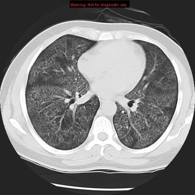
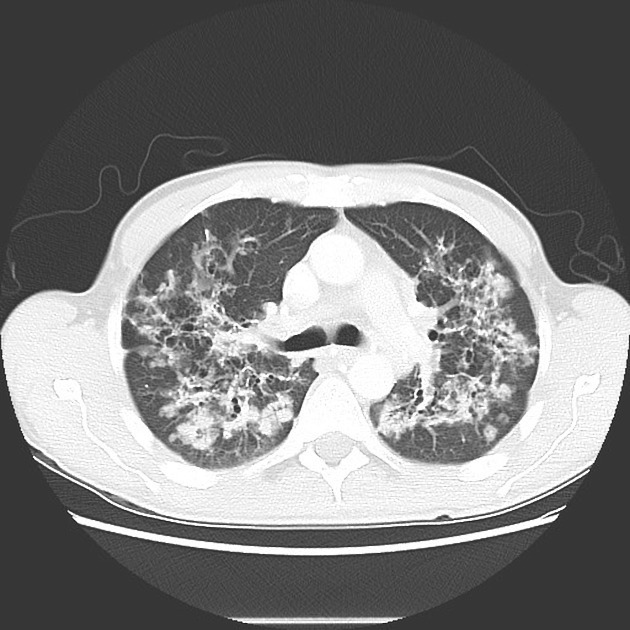
PACIENTE 35 ANOS, SEXO MASCULINO, DISPNÉIA HÁ 4 DIAS.

opacidades em vidro fosco difusas associadas a espessamento de septos interlobulares (crazy paving)
PROTEINOSE ALVEOLAR
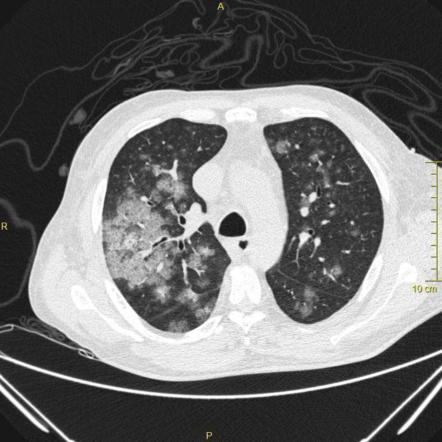
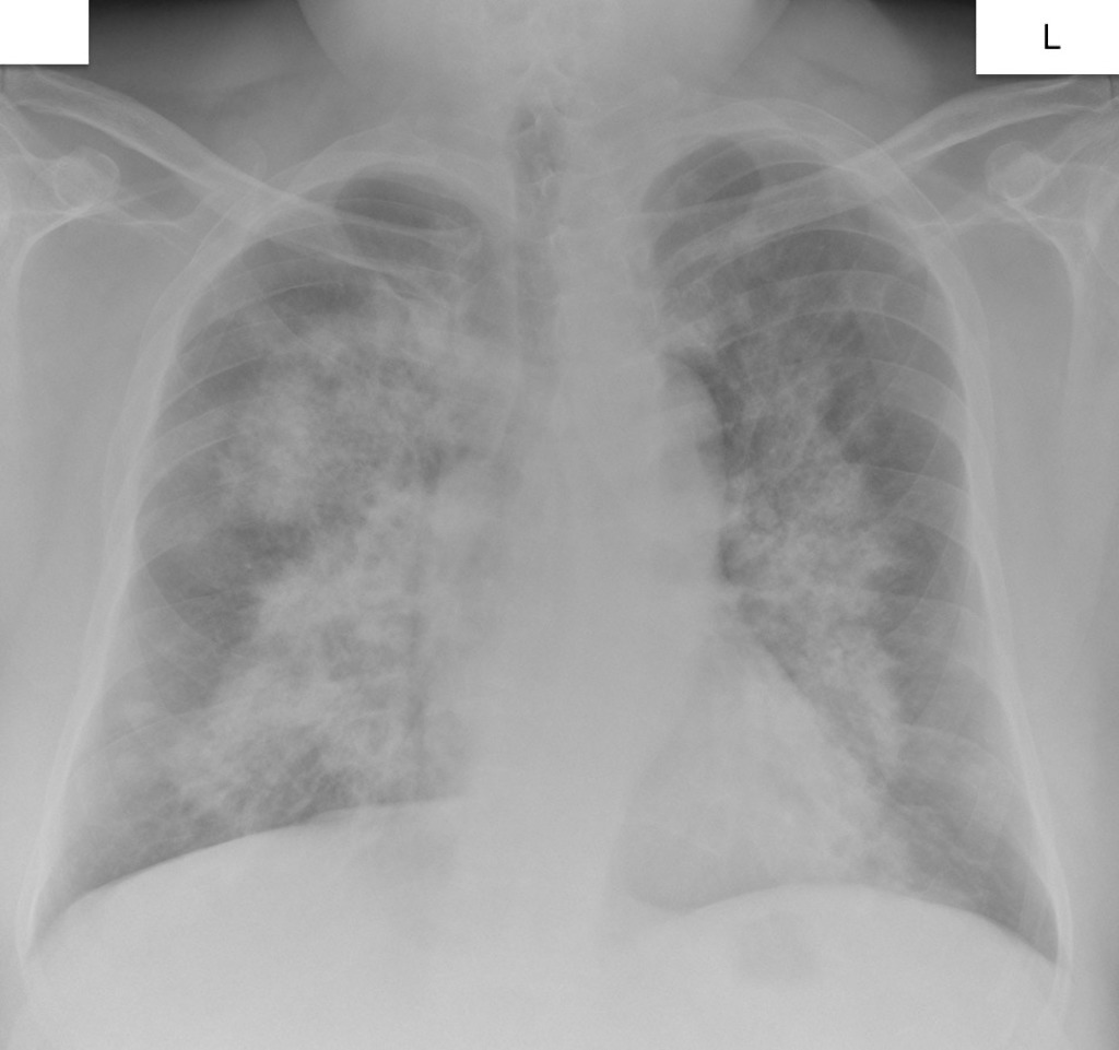
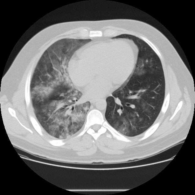
HOMEM, 50 ANOS, INTERNADO POR DISPNEIA + HEMOPTISE DE INÍCIO SÚBITO

áreas de opacidade em vidro fosco associadas a espessamento de septos interlobulares e intralobulares
HEMORRAGIA PULMONAR
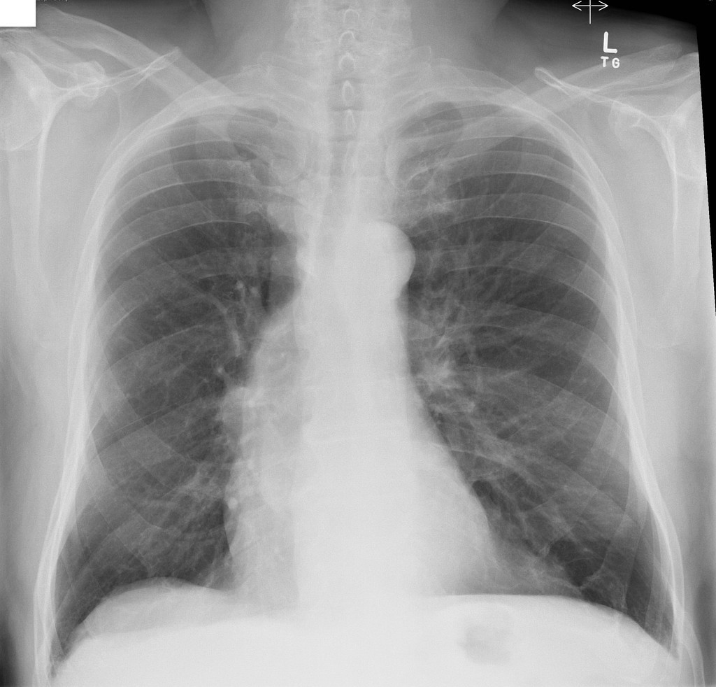
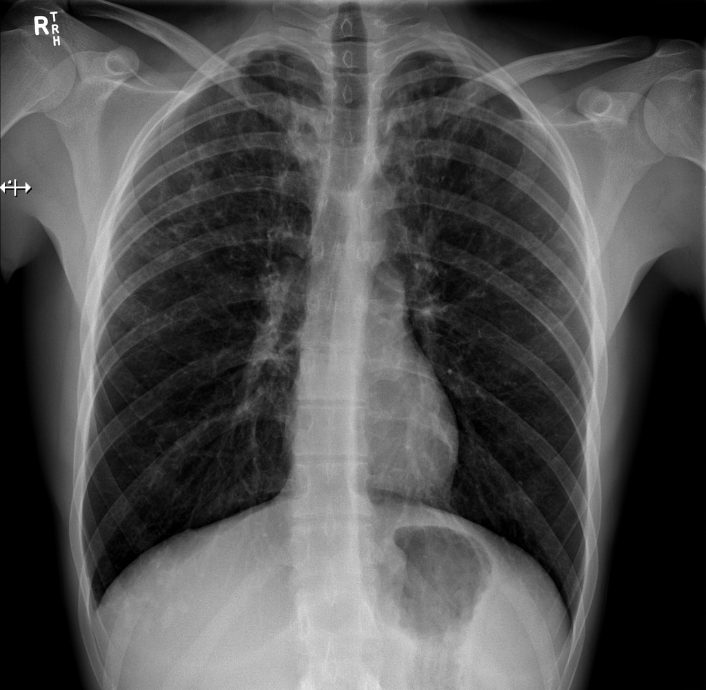
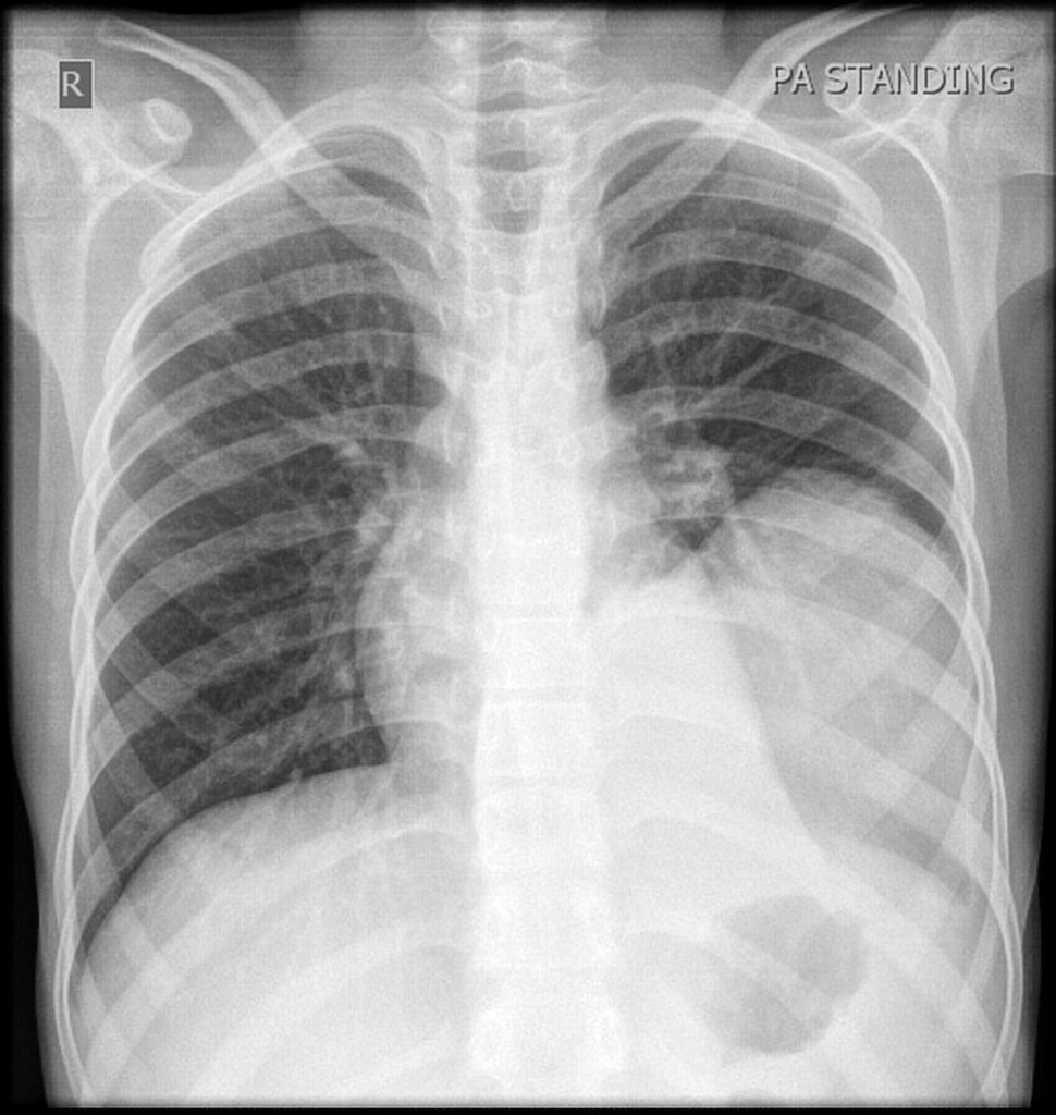
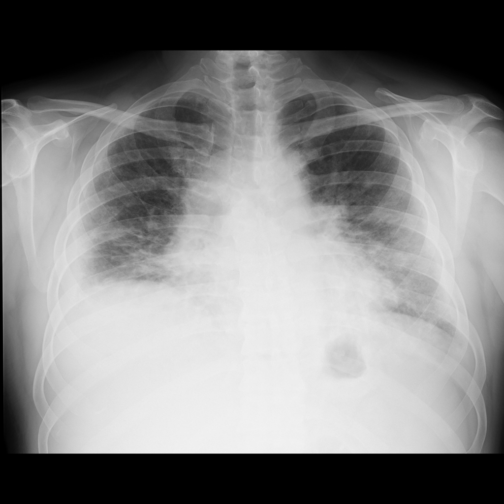
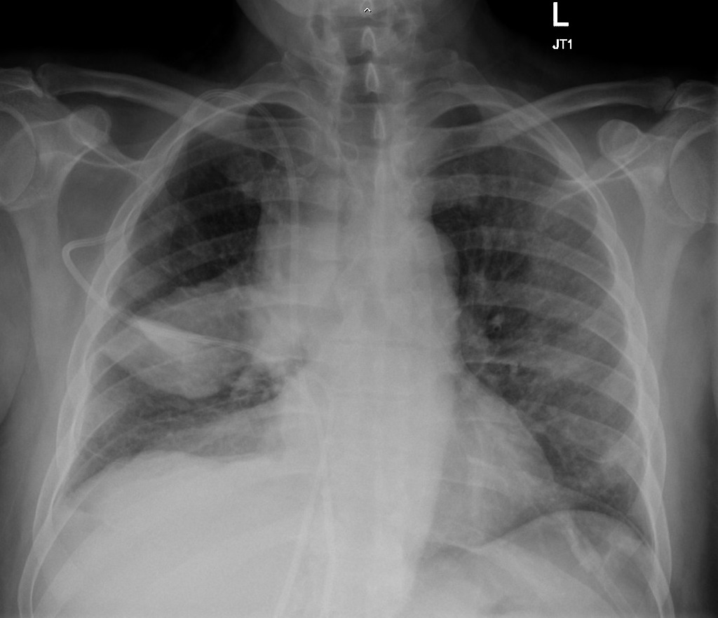
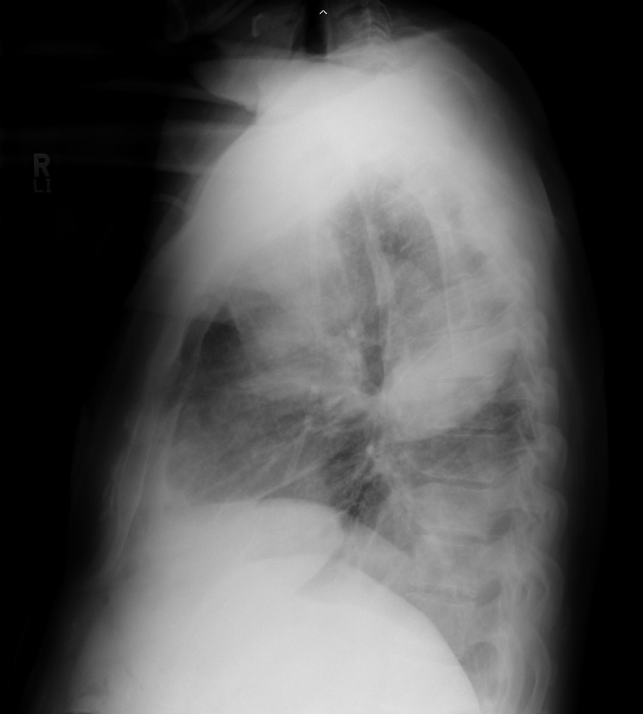
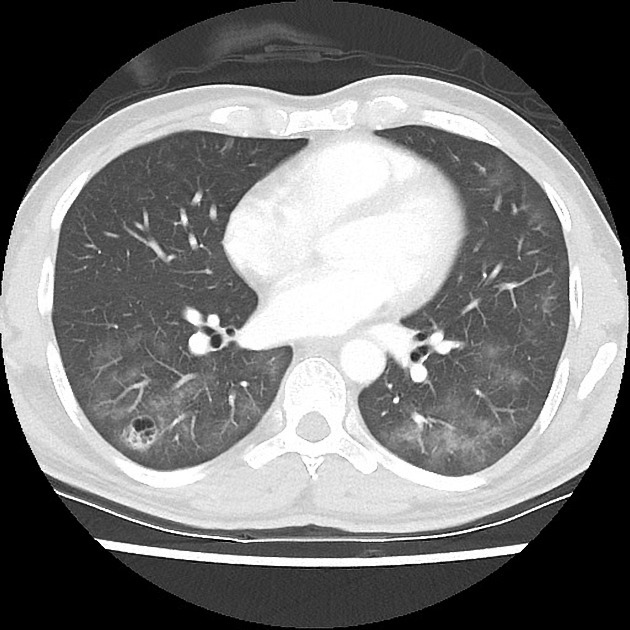
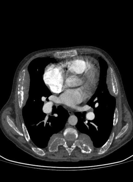
75 ANOS DE IDADE, REFERE DOR TORÁCICA

duplo contorno da borda cardíaca esquerda devido a dilatação da aorta ascendente
ANEURISMA DE AORTA ASCENDENTE
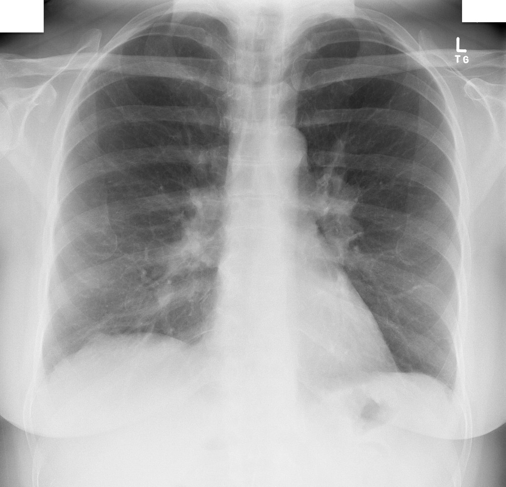
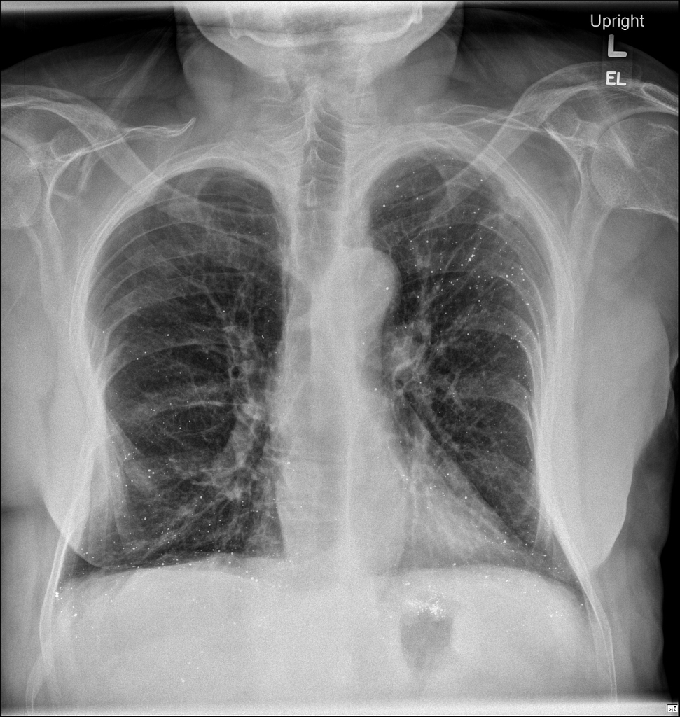
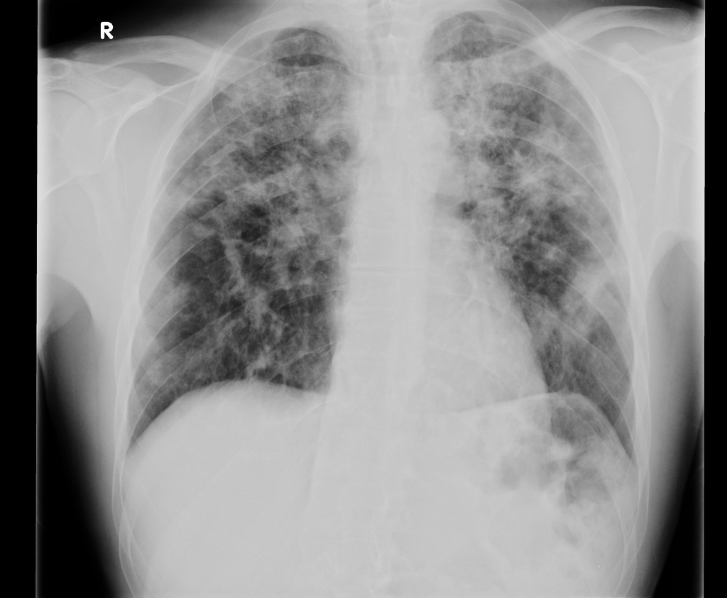
MULHER, 60 ANOS, REFERE “RESPIRAÇÃO CURTA” E TOSSE SECA HÁ VÁRIOS MESES

aumento e indefinição dos hilos pulmonares bilateralmente.
LINFADENOPATIA HILAR DEVIDO A SARCOIDOSE
25 ANOS, RAIO-X PRÉ-OP

PECTUS EXCAVATUM

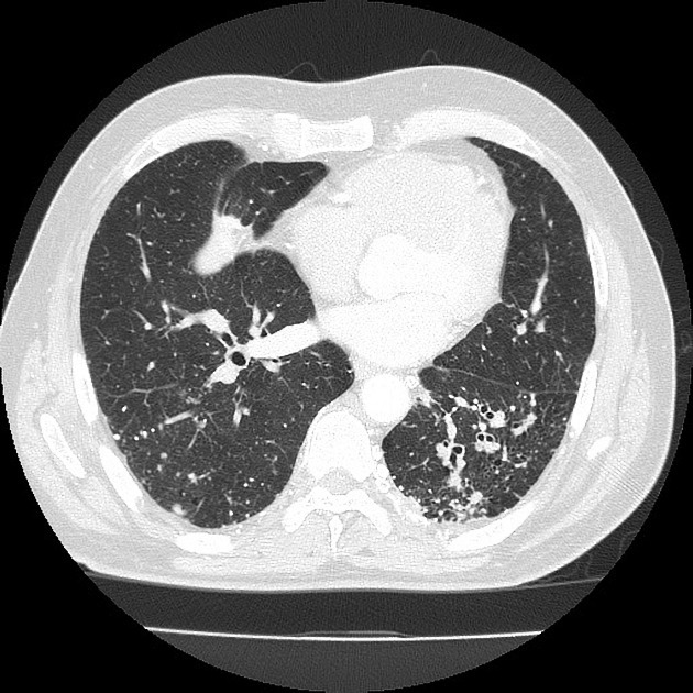
HOMEM, 35 ANOS, TOSSE CRÔNICA

PROTEINOSE ALVEOLAR
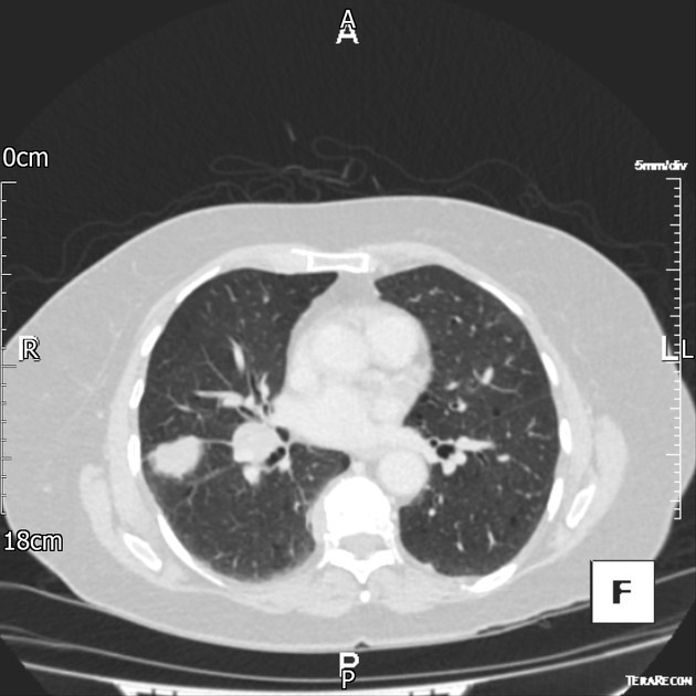
MULHER DE 75 ANOS DE IDADE COM QUEIXA DE PERDA DE PESO

opacidades nodulares de tamanhos variados localizadas ao longo das fissuras interlobares à direita, associado a enfisemas centrilobulares esparsos bilateralmente
MESOTELIOMA PLEURAL MALIGNO
HOMEM DE 55 ANOS DE IDADE COM HISTÓRIA DE HEMOPTISE DE INÍCIO SÚBITO

cavidade de paredes finas na projeção do ápice pulmonar esquerdo apresentando zona preenchida por material com densidade de partes moles nas porções inferiores (sinal do crescente aéreo)
ASPERGILLOMA
HOMEM DE 20 ANOS APRESENTANDO TOSSE CRÔNICA

espessamento intersticial e de paredes brônquicas predominando em ápices de ambos os pulmões.
FIBROSE CÍSTICA
PACIENTE DE 50 ANOS DE IDADE, SEXO FEMININO

FISSURA LOBAR SUPERIOR ACESSÓRIA NO PULMÃO DIREITO

HOMEM DE 25 ANOS COM TOSSE INICIADA HÁ 2 ANOS

cistos de paredes espessas em lobos inferiores bilateralmente, o esquerdo apresentando nível hidroaéreo
CISTOS HIDÁTICOS PULMONARES
15 ANOS DE IDADE, TOSSE CRÔNICA

opacidade de limites precisos localizada na projeção do campo pulmonar inferior esquerdo
CISTO HIDÁTICO PULMONAR
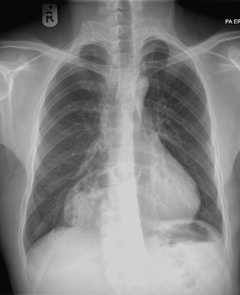
HOMEM DE 45 ANOS DE IDADE REFERINDO DISPNEIA

aumento da área cardíaca, acentuação da trama broncovascular, espessamento intersticial difuso, cefalização de vasos pulmonares, seio costofrênico direito obliterado.
EDEMA PULMONAR CARDIOGÊNICO
HOMEM DE 45 ANOS DE IDADE APRESENTANDO DESCONFORTO TORÁCICO CRÔNICO

imagem heterogênea com densidade de ar se subpondo ao mediastino e alargando seu aspecto lateral direito, sem plano de clivagem definido com o diagfragma
HÉRNIA HIATAL
DISPNEIA

múltiplos focos de puntiformes de densidade metálica dispersos difusamente pelos campos pulmonares bilateralmente
EMBOLISMO POR MERCÚRIO
HOMEM DE 60 ANOS DE IDADE COM QUEIXA DE DISPNEIA

numerosas opacidades micronodulares difusamente distribuídas em ambos os pulmões, linfonodomegalias hilares, espessamento pleural à direita
SILICOSE
PACIENTE DO SEXO FEMININO, 1 ANO E 6 MESES DE IDADE, COM QUADRO DE DISPNEIA GRAVE DE INÍCIO SÚBITO

HIPERINSUFLAÇÃO DO PULMÃO DIREITO, MATERIAL HIPERDENSO OBSTRUINDO O BRÔNQUIO FONTE DIREITO
ASPIRAÇÃO DE CORPO ESTRANHO
PACIENTE DE 55 ANOS DE IDADE, SEXO MASCULINO, COM DIAGNÓSTICO DE LEUCEMIA MIELÓIDE, COM HISTÓRIA PRÉVIA DE DERRAME PLEURAL

OPACIDADE OVÓIDE LOCALIZADA NA PROJEÇÃO DO TERÇO MÉDIO DO PULMÃO DIREITO
DERRAME PLEURAL LOCULADO

HOMEM DE 40 ANOS, SOROPOSITIVO, COM QUEIXA DE FEBRE, SUDORESE, PERDA DE PESO.

OPACIDADES EM VIDRO FOSCO ENVOLVENDO OS DOIS PULMÕES, PNEUMATOCELE MULTISSEPTADA NO LOBO INFERIOR DIREITO
PNEUMONIA POR PNEUMOCYSTIS JIROVECCI
HOMEM DE 40 ANOS DE IDADE COM DIAGNÓSTICO PRÉVIO DE B-TALASSEMIA, APRESENTANDO DISPNEIA

EXPANSÃO ÓSSEA DIFUSA, REABSORÇÃO DIFUSA DE OSSO TRABECULAR COM AFILAMENTO CORTICAL, IMAGENS COM DENSIDADE DE PARTES MOLES ADJACENTES ÀS COSTELAS E EM REGIÃO PARAESPINHAL BILATERAL
HEMATOPOIESE EXTRAMEDULAR
PACIENTE DE 50 ANOS DE IDADE ACOMPANHADO NO AMBULATÓRIO DE PNEUMOLOGIA HÁ ANOS POR QUADRO DE INSUFICIÊNCIA RESPIRATÓRIA CRÔNICA

BRONQUIECTASIAS DE TRAÇÃO, RETRAÇÕES PLEURAIS E OPACIDADES NODULARES E EM VIDRO FOSCO DISTRIBUÍDAS DIFUSA E BILATERALMENTE
SARCOIDOSE
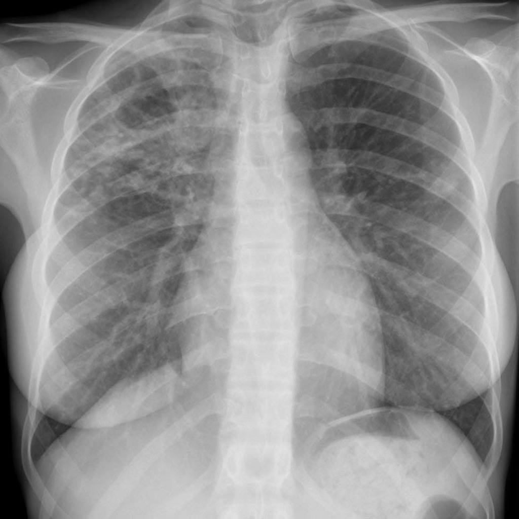
PACIENTE DO SEXO MASCULINO, 65 ANOS DE IDADE, ACOMPANHADO POR INSUFICIÊNCIA RESPIRATÓRIA CRÔNICA

INFILTRADOS RETICULONODULARES DIFUSOS EM AMBOS OS PULMÕES, COM PREDILEÇÃO POR ZONAS MÉDIAS E SUPERIORES
SARCOIDOSE
MULHER DE 30 ANOS COM TOSSE

CAVITAÇÃO E OPACIDADES EM CAMPO PULMONAR SUPERIOR DIREITO
TUBERCULOSE PULMONAR
HOMEM DE 20 ANOS COM QUADRO DE INSUFICIENCIA RESPIRATÓRIA E HEMOPTISE. NEGA FEBRE

OPACIDADES DIFUSAMENTE DISTRIBUÍDAS, COM PADRÃO SUGESTIVO DE PREENCHIMENTO ALVEOLAR, PREDOMINANTE EM LOBO INFERIOR DIREITO
HEMORRAGIA ALVEOLAR