MPOC Flashcards

(89 cards)

1
Q

Qu’est-ce que la maladie pulmonaire obstructive chronique (MPOC)?

A
  • Maladie respiratoire attribuée en grande partie au tabagisme
  • Se caractérise par une obstrution évolutive et partiellement réversible des voies respiratoires, par des manifestations systémiques et par une fréquence et une gravité croissante des exacerbations
How well did you know this?
1
Not at all
2
3
4
5
Perfectly
2
Q

Quelles sont les deux principales entités qui regroupent la MPOC?

A
  • Bronchite chronique
  • Emphysème
How well did you know this?
1
Not at all
2
3
4
5
Perfectly
3
Q

Qu’est-ce que la bronchite chronique?

A
  • Maladie caractérisée par une toux productive d’expectorations la plupart des jours pour au moins 3 mois de l’année durant au moins 2 années consécutives
  • Doit se produire en l’absence d’autres causes identifiables de la toux, comme bronchiectasies et l’asthme
  • Phénotype du “blue bloater
    -Personne en surpoids
    -Beaucoup d’expectorations
    -Cyanosé
    -Épisodes souvent accompagnés d’une aggravation de l’essoufflement et d’oedème des membres inférieurs (insuffisance cardiaque droite reliée à l’hypertension pulmonaire)
How well did you know this?
1
Not at all
2
3
4
5
Perfectly
4
Q

Qu’est-ce que l’emphysème?

A
  • Anomalie morphologique pulmonaire caractérisée par l’augmentation du volume des espaces aériens distaux secondairement à la destruction des parois alvéolaires avec perte de tissu de soutien
  • Phénotype du “pink puffer
    -Personne cachexique
    -Utilise les muscles accesoires de la respiration
    -Beaucoup de dyspnée, moins d’expectorations
    -Thorax distendu (en tonneau) et l’amplitude thoracique est faible
    -Lorsqu’il est assis, le patient adopte naturellement une position penchée vers l’avant
How well did you know this?
1
Not at all
2
3
4
5
Perfectly
5
Q

Complétez la phrase: On estime que __ ? __ des personnes de 35 à 79 ans souffrent d’une obstruction des voies aériennes

A

16,6%

How well did you know this?
1
Not at all
2
3
4
5
Perfectly
6
Q

Quels sont les facteurs de risque associés à la MPOC?

A
  • Tabagisme (MPOC chez 15% des fumeurs)
  • Déficit alpha-1-antitrypsine
  • Pollution atmosphérique
  • Infections respiratoires en bas âge
  • Présence d’hyperréactivité bronchique
How well did you know this?
1
Not at all
2
3
4
5
Perfectly
7
Q

Quelle est la pathologie associée à la MPOC?

A
  • Présence d’une inflammation persistante des petites et des grosses voies aériennes, du parenchyme pulmonaire et de son système vasculaire
  • Inflammation très hétérogène
  • Les macrophages, lymphocytes et neutrophiles sont observés dans les poumons et voies aériennes
    -Libèrent des médiateurs capables d’endommager la structure bronchopulmonaire et de maintenir une inflammation neutrophilique continue
  • Le processus inflammatoire persiste longtemps après le retrait du stimulus (ex: fumée de cigarette)
How well did you know this?
1
Not at all
2
3
4
5
Perfectly
8
Q

Comment se manifeste le processus inflammatoire dans la bronchite chronique?

A
  • Hypertrophie et hyperplasie des glandes muqueuses
  • Altération du transport mucociliaire
  • Obstruction des petites voies aériennes
  • Hypertrophie musculaire lisse bronchique
  • Fibrose péribronchiolaire
  • Bronchiolite
  • Index de Reid augmenté (<0,55)
    -Rapport entre l’épaisseur de la zone de glandes sous-muqueuses vs celle de la paroi bronchique
  • Augmentation du nombre et hyperplasie des cellules à gobelets
  • Atteinte des petites voies aériennes
How well did you know this?
1
Not at all
2
3
4
5
Perfectly
9
Q

Comment se manifeste le processus inflammatoire dans l’emphysème?

A
  • L’inflammation conduit à l’augmentation du volume des espaces aériens distaux secondairement à la destruction des parois alvéolaires et la perte de tissu de soutien
How well did you know this?
1
Not at all
2
3
4
5
Perfectly
10
Q

Qu’est-ce que le déficit alpha-1-antitrypsine?

A
  • Retrouvé dans certains cas d’emphysème familial
  • Déficit congénital en alpha-1-antitrypsine (protège les alvéoles pulmonaires contre la destruction enzymatique)
  • Responsable de <1% des cas d’emphysème
How well did you know this?
1
Not at all
2
3
4
5
Perfectly
11
Q

Quelle est la principale constituante physiopathologique dans la MPOC?

A

Réduction du débit expiratoire

How well did you know this?
1
Not at all
2
3
4
5
Perfectly
12
Q

Quels sont les facteurs qui engendrent une réduction du débit expiratoire?

intrinsèques et extrinsèques

A

Facteurs intrinsèques:

  • Inflammation
  • Oedème
  • Sécrétions

Facteurs extrinsèques:

  • Diminution de la traction radiale des voies aériennes par l’emphysème
  • Compression extra-luminale régionale par des unités alvéolaires dilatées
How well did you know this?
1
Not at all
2
3
4
5
Perfectly
13
Q

Quelle est la principale manifestation clinique associée à la MPOC?

A

Dyspnée

How well did you know this?
1
Not at all
2
3
4
5
Perfectly
14
Q

Quelles sont les modifications pathologiques des voies aériennes et du poumons qui sont responsables des manifestations cliniques de la MPOC?

A
  • La limitation du débit expiratoire, accompagnée de la compression dynamique des petites voies aériennes, compromet la capacité des patients à expirer l’air lors de l’expiration forcée, ce qui entraîne une rétention d’air et une hyperinflation pulmonaire
  • Le volume d’air dans les poumons à la fin de l’expiration augmente, il y a rétention gazeuse
  • Lorsque la fréquence respiratoire augmente (et que le temps expiratoire diminue), il y a une augmentation de la rétention gazeuse (hyperinflation pulmonaire dynamique), ce qui comporte pour le patient de graves conséquences, à l’origine de la dyspnée
  • Au fil des années, le système respiratoire subit des changements dus à l’hyperinflation pulmonaire
    -Reconfiguration de la cage thoracique
    -Les muscles respiratoires (surtout le diaphragme) s’adaptent pour pouvoir générer les pressions nécessaires malgré le désavantage mécanique
  • Inégalités régionales de la ventilation et de la perfusion dans le poumon
    -Hypoxémie
    -Hypercapnie
  • La destruction du lit vasculaire (par l’emphysème) et l’effet vasoconstricteur de l’hypoxémie chronique entraînent une hypertension pulmonaire et une insuffisance cardiaque droite
How well did you know this?
1
Not at all
2
3
4
5
Perfectly
15
Q

Quels sont les symptômes cardinaux de la MPOC?

A
  • Dyspnée
  • Intolérence à l’effort
How well did you know this?
1
Not at all
2
3
4
5
Perfectly
16
Q

Comment peut-on évaluer la dyspnée?

A
  • Avec l’échelle de classification de la dyspnée MRC
How well did you know this?
1
Not at all
2
3
4
5
Perfectly
17
Q

Qu’est-ce que l’échelle de dyspnée MRC? Quels sont les grades et les symptômes associés?

A

Grade 1:

  • Le patient est essoufflé à l’effort vigoureux

Grade 2:

  • Le patient est essoufflé lorsqu’il marche rapidement sur une surface plane ou s’il monte une pente légère

Grade 3:

  • Le patient marche plus lentement que les individus du même âge sur une surface plane ou arrête pour reprendre son souffle lorsqu’il marche à son rythme sur une surface plane

Grade 4:

  • Le patient arrête pour reprendre son souffle après avoir marché 100 mètres

Grade 5:

  • Le patient est trop essoufflé pour quitter la maison ou s’essouffle lorsqu’il s’habille
How well did you know this?
1
Not at all
2
3
4
5
Perfectly
18
Q

Que comprend l’évaluation clinique d’une personne chez qui on suspecte une MPOC?

A
  • Anamnèse
  • Évaluation de la dyspnée
  • Fréquence des exacerbations
  • Recherche de complications/comorbidités associées
  • Examen physique
How well did you know this?
1
Not at all
2
3
4
5
Perfectly
19
Q

La MPOC s’associe fréquemment à d’autres pathologies. Quelles sont-elles?

A
  • Ostéoporose
  • Glaucome/cataractes
  • Cachexie/malnutrition
  • Dysfonction musculaire périphérique
  • Cancer du poumon
  • Dépression
How well did you know this?
1
Not at all
2
3
4
5
Perfectly
20
Q

Vrai ou faux? Le bronchitique chronique caractéristique prend le nom de “pink puffer”

A

Faux. Le bronchitique chronique caractéristique prend le nom de “blue bloater

How well did you know this?
1
Not at all
2
3
4
5
Perfectly
21
Q

Qu’est-ce que l’hippocratisme digital?

A
  • Aussi connu sous le terme “clubbing”
  • Augmentation du volume des ongles (aspect bombé)
How well did you know this?
1
Not at all
2
3
4
5
Perfectly
22
Q

Est-ce que l’hippocratisme digital est une manifestation de la MPOC?

A
  • Non
  • La présence de clubbing chez un individu porteur d’une MPOC devrait faire rechercher la présence d’un cancer du poumon
How well did you know this?
1
Not at all
2
3
4
5
Perfectly
23
Q

Nommez différentes méthodes diagnostiques de la MPOC

A
  • Spirométrie
  • Radiographie pulmonaire
  • Volumes pulmonaires et diffusion au monoxyde de carbone
  • Gazométrie artérielle
  • Tests à l’exercice
  • Recherche de l’éosinophilie sanguine
How well did you know this?
1
Not at all
2
3
4
5
Perfectly
24
Q

Que permet la spirométrie dans le diagnostic de MPOC?

A

Objectiver l’obstruction des voies aériennes

How well did you know this?
1
Not at all
2
3
4
5
Perfectly
25
Qui devrait passer une spirométrie?
* **Fumeurs de 40 ans** et plus **si**: -Tousse régulièrement -Expectore régulièrement -Dyspnée lors de tâches simples -Respiration sifflante à l'effort ou la nuit -Rhumes fréquents et qui persistent plus longtemps
26
Comment classifie-t-on les différents stades de MPOC à l'aide de la spirométrie?
27
Quelles sont les variables qu'il faut regarder sur une spirométrie?
* VEMs/CVF post bronchodilatateur pour faire le diagnostic * VEMs pour grader la sévérité de l'obstruction (post-bronchodilatateur)
28
Selon la spirométrie suivante, est-ce que le patient souffre de MPOC? Si oui, quel stade?
VEMs: 41% (sévère car entre 30 et 50%) VEMs/CVF: 31% < 70% (obstruction non-réversible) Diagnostic: MPOC sévère
29
Selon la spirométrie suivante, est-ce que le patient souffre de MPOC? Si oui, quel stade?
VEMs: 86% VEMs/CVF: 71% (réversible) Diagnostic: Pas de MPOC
30
Selon la spirométrie suivante, est-ce que le patient souffre de MPOC? Si oui, quel stade?
VEMs: 59% (modéré car entre 50 et 80%) VEMs/CVF: 46% (pas réversible BD) Diagnostic: MPOC modérée
31
À quoi sert la mesure des volumes pulmonaires et de la diffusion au monoxyde de carbone?
* **Évaluer** les **répercussions** de la maladie -Mesure de l'hyperinflation pulmonaire et de la rétention gazeuse * Évaluer la **sévérité de l'emphysème** -Diffusion abaissée dans l'emphysème, habituellement normale dans la bronchite chronique
32
Quels sont les signes radiologiques associés à une bronchite chronique?
* **Augmentation** de la **trame trachéo-bronchique** * **Augmentation** du **volume** des **artères pulmonaires** * Hyperinflation moins marquée que dans l'emphysème
33
Quels sont les signes radiologiques associés à de l'emphysème?
* Signes marqués d'**hyperinflation pulmonaire** -Augmentation de la distance entre les côtes -Diaphragme abaissé -Augmentation de l'espace rétrosternal * **Bulles** d'emphysème * **Grosses artères pulmonaires** avec atténuation rapide des vaisseaux en périphérie
34
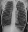
La radiographie de ce patient MPOC démontre plus une bronchite chronique ou de l'emphysème?
Bronchite chronique
35
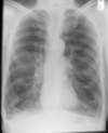
La radiographie de ce patient MPOC démontre plus une bronchite chronique ou de l'emphysème?
Emphysème
36
Chez quels patients devraient-on faire une gazométrie artérielle?
* Chez les patients dont le **VEMs** est **très abaissé** (<40% de la valeur prédite) si l'oxymétrie révèle qu'il y a **réduction de la PaO2** ou s'il y a des **signes d'hypoxémie sévère** ou d'**insuffisance cardiaque droite**
37
Qu'est-ce qu'on évalue en prenant la mesure des gaz capillaires ou veineux?
* pH, PCO2 et HCO3 * Pour déterminer l'impact ou la sévérité de l'exacerbation aiguë de MPOC
38
À quoi sert le test à l'exercice dans le diagnostic de MPOC?
* Peut être utile pour **objectiver les conséquences** de la maladie -Test de marche de 6 minutes et l'épreuve d'effort maximal sur ergocycle * Peut être utilisé pour **évaluer les risques associés à une chirurgie pulmonaire** chez un patient MPOC qui serait aussi porteur d'un cancer du poumon * La mauvaise tolérence à l'effort constitue un prédicteur de mauvais **pronostic** dans la MPOC
39
Que permet la tomodensitométrie dans le diagnostic de la MPOC?
* La TDM axiale thoracique permet de mieux **caractériser l'emphysème** que la Rx pulmonaire -Permet d'exclure les autres causes de dyspnée * Permet de dépister le cancer pulmonaire
40
Que permet l'échographie cardiaque?
* Évaluer la fonction cardiaque droite et gauche * Permet à l'occasion d'estimer la pression artérielle pulmonaire
41
À quoi sert la FSC dans le diagnostic de MPOC?
* Peut être utile pour identifier un sous-groupe de patients à risque d'exacerbations fréquentes et qui répondent mieux aux stéroïdes inhalés lorsqu'une **éosinophilie** marquée y est retrouvée
42
Différenciez asthme et MPOC
**Asthme:** * Généralement < 40 ans * Antécédents de tabagisme non causal * Expectorations rares * Allergies fréquentes * Dyspnées intermittentes * Évolution stable avec exacerbations * Spirométrie souvent normale * Réversibilité aux BD **MPOC:** * Patients plus âgés (>40 ans) * Antécédents de tabagisme * Symptômes chroniques qui évoluent lentement au fils du temps avec exacerbations * Symptômes cliniques persistants * Spirométrie ne se normalise jamais * Absence de réversibilité aux BD
43
Qu'est-ce qui pourrait indiquer un syndrome de chevauchement asthme-MPOC?
* **Grandes fluctuations du VEMs à la prise de BD** **à courte action** ou suite à un essai de traitement peut indiquer un asthme surajouté, si l'obstruction bronchique n'est que partiellement réversible
44
Nommez différentes causes, autre que l'asthme et la MPOC, de dyspnée chronique?
* Maladie cardiovasculaire (insuffisance cardiaque) * Maladie vasculaire pulmonaire (embolies pulmonaires) * Déconditionnement * Anémie * Maladies pulmonaires interstitielles
45
Quels sont les 3 critères nécessaires pour donner un diagnostic de syndrome de chevauchement asthme-MPOC?
* **Diagnostic de MPOC** clairement **établi** sur la base de **facteurs de risque habituels**, des **symptômes** et de la **spirométrie** * **Histoire d'asthme** (diagnostic antérieur d'asthme basé sur la spirométrie, symptômes actuels ou antérieurs d'asthme) * **Obstruction bronchique persistante** à la spirométrie (VEMs/CVF <0,7)
46
À quoi sert le traitement de la MPOC?
* Prévenir la progression de la maladie * Soulager la dyspnée et les autres symptômes respiratoires * Améliorer la tolérance à l'exercice * Prévenir et traiter les exacerbations * Améliorer la qualité de vie * Réduire le taux de mortalité
47
Quelles sont les étapes de l'approche intégrée (par palliers) de la prise en charge de la MPOC?
1. Cessation tabagique, vaccination, BACA prn 2. Thérapie inhalée à longue action 3. Réhabilitation pulmonaire 4. Thérapies orales 5. Oxygénothérapie à long terme et ventilation non-invasive 6. Transplantation pulmonaire
48
Quels sont les éléments d'un programme d'éducation structuré sur la MPOC?
* Abandon du tabac * Renseignement de base (anatomie et physiopathologie) * Justification des traitements médicaux * Technique efficace d'usage des médicaments inhalés * Stratégies pour soulager la dyspnée * Prise de décision au sujet des exacerbations de la MPOC * Discussion sur la fin de vie * Identification des autres ressources d'éducation
49
Quelles sont les recommandations vaccinales des patients MPOC?
* Influenza (tous les ans) * Vaccin anti-pneumococcique (tous les 5-10 ans) * Covid
50
À quoi servent les bronchodilatateurs? | Traitement MPOC
* Constituent les **pilliers du traitement pharmacologique** de la MPOC * **Réduisent le tonus des muscles lisses** des voies aériennes et **améliorent** ainsi le **débit expiratoire** * Peut être administré par **voie orale** ou **inhalé** (préféré) -Le traitement par voie aérienne est moins susceptible de provoquer des effets secondaires systémiques
51
Quelles sont les deux classes importantes de BD?
* Bêta-2-agonistes * Anticholinergiques * Théophylline (n'est plus utilisée)
52
Qu'est-ce que les bêta-2-agonistes?
* Agonistes des récepteurs bêta * Se **lient aux récepteurs adrénergiques de type b2** présents sur la muqueuse bronchique * La stimulation de ces récepteurs induit une **élévation des concentration d'AMPc** -Stimule les kinases qui inhibent la phosphorylation de la myosine et abaissent les concentrations intra-cellulaires de calcium * Ces actions sont associées à la **relaxation du muscle lisse** des voies respiratoires
53
Comment fonctionnent les anti-cholinergiques?
* Se lient aux **récepteurs cholinergiques de type muscarinique** du muscle lisse bronchique * La liaison entraîne la **baisse de la concentration de GMPc** et produit une **bronchodilatation locale**
54
Quel est le mécanisme d'action de la théophylline?
* **Inhibe la phosphodiestérase**, ce qui conduit à l'**augmentation de la concentration d'AMPc** dans les tissus * L'AMPc entraîne une **faible bronchodilatation**, la stimulation du SNC et des effets cardiaques chronotropes et inotropes positifs
55
Quelles sont les différentes classes d'anti-inflammatoires utilisés dans le traitement de la MPOC?
* Stéroïdes inhalés * Stéroïdes systémiques * Inhibiteur de la phosphodiestérase 4
56
Où se situent les stéroïdes inhalés dans le traitement de la MPOC?
* Ne devraient **pas** être considérés comme un traitement de **première intention** * Plusieurs études n'ont pu démontrer un effet bénéfique sur le déclin de la fonction pulmonaire caractéristique de la MPOC * La diminution du taux des exacerbations représente la seule évidence d'un effet significatif des CSI * L'utilisation régulière doit être **réservée aux MPOC modérés ou graves**, avec exacerbations réccurentes * La diminution du taux des exacerbations par l'utilisation d'un CSI seul est similaire à celle attribuable aux BALA * Les recommandations actuelles sont que les CSI ne devraient pas être utilisés seuls, mais plutôt **en combinaison avec un BALA** ou chez les patients qui présentent des exacerbations fréquentes sous forme de **triple thérapie** (CSI + BALA + anticholinergique à longe action)
57
Quelle est la place des stéroïdes systémiques dans le traitement de la MPOC?
* La corticothérapie orale prolongée est **déconseillée dans la MPOC**, car elle ne procure généralement aucun bénéfice et risque d'avoir des effets systémiques graves * Ont un intérêt dans le **traitement des exacerbations aiguës** de MPOC
58
Comment fonctionne l'inhibiteur de la phosphodiestérase 4 (roflumilast) dans le traitement de la MPOC?
* Le mode d'action du roflumilast consiste en l'**inhibition sélective de la PDE4**, une importante enzyme qui métabolise l'AMPc retrouvée dans les cellules de la paroi bronchique et dans les cellules inflammatoires du poumon * Agit principalement par son action **anti-inflammatoire** * Indiqué dans la **MPOC sévère associée à a bronchite chronique**, chez les patients ayant des **exacerbations fréquentes** * Améliore la fonction respiratoire (VEMs et CVF) et réduit le taux d'exacerbations modérées ou sévères
59
Quelle est la fonction des antibiotiques dans le traitement de la MPOC?
* Principalement l'azythromycine (zythromax) * Permettent de réduire la fréquence des EA * Utilisés soit die (2x/jour) ou 3x/semaine
60
Quelles sont les dernières recommandations canadiennes sur le traitement pharmacologique de la MPOC?
* L'utilisation de la médication est ajustée à la sévérité de la maladie et à la réponse du patient à la médication -La sévérité de la dyspnée et la fréquence des exacerbations guident la prescription * Chez un patient symptômatique, le traitement peut débuter par la prise d'un BACA * Une prise régulière de BACA suggère qu'un BALA devrait être introduit * Si la dyspnée persiste, 2 BALA de classes différentes (b2 et anticholinergiques) -L'utilisation d'un seul inhalateur combiné est préféré * Si le patient présente des exacerbations fréquentes ou si on suspecte un syndrome de chevauchement, on peut introduire des CSI * Un CSI seul ne devrait pas être utilisé dans le traitement de la MPOC stable
61
Qu'est-ce que la réadaptation respiratoire?
* **Pratique thérapeutique** consistant en la mise en oeuvre de **programme multidisciplinaire individualisé** afin que le patient puisse atteindre une capacité fonctionnelle maximale, compte tenu de son incapacité pulmonaire et de son état général * Centrée sur l'**entraînement physique**
62
Quelles sont les composantes d'un programme de réadaptation respiratoire complet?
* Entrevue médicale * Traitement pharmacologique adéquat * Programme d'exercices physiques adaptés * Programme d'éducation * Support psychosocial
63
Quelle est la durée d'un programme de réadaptation respiratoire?
* Un programme type dure 12 semaines, 3 sessions de 3h par semaine
64
Quels sont les critères d'éligibilité à un programme de réadaptation pulmonaire?
* MPOC symptômatique cliniquement stable * Capacité à l'exercice réduite * Dyspnée augmentée malgré un traitement pharmacologique adéquat * Absence de contre-indication à l'exercice
65
Quels sont les bénéfices de la réadaptation respiratoire?
* Réduit la dyspnée * Augmente l'endurance à l'exercice * Améliore la qualité de vie
66
Quels sont les critères d'éligibilité à l'oxygénothérapie?
* PaO2<55 mmHg * PaO2 <59 mmHg en présence de; -Oedème périphérique -Hématocrite > 55% -Des ondes P pulmonaires à l'ECG
67
Vrai ou faux? L'oxygénothérapie peut être prescrite chez les patients MPOC souffrant d'une hypoxémie à l'effort
Faux. L'oxygénothérapie peut être prescrite chez les patients MPOC souffrant d'une hypoxémie **de repos**
68
Quels sont les traitements chirurgicaux de la MPOC?
* Chirurgie de l'emphysème * Transplantation pulmonaire
69
Qu'est-ce que la chirurgie de l'emphysème?
* Chirurgie de réduction du volume qui consiste à enlever des zones emphysémateuses du poumon devenues dysfonctionnelles afin de restaurer la configuration de la cage thoracique et réduire l'hyperinflation pulmonaire
70
Quels patients MPOC sont considérés comme candidats potentiels à une greffe pulmonaire?
* Cessé définitivement de fumer depuis au moins 6 mois * Remplissent au moins un des critères suivants: -VEMs <25% de la prédite -PCO2 > 55mmHg -Coeur pulmonaire (insuffisance cardiaque droite)
71
Qu'est-ce que la thérapie de remplacement de l'alpha-1-antitrypsine?
* Le traitement standard requiert des infusions hebdomadaires ou mensuelles d'une préparation purifiée d'alpha-1-antitrypsine * Corrige potentiellement le déficit biochimique en augmentant les taux sériques d'alpha-1-antitrypsine au-delà du seuil théorique de protection
72
Qu'est-ce que l'exacerbation aiguë de MPOC?
* Aggravation soutenue de la dyspnée, de la toux ou de la production des expectorations qui entraîne une augmentation de l'usage des médicaments d'entretien ou un apport de médicaments supplémentaires
73
Quelles sont les causes des EAMPOC?
* Environ la moitié sont de nature infectieuse (virale ou bactérienne) * Fumée de cigarette * Exposition à des irritants non spécifiques * Air froid * Polluants
74
Quelles sont les indications d'une référence en pneumologie dans un contexte de MPOC?
**Avis diagnostique:** * Diagnostic incertain * Symptômes disproportionnés aux tests de fonction respiratoire * Exacerbations fréquentes * MPOC jeune (<40 ans) ou avec histoire familiale de MPOC **Avis thérapeutique:** * MPOC sévère ou très sévère * Coeur pulmonare (signes d'insuffisance cardiaque droite) * Évaluation des besoins en O2 * Évaluation de l'indication et des modalités de réadaptation respiratoire * Évaluatuon des besoins de stéroïdes systémiques * Chute rapide du VEMs * Emphysème bulleux
75
Comment sont classifiées les EAMPOC selon Anthonisen?
**Type 1:** * Aggravation de la dyspnée * Augmentation du volume des expectorations * Augmentation de la purulence des expectorations **Type 2:** * 2 critères sur 3 **Type 3:** * 1 des 3 critères avec au moins 1 des suivants; -IVRS dans les 5 derniers jours -Fièvre sans autre cause -Sibilances augmentées -Toux augmentée -Augmentation de la FC ou du RR >20%
76
Comment classifie-t-on les EAMPOC selon la gravité de la maladie?
* Exacerbations simples * Exacerbations complexes
77
Quelles sont les caractéristiques des exacerbations simples? Quels sont les pathogènes en cause?
* VEMs >50% * <65 ans * 1 exacerbation/an * Aucune comorbidité **Pathogènes probables:** -Haemophilus influenzae -Moraxella catarrhalis -Steptococcus pneumoniae
78
Quelles sont les caractéristiques des exacerbations complexes?
* VEMs < 50% * >4 exacerbations/an * >65 ans * Comorbidité (coeur pulmonaire, insuffisance cardiaque) * Antibiotique au cours des derniers 3 mois * Corticothérapie orale chronique * Oxygénothérapie à domicile **Pathogènes probables:** -Haemophilus influenzae -Moraxella catarrhalis -Steptococcus pneumoniae -Autres bacilles Gram négatif -Probabilié accrue de résistance aux bêta-lactamines
79
Qu'est-ce qui constitue la cause principale de visites médicales, d'hospitalisation et de mortalité dans la MPOC?
Les exacerbations aiguës
80
Qu'est-ce que le système de classification ABE?
* Aide à évaluer la gravité clinique de la MPOC et à choisir le traitement approprié * La dyspnée est évaluée avec le mMRC et le risque d'exacerbation est déterminé selon le nombre d'exacerbations dans la dernière année
81
Quel est le traitement recommandé pour un GOLD A?
1. BACA PRN 2. BALA ou AMLA (anticholinergique longue action)
82
Quel est le traitement recommandé pour un GOLD B?
1. AMLA ou BALA 2. AMLA + BALA 3. AMLA + BALA + CSI 4. Référer pneumologue
83
Quel est le traitement recommandé pour un GOLD E?
1. AMLA 2. AMLA + BALA 3. AMLA + BALA + CSI 4. Roflumilast ou azythromycine (référer pneumologue)
84
Quels sont les traitements pour une EAMPOC?
* **Bronchodilatateurs** -Prise plus régulière de BACA * **Corticothérapie** -Permet d'améliorer la VEMs et diminue la récidive des exacerbations * **Antibiotiques** -Lorsque exacerbations purulentes au moment de l'exacerbation
85
Quels antibiotiques sont recommandés pour une exacerbation simple?
* Amoxicilline * Doxycycline * TPM/SMX
86
Quels antibiotiques sont recommandés pour une exacerbation complexe?
* Amoxicilline/clavulanate * Fluoroquinolone
87
Quelles sont les indications d'hospitalisation pour une EAMPOC?
* Dyspnée sévère * Hypoxémie sévère nécessitant un supplément O2 temporaire * Acidose respiratoire aiguë (pH <7,35) * Niveau de conscience altéré ou délirium * Support à domicile inadéquat et retour à domicile périlleux
88
Comment prévenir les EAMPOC?
* Vaccination antigrippale * Éducation (autogestion et plan d'action) * Utilisation régulière des BALA ou AMLA * Utilisation régulière d'une combinaison de stéroïdes inhalés et d'un BALA * Antibioprophylaxie et le roflumilast dans un sous-groupe de patients * Arrêt tabagique
89
Quels traitements donnent-on à un patient MPOC comme soins de fin de vie?
* La thérapie bronchodilatatrice devrait être maximisée * O2 (incertain) * Narcotiques pour soulager les MPOC qui souffrent de dyspnée de repos * Traitement pharmacologique et non-pharmacologique de l'anxiété