconomic status)
- Legionella
149
What type of pneumonia can cause a haemolytic anaemia?
- Mycoplasma pneumonia
150
2 main side effects of any antibiotic?
diarrhoea and a rash
151
Mechanism of action of Penicillin?
inhibits cell wall synthesis
152
Mechanism of action of trimethoprim?
inhibits folate synthesis
153
Mechanism of action of Quinolone (ciprofloxacin)?
acts on DNA gyrase
154
Mechanism of action of Macrolides (Erythromycin, Clarithromycin)?
30 S subunit
155
Mechanism of action of Rifampicin?
inhibits DNA-dependent RNA-polymerase
156
Mechanism of action of Tetracyclines?
30 S subunit
157
Bronchiectasis is likely diagnosis
158
What is this sign on the CT scan and what does it indicate?
signet ring sign and tram line appearance indicates bronchiectasis --> indicates bronchial dilation
159
Lung transplant
160
28 year old man born in Latvia presents with fever, haemoptysis, and night sweats. What are the differential diagnoses?
- TB, Lung cancer (Latvia has bad TB control) - 3 sputum samples to diagnose TB - acid-fast bacilli test
161
Management of TB
162
- Pt has COPD (obstructive pattern) - most likely physiological mechanism for breathlessness is **increased residual volume** - Residual volume = volume of air lef tin lungs after maximum exhalation - COPD has 2 phenotypes: emphysema (gas trapping) and chronic bronchitis
163
Normal lung capacity and normal tidal volume
Normal lung capcaity = 5L Normal tidal volume = 0.5L
164
TH2 Pathway - allergen inhaled, APC (dendritic cell) captures allergen and activates Th2 pathway, then stimulates IL 5, IL 4, IL 13 (4 and 13 work together) - IL 5 - drives eosinophils into airways - eosinophilic inflammation - IL 4 and IL 13 - stimulate B cells to produce IgE specific to allergen inhaled (eg. IgE against pollen) and inflammation occurs, destroys mast cells to produce histamines and leukotrienes
165
- PEF variability: useful as if varies on exercise or different environments then could indicate asthma - Spirometry with reversibility: useful - FeNO (fractional exhaled nitric oxide) test: high lvls indicate that the airways are inflamed - Blood eosinophils: useful - Allergy tests (skin prick, IgE): useful
166
Diagnostic algorithm for presentation with respiratory symptoms (wheeze, cough, breathlessness, chest tightness)
167
Increase ICS (Budesonide) dose to manage inflammation
168
Management of asthma (BTS guidelines over NICE) (BTS use clinical effectiveness whereas NICE use cost-effectiveness data)
- Conservative: avoid allergens (shoot the cats), and check medication adherence and inhaler technique - If the inflammation is not controlled (uses SABA too much) then need to increase ICS before adding LTRA for example
169
Levels of severity of asthma attack
170
- 15L supplemental oxygen via non-rebreather mask, titrate down to maintain 94-98% oxygen (can use nasal cannula or Venturi mask) - Prednisolone 40-50mg (for low eosinophils and for acute exacerbation of asthma - Nebulised SABA (salbutamol)
171
What is most likely diagnosis?
Asthma, due to post-reversibility
172
What type of pattern is shown here?
Restrictive
173
- how well controlled is the asthma?: how many times is pt using their inhaler, are they using correct inhaler technique?, medication adherence - personalised asthma action plan
174
2 phenotypes of COPD
Emphysema and chronic bronchitis
175
MRC dyspnoea scale
176
- post-bronchodilator spirometry - CT scan of chest: can show if any consolidation of lungs (CXR: hyperinflation, bullae, flat hemidiaphragm - hyperinflated lungs push against diaphragm causing it to flatten) - Alpha 1 Antitrypsin lvls: AAT is a protein that protects lungs, low lvls indicate risk of lung disease (from smoking, pollution, or dust from environment) - Elevated Hb (polycythaemia) in FBC --> chronic hypoxia can lead to polycythaemia - Night time waking with breathlessness or cough (dyspnoea) - Significant diurnal or day-day variability of symptoms
177
COPD: - 6 anterior ribs, lungs are long - hyperinflation - flat hemidiaphragm
178
Management
- CURB-65 to assess severity of pneumonia - management: amoxicillin and macrolide (or co-amoxiclav if severe pneumonia), oxygen therapy (use Venturi mask to maintain)
179
Management
supplemental oxygen to achieve 94-98% (Venturi mask 24/28% or nasal cannulae)
180
24-year-old fit and well man presented with a cough for 2 months. Never smoked, works in IT. a) Describe the findings in CXR
a) Bilateral hilar lymphadenopathy b) differentials include lymphoma (B symptoms), sarcoidosis, and TB (weight loss, haemoptysis, area of high-prevalence) c) sarcoidosis management (histology sarcoidosis = non-caseating granuloma)
181
67-year-old lady presents with acute onset breathlessness. Never smoked, no known lung disease ABG (on air): pH 7.36, PaCO2 4.8kPa, pO2 6.5kPa a) Describe ABG findings
a) pH normal, PaCO2 normal, PaO2 low - type 1 respiratory failure b) bilateral interstitial shadowing (pt has finger clubbing, fine end inspiratory crepitations) c) oxygen therapy as pt is hypoxic (patient has IPF)
182
a) Type 2 respiratory failure b) Reduce the O2 flow rate (pt has COPD, need O2 sats to be 88-92%) (oxygen should be given with Venturi mask to control the O2 sats, next step after this is NIV)
183
chronic type 2 respiratory failure (as there is metabolic compensation)
184
Name some causes of interstitial lung disease
- most common type of ILD is IPF (idiopathic) - Causes: asbestosis, coal miner, birds, drugs (methotrexate), sarcoidosis
185
Likely diagnosis? PFTs show a restrictive pattern with reduced TLCO, what is the next best step in the management? 1. wait and watch (follow-up in 6 months) 2. start prednisolone 3. lung biopsy 4. refer to ILD MDT
interstitial lung disease refer to ILD MDT
186
reticulonodular opacity
187
In the classification of ILDs: Match the condition to the appearance UIP and NSIP honeycombing and ground-glass
UIP - honeycombing NSIP - ground-glass pattern
188
List the 5 CTDs associated with ILD
- Lupus erythematous - Rheumatoid arhtirits - systemic sclerosis - Sjorgens syndrome - Vasculitis
189
What is this characteristic appearance and what does it indicate?
- honeycombing - UIP (usual interstitial pneumonia) - diagnosis is IPF
190
What does the * show?
- caseating granuloma - fibroblastic foci
191
- Smoking and ILD = respiratory bronchiolitis ILD - 54yr lady with parrots at home = hypersensitivity pneumonia is - Sarcoidosis = non-caseating granuloma - RA-ILD = UIP - Diffuse systemic sclerosis = NSIP - Dermatomyositis = anti-Jo-1 antibodies - Cryptogenic organising pneumonia = lung biopsy
192
What are the respiratory-specific symptoms to ask about in a respiratory-focused history?
- **Dyspnoea**: SOB (eg. pneumonia, asthma, and COPD) - **Cough**: productive? (eg. pneumonia, COPD, bronchiectasis) or dry? (eg. pulmonary fibrosis, side effect of ACE-i) - **Haemoptysis**: typically associated with lung cancer or TB, but can be a feature of a PE - **Wheeze**: eg. asthma, COPD, and anaphylaxis - **Chest pain**: pleuritic in nature, typically worsened by deep inspiration (eg. PE, pleurisy) - **Systemic symptoms**: fatigue (eg. lung cancer, COPD), fever (eg. pneumonia), and weight loss (eg. end-stage COPD, lung cancer)
193
Respiratory risk factors to ask about in a respiratory-focused history
- Pre-existing respiratory disease (e.g. asthma, COPD) - Family history of respiratory disease (e.g. cystic fibrosis, alpha-1 antitrypsin deficiency) - Smoking - Occupational exposure (e.g. coal mining, farming) - Hobbies (e.g. bird keeping)
194
Main side effect of ACE inhibitors
dry cough
195
What further steps in management would you consider after completing a respiratory-focused history?
- Check O2 sats (SpO2) and provide supplemental oxygen if needed - Take a sputum sample (if indicated) - Peak flow measurement (if relevant - asthma) - Chest X-ray (if abnormalities O/E) - ABG (if indicated) - Perform a full cardiovascular examination (if indicated)
196
What are some signs that a patient is quite badly short of breath?
- nasal flaring - use of accessory muscles - intercostal muscle recession - tripod position (sitting or leaning forwards to support themselves) - inability to speak in full sentences
197
What might pallor on general inspection suggest?
underlying anaemia (eg. haemorrhage, chronic disease)
198
Cyanosis in the hands, indicates?
underlying hypoxaemia
199
Skin changes such as bruising and thinning can be associated with ...?
Long-term steroid use (asthma, COPD)
200
What 4 main conditions are associated with finger clubbing?
- lung cancer - ILD - CF - bronchiectasis
201
Fine tremor of the hands in a respiratory examination is typically associated with ...?
beta-2-agonist use (eg. salbutamol)
202
Asterixis (flapping tremor) can be a sign of ...?
could suggest CO2 retention in conditions that result in type 2 respiratory failure (COPD)
203
Excessively warm and sweaty hands can be associated with what in a respiratory examination?
CO2 retention
204
A bounding pulse in a respiratory examination can be associated with what?
underlying CO2 retention (eg. type 2 resp. failure)
205
Main respiratory cause of a raised JVP?
Pulmonary hypertension which causes right-sided heart failure - (often occurring due to COPD or ILD)
206
4 features of Horner's syndrome, and what causes this to happen?
- **Ptosis, miosis, and enophthalmos**: all features of Horner’s syndrome (anhydrosis is the 4th feature - pt does not sweat) - (Horner’s syndrome occurs when the sympathetic trunk is damaged by pathology such as lung cancer affecting the apex/top of the lung (eg. Pancoast tumour)
207
Conjunctival rim pallor suggests...
underlying anaemia
208
central cyanosis suggests...
hypoxaemia
209
Cricosternal distance of fewer than 3 fingers suggests...
underlying lung hyperinflation (eg. asthma, COPD)
210
# + investigation (and what is the next best step in investigating?)
- Reduced expansion right side, tracheal shift to left, and stony dullness in right side - USS guided-tap of pleural fluid (diagnostic)
211
What sign can be seen on this CXR?
Meniscal sign - typical appearance of a pleural effusion on a cxr
212
- Transudate - heart failure, renal failure - Exudate - malignancy, parapneumonic effusion, rheumatoid arthritis (note: low glucose found in RA patients)
213
Light's criteria for transudate vs exudate in pleural effusion...
- Exudates protein lvl > 30 g/L, Transudates protein lvl < 30 g/L If 25-35 g/L then Light's criteria applied, an exudate is likely if one of the following criteria are met: - Pleural fluid protein divided by serum protein > 0.5 - Pleural fluid LDH divided by serum LDH > 0.6 - Pleural fluid LDH > 2/3 the upper limits of normal serum LDH
214
Management for pleural effusion
- Recurrent aspiration - Pleurodesis - Ambulatory care
215
Management for pulmonary oedema
LNMOP: - L - Loop diuretics - N - Nitrate (GTN) - M - Morphine - O - Oxygen - P - Position upright
216
- Chest x-ray and pleural aspiration - Urgent chest drain insertion (pH < 7.2 suggests serious pleural infection - urgent drain)
217
pleural effusion - left side
218
# What type of pneumothorax? vital signs normal (a bit breathless)
Secondary spontaneous pneumothorax (no role of aspiration - admit and chest drain insertion)
219
Management of tension pneumothorax (haemodynamically unstable)
- needle aspiration/decompression (emergency) - 2nd ICS mid-clavicular line --> followed by insertion of chest drain for definitive treatment
220
Patient came in with a secondary spontaneous pneumothorax, chest drain was inserted...
- CXR shows pneumothorax not resolved - Need to ask for senior help (VATS - can refer from 24hrs after chest drain insertion)
221
- therapeutic needle aspiration (more than 2cm and symptomatic) safe triangle (note: have to trust that pt isn’t lying about smoking etc. which would indicate that it is a secondary spontaneous pneumothorax which would require chest drain)
222
Pulmonary embolism
223
What is the key mechanism of hypoxaemia in a PE? - Ventilatory failure - Anatomical shunting - Physiological shunting - Physiological dead space
- Physiological dead space (physiological shunting = problem with alveoli) (physiological dead space = problem with blood vessel (eg. PE causes blockage))
224
All risk factors for OSA: - Enlarged tonsils —> narrows airway - Morbid obesity —> fat deposition around airways narrows them, fat deposits around thorax reduce chest compliance, functional residual capacity, and increase O2 demand - Acromegaly —> enlarged facial features (lips, nose, cheek, tongue), so narrows airway - Retrognathia —> abnormal position of mandible
225
- Mandibular advancement device --> used for mild sleep apnoea - Epworth score not > 11 —> not ‘sleepy’ —> not CPAP - BMI only marginally raised —> not obese
226
# what is main consequence of chronic hypoxaemia in lungs?
- Can explain consequences of chronic hypoxemia to the patient: pulmonary hypertension … - Advice about driving: it is pt’s responsibility to inform the DVLA if they are not complying with the treatment, doctor’s duty to inform DVLA if driving is their profession (eg. bus driver, train driver …)
227
# what condition might lead to the diagnosis
- Echocardiogram —> Cor pulmonale - (limited systemic sclerosis causes pulmonary hypertension —> right-sided heart failure (cor pulmonale)
228
- they are all causes of pulmonary hypertension
229
Management of PAH symptoms: - hypoxaemia - leg oedema - CTEPH
230
1. ACS 2. Left pleural effusion 3. Pulmonary arterial hypertension 4. Aortic dissection (inter) 5. Right-sided pneumothorax 6. Chronic ventilatory failure
231
- 24yr old student, never smoked, persistent nocturnal cough and breathlessness - O/E scattered wheeze (polyphonic expiratory) SpO2 96% on air - CXR normal What is your main differential and next steps
- Asthma - PEFR - based off age, height, gender - Spirometry with reversibility testing (asthma - obstructive with reversibilty)
232
Spirometry: FEV1 2.2 (62%), FVC 4.5 (99%), ratio 0.48 What pattern is shown in the spirometry?
Obstructive - asthma or COPD - reversibility to differentiate
233
How is reversibility testing done in spirometry?
- SABA (salbutamol) is given via pMDI with spacer (2 puffs) or via nebuliser (2.5mg) - Retest spirometry after 20 mins - Reversibility is classified as increase in FEV1 of at least 200ml or by 12% (note: negative reversibility doesn't rule out ashma - fractional exhaled nitric oxide is next investigation)
234
Venturi mask vs nasal cannulae
- Nasal cannulae is not as controlled as venturi mask - So if pt has CO2 retention or you have target saturations then always use a Venturi mask
235
Target oxygen saturations for normal patients and patients who are at risk of CO2 retention (and are at risk of losing hypoxaemic drive)
- Normal: 94-98% - CO2 retention (eg. chronic COPD): 88-92%
236
TLCO and KCO values in asthma vs COPD (obstructive pattern)
- In asthma, the TLCO and KCO are preserved as asthma is a disease of the airways not the lungs - In COPD, TLCO and KCO are reduced as alveoli affected (emphysema)
237
TLCO and KCO values in restrictive patterns of spirometry
- If TLCO and KCO reduced then suggests ILD (as there is pathology affecting the lungs themselves) - Whereas if TLCO and KCO normal then suggests obesity or scoliosis (as the lungs are healthy)
238
ILD: - symptoms - aetiology/risk factors - O/E - Spirometry pattern - CXR findings - CT findings - different types of ILD
- chronic dry cough - drug causes of ILD: nitrofurantoin (an antibiotic), amiodarone (antiarrhythmic) - occupational hx: asbestos/berelium/silica exposure, coal workers - pets (birds) - O/E: finger clubbing, fine-end inspiratory crepitations - Spirometry: restrictive with reduced TLCO/KCO - Chest x-ray: reticulonodular pattern shadowing/infiltrates - CT: UIP vs NSIP - Idiopathic pulmonary fibrosis (IPF): no obvious cause, UIP pattern, typical spirometry pattern - CTD- associated ILD (RA, systemic sclerosis) - Hypersensitivity pneumonitis (drug-induced, birds at home) - Asbestos-related ILD (Asbestosis)
239
- A: subpleural 'honeycombing' - UIP pattern - B: traction bronchiectasis (description phrase - doesn't mean patient has clinical bronchiectasis)
240
- What does ABG show? - What are the next steps in treatment?
- Type 1 respiratory failure - Intensive monitoring (HDU?) - IV antibiotics (CURB65 is 4) - Increases risk of sepsis - watch for hypotension - If pt does not improve with oxygen then next step in treatment is invasive mechanical ventilation
241
- What does the ABG show? - What is the treatment?
- Significant type 2 respiratory failure - Treatment of choice is NIV (BiPAP)
242
- Large left-sided pleural effusion - Bloods: coagulation screen, inflammatory markers - Plain chest radiograph - Diagnostic pleural tap (aspiration) - The pleural fluid is sent for analysis and LIGHT's criteria is applied to see if exudate or transudate - Also send fluid for microbiology (culture, staining, acid-fast bacilli, cytology - look for malignant cells) - Chest drain to drain pleural effusion as he has significant breathlessness (option of therapeutic aspiration can be done to relieve symptoms)
243
- Not pneumonia as CXR nomral - Sudden onset - PE (venous thromboembolic disease) - Well's score low probability: D-dimer - Well's score high probability: CTPA
244
- Large right-sided pneumothorax
245
- Large right-sided pneumothorax (if > 2cm then significant enough to intervene)
246
Types of pneumothorax and treatment options
- Primary spontaneous (no smoking hx or lung disease): aspiration and then if no improvement then chest drain - Secondary spontaneous pneumothorax (underlying COPD/emphysema, ILD, smoking hx): chest drain (as failure of aspiration high) - Iatrogenic pneumothorax (results from surgery) - Tension pneumothorax (mediastinal shift and hemodynamically unstable): emergency needle decompression (2nd ICS mid-clavicular line), followed with CXR to make sure resolved, then chest drain insertion
247
Anatomical borders of the safe triangle
- Lateral edge of pectoralis major - Base of axilla - Anterior edge of latissimus dorsi ('safe' because avoids damage to chest wall muscles and breast)
248
- post-bronchodilator test negative
- LAMA (tiotropium) + LABA (salmeterol)
249
OSA: - where is the problem (anatomically)? - main risk factor - investigations - management
- problem is in pharynx (genioglossus muscle) - widely prevalent in obese people - narrows airways - don't feel like they have a refreshing sleep, excessive daytime sleepiness (Epworth scale) - polysomnography - weight loss, mandibular advancement device, CPAP at night (weight loss can cure the disease) - OSA increases risk of CAD and stroke
250
X-ray —> suspicion of lung cancer (2 week wait referral)
251
Next steps and investigations?
- CXR shows right upper lobe cancer —> CT scan of lungs to stage the tumour - Tissue biopsy —> bronchoscopy, CT-guided needle biopsy - TNM staging
252
If a patient is on metformin what should they do before a CT scan?
don't take metformin for 2 days before scan
253
Horner's syndrome --> what structure is compressed?
Sympathetic chain
254
Hoarseness of voice --> what structure is compressed?
Recurrent laryngeal nerve --> left apex more likely
255
Hypercalcaemia --> which lung cancer?
SCC
256
Low sodium (hyponatraemia) --> which lung cancer?
small cell lung cancer
257
Which lung cancer has worse prognosis --> non-small cell or small cell And how is success of treatment measured?
small cell --> not curative treatment Measure success of treatment —> 5-year survival rate
258
Breast cancer, ovarian cancer (pleural effusion and Meig syndrome), thyroid
259
What is the treatment for curative and non-curative lung cancer?
- Bronchoscopy --> tissue biopsy - PET-CT scan --> metastases and staging - Referral to MDT - CXR ocnfirms cancer --> CT scan 2 week wait --> biopsy (oncogenes, type of tissue)
260
Neoadjuvant chemo
give chemo before and after surgery
261
# one single metastases vs multiple/diffuse metastases? Lung cancer staging and metastases --> common metastases sites
Metastases —> bone, adrenal, pleural, brain (if one single metastases then can be considered for cure, if diffuse metastases then no cure)
262
68-year-old man has breathlessness. PMH includes prostate cancer
Cannonball metastases —> usually from kidneys, prostate, bladder —> palliative care
263
Nodule vs mass in lung cancer
- <3cm = nodule - >3cm = mass
264
Dx —> cancer, infection, or inflammation
265
- Ask about risk factors --> smoking hx, symptoms, hx of cancer, family hx of cancer, haemoptysis
266
CT-guided biopsy —> to confirm cancer —> MDT decision
267
- No cure —> 18 month prognosis - Give chemo if not contraindicated - no.2 is not true
268
3 and 4 true
269
A 24-year-old male patient attends the emergency department with no past medical history of note but who now presents with acute onset chest pain worse on inspiration. The patient is otherwise stable, and a postero-anterior (PA) chest radiograph confirms a 1.5cm pneumothorax. What is the most appropriate management of this patient at this stage? A - Aspirate the pneumothorax B - Commence high-flow oxygen C - Discharge with follow-up D - Insert a chest drain E - Pleurodesis
C - Discharge with follow-up - pneumothorax <2cm, no pre-existing lung disease, and pt is otherwise stable
270
Parts of the respiratory system overview --> video
Dr Matt and Dr Mike video: https://www.youtube.com/watch?v=Yc2yVIAif9g
271
Respiratory failure in 2 mins video
Dr Matt and Dr Mike video: https://www.youtube.com/watch?v=Y95u-wCfZMs
272
Obstructive sleep apnoea in 2 mins video
Dr Matt and Dr Mike video: https://www.youtube.com/watch?v=VjN1nD9u_RQ
273
Small cell lung cancer paraneoplastic manifestations --> why?
- Paraneoplastic manifestations of small cell lung cancer are produced by their ectopic production of ACTH and ADH - ACTH production --> produces a cushing's syndrome - ADH --> production leads to a dilutional hyponatraemia
274
Which lung cancer results in hypercalcaemia due to PTH production?
Squamous cell lung cancer
275
Alpha-1-antitrypsin = inhibits neutrophil elastase - Smoking --> inactivates alpha-1-antitrypsin - Accumulation of neutrophil elastase - Breakdown of elastic tissue --> breakdown of alveoli
276
277
278
279
280
Clinical features of squamous cell carcinomas --> 4Cs
- Central - HyperCalcaemia --> associated with PTHrP (parathyroid hormone-related protein secretion) - Cavitating lesions - Clubbing
281
282
Bronchial tree anatomy
283
4 complications of regional spread of lung cancer: - hoarseness --> what nerve involved? - dysphagia --> results from? - SVC obstruction --> presentation? - Pancoast tumour --> location + symptoms?
- Hoarseness --> Due to recurrent laryngeal nerve involvement (usually tumour is left side as nerve more vulnerable here) - Dysphagia --> Resulting from oesophageal compression or involvement - SVC obstruction --> Presents with facial swelling, distended neck veins, and upper limb oedema - Pancoast tumour --> type of lung cancer located at the apex of the lung leading to shoulder pain and Horner's syndrome (ptosis, miosis, anhidrosis)
284
Sarcoidosis can result in hypercalcaemia --> why?
- due to increased vitamin D activation by macrophages in sarcoidosis - increased 25-vit D --> 1,25-vit D (more active form)
285
Kyphosis spirometry pattern
Restrictive with normal TLCO
286
Caseating vs non-caseating granuloma
- Caseating --> TB - Non-caseating --> sarcoidosis
287
Peak flow in asthma variability between morning and evening
Variation of more than 20%
288
What is this?
Oral candida infection --> side effect of ICS
289
Indications for stepping up asthma treatment
- using inhaled SABA 3 times a week or more - Have asthma symptoms 3 times a week or more - Are woken at night by asthma symptoms once a week or more
290
Sarcoidosis --> stages of lung disease
291
Alpha-1-antitrypsin levels indicate?
- AAT is a protein that protects lungs, low lvls indicate risk of lung disease --> from smoking, pollution, or dust from environment - This is why alpha-1-antitrypsin deficiency causes COPD and bronchiectasis
292
Meigs syndrome
- ovarian tumor + ascites + pleural effusion
293
Most common genetic cause of pulmonary arterial hypertension?
BMPR2 mutation
294
Penumothorax anatomical location
Between visceral pleural edge and parietal pleural edge (when inserting chest drain --> will only penetrate through parietal pleura)
295
Mucociliary escalator + what powers the cilia to beat?
- Any microorganisms/bad stuff travels in mucus up to oesophagus and then goes down into stomach and gets destroyed - Dyneins power the cilia to beat
296
Ciliary dyskinesia diagram thing
297
Bronchiectasis symptoms
298
Bronchi anatomy thing
299
V/Q (ventilation/perfusion ratio) --> video
Dr Matt and Dr Mike: https://www.youtube.com/watch?v=4OetlK7YQOY
300
Fissures in lungs
- Each lung has oblique (major) fissure - Right lung also has a horizontal fissure that separates the right middle lobe from right upper lobe
301
Oxygen curve thingy
- The higher the PaO2 in the plasma, the more oxygen is bound to the Hb (as determined by O2 saturation) - The lower the PaO2, the less oxygen is bound to the Hb - So when O2 sats are low, the oxygen-carrying capacity of the blood is reduced (as Hb aren’t binding to as much oxygen - due to the curve)
302
Example of V/Q mismatch
303
ABG --> differentials for resp. acidosis/alkalosis, metabolic acidosis/alkalosis, and mixed resp/metabolic acidosis
- Resp. acidosis --> obesity hypoventilation syndrome, asthma, COPD, Guillain-Barre, respiratory depression (e.g. opiates) - Resp. alkalosis --> anxiety (panic attacks), pain, PE, hypoxia (resulting in increased alveolar ventilation in an attempt to compensate), pneumothorax - Metabolic acidosis --> diabetic ketoacidosis - Metabolic alkalosis --> vomiting, diarrhoea - Mixed resp./metabolic acidosis --> cardiac arrest or multi organ failure
304
2-3-Diphosphoglycerate role in oxygen dissociation curve
- promotes hemoglobin transition from a high-oxygen-affinity state to a low-oxygen-affinity state (an increase in 2-3-diphosphoglycerate --> Hb has lower affinity for oxygen so releases it)