At which stage is a zygote usually transferred for IVF?
8 cell stage = day 3 post-fertilization
(2 cells out of plane)

Where in the tract would you expect to see this during normal gestation?

Uterine cavity
(~ day 5 blastocyst)
What does this US finding indicate?

Early 1st trimester
(Diamond ring sign)
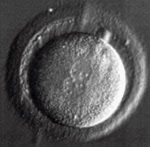
Which phase of cycle is this egg at?

Fertilization
(Notice 2 nuclei fusing + 1 polar body with another one probably out of plane)
Which stage of cycle is this cell at?

Immature
(Notice no polar body + germinal vesicle at 8 o’clock)
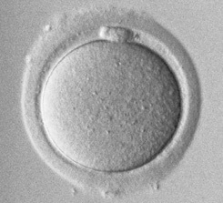
Which phase of cycle is this eggy at?

MII stage
(Zona pellucida + polar body)
Where is tract would you expect to find this?

Implanted in uterine wall
(Trophoblast + inner cell mass; would show diamond ring sign on US)