Pulmón Flashcards

(19 cards)

1
Q

Px va con medico por cuadro de tos , medio se controla, luego con otro y otro. Porque preguntas bien te percatas que es una tos productiva de 3mX 2años. En la espirometría sale con un FE1 disminuido y un DVC normal, siente que le cuesta sacar aire & opresión ¿cual es tu sospecha dx?

  • Px azul gordito chacheton cianotico, tos productiva con esputo.
A

Bronquitis crónica

Enra fácil, sale dificil

How well did you know this?
1
Not at all
2
3
4
5
Perfectly
2
Q

Señor 75 años fumador de oaxaca, tiene un puesto de pollos a la leña. Acude a consulta por una tos seca, IMC inferior a 18.5, disnea de esfuerzo.
Tiene una tez rosada. Determinas que tiene una patología en la que hay un atrapamiento aereo en alveolos sin intercambio gaseoso (entra facil, sale dificil). Tomas una Rx y encuentras el sigueinte hallazgo:

Sospecha diagnóstica:

*torax en tonel & def alpha antitripsina
A

Efisema

EPOC mas frecuente aosciado a Tabaquismo

How well did you know this?
1
Not at all
2
3
4
5
Perfectly
3
Q

Paciente de 7 años, se presenta con opresión toracica, tos, disnea y sibilancias. Diagnosticas asma. Que esperas encontrar en los tapones de moco histologicamente:

A

Espirales de kushmar

How well did you know this?
1
Not at all
2
3
4
5
Perfectly
4
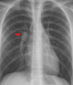
Q

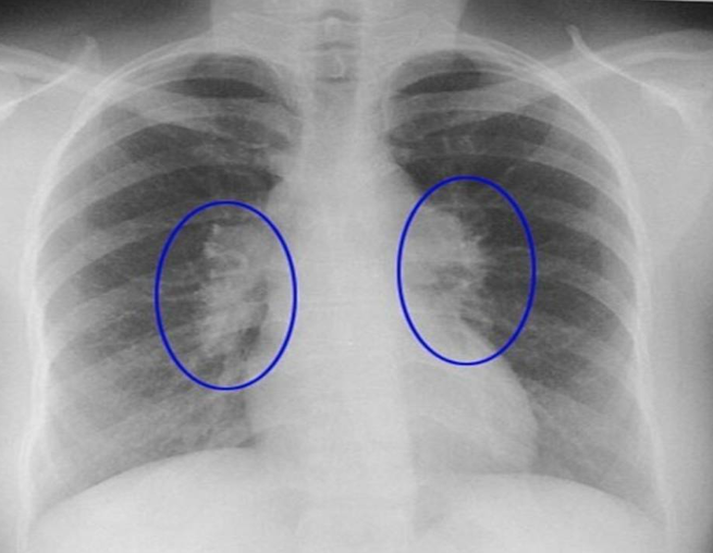
Px hombre 50 años, perdida de peso, dolor toracico y disnea. También observas ptosis, miosis y anhidrosis.En la Rx se observa una opresión de la vena Cava + apariencia sal y pimienta el pulmón.

Sospecha diagnóstica:

A

CA. Pulmón Micorcitico
Tumor de Pancoast~Sx Horner

How well did you know this?
1
Not at all
2
3
4
5
Perfectly
5
Q

Px hombre 50 años, perdida de peso, dolor toracico y disnea. En la Rx se observa una opresión de la vena Cava + Apariencia sal y pimienta el pulmón.Sabes que es un Ca. Pulmón microcítico
Marcadores característicos:

A

P53 + RB alterado + X 3, MYC

How well did you know this?
1
Not at all
2
3
4
5
Perfectly
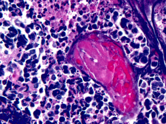
6
Q

Px con pérdida de peso, dolor torácico y disnea. Observas este fenómeno histológico y alteración RB, P53, MYC.

A

pincelada de azzopardi ~ Ca.P.Micro

How well did you know this?
1
Not at all
2
3
4
5
Perfectly
7
Q

Mujer 45 años pérdida de peso, dolor torácico y disnea (sin antecedentes relevantes, no fumadora).
Realizas marcadores y encuentras EGFR, ALK , ROS y NET +

Cuales son tus 2 Sospechas diagnósticas & como las ≠ ?

A

Adenocarinoma periferico-> TTF1 + y Napsina A.

O Mesotelioma -> TTF1 -

How well did you know this?
1
Not at all
2
3
4
5
Perfectly
8
Q

Paciente varón fumador pérdida de peso, dolor torácico y disnea. Observas aceleración 3, 9 17. RGFR1 y perdida de RB. P63 y P40.

A

Carcinoma epidermoide
(queratinización)

How well did you know this?
1
Not at all
2
3
4
5
Perfectly
9
Q
valetrinina Wt1, citoqueratina, EMA , podoplanina.
A

Meostelioma

How well did you know this?
1
Not at all
2
3
4
5
Perfectly
10
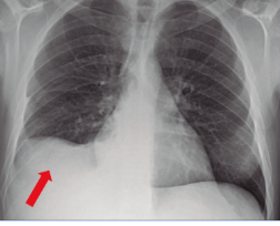
Q

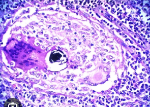
Paciente llega con un cuadro pulmonar multisistémico. En la RX observas adenomegalias parahiliares & Granulomas no caseificados.¿que esperas encontrar histologicmanete?

A

Sarcoidosis
Restrictiva Granulomatosa

Cuerpos de Schumman & Asteroides

Granuloma - histiocitos/macros epitelioides

How well did you know this?
1
Not at all
2
3
4
5
Perfectly
11
Q

Blancos Terapeuticos

A

KRAS y EML4

How well did you know this?
1
Not at all
2
3
4
5
Perfectly
12
Q

Paciente llega con una neumonia, tiene Vómica, Tos productiva & flema asalmonada. Leucos elevados en BH, indican parasito o alergia.

A

Neumonitis eosinofilia~Sx loefer

Sino daño tisular por fármacos = esonofilia tisular o idiopatica (nose)

How well did you know this?
1
Not at all
2
3
4
5
Perfectly
13
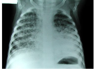
Q

Señora Tijuana, trabaja en una granja de leche bronca. Presenta tos titica. Tuberculina > 5, siguiente cuadro RX.
¿que tinción usara patología para confirmar el dx?

A

Nódulo de góhn
TINCIÓN - ZIEHL NIELSEN

TB

*langhans

How well did you know this?
1
Not at all
2
3
4
5
Perfectly
14
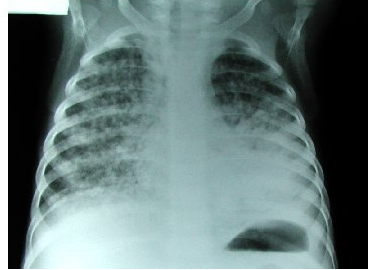
Q

Diego es un niño alamos
Patrón radiológico: Diseminación difusa y puntilleo en todos los pulmones “alpiste de los canarios”, “semillitas cafés”.¿Que tratamiento le vas a dar?

A

Dotbal (RIPE)
rifampicina, isoniazida piranzinamida & etambutol o estreptocina

10 W x 4 tabletas 1 dosis

TB o Hongos! Mayor riesgo de meningitis tuberculosa.

A LA MADRE SE LE PASO LA BCG

How well did you know this?
1
Not at all
2
3
4
5
Perfectly
15
Q
A

VIH chavo - huevos

How well did you know this?
1
Not at all
2
3
4
5
Perfectly
16
Q
A

Empiema Bacteriano - Staph Aureus.

17
Q

Paciente presenta adenopatía hiliar bilateral

Dx probable:

A
  1. TB
  2. Patogeno neumonia atipica
  3. Hongos
  4. Sarcoidosis
18
Q

Fascie leonina, engrosa cejas y nariz.