Nefropatía Flashcards

(15 cards)

1
Q

Paciente 55 años con tumor en riñón

sospecha

A

Carcinoma de celulas claras

How well did you know this?
1
Not at all
2
3
4
5
Perfectly
2
Q

Px presenta >3.5 de proteínas en un ego, hipoalbuminemia & edema generalizado. Menciona que su orina esta espumosa.

Sospecha dx:

A

Sx Nefrótico

(Triada 3.5>p. hipoalbuminemia & edema)

How well did you know this?
1
Not at all
2
3
4
5
Perfectly
3
Q

Px presenta edema y dice que ha hecho poca pipi. Tiene Hipertensión, Ego con Porteínuria y Hematuria (clindros).

Sospecha Dx

A

Sx Nefrítico

(proteínuria, hematuria e hipertensión)

How well did you know this?
1
Not at all
2
3
4
5
Perfectly
4
Q

Se toma una Biopsia de un paciente, para analizarla que tinción debes utilizar & enfoque para una evaluación por glomerulo.

A
  • Tinción - H&E, Plata.
    Microscopia electrónica.
  • 4X - evalaución general
  • 40X - glomerulo
How well did you know this?
1
Not at all
2
3
4
5
Perfectly
5
Q

PX elevación de creatinina, Se encuentra en etapa de nefropatía terminal.
Clasifica patrón:

A

Difuso Global. D4.

4 de 5 están afectados.

How well did you know this?
1
Not at all
2
3
4
5
Perfectly
6
Q

Observas atrofia globular máxima + infiltrado inflamatorio

Clasifica patrón:

A

Tiroidización
difuso global . D3. con atrofia

How well did you know this?
1
Not at all
2
3
4
5
Perfectly
7
Q

Paciente 45 años, lleva 6 meses con DM2°, recientemente presenta hipertensión, retención de liquidos y elevación de creatinina. Estos son signos de falla renal.

Que puedes esperar encontar histológicamente:

A

Nódulos Kinestil Willson
pass +

How well did you know this?
1
Not at all
2
3
4
5
Perfectly
8
Q

Paciente 45 años, lleva 6 meses con DM2°, recientemente presenta hipertensión, retención de liquidos y elevación de creatinina. Estos son signos de falla renal.
En la histologia encuentras un cuadro de glomeurlopatía nodular PASS -

sospecha dx:

A

Amilodiosis

depositos extracelulares de proteínas amiloides. se acumulan en tejidos. Se manifiesta como proteaínuria y sx nefrótico.

How well did you know this?
1
Not at all
2
3
4
5
Perfectly
9
Q

Mujer joven edad reproductiva 18-30, le ves alas de mariposa rojas. Quiere respirar porque siente que le punza el pecho, el dolor empeora al acostarse y sentada mejora~ pleuritis.
Le informas que la patologia responsable tiene como organos blanco serosas, piel y riñon.

Dx:

A

Lupus

How well did you know this?
1
Not at all
2
3
4
5
Perfectly
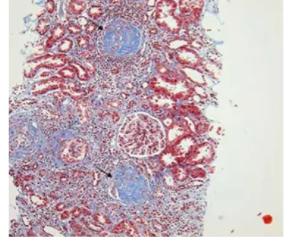
10
Q

DX & Tinción:

A

Esclerosis global
* tinción cafe de plata
* Clase 6~nefropatía terminal o escleriorsis avanzada.

How well did you know this?
1
Not at all
2
3
4
5
Perfectly
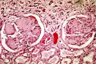
11
Q
A

Escleriosis segmentaria

How well did you know this?
1
Not at all
2
3
4
5
Perfectly
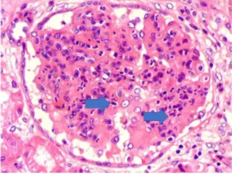
12
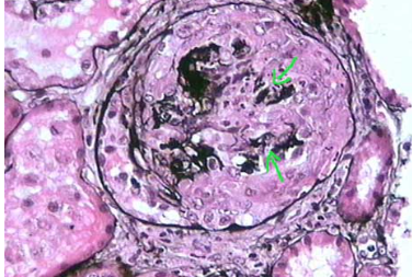
Q
A

Proliferación endocapilar, celulas mesangiales.
- Lupus clase 2 o 3

How well did you know this?
1
Not at all
2
3
4
5
Perfectly
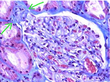
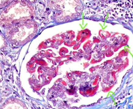
13
Q

Semiluna celular~Spikes

A

Proliferación Cap Bowman

How well did you know this?
1
Not at all
2
3
4
5
Perfectly
14
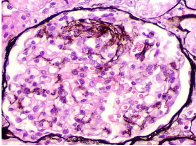
Q
A

Asas de alambre
* Lupus Clase 4 proliferativa difusa >50% asas

How well did you know this?
1
Not at all
2
3
4
5
Perfectly
15
Q

Mujer joven edad reproductiva 18-30, le ves alas de mariposa rojas. Quiere respirar porque siente que le punza el pecho. Al determinar dx nefropatía lúpica le infromas que su lesión esta activa por lo que el TX sera:

A

A - lesión activa - corticoesteroide se controla. ideal.

AC- crónicas

C - cróncias - no hay nada que hacer para mejorarlo. terminal.

How well did you know this?
1
Not at all
2
3
4
5
Perfectly