Indications for Skull X-ray
5
The major drawbacks to skull x-rays
3
1. Lack detail
2. No reassurance if negative in the setting of trauma as unable to evaluate intracranial contents
3. Unable to see fractures in the skull base, if basilar skull fracture suspected a CT scan is indicated
What are lytic lesions called?
punched out lesions because of decreased bone density
What helps differentiate fractures and blood vessels?
When youre wondering if somehting is a fracture or a vessel. If youre branching then its a vessel. If its more straight its a fractire
What could iodine based contrast cause?
ATN
CT Inidcations
4
ischemia is not evident on CT scan until about 24 hours post onset of symptoms
Describe what the following might show us using CT on evaluation:
1.
2.
3.
4.
IV Contrast in Head CT: Yes or No?
No: 7
Yes: 4
Without contrast:
With contrast
Interpreting a CT Scan of the Head for PA’s
4 steps. What are they?
Subarachnoid hemorrhage (see picture-layered out on the surface of the brain)
Subdural hematoma
Epidural hematoma

Causes of subarachnoid hemorrhage
2
(most common)?
Most common cause
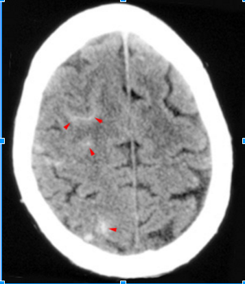
What (arrowheads) fills the sulci over the
right cerebral convexity in this subarachnoid hemorrhage?
See Picture
High density blood

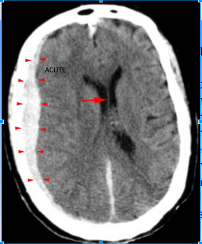
Subdural Hematoma CT has the following characteristics: 3
High density, crescent shaped hematoma (arrowheads)
overlying the right cerebral hemisphere. Whats important to note in this image?

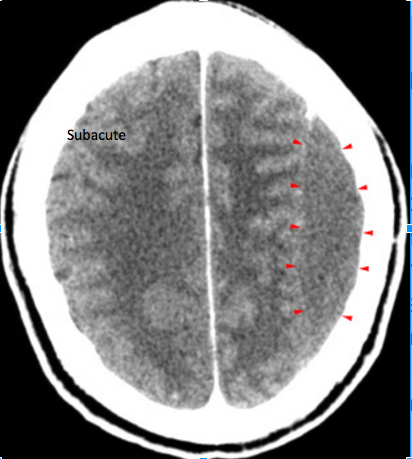
Subacute subdural hematoma (arrowheads). Whats important to note about this CT?

Note the compression of
gray and white matter in the left hemisphere due to the mass effect.
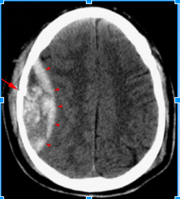
Chronic Subdural hematoma: Whats importnat to notice in this CT?
Crescent shaped chronic subdural hematoma (arrowheads)

Notice
the low attenuation due to reabsorbtion of the hemorrhage over time.

Describe the differences:
Epidural vs Subdural
2
See picture

Describe the following for Epidural, Subdural and Subarachnoid:
Epidural
Subdural
Subarachnoid
