MRI Flashcards

(74 cards)

1
Q

What artifact is this?

A

Motion/Phase mismapping

How well did you know this?
1
Not at all
2
3
4
5
Perfectly
2
Q

What direction is motion artifact in ?

A

Phase encoding direction

How well did you know this?
1
Not at all
2
3
4
5
Perfectly
3
Q

How does motion artifact happen?

A

Motion causes the development of differenect phase shifts from static tissues that causes incorrect spatial location of those tissues during phase enconding

How well did you know this?
1
Not at all
2
3
4
5
Perfectly
4
Q

What are the three types of motion?

A

Gross movement of the patient

Macroscopic (normal physiology)

Microscopic (flow and diffusion effects)

How well did you know this?
1
Not at all
2
3
4
5
Perfectly
5
Q

Motion is most severe in what direction?

A

Phase encoding direction

How well did you know this?
1
Not at all
2
3
4
5
Perfectly
6
Q

What artifact is this?

A

Motion/Phase mismapping

How well did you know this?
1
Not at all
2
3
4
5
Perfectly
7
Q

Ways to reduce phase mismapping/motion?

A

Anesthesia

Cardiac gating

Padding

Breath hold techniques

Increase number of averages

Radial or ratating overlapping sampling of k-space

Faster sequences (Single shot and echo planar)

How well did you know this?
1
Not at all
2
3
4
5
Perfectly
8
Q

What is the time of flight effect?

A

It is when there is flow through a plane of the image and that flow is somewhat or completely replaced between the RF pulses.

How well did you know this?
1
Not at all
2
3
4
5
Perfectly
9
Q

How does time of flight effect appear on spin echo sequences and why? How does it look on gradient echo sequences and why?

A
  1. Spin echo sequences have a 90 and 180 degree pulse. Tissue that recieve both are the only ones that create a signal on spin echo sequence. So if flow only recieves a 90 degree pulse but not a 180 then there will be a void.
  2. Gradient echo sequences only have a 90 degree pulse and no 180. So you actually see an enhancement of signal from areas of flow
How well did you know this?
1
Not at all
2
3
4
5
Perfectly
10
Q

What artifact is this and what sequence?

A

TOF and spin echo due to the lose of signal

How well did you know this?
1
Not at all
2
3
4
5
Perfectly
11
Q

What artifact is this and what sequence is it?

A

TOF effect and gradient echo sequence due to gain of signal.

How well did you know this?
1
Not at all
2
3
4
5
Perfectly
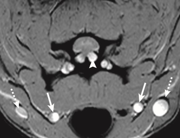
12
Q

What artifact is this?

A

Slice entery artifact

How well did you know this?
1
Not at all
2
3
4
5
Perfectly
13
Q

Why does slice entry artifact happen?

A

As a proton moves through a stack of slices they become more and more saturated. That means that slices the protons in the middle of the stack of slices will have less and less signal while the protons in the entry of stack have a large amount of signal

How well did you know this?
1
Not at all
2
3
4
5
Perfectly
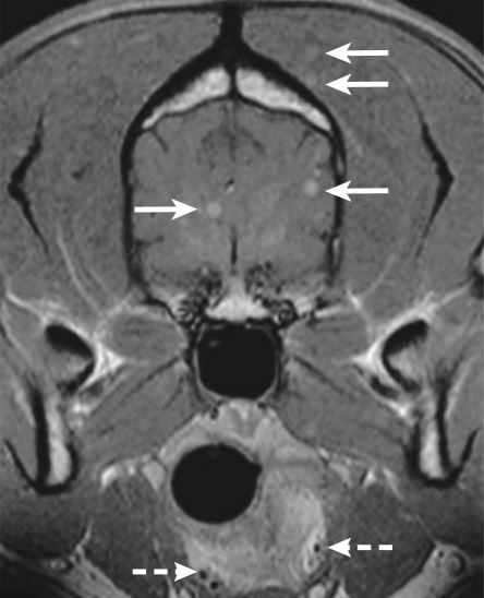
14
Q

What is this artifact?

A

Flow related intravoxel dephasing

How well did you know this?
1
Not at all
2
3
4
5
Perfectly
15
Q

Why does flow-related intravoxel dephasing occur?

A

Different velocities of flow are present in the same voxel. So they have picked up different amounts of phase and there for likely cancel each other out. Causing reduction of signal

How well did you know this?
1
Not at all
2
3
4
5
Perfectly
16
Q

What are the flow artifacts?

A

Time of flight

Entry slice phenomenon

Intravoxel dephasing

How well did you know this?
1
Not at all
2
3
4
5
Perfectly
17
Q

How to correct of intravoxel dephasing?

A

Gradient moment rephasing pulse known as flow compensation.

How well did you know this?
1
Not at all
2
3
4
5
Perfectly
18
Q

Vascular flow artifacts depend on what?

A

Pulse sequence

TR

TE

Slice thickness

Direction of flow

Velocity of flow

Turbulence of flow

How well did you know this?
1
Not at all
2
3
4
5
Perfectly
19
Q

What type of flow likely has more vascular flow artifact? Laminar or turbulent

A

Turbulent

How well did you know this?
1
Not at all
2
3
4
5
Perfectly
20
Q

What can you do to reduce flow artifact from effecting the rest of the image?

A

Add a saturation band.

How well did you know this?
1
Not at all
2
3
4
5
Perfectly
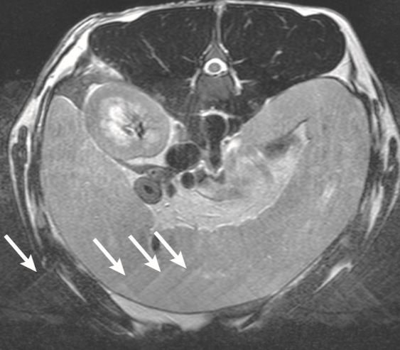
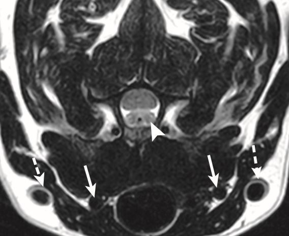
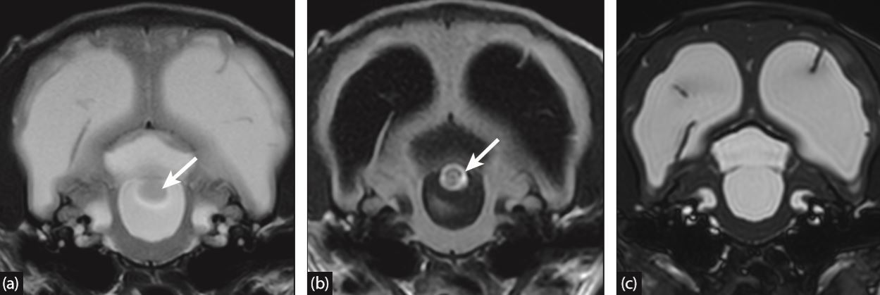
21
Q

What artifact is this?

A

CSF flow artifact causing a pseudolesion

How well did you know this?
1
Not at all
2
3
4
5
Perfectly
22
Q

What direction is the pulsatility artifact seen in?

A

Phase encoding and only in this direction

How well did you know this?
1
Not at all
2
3
4
5
Perfectly
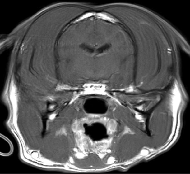
23
Q

What is this artifact?

A

Pulsatility artifact/ghosting

How well did you know this?
1
Not at all
2
3
4
5
Perfectly
24
Q

How to deminish the effects of the pulsatility artifact?

A

Change FE and PE directions

Radial encoding of k-space

Flow compensation.

How well did you know this?
1
Not at all
2
3
4
5
Perfectly
25
What artifact is this?
Zipper artifact
26
How is the zipper artifact produced?
Lack of shielding causing the leakage of an external RF signal. Width of the artifact depends on the frequency of the RF signal.
27
What is this artifact?
Spike or herringbone artifact
28
How is the spike or herringbone artifact produced?
There is a loose electrical connection. It is likely going to occur during a gradient sequence when a lot of electriticity is used. Can also occur if there is a build up of static electricity in the room. (Too dry or failure of humidification system)
29
What are the shield-related artifacts?
zipper Spike/herringbone
30
What is this artifact?
Coil artifact. The strength of signal is larger in the tissues closest to the coil. This is an example of a spine coil.
31
What is this artifact?
Cross-talk
32
How is cross talk artifact created?
If you over lap sets of slices than some the protons already experienced a RF pulse and therefore are saturated. This will cause loss of signal.
33
What artifact is lost during slice selection?
Cross-excitation
34
How can you tell the difference between real pathology and artifact?
Artifacts are usually inconsistent and only seen in one imaging plane.
35
What artifact is this?
Phase-wrap/wraparound/aliasing
36
What artifact is this?
Phase wrap/wraparound artifact/aliasing
37
How does aliasing/wrap around/phase wraping occur?
It occurs when the field of view (FOV) is too small in the PE direstion
38
What is the difference between phase wrap in a 3D image vs a regular sequence?
In 3D images the phase wrap occurs in the slice encoding direction as well... therefore you can see phase wrap in both directions.
39
How do you prevent aliasing/phase wrap?
FOV in the PE direction needs to be larger than the area of anatomy being imaged Phase oversampling needs to be used
40
What is this artifact?
Gibbs/truncation/ringing artifact
41
Why does gibbs/truncation artifact occur? How can you correct this?
It is caused by under sampling and cannot be completely eliminated. It is corrected by increasing the matrix or decreasing voxel size or by increasing the phase encoding steps.
42
What artifact is this?
Bo-sensitive banding artifact
43
Why does Bo-sensitive banding artifact occur?
It occurs in balanced steady-state free precession sequences due to Bo uniformity resulting in phase accumulation during acquisition. The bands accumulate at intervals related to TR and therefore reducing the length of TR is useful to deminish this artifact.
44
What is this artifact?
Chemical shift Type 1 It is characterized by a dark line on one side of an organ and a white side on the other. It can mistaken for meningeal thickening,
45
How to reduce a chemical shift?
Fat Suppresion Technique Increasing bandwidth - this increases the number of frequencies allowed and there for reduces the contrast in the image and there for reduces the stark nature of the chemical shift.
46
What direction is the chemical shift arifact?
Frequency direction only in SE
47
What is the 2nd order chemical shift artifact (phase-cancellation artifact)?
Only happens in the gradient echo sequences and not the spin echo sequences. It creates black lines on the boundaries of tissues when the voxels have both water and fatty tissues in them. Water and fat have different frequenceis and will enhance the signal or cancel eachother out depending on the time sampled. TEs that are most effected (2.2ms, 6.6ms, 11.0ms) So change TE
48
What artifact is this?
Chemical shift of the second kind/india ink/black line artifact/phase cancellation Only in gradient echo sequences
49
How is chemical shift created?
Protons in fat are covered by a large cloud of electrons. Protons in water are not and in fact the oxygen atom in water is pulling the electron cloud away and exposing the H+. This allows greater influence of the Bo on the water molecules causing them to have higher frequencies. Now, since spatial position along the freq encoding direction is based on resonant frequency this will cause fat molecules (slow frequency) that are in the same voxel as water molecules to create a signal that will appear to have arisen from a water proton from another voxel (slower frequency voxel than the voxel it is actually in). SO BASICALLY... FAT ACTS LIKE WATER and either adds to tissue that contains water (making it bright) or takes away from fat (making it dark) The definition of chemical shift is the difference in frequency between fat and water. This difference is more at higher telsa magnets
50
What does the arrow represent?
air bubble
51
What happens when you under sample on frequency?
aliasing
52
Fourier transformation allows for what?
A signal in the time domain (amplitude over time) to be transformed into the frequency domain (relating to amplitude over frequency) Basically it tells you what frequencies are the highest in that tissue. The frequency (or amount of a frequency) will give the signal intensity.
53
**WHEN IS SAMPLING OF THE ECHO SIGNAL OCCURING?**
During the frequency encoding gradient.
54
The echo is coming from what?
It is coming from ONE slice during on TR which is then layed down into ONE line of k-space
55
What is the chemical shift of the 1st kind? what is the consequence?
Misregistration of signals from fat to a location lower down the frequency encoding direction... occurs when receiver bandwidth (range of allowed frequencies) for the pixel encompassing fat/water is smaller than the chemical shift of the protons in fat and water... which is **(224 Hz at 1.5T)** Basically you have too small of a bandwidth and there for the frequencies of fat in the pixel (ex. 185 Hz) is thought to be located farther down the frequency encoding gradient (so the fat actually moves location) Consequence: Bright crescent on the side having the overlap of fat and water, and dark crescent at the side having fat signal subtracted. THE FAT ALWAYS MOVES.. NOT THE WATER! Black crescent is on the side of the lower frequencies.
56
What is the chemical shift of fat and water? (difference in processional rates)
224 Hz at 1.5 T
57
What is the remedies of Chemical shift of the 1st kind?
Swap phase and frequency direction Increase bandwidth Increase frequency encoding gradient Use fat suppression
58
Chemical shift of the 2nd kind happens in what sequence and why?
In gradient sequences. there is no refocusing pulse. This causes fat and water to go in and out of phase with eachother. At 2.2, 6.6, 11, 15.4msec at 1.5T machince they will be out of phase and if they share a pixel then they cancel each other out.
59
Chemical shift of the 2nd kind consequence?
Boundaries around organs surrounded by fat are black.. indian ink.
60
How to get rid of chemical shift of the 2nd kind?
Pick a diffferent TE - because then it won't land on the 2.2 or 6.6 or 11 etc Use fat suppression Don't use a gradient echo.
61
What is aliasing?
Anatomy outside the field of view still gets magnetic influence from the gradient and still gives an echo. In the phase direction we only encode for 0-360 degrees of phase shift. Tissues outside the FOV have ambiguous phase shift and they get ploted onto the wrong line of K-Space Consequence: signals from outside the FOV are mismapped or wrapped or folded into the tissues of interest.
62
What can you do about aliasing?
Change phase and frequency encoding step. Make FOV bigger Increase the number of phase encoding steps (known in the biz as, extended matrix, no phase wrap, phase oversampling) - Basically you got from 0-400 or 450 degree rather than 360 degrees in order to give those tissues outside the FOV (which is 0-360 degrees) a place to be plotted even though they are no included in the image.
63
What is truncation?
Restriction of the fourier representation used to reconstruct the MR signal. Basically we can't keep sampling and sampling to get the exact MRI signal so we truncate or restrict the number of samples we take from the signal giving us a representation of that signal. This cause omission at the high frequency areas or high contrast interfaces when reconstructing the signal. Consequence: Parallel and oscillating dark and bright bands occuring in both PHASE and FREQUENCY directions. (more evident in the phase direction) Minic a syrinx.
64
How to remedy truncation?
Decrease pixel size Increase phase encoding steps (increase matrix) Decrease FOV
65
What is motion artifcat?
Happens in the phase direction as it induces erroneous phase shifts. Blurry image or bands or ghosting
66
Motion remedies?
Restraint Breath hold Pre-saturation pulse Gating Averaging techniques Swap Phase and frequency
67
Susceptibility artifact is?
Differing magnetic susceptibilities cause marked inhomogeneity in the field strength and thus cause fast dephasing and signal loss.
68
Magnetic susceptibility...types?
Paramagnetic - uneven # of electrons, when exposed to magnetic field it adds to the strengthen of that field (Gadolinium, deoxyhemoglobin, methemoglobin, malanin, iron, manganese) Diamagnetic - detract from magnetic field Ferromagnetic - retain magnetism even after take away from the magnetic field...increases strength so much
69
What pulse sequences are most and least susceptible?
FSE - least due to multiple 180 refocusing pulses canceling out the static inhomogeneities Conventional spin echo - more prone than FSE Gradient Echo - lack of 180 degree pulse T2\* - extended TE
70
Remedies for susceptibility?
Short TE FSE Add shims Propler or Blade into k-space
71
Zipper artifcat
Unwanted signal PHASE encoding gradient
72
What is pseudolayering of the bladder?
Gadolinium in the bladder due to excretion The high concentration is gravity dependent... high concentration of Gadolinium is actually T2 shortening and there for on T1 images this show up as dark. On the top of the high concentration is low concentration gadolinium which causes T1 shortening (bright) Then pure urine which is dark on T1 again.
73
Remedy of pseudolayering?
None
74
CSF flow void?
Signal void in CSF space (mesencephalic aqueduct/syrinx) Rapid flowing CSF doesn't stay in slice long enough for echo No remedy Tells us that there is COMS