DIGA O NOME DESTE MÚSCULO

MÚSCULO SUBESCAPULAR
DIGA O NOME DESTE MÚSCULO

MÚSCULO REDONDO MAIOR
NOME DESTE MÚSCULO

MÚSCULO REDONDO MENOR
DIGA O NOME DESTE MÚSCULO

MÚSCULO INFRAESPINHOSO
DIGA O NOME DESTE MÚSCULO

MÚSCULO SUPRAESPINHOSO
DIGA O NOME DESTE MÚSCULO

MÚSCULO DELTÓIDE
MÚSCULOS QUE FORMAM O MANGUITO ROTADOR?
SUBESCAPULAR
SUPRAESPINHAL
INFRAESPINHAL
REDONDO MENOR
QUAL A ESTRUTURA ASSINALADA NA IMAGEM OBTIDA EM UMA ULTRASSONOGRAFIA DE OMBRO?

PORÇÃO EXTRA ARTICULAR DO TENDÃO DA CABEÇA LONGA DO BÍCEPS BRAQUIAL
QUAL A ESTRUTURA ASSINALADA NA FIGURA?

PORÇÃO INTRA ARTICULAR DO TENDÃO DA CABEÇA LONGA DO BÍCEPS BRAQUIAL
QUAL A ESTRUTURA ASSINALADA NA FIGURA?

TENDÃO DO MÚSCULO SUPRAESPINHAL
QUAIS AS ESTRUTURAS NUMERADAS NA FIGURA?

1 - TENDÃO DO SUPRAESPINHAL
2 - TENDÃO DO SUBESCAPULAR
3 - TENDÃO DA CABEÇA LONGA DO BÍCEPS (INTRARTICULAR)
4 - LIGAMENTO GLENO-ULMERAL
5 - LIGAMENTO CORACO-ULMERAL
QUAL A ESTRUTURA ASSINALADA NA FIGURA?

TENDÃO DO SUBESCAPULAR (CORTE LONGITUDINAL)
QUAL A ESTRUTURA ASSINALADA NA FIGURA?

TENDÃO DO INFRAESPINHAL
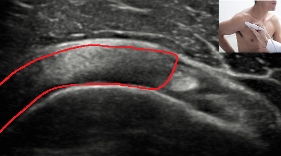
QUAL A ESTRUTURA ASSINALADA NA FIGURA?

TENDÃO DO SUPRAESPINHAL
SEXO FEMININO, 32 ANOS DE IDADE, LUXAÇÃO TRAUMÁTICA DO OMBRO HÁ 1 SEMANA. QUAL O DIAGNÓSTICO?

LESÃO DE HILL-SACHS
4 regras do TCG?
o que esse achado representa?
quais os 4 diagnósticos possíveis?

sequestro ósseo
escolar assintomático
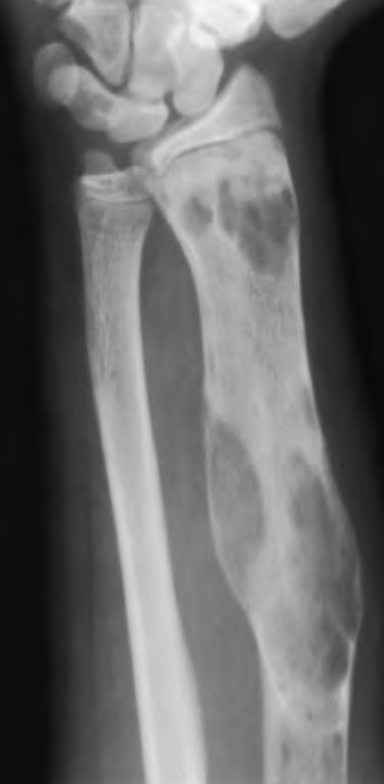
descrever e dar diagnóstico mais provável e diferenciais.

Lesão lítica alongada, com aspecto em “vidro fosco”, zona de transição curta, focos de esclerose, localizada em osso longo
Q
Classificação de Salter-Harris dessa lesão?

Fratura tipo I de Salter-Harris: fratura através da placa de crescimento
Classificação de Salter-Harris dessa lesão?

Fratura tipo II de Salter-Harris: fratura envolve a placa de cresimento e a metáfise
Classificação de Salter-Harris dessa lesão?

Fratura tipo III de Salter-Harris: fratura envolve a placa de cresimento e a epífise
Classificação de Salter-Harris dessa lesão?

Fratura tipo IV de Salter-Harris: Fratura através da placa de crescimento, envolvendo a metáfise e a epífise
Classificação de Salter-Harris dessa lesão?

Fratura tipo V de Salter-Harris: fratura compressiva através da placa de crescimento