Nódulo - mama Flashcards

(30 cards)

1
Q

Qual o primeiro exame a ser realizado na paciente com queixa de nódulo mamário?

A

EXAME CLÍNICO!

How well did you know this?
1
Not at all
2
3
4
5
Perfectly
2
Q

Qual o primeiro exame a ser realizado diante de um nódulo palpável no exame clínico?

A

PAAF

How well did you know this?
1
Not at all
2
3
4
5
Perfectly
3
Q

Qual o local mais comum de um Câncer de mama palpável?

A

Quadrante Superior EXTERNO

(onde tem mais glândula)

How well did you know this?
1
Not at all
2
3
4
5
Perfectly
4
Q

Características que sugerem benignidade de um nódulo ao exame clínico?

A
  • Bem delimitado (regular)
  • Móvel
  • Fibroelástico
  • Sem retração da pele
How well did you know this?
1
Not at all
2
3
4
5
Perfectly
5
Q

Características que sugerem malignidade ao exame clínico das mamas?

A
  • Mal delimitado (irregular)
  • Aderido, pouco móvel
  • Pétreo (endurecido)
  • Retração de pele
How well did you know this?
1
Not at all
2
3
4
5
Perfectly
6
Q

Qual o próximo exame após a PAAF na avaliação de um nódulo mamário?

A

MAMOGRAFIA

ou

ULTRASSONOGRAFIA (+ jovens)

How well did you know this?
1
Not at all
2
3
4
5
Perfectly
7
Q

Que característica do líquido na PAAF sugere benignidade?

A

Líquido amarelo-esverdeado

(MUITO IMPROVÁVEL que seja câncer)

How well did you know this?
1
Not at all
2
3
4
5
Perfectly
8
Q

Que características na PAAF sugerem malignidade?

O que fazer?

A
  • Líquido sanguinolento
  • Mais de 2 recidivas
  • Massa residual
  • Nódulo sólido ou sólido-cístico

INDICAR BIÓPSIA

How well did you know this?
1
Not at all
2
3
4
5
Perfectly
9
Q

Quais as indicações de USG MAMÁRIA?

A
  • Mamografia inconclusiva (BI-RADS 0)
  • Avaliação de característica do nódulo: sólido ou cístico?
  • Avaliar nódulo em mulhe jovem ou gestante
How well did you know this?
1
Not at all
2
3
4
5
Perfectly
10
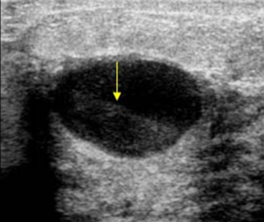
Q

Características que sugerem benignidade ao USG

A
  • Anecoico
  • Homogêneo
  • Bem delimitado
  • Diâmetro latero-lateral > que AP
  • Reforço acústico posteiror
How well did you know this?
1
Not at all
2
3
4
5
Perfectly
11
Q

Características que sugerem malignidade ao USG?

A
  • Misto
  • Heterogêneo
  • Mal delimitado
  • Diâmetro AP > latero-lateral
  • Sombra acústica posterior
How well did you know this?
1
Not at all
2
3
4
5
Perfectly
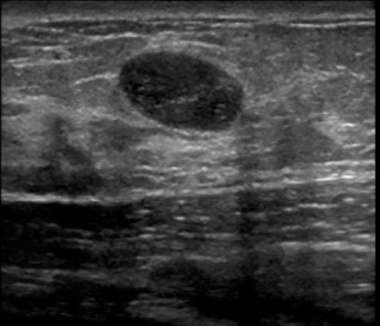
12
Q

Que tipo de tumor este nódulo sugere?

A

MALIGNO

How well did you know this?
1
Not at all
2
3
4
5
Perfectly
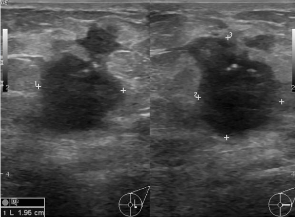
13
Q

Que característica de tumor esse USG sugere?

A

Benigno

How well did you know this?
1
Not at all
2
3
4
5
Perfectly
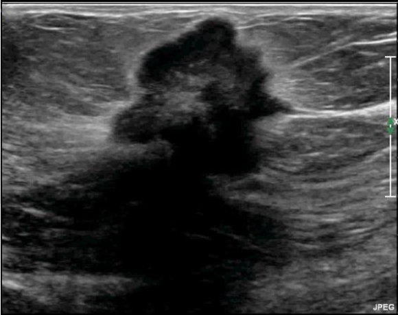
14
Q

Sugestivo de… ?

A

Maligno

How well did you know this?
1
Not at all
2
3
4
5
Perfectly
15
Q

Quais as indicações de ressonância magnética da mama?

A
  • Prótese mamária com MMG duvidosa
  • Múltiplas cirurgias prévias
  • BI-RADS 0
How well did you know this?
1
Not at all
2
3
4
5
Perfectly
16
Q

Quais as desvantagens da RNM de mama?

A
  • Não mostra lesões < 2mm
  • Não mostra microcalcificações
17
Q

BI-RADS 0

A

MMG inconclusiva (ex.: mama densa).
Conduta: USG ou RNM.

18
Q

BI-RADS 1

A

Nenhuma alteração.
Conduta: repetir de acordo com a idade.

19
Q

BI-RADS 2

A

Alterações benignas.
Conduta: repetir de acordo com a idade.

20
Q

BI-RADS 3

A

Duvidosa (provável benigna). Conduta: repetir em 6 meses.

21
Q

BI-RADS 4 e 5

A

Suspeita / altamente suspeita
Conduta: biópsia.

22
Q

Quais são os tipos de biópsia que fazemos na mama?

A
  • Core biopsy (punção com agulha grossa)
  • Mamotomia
  • Biópsia cirúrgica
  • Estereotaxia (lesões impalpáveis)
23
Q

Qual é o tipo de biópsia PADRÃO-OURO?

Como pode ser feita? Que situações indicam cada tipo?

A

BIÓPSIA CIRÚRGICA

  • Incisional: para lesões maiores
  • Excisional: para lesões menores
24
Q

Quais a desvantagens da PAAF para investigação de nódulo mamário?

A
  • Não diferencia entre carcinoma in situ x invasor
  • Não pode enviar para imunohistoquímica
  • Citologia negativa não exclui o diagnóstico, não conclui a investigação
25
Paciente assintomática, vem com uma USG mostrando um cisto simples, impalpável com < 1cm Qual a conduta?
ACOMPANHAMENTO clínico! PAAF só indicada se: * Sintomático * Septos ou vegetações (cisto complexo)
26
AFBM * Pico de incidência * Lesões nodulares
* 25 aos 45 anos * Císticas
27
Fibroadenomas * Pico de incidência * Lesões nodulares
* Mulheres jovens até 35 anos * Consistência fibroelástica
28
Papiloma intraductal * Pico de incidência * Lesões nodulares
* 30 a 50 anos * Nódulo subareolar
29
Tumor filoides * Pico de incidência * Lesões nodulares
* 30 a 50 anos * Crescimento rápido, grande volume, tendência à recorrência local
30
Carcinoma * Pico de incidência * Lesões nodulares
* >50 anos * Consistência sólida