What is the definition of an interstitial pattern:

One or more abnormal, discrete opacities in the pulmonary interstitim.

DDX for interstitial lung patters? (Most common–then others)

_Neoplasia (_bronchogenic carcinoma -dogs –adenocarcinoma cats- mets to one or more digits) and mycotic infection (hematogenous pneumonia) are the most common
Secondary or nets neoplasia
Allergic lung dz (feline asthma, eosinophilic pneumonia)
Granuloatous pneumonia (esoinophilic, lymphoid)
Infarcts (thromboeboli- heartworm (most common), recent sx, prolonged immobilization)
Heart dz (ardiomyopathy, valvular regutgitations, endocarditis)
Disseminated intravascular coagulation (DIC)
Metabolic dz (renal, hyperadrenocrticism, DM, hyperlipidemia)
Inflammation/infection (pancreatitis, pneumonia, pyothorax, sepsis, inflammatory joint dz)
immunocomrpomise/immune mediated hemolytic anemia
Aspiration
DDX for smooth-boareder, well defined nodules?`

Neoplasia (primary or mets)
Abscess
Granuloma
Fluid-containing bulla
DDX for nodules with indstinct borders?
Inflammation
Hemorrhage
Edema
Actively growing nodule
Increased opacity in adjacent lung
DDX for Numerous nodules scattered throughout lungs (snow-storm pattern)?

Metastatic neoplasia
Infection (especially mycotic)
Pulmonary lymphoma
Eosinophilic pneumonia
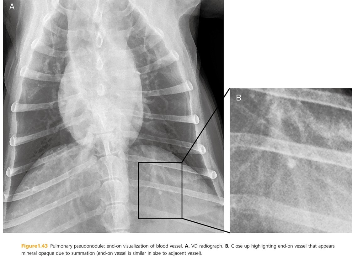
Pseudo-nodules are discrete soft tissue or ______ opacity that mimic pulmonary nodules.
mineral
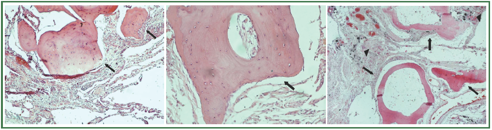
Heterotopic bone formation (pulmonary osteomas)
Figure 7. Hematoxylin and eosin, original magnification ×100, ×200, ×40. Histopathology of pulmonary ossification. A branching fragment of bone containing marrow protruding into alveolar spaces (arrows). Note the anthracosis (dark brown carbon dusts) of the interstitium (arrowheads).

Neoplastic pulmonary nodules ______ mineralize. If a nodule is more opaque than nearby vessels of same size, it represents _____ minrealization or end-on visulization of a _____.
rarely
focal
vessel

Interstitial and alveolar patterns differ only in degree of _____. Alveolar patterns are the ONLY lung pattern that can produce ____ _____ opacity in lungs and COMPLETLY obscure pulmonary soft tissue structures.
opacity
soft tissue
Nodules are typically present as solid or nearly solid soft tissue structures, ______ from surrounding lung parenchya. It may be homogenous or heterogenous, be mineralize or cavitated (cavitated nodules may fill with gas or fluid). Gas (air) in a nodule may rsult from communication with an ______ or ____ _____.
distinct
airway or central necrosis