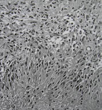
A. Sel tegak (palisading) di sekeliling daerah nekrosis pada pasien dengan glioblastoma.
B. Perubahan spongiform pada pasien dengan penyakit prion
C. Homer-Wright Rossete pada laki-laki usia 3 tahun dengan Meduloblastoma
D. Infark akut pada pasien dengan epilepsi mioklonik dengan serat-serat merah yang rusak (MERRF)
E. Nekrosis fibrinoid pada pasien dengan Leukoensepalopati hemoragik akut.

A. Sel tegak (palisading) di sekeliling daerah nekrosis pada pasien dengan glioblastoma.
PERTANYAAN 4 – 9


A. Filum lemak dengan tethered cord
B. Ependimoma Miksopapilaris
C. Saluran sinus dermal
D. Hematoma epidural
E. Tumor dermoid

A. Filum lemak dengan tethered cord
A. Risiko tahunan pendarahan adalah sekitar 3%
B. Berasosiasi dengan bruit kranial dan gagal jantung kongestif selama periode neonatal
C. Hilangnya gen penekan tumor pada kromosom 22
D. Lesi ini biasanya ditemukan pada parensima otak normal
E. Mencerminkan adanya varian anatomis ekstrim dari pasokan darah arteri kortikal

D. Lesi ini biasanya ditemukan pada parensima otak normal
PERTANYAAN 17 – 24
Petunjuk: Jodohkanlah struktur-struktur di bawah ini dengan huruf jawaban yang tepat pada CT scan aksial di bawah ini dari tulang Temporal Petrosus kanan


C. Skizensepali bibir terbuka (open lip)

D. Migrasi sel
A. Kejang-kejang absen
B. Left temporal lobe spike-and-wave discharge
C. Irama alpha
D. Irama tetap
E. K kompleks

C. Irama alpha
A. Terapi radiasi seluruh kepala
B. Radiosurgeri
C. Kemoterapi
D. Observasi dan MRI serial
E. Radioterapi sinar proton

D. Observasi dan MRI serial
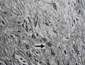
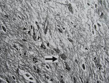
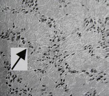
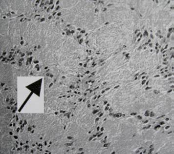
33.Seorang laki-laki gemuk usia 28 tahun dibawa dengan riwayat sakit kepala dan diplopia selama dua bulan terakhir. Ternyata pasien mengalami lesi sebagaimana yang ditunjukkan pada fotomikrograf di bawah in. Apakah yang dijelaskan oleh tanda panah pada fotomikrograf tersebut?
A. Telangiestasia kapilaris
B. Gemitosit
C. Serat Rosenthal
D. Pembuluh darah normal
E. Granula melanin

C. Serat Rosenthal
A. Pecahnya aneurismal intra-prosedural
B. Perfusi arteri serebral tengah yang buruk
C. Arteri tentorial yang membesar dan memasok Malformasi arterial-Venus pontin lateral
D. Fistula arteri-vena dural
E. Fistula karotid-kavernus Tipe II

A. Pecahnya aneurismal intra-prosedural
A. Infarksi miokardial
B. Hiperkalemia
C. Torsades des pointes
D. Toksisitas digoksin
E. Atrial flutter

A. Infarksi miokardial
PERTANYAAN 44 - 45
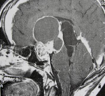
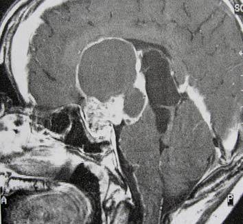
Petunjuk: Seorang laki-laki usia 16 tahun dengan hasil MRI sebagaimana ditunjukkan di bawah ini, dirujuk ke kantor anda. Hasil pemeriksaan laboratorium pasien mengungkapkan bahwa dia menderita hipotirodisme, kekurangan kortisol dan kadar prolaktin sebesar 69. Keluarganya mengatakan bahwa mereka mencatat adanya berbagai perubahan perilaku dan baru-baru ini mengalami kenaikan berat badan. Mata kirinya tidak bisa melihat dan lapang pandangan temporal mata kanannya terputus.

C. Kraniofaringioma
PERTANYAAN 44 - 45
Petunjuk: Seorang laki-laki usia 16 tahun dengan hasil MRI sebagaimana ditunjukkan di bawah ini, dirujuk ke kantor anda. Hasil pemeriksaan laboratorium pasien mengungkapkan bahwa dia menderita hipotirodisme, kekurangan kortisol dan kadar prolaktin sebesar 69. Keluarganya mengatakan bahwa mereka mencatat
adanya berbagai perubahan perilaku dan baru-baru ini mengalami kenaikan berat badan. Mata kirinya tidak bisa melihat dan lapang pandangan temporal mata kanannya terputus.

B. Efek Stalk
A. Tumor sel granular
B. Sarkoidosis
C. Adenoma Hipofise
D. Histiositosis sel Langerhan’s
E. Germinoma

D. Histiositosis sel Langerhan’s
53.Seorang anak laki-laki berumur 13 tahun dengan lesi litik tengkorak dibawa dengan diabetes insipidus dan MRI koronal. Gangguan ini ditandai oleh berlipat gandanya sel yang mana?
A. Fibroblast
B. Limposit sel-T
C. Antigen yang menampilkan Sel dendrit
D. Eosinopil
E. Sel yang berasal dari kantung Rathke

C. Antigen yang menampilkan Sel dendrit
A. Granula Birbeck
B. Kompleks jungsional
C. Kristal kolesterol
D. Granula keratohialin
E. Kromatin stippled

A. Granula Birbeck
A. Neurofibroma
B. Meningioma transisional
C. Neuroma akustik
D. Astrositoma pilositik
E. Ksantoastrositoma pleomorfik

C. Neuroma akustik
A. Badan verocay
B. Whorls
C. Batang psammoma
D. Pseudopalisasing
E. Daerah Antoni B

A. Badan verocay
PERTANYAAN 58 – 63
Petunjuk: Jodohkanlah cedera saraf periferal di bawah ini dengan kelainan tangannya yang berkaitan

PERTANYAAN 73 – 80
Petunjuk: Jodohkanlah masing-masing saluran spinal cord di bawah ini dengan korelasi klinisnya masing-masing yang paling tepat. Saluran naik pada sisi kiri, saluran turun pada sisi kanan.

A. Pecahnya aneurisma Berry
B. Infeksi
C. Diseksi arteri karotid ekstradural
D. Trauma
E. Pemberian kontras

D. Trauma
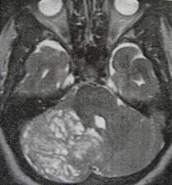
A. Astrositoma pilositik
B. Meduloblastoma
C. Infark Subakut
D. Penyakit LHERMITTE-DUCLOS
E. Ependimoma

D. Penyakit LHERMITTE-DUCLOS