Radiology Flashcards

(14 cards)

1
Q

What artifact is this? How is it made and corrected?

A

Grid cutoff

How well did you know this?
1
Not at all
2
3
4
5
Perfectly
2
Q

What is this artifact? Fix?

A

Over exposure

Reduce technique

How well did you know this?
1
Not at all
2
3
4
5
Perfectly
3
Q

What is the artifact? Fix?

A

Paradoxic overexposure (greyscale is reversed)

IDR only

Decrease technique

How well did you know this?
1
Not at all
2
3
4
5
Perfectly
4
Q

Artifact? Fix?

A

Underexposure.

Lack of technique

Faulty tube

x-ray obstruction

How well did you know this?
1
Not at all
2
3
4
5
Perfectly
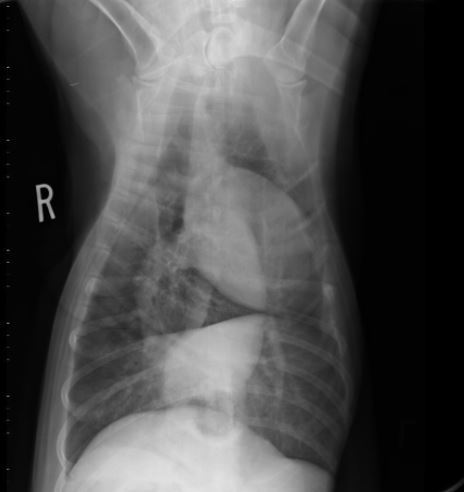
5
Q

Artifact? Fix?

A

Rebound or uberschwinger

Minimize edge enhancement

How well did you know this?
1
Not at all
2
3
4
5
Perfectly
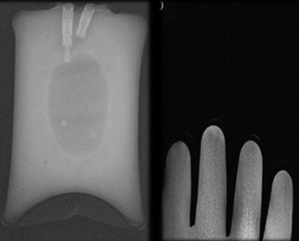
6
Q

Artifact? Fix?

A

There are two rads in that image… one with the glove is the artifact and the one without it is normal.

Density threshold - metal object change the gray-scale to exclude your wanted anatomy .

Remove metal object

How well did you know this?
1
Not at all
2
3
4
5
Perfectly
7
Q

Artifact? Fix?

A

Up side down or distance decentered on a focused grid.

How well did you know this?
1
Not at all
2
3
4
5
Perfectly
8
Q

Artifact? Fix?

A

Calibration mask

You calibrated the detector with something in the way and so it is on there all the time.

Recalibrate

How well did you know this?
1
Not at all
2
3
4
5
Perfectly
9
Q

Artifact and fix?

A

Flipped detector - not back scatter

How well did you know this?
1
Not at all
2
3
4
5
Perfectly
10
Q

Artifact and fix?

A

Double exposure - usually CR

How well did you know this?
1
Not at all
2
3
4
5
Perfectly
11
Q

Artifact and fix?

A

Light leak - CR

How well did you know this?
1
Not at all
2
3
4
5
Perfectly
12
Q

Artifact and fix?

A

Roller artifact.

Call someone and get new film

How well did you know this?
1
Not at all
2
3
4
5
Perfectly
13
Q

Artifact and fix?

A

Faulty transfer

Retake film

How well did you know this?
1
Not at all
2
3
4
5
Perfectly
14
Q

Artifact and fix?

A

Moire - Sampling read at the level of the grid lines

Oscilate grid

Grid reduction algorithms

Grid oriented perpendicular to plate reader

How well did you know this?
1
Not at all
2
3
4
5
Perfectly