Other... Flashcards

(28 cards)

1
Q

Dysplasia –> what is it + is it reversible?

A
  • Disordered cell growth –> usually applied to epithelial cells
  • dysplasia is potentially reversible if the stimulus is removed
How well did you know this?
1
Not at all
2
3
4
5
Perfectly
2
Q

What might happen if dysplasia persists?

A

Dysplasia can progress to carcinoma in situ –> then to invasive carcinoma

How well did you know this?
1
Not at all
2
3
4
5
Perfectly
3
Q

List 3 factors which mediate tumour invasion

A
  • Loss of E-cadherin (epithelial cadherins) –> cell adhesion molecules
    (loss of cell-cell adhesion and cell junctions allows cells to invade surrounding tissues and migrate to distant sites)
  • Secretion of proteinases - breaking down proteins into smaller polypeptides or single amino acids, and spurring the formation of new protein products
  • Growth factor-driven migration
How well did you know this?
1
Not at all
2
3
4
5
Perfectly
4
Q

What is neoplasm?

A

New growth which is clonal, unregulated, and irreversible
–> a neoplasm can be being or malignant

How well did you know this?
1
Not at all
2
3
4
5
Perfectly
5
Q

Which malignant skin tumour does not usually metastasis?

A

BCC

How well did you know this?
1
Not at all
2
3
4
5
Perfectly
6
Q

What are the cytological features of a malignant cell?

A
  • High N-C ratio
  • Dark, variably sized nuclei
  • Irregular chromatin –> mixture of DNA and proteins
  • Irregular nuclear membranes
How well did you know this?
1
Not at all
2
3
4
5
Perfectly
7
Q

Name the malignant tumours which drive from the following 4 cell types?

  • Epithelium
  • Connective/mesenchymal tissue
  • Lymphocytes
  • Haematopoietic cells
A
  • Epithelial cell –> carcinoma
  • Connective/mesenchymal tissue –> sarcoma
  • Lymphocytes –> lymphoma or leukaemia
  • Haematopoietic cells –> leukaemia
How well did you know this?
1
Not at all
2
3
4
5
Perfectly
8
Q

What does tumour grade mean?

A

How closely the tumour resembles the tissue of origin

How well did you know this?
1
Not at all
2
3
4
5
Perfectly
9
Q

What is the tumour stage?

A
  • T-stage –> size/depth of tumour
  • N-stage –> spread to draining lymph nodes
  • M stage –> systemic spread
How well did you know this?
1
Not at all
2
3
4
5
Perfectly
10
Q

List the 3 routes by which tumours can spread

A
  1. via lymphatics
  2. via veins
  3. transcoelomic –> body cavities (eg. pleural metastases)
How well did you know this?
1
Not at all
2
3
4
5
Perfectly
11
Q

How do tumours evade the immune system?

A
  • Selection of antigen negative clone
  • Loss of MHC molecules
  • Expression of immune suppression molecules
How well did you know this?
1
Not at all
2
3
4
5
Perfectly
12
Q

Which molecular targets are used to try to control cancer?

A

Drugs which inhibit:
- receptor tyrosine kinases
- signal transducers
- cyclin-dependent kinases
- vascular endothelial growth factor
- immune checkpoints

How well did you know this?
1
Not at all
2
3
4
5
Perfectly
13
Q

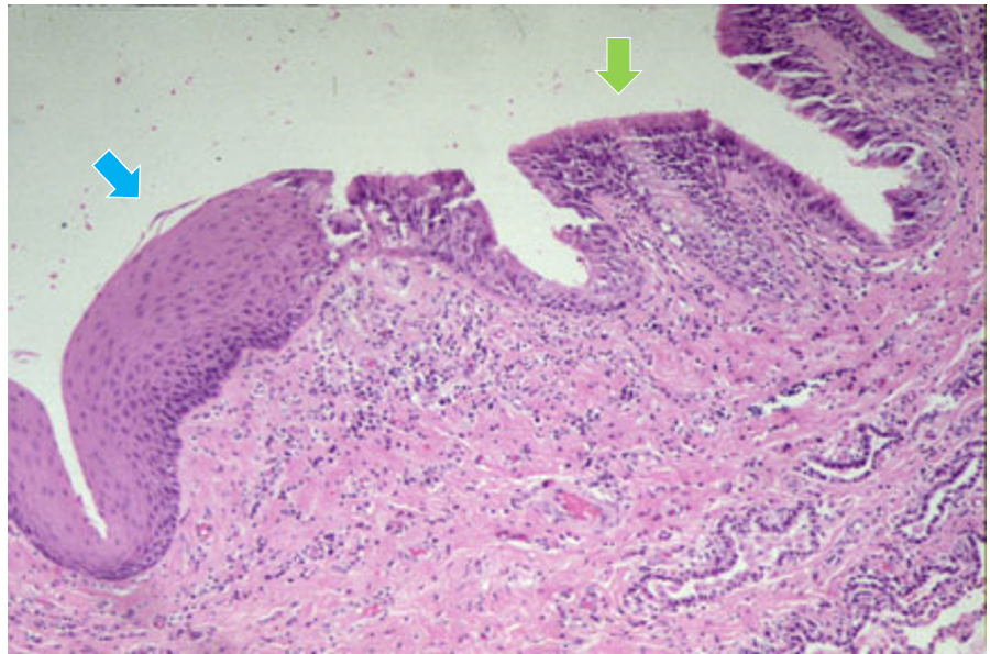
Type of epithelium found in a normal bronchus + if bronchial stem cells are damaged then what can be produced instead

A
  • Normally columnar epithelial cells
  • If bronchial stem cells damaged –> epithelium can produce squamous epithelial cells instead
How well did you know this?
1
Not at all
2
3
4
5
Perfectly
14
Q

Green arrow?
Blue arrow?

A
  • Green –> columnar epithelium
  • Blue –> mature squamous epithelium (columnar epithelium has undergone squamous metaplasia)
How well did you know this?
1
Not at all
2
3
4
5
Perfectly
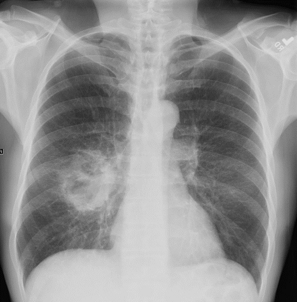
15
Q
A
  • white-greyish mass with black carbon deposits
  • SCCs often show soft, friable areas of necrosis and this often causes central cavitation within the tumour
How well did you know this?
1
Not at all
2
3
4
5
Perfectly
16
Q

Consequence of tumour arising in the bronchus

A
  • Obstruction of the bronchial lumen can result in collapse of the lobe or lung, termed atelectasis
  • If you block a bronchus, you can also cause build up of bronchial secretions behind the obstruction and this stasis predisposes to infection and this is called obstructive bronchopneumonia
  • The repeated cycles of chronic inflammation caused by obstruction can also damage the elastin and smooth muscle of the bronchial wall causing permanent dilation which we call bronchiectasis
17
Q

Epithelial cells normally form coverings and linings but to invade malignant epithelial cells need to become mobile and acquire the ability to migrate. These abilities are normally seen in cells of mesenchymal origin and this change in behaviour seen in carcinoma is often referred to as…

A

epithelial-mesenchymal transition

18
Q

what does the basement membrane contain?

A

Type IV collagen

–> basement membrane contains laminin and type IV collagen

19
Q

Benign vs malignant tumours

20
Q

SNAIL and TWIST

A
  • SNAIL –> transcription factor which can convert epithelial cells into migratory mesenchymal cells
    –> SNAIL genes act as survival factors and inducers of cell movement
  • TWIST can silence e-cadherin expression and can promote epithelial to mesenchymal transformation
21
Q

_____ cleaves type IV collagen of epithelial and vascular basement membranes and stimulates the release of VEGF (vascular endothelial growth factor)

A

MMP-9 (Matrix metalloproteinase 9)

22
Q

Malignant cells vs benign cells

23
Q

What determines patient outcome in carcnioma?

A

Grade –> how closely the tumour resembles the tissue from which it arises –> how aggressive the tumour is likely to be

24
Q

The metastatic cascade

A
  • Detachment of tumour cells from the neighbours
  • Invasion of the connective tissue to reach lymphatics and blood vessels
  • Intravasation into the lumen of vessels
  • Evasion of host defence mechanisms –> such as natural killer cells and T lymphocytes
  • Adherence to endothelium as a remote location
  • Extravasation of the cells from the vessel lumen into the tissue
  • Survival and growth in the new environment
25
Antibiotic classes
Dr Matt and Dr Mike video: https://www.youtube.com/watch?v=gqoqexfqoBM https://www.youtube.com/watch?v=XJEHcpD1kC8
26
Gram +ve vs gram -ve bacteria video
Dr Matt and Dr Mike video: https://www.youtube.com/watch?v=PpqDBK1QQeQ
27
Dermatomes + myotomes + plexuses (cervical, brachial, lumbosacral)
https://geekymedics.com/dermatomes-and-myotomes/
28
SALTER HARRIS