Normal ear Flashcards

(28 cards)

1
Q

What is the function of the ear

A
How well did you know this?
1
Not at all
2
3
4
5
Perfectly
2
Q

Explain the structure of the mammalian ear

A
How well did you know this?
1
Not at all
2
3
4
5
Perfectly
3
Q

What are the types of cartilage in the external ear?

A

Auricular cartilage - forms anthelix (medially) and tragus (laterally) and conchal tube
Annular cartilage - fits within base of conchal tube ligamentous attachments to bony acoustic process of temporal bone
Scutiform cartilage - not part of ear canal, provides additional support

How well did you know this?
1
Not at all
2
3
4
5
Perfectly
4
Q

Label the cartilages of the inner ear

A
How well did you know this?
1
Not at all
2
3
4
5
Perfectly
5
Q

Describe the vascular supply to the external ear

A
How well did you know this?
1
Not at all
2
3
4
5
Perfectly
6
Q

Describe the innervation of the external ear

A
How well did you know this?
1
Not at all
2
3
4
5
Perfectly
7
Q
A
How well did you know this?
1
Not at all
2
3
4
5
Perfectly
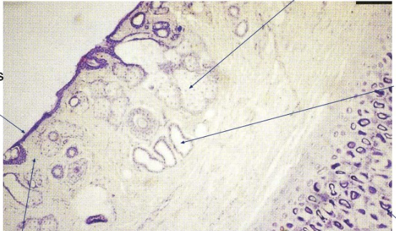
8
Q

Describe the integumentary covering of the external inner

A

Epidermis: thin, stratified squamous keratinising epidermis (also over tympanic membrane)
Dermis: thin, contains hair follicles, sebaceous glands distally, apocrine (ceruminous) glands proximally

How well did you know this?
1
Not at all
2
3
4
5
Perfectly
9
Q

Label this canine ear canal

A
How well did you know this?
1
Not at all
2
3
4
5
Perfectly
10
Q

Describe the composition of cerumen/ear wax

A

Exfoliated cells
Sebaceous secretions (high lipid content)
Ceruminous gland secretions (more aqueous)
Immunoglobulins

How well did you know this?
1
Not at all
2
3
4
5
Perfectly
11
Q

What is the function of cerumen/ear wax?

A

provides a protective and antimicrobial layer

How well did you know this?
1
Not at all
2
3
4
5
Perfectly
12
Q

How do epithelial cells contribute to the cerumen/ear wax?

A

Epithelial cells from centre of TM travel to periphery, then desquamate
This helps transport cerumen to superficial portion of ear canal

How well did you know this?
1
Not at all
2
3
4
5
Perfectly
13
Q

Describe the structure of the tympanic membrane

A

Stratified squamous keratinising epithelium laterally
thin lamina propria (collagen bundles)
simple squamous/cuboidal mucosal epithelium medially

How well did you know this?
1
Not at all
2
3
4
5
Perfectly
14
Q

Label the tympanic membrane

A
How well did you know this?
1
Not at all
2
3
4
5
Perfectly
15
Q

Describe the visible parts of the tympanic membrane and their function

A

Pars flaccida - accomodates changes in pressure
Pars tensa - transmits sound
Manubrium of malleus

How well did you know this?
1
Not at all
2
3
4
5
Perfectly
16
Q

Label the tympanic membrane

17
Q

What are the compartments of the middle ear?

A

Epitympanum - contains malleus and incus
Mesotympanum - stapes attached to oval window - round window and opening to auditory tube
Hypotympanum/fundus - tympanic cavity

18
Q

What is the auditory/eustachian tube?

A

link between middle ear and back of throat

19
Q

Label the canine middle ear

20
Q

What do feline middle ears have that canines do not?

A

Incomplete bony septum across tympanic cavity

21
Q

Label the auditory ossicles

22
Q

Describe the anatomy of the eustachian tube

A

pseudostratified, ciliated, columnar epithelium
Scattered goblet cells

23
Q

Which nerves from in/close to the wall of the tympanic bulla?

A

Facial nerve
Branches of facial and vagus nerves form tympanic nerve
post-ganglionic fibres of cervical sympathetic trunk

25
What are the sections of the inner ear?
Cochlea Vestibule Semicircular canals Enceased in bony labrinth of petrous temporal bone
26
What are the functions of the inner ear?
Hearing Balance Position and rotation of head in relation to gravitational forces
27
What are the normal commensals found in the inner ear?
staphylococci malassezia pachydermatis yeast
28
What are otitis externa, media and interna?