Diag?

Alzheimers

COD?
DVT –> PE
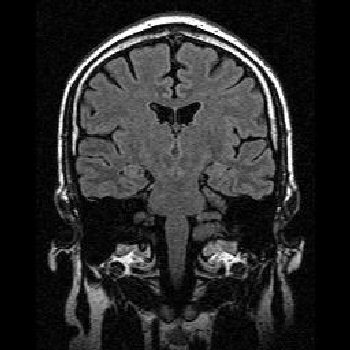
Diag?

Parkinsons
How to calculate relative risk?

Drugs that cause tinnitus
What can Arginine be made into?

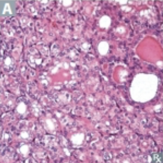
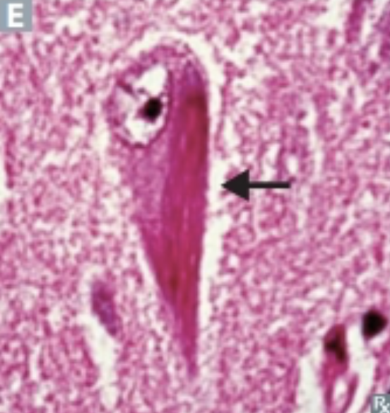
Diag?

Esophagela varices
Heart sound with pt is left lateral decubitus position
Which sound is this?
S4

diag?
Follicular thyroid adenoma (this is toxic type, not nodule) -s\consists of single palpable nodule, benign
-Histology is follicular

Which enzymes destroy H2O2
Catalase (in phagolysosome) and glutathione peroxidase (in neutrophil)

Differentiate bw parkinsons w/ dimentia vs lewy body dementia
Pt previously had colon cancer
-how did pt get this?

Hematogenous spread of colon cancer through the venous protal system

case fatality rate formula
CFR % = (NUMBER of deaths/ NUMBER of cases) x 100
= % of deaths that occur over the disease course
-if 10 ppt get meningitis, and 4 ppl die, CFR = 40%
Pt has PID with a tender RLQ mass found on palpation
-What is the mass?
The mass is hydrosalpinx– where fallopian tube gets blocked and fills with fluid. You can see this in PID
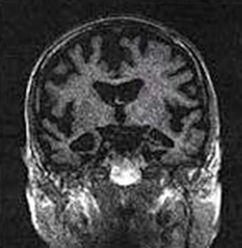
Diag?
Frontotemporal dementia (Pick’s disease)

What procedure improves the immunogenicity of vaccines that use capsular polysaccharides as antigens?
Protein conjugation
-ex) S. pneumoniae vaccine: polysacchs converted/conjugated to diphtheria-like toxins)
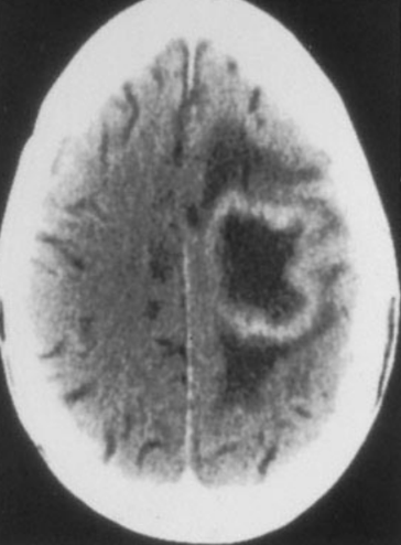
What is this?


-pt has AIDs
Which organism caused this?

Toxoplasma gondii
Which enzyme responsible for making both ADP and GDP
PRPP

What is function of superoxide dismutase

Which artery?

I think AICA (anterior inferior cerebellar A)

How long does it take post vasectomy to have infertility
10 wks
-before that still see viable sperm in the ejaculate
Diag?

Huntingtons

Niacin (B3)
