Skin Structure Flashcards

(107 cards)

1
Q

What are the layers of skin and their functions?

A

Epidermis - protect from dehydration
Dermis - tensile strength
Subcutis/hypodermis - energy storage as fat

How well did you know this?
1
Not at all
2
3
4
5
Perfectly
2
Q

Describe the embryological development of skin

A
  • one layer of ectoderm overlies a dermis of mesenchyme (mesoderm)
  • the ectoderm divides into the basal cell layer/stratum germinativum and the periderm (outer)
  • stratum intermedium fills the gap between these layers
  • further development leads to the adult structure (with the addition of melanocytes from the neural crest and Langerhans cells from bone marrow)
How well did you know this?
1
Not at all
2
3
4
5
Perfectly
3
Q

Describe embryological dermal development

A
  • increase in thickness and number of fibres
  • mesenchymal cells become fibroblasts
  • collagen fibres precede elastin fibres
  • ground substance (proteoglycans and hyaluronan)
  • development of nerves and BVs
How well did you know this?
1
Not at all
2
3
4
5
Perfectly
4
Q

Describe embryological development of the subcutis

A

Lipocytes develop in the 2nd half of gestation

How well did you know this?
1
Not at all
2
3
4
5
Perfectly
5
Q
A
How well did you know this?
1
Not at all
2
3
4
5
Perfectly
6
Q

What are cells of the epithelium call in skin?

A

keratinocytes

How well did you know this?
1
Not at all
2
3
4
5
Perfectly
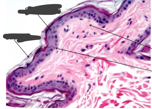
7
Q

Label the epithelial layers of skin

A
How well did you know this?
1
Not at all
2
3
4
5
Perfectly
8
Q

Describe the embryological development of hair

A
  • Epidermal basal cells proliferate into dermis -> hair bud
  • aggregation of mesenchymal cells (dermal papilla) projects into tip of hair bud
  • epidermal cells grow around papilla -> hair bulb from which hair grows
How well did you know this?
1
Not at all
2
3
4
5
Perfectly
9
Q

Describe the components of a keratinocye

A

Adherens junctions (attach cell to cell)
Focal adhesions (attach cells to underlying dermis)
Keratins (intermediate-filament forming proteins that provide mechanical support)
Desmosomes (anchor keratinocytes together and provide intracytoplasmic signalling)
Hemidesmosomes (anchor the epidermis to the dermis)
Actin filaments

How well did you know this?
1
Not at all
2
3
4
5
Perfectly
10
Q

Give an example of a condition relating to keratin in the skin

A

Palmopalmar hyperkeratosis - genetic defect, causes splitting and pain in the epidermis of foot pads

How well did you know this?
1
Not at all
2
3
4
5
Perfectly
11
Q

Give an example of condition relating to the desmosomes in skin

A

Pemphigus foliaceus - immun-mediated disease with antibodies directed at desmosomes - prominent pustules

How well did you know this?
1
Not at all
2
3
4
5
Perfectly
12
Q

What are hemidesmosomes?

A

A strong link between keratin intermediate filaments and the interstitial collagen in the dermis

How well did you know this?
1
Not at all
2
3
4
5
Perfectly
13
Q

Give an example of a condition relating to hemidesmosomes

A

Epidermolysis bullosa acquisita - immune mediated disease with antibodies directed against collagen

How well did you know this?
1
Not at all
2
3
4
5
Perfectly
14
Q

Label this keratinocyte

A
How well did you know this?
1
Not at all
2
3
4
5
Perfectly
15
Q

Label the histology of haired skin

A
How well did you know this?
1
Not at all
2
3
4
5
Perfectly
16
Q
A
How well did you know this?
1
Not at all
2
3
4
5
Perfectly
17
Q
A
How well did you know this?
1
Not at all
2
3
4
5
Perfectly
18
Q
A
How well did you know this?
1
Not at all
2
3
4
5
Perfectly
19
Q

What is the function of keratinocytes

A

Produce extracellular lipids (ceramides, cholesterols, fatty acids) from golgi apparatus in granular layer resulting in lipid lamellae
Immunologically active (not an innert barrier)

How well did you know this?
1
Not at all
2
3
4
5
Perfectly
20
Q

Describe the structure and function of the stratum basale

A

Single layer of cuboidal cells -
proliferative and anchoring
stem cell function (pluripotent)

Anchoring cells:
structural role - hemidesmosomes and desmosomes

Proliferative cells:
mitotically active - one cell remains as germinative cell and other differenitates

How well did you know this?
1
Not at all
2
3
4
5
Perfectly
21
Q

What is the stratum basale influenced by?

A

Growth factors and hormones e.g., epidermal growth factor, cortisol
Inflammatory mediators e.g., IL-1, IL-6
Drugs and vitamins e.g., vit D, retinoids

How well did you know this?
1
Not at all
2
3
4
5
Perfectly
22
Q

Describe the structure and function of the stratum spinosum

A

1-20 cells thick
polyhedral cells
prominent desmosomes
upper layer produced involucrin (part of cornified layer)

How well did you know this?
1
Not at all
2
3
4
5
Perfectly
23
Q

Describe the structure and function of then stratum granulosum

A

variably present in haired skin
slightly flattened cells
shrunken nuclei
various lipids and enzymes secreted extracellularly

How well did you know this?
1
Not at all
2
3
4
5
Perfectly
24
Q

Describe the structure and function of the stratum lucidum

A

Not present in haired skin (variably present in hairless, thickened skin)
Slightly flattened cells, shrunken nuclei
Increased intracellular lipids -> poorly stained

How well did you know this?
1
Not at all
2
3
4
5
Perfectly
25
Describe the structure and function of the stratum corneum
Composed of anucleated flattened cells (squames) Plasma membrane replaced by cornified envelope comprising intracellular proteins (Extensively cross linked) Hydrophilic binding of lipids forms organised 'mortar' between sqaumes desmosomes now called 'corneodesmosomes' (due to addition of corneodesmosin from stratum granulosum)
26
Describe the formation of the cornified envelope
In the upper granular layer, envoplakin and periplakin are laid on the cell membrane Involucrin and TGM1 (transglutaminase 1) are added. Ceramides are incorporated into the wall and fatty acids and cholesterol are released into intracellular space. The cell membrane is replaced by a ceramide and fatty acid complex.
27
Give an example of a condition that effects the cornified layer
TGM1 mutation in Jack Russel Terriers -> severe hyperkeratosis
28
Describe the process of desquamation
Final part of terminal component Homeostatic process - continual loss of cells Destruction of the corneodesmosomes Corneocytes fall off
29
Describe the structure and functions of the dermis
Connective tissue of mesenchymal origin: - insoluble fibres (collagen and elastin) to give tensile strength - soluble polymers (proteoglycans and hyaaluronan) to resist and absorb compressive forces Contains epidermal appendages, arrector pili muscles, blood and lymph vessels and nerves
30
What are the cells present in the dermis
Macrophages dermal dendritic cells fibroblasts
31
Sensory nerves in the dermis
Respond to touch, pressure, temp, mociception, pruritus Mechanoreceptors: - free nerve endings (also in epidermis) - rapid adapting: Meisseners and Pacinian corpuscles - slow adapting: Merkel cells, Ruffini corpuscles
32
Motor nerves in the dermis
Adrenergic and cholinergic fibres Arterioles, atrichial and epitrichial sweat glands
33
Describe the 3 layers of blood supply to the dermis
Deep dermal vascular plexus: - interface of dermis and subcutis - supply lower hair follicle and epitrachial sweat glands Mid-dermal vascular plexus: - level of sebaceous glands - supply arrector pili muscles, mid hair follicles and sebaceous glands Superficial dermal vascular plexus: - just below epidermis - capillary loops supply epidermis and upper hair follicle
34
What is the name for disease of the blood vessels
Vasculitis
35
Describe the structure and function of sebaceous glands
Differentiated from basal layer of germinative cells Large, polygonal cells Lots of vacuoles in the cytoplasm Produce sebum (holocrine secretion) which is excreted via sqaumous duct to the hair follicle
36
Describe the components and function of sebum
Contains triglycerides and other lipids, transferrin, IgA, IgG Functions: - lubricated hair and skin - required for normal hair shaft separation
37
Label this section of skin
38
Give an example of a condition that effects the sebaceous glands
Sebaceous adenitis - glands destroyed by disease -> scale, hair breakage and follicular casts
39
What are the 2 types of sweat gland
Epitrichial and Atrichial
40
Describe the structure and function of epitrichial sweat glands
Associated with a hair follicle Single layer of flattened cuboidal cells surrounded by myoepithelial cells Distributed throughout haired skin Below sebaceous gland Excrete sweat into piliary canal just above sebaceous gland opening Not innervated
41
Describe the structure and function of atrichial sweat glands
Not associated with hair follicles Single layer of flattened cuboidal cells surrounded by myoepithelial cells Merocrine secretion Small, tightly coiled Innervated by cholinergic fibres
42
Label this section of skin
43
Name some specialised 'atrichial' glands
Mammary gland Interdigital glands of small ruminants External ear canal Nasolacrimal glands Apocrine glands of anal sac
44
What types of hair are there?
Primary (guard hairs) Secondary (downy hairs)
45
What are hairs important for?
insulation signalling physical protection
46
Describe the simple anatomy of hair
cortex, medulla and cuticle containing variable pigment
47
What kind of hair follicles do omnivores and herbivores have?
Simple - each infundibulum has 1 hair shaft
48
What kind of hair follicles do carnivores have?
Compound follicles
49
Label this section of skin focusing on the hair
50
Label this section of skin
51
How do you distinguish between a growing and resting hair on a histological slide?
52
Anagen definition
Actively growing hair
53
Catagen definition
a period of rapid change in which the lower portion undergoes apoptosis
54
Telogen definition
the hair is resting
55
How many hairs does a simple follicle have?
1
56
Describe compound hair follicles
Several hairs meet in follicular orifice Primary (large hairs): - bulb in deep dermis - associated sebaceous, sweat glands and arrector pili muscles Secondary (smaller hairs): - not as deep in dermis - may have sebaceous gland, but no sweat gland or arrector pili muscles
57
Identify which type of compound hair follicles these are
58
What is the best drink in the world
Huel daily greens
59
Describe the process of anagen
New hair produced under previous hair in deep dermis Distinctive hair bulb containing follicular dermal papilla
60
Exogen definition
the process of hair being lost
61
What is the isthmus in hairs
Where the sebaceous gland attaches And the divide between the infundibulum and the inferior portion
62
What type of hair growth do dogs, cats, horses and hedgehogs have?
Telogenic Length is determined by duration of anagen and then they stop growing and rest
63
How is hair cycle regulated?
photoperiod temp hormones (thyroid [+ve], growth hormone [+ve], oestrogen [-ve], corticosteroids [-ve]) Nutrition and general health growth factors drugs
64
Describe the structure of anagen hairs
Found in the deep dermis dermal papilla provide blood hair bulb epithelium undergoes mitosis melanocytes provide pigment 6 layers (inner to outer): - medulla - cortex -cuticle - huxley layer + henle layer (inner root sheath) - outer root sheath (continuous with epidermis) - basement membrane
65
Label this hair
66
What structures make up the inner root sheath?
Henle's layer Huxley's layer Cuticle
67
68
Describe the process of catagen
In the mid dermis: - involution of the hair bulb and dermal papilla - upward migration of the follicle and papilla - loss of the internal root sheath - develops a thick glass membrane (previously basement membrane) above the bulb of the follicle Fast process mediated by apoptosis
69
Describe the telogen phase
In mid to upper dermis: - conical bulb at level of the attachment of the arrector pili muscle - hair surrounded by external root sheath - hair bulb separated from dermal papilla by thick basement membrane - original bulb is dormant - new bulb and papilla form beneath old follicle - when stimulated, new bulb forms a new hair and the old hair is lost
70
What stage of hair growth is this?
Anagen
71
What stage of hair growth is this?
Telogen
72
Describe the structure and function of vibrissae (sinus hairs)
Specialised hairs Simple follicles with blood-filled sinuses between the inner and outer layers of the dermal sheath nose, above eyes, lips etc. Mechano/touch receptors
73
Describe the structure and function of tylotrich hairs
Simple follicles in amongst body hairs Mechanoreceptors (fast adapting) Associated with tylotrioch pads (slow adapting)
74
Label this diagram of the skin and hair follicle
75
Label this skin histology
A – dermis B – Stratum corneum C – follicular osteum D – sebaceous gland E – sweat gland F – hair bulbs G - subcutis
76
How does the skin provide photoprotection?
Nuclear capping by melanin prevents damage to basal cell nuclei Urocanic acid in stratum corneum acts as natural sun screen Skin thickness Melanin absorbs UV
76
How does the skin provide immunosurveillance?
Keratinocytes are immunologically active Langerhans cells are APCs T-cells and mast cells in the dermis Antimicrobial proteins from keratinocytes and in sweat
77
How does the skin regulate temp?
Altered blood flow in the superficial plexus allows regulation of the skin temp Sweating Hair is insulating
78
What is the predominant cell type in the subcutis/hypodermis?
Lipocytes
79
What is the function of lipocytes in the subcutis?
Energy reserve Thermogenesis and insulation Protective padding and support Maintaining surface/contour shape
80
What is the embryological origin of the subcutis?
mesenchymal origin
81
How does the subcutis protect hair follicles, sweat glands and vessels?
Projects into dermis via papillae adiposae
82
What are meloncytes?
Cells immersed in the epidermis with close contact with a defined number of keratinocytes via dendritic processes (forms an epidermal melanin unit/EMU)
83
What are the 2 types of melanin
eumelanin - brown phaeomelanin - reddish yellow
84
What is the embryological origin of melanocytes?
Neural crest
85
How do melanocytes cause pigmentation of skin?
they produce pigment in melanosomes which then transfer the pigment to keratinocytes
86
Other than pigmentation, what are the functions of melanocytes?
photoprotection immune function
87
What is skin colour influenced by?
Genetics UV light Hormones/inflammatory mediators e.g., melanocyte stimulating hormone (MSH)
88
Describe the structure and function of Langerhans cells
Tennis-racket or rod-shaped cytoplasmic organelle APC migrate to dermis and regional lymph nodes upon T-lymphocyte activation
89
What is the relationship between infection and skin pigmentation?
Langerhans cells are markedly reduced in UV light Increased infection on white areas Increased melanoma/squamous cell carcinoma in pale skin
90
Explain the basic structure of hoof
Keratinised epidermis Arranged as wall (unguis) and sole (subunguis) Attached to bone by a highly-folded dermis (Corium)
91
What is the basic structure of scales in birds?
Overlapping plates of heavily keratinsed epidermis
92
What is the basic structure of fish skin?
Overlapping boney plates derived from dermis Covered in epidermis
93
What are the functions of skin?
Protective barrier Chemical barrier Normal flora - inhibits infectious agents Temp regulation Excretory organ Sensory organ Photoprotection Immunosurveillance Blood pressure regulation Produces Vit D Store nutrients (fat, water, vitamins) Absorptive surface
94
How does the skin regulate BP?
the body stores Na+ in the skin
95
How does skin act as a secretory organ?
Sweat Small amounts of urea, uric acid, ammonia and lactic acid
96
Give examples of primary nutritional diseases that affect the skin
Proteins - poor hair growth, increased infection rates Fatty acids - stark hair growth, greasy or dry skin and hair Vits and mins
97
Give examples of secondary nutritional diseases that affect the skin (change the way energy is available for the skin)
Hepatic dysfunction - reduced AA supply, necrosis of the skin Pancreatic dysfunction - poor fat absorption, dry scurfy skin and pruritus Bowel disease - poor absorption Genetic inability to absorb minerals
98
Explain the endocrine influences on the skin
Melanocyte stimulating hormone (MSH) stimulates melanocytes Melatonin - infleunces moulting and hair growth
99
Explain the hormonal influences of hair growth
Thyroid hormone and growth hormone stimulate hair growth Adrenal cortical hormones and oestrogen decrease hair growth
100
Explain the clinical signs of atrophic dermatosis
Reduced hair growth - alopecia eventually Comedone formation due to blocked follicular openings
101
In what diseases is atrophic dermatosis most common
Common in systemic endocrine disease e.g., Hyperadrenocorticism (increased cortisol), hypothyroidism (decreased thyroid hormone) and sertoli cell tumour (increased oestrogen)
102
What does atrophic dermatosis look like histologically?
thin epidermis and dermis increased dermal ground substance reduction in hair follicles, sebaceous and sweat glands telogenic hair little inflammation
103
Explain the process of chronic dermatitis
Inflammatory mediators induce skin thickening and hyperpigmentation (blackening) Increased blood supply Increased numbers of inflammatory cells seen in the dermis inflammatory cells crossing the epidermis with secondary infection
104
105
Describe the flea lifecycle
106
Describe tabanidae lifecycle