A pregnant woman presents to the ER with massive vaginal bleeding and a BP of 60/40. Dx?
Placenta previa
(Implantation covering cervical os; high risk maternal death if hemorrhages)

Cause?

Oligohydraminos
(Potter sequence - flattened nose and ears, contractures of hands and feet)
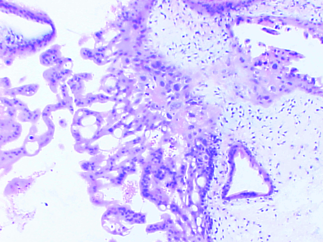
Histology of an ectopic placenta just prior to rupture would reveal:
Two layers of vili, syncytiotrophoblast outside and cytotrophoblasts inside, minimal blood vessel
(Ectopic usually ruptures 6 weeks after LMP, so well within first trimester)

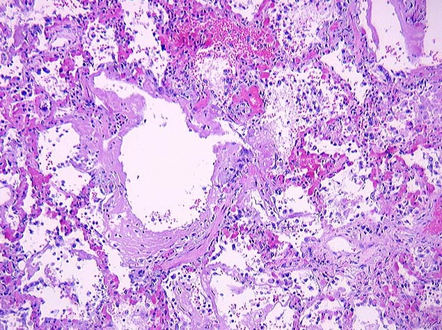
This finding can be caused by ______ following delivery.

Amniotic fluid embolism
(Causes pulmonary spasms, HTN, and RHF triggering diffuse alveolar damage, sometimes with a second round of DIC and hemorrhage)
Most common presenting symptom? Most common site of metastasis?

Uterine bleeding
Lungs
(Think: trophoblasts built to invade vessels –> get stuck in lung capillaries)
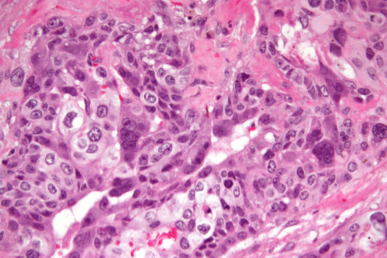
This patient presented with cysts on US and hCG > 1,000. Pathogenesis of this lesion?

Fertilization of empty egg (absent or non-functional DNA) by one or two sperm
(History suggests mole; histology shows trophoblastic hyperplasia = complete mole = 46XX or 46XY)
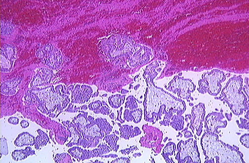
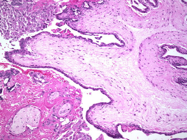
Most common presentation?

Acute, severe abdominal pain 6 weeks after LMP
(Vili + lots of blood = ectopic ruptured pregnancy)
Cause?

Hypercoiling of umbilical cord
(False knot)
The second most common cause of acute abdomen in women of reproductive age?
Ruptured corpus luteum
(Notice the granulosa cells to the left with blood to the right)

What % of this finding is associated with placental abruption? What % of placental abruption causes fetal demise?

2/3
10%
(This shows retroperitoneal hematoma)
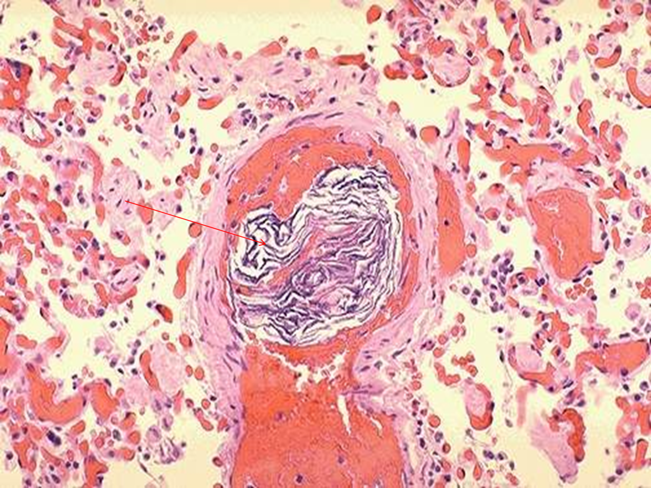
This finding in pregnancy is most common when? Why? What’s the cause of the majority of these?

During/after delivery
Decompression of IVC
DVT of left leg
(This is a pulmonary thromboembolism)
A woman who delivered her first child three weeks ago presents to the ER with a history of continued bleeding. Ddx?
Placenta accreta, increta, percreta
(80% accreta - decidua adheres to myometrium; 15% increta - decidua invades myometrium; 5% percreta - placenta goes through uterine wall)

Dx?

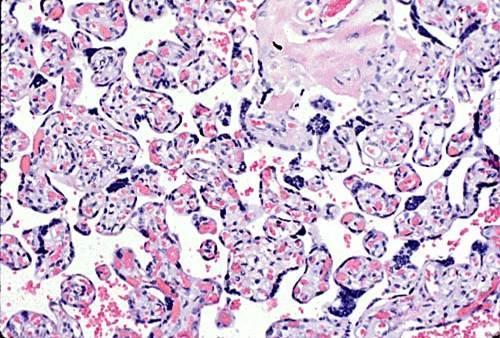
Third trimester placenta
(Thinning of trophoblasts, less interstitium, more blood vessels)
Dx?

Amniotic bands
This patient presented with cysts on US and hCG > 1,000. Chromosome analysis would reveal:

69XX (or XY)
(History suggests mole; histology shows thin layer of trophoblasts suggesting partial mole = triploid)
What is the mechanism for this pathology?

Oligohydraminos - causes pulmonary hypoplasia incompatible with life due to absence of amniotic fluid to develop fetus’ lungs
Dx?

Amniotic fluid embolism
(Swirly blue stuff = squamoid cells from fetal skin and amnion)