Define polymyositis
explain the utility of testing CPK
often tested in pts w/ idiopathic inflammatory myopathy, but may be normal and doesn’t correlate well w/ disease activity
explain the utility of EMG and nerve conducting testing in IIM
to differentiate myopathic and neuropathic disorders
to localize affected area and identify site for biopsy
describe EMG changes in inflammatory myopathy
generally, muscle is irritated
limitations of EMG testing for IIM
10% will have normal EMGs
abnormalities may be limited to paraspinous muscle
neuropathic findings may also be seen in:

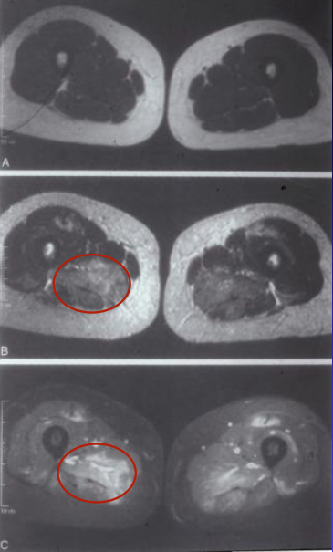
MRI shows increased edema in affected area of muscle - marker of inflammation
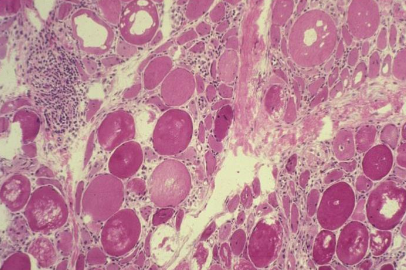
pathology in polymyositis
cytotoxic CD8+ T lympocytes in muscle fibers - these express CD45RO
ICAM-1 expressed in muscle fibers

endomysial inflammation w/ predominantly CD8 T cells in polymyositis
clinical features of dermatomyositis
same as polymyositis: proximal muscle weakness +
derm findings: heliotrope rash, periorbital edema, Gottron’s sign (MCP, PIP), rash over knees/elbows/medial malleoli, rash on face/neck/upper torso (shawl sign, V-sign), capillary nail fold changes and periungual erythema

shawl sign in dermatomyositis
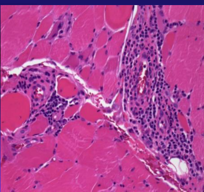
pathology of dermatomyositis
perimysial inflammation w/ CD4+ T cells
complement deposited of vessels

perimysial inflammation w/ CD4 T cells in dermatomyositis
describe pathologic differences b/t polymyositis and dermatomyositis

what auto-antibodies might you check for in IIM?
ANA (90%)
Jo-1 (20%)
SRP (5%)
Mi-2 (5-10%)
what is the most common extramuscular target organ of IIM?
lungs - interstitial pneumonitis, alveolitis, fibrosis
ENA panel
do an ENA if ANA is positive, b/c more specific
checks:
Anti-synthetase syndrome
PM or DM assoc w/ anti-Jo-1 antibody
strong assoc w/ interstitial lung disease
also, Raynaud’s, arthritis, mechanic’s hands
pulmonary manifestations of IIM
ILD: inflammation –> fibrosis
Muscle weakness –> impaired breathing
Pharyngeal weakness –> aspiration pneumonitis
relationship b/t malignancy and myositis
increased risk of malignancy in pts w/ PM and DM
strongest assoc w/ ovarian, lung, pancreatic, stomach, colorectal cancer
3 subtypes of dermatomyositis
clinical features of juvenile dermatomyositis
similar to adult form + vasculitis, lipodystrophy, calcinosis
amyopathic dermatomyositis
typical rash of DM but w/ no muscle involvement
may later develop muscle involvement
may be assoc w/ malignancy (paraneoplastic?)
tx of PM and DM
primary: steroids
maintenance: methotrexate or axathioprine
inclusion body myositis clinical presentation
typically elderly males
weakenss: may be proximal and symmetric, distal, or asymmetric
no response to therapy, slow gradual decline in muscle strength