2 states for examining the occlusion
tools used to mark teeth contacts

how to record how teeth meet in occlusion
Dry teeth
place in articulating paper held by Millers forceps
tap together for ICP or move side to side for lateral excursive/forward for protrusion

4 times to mark teeth contacts
why do you mark contacts before you change anything
If the occlusal scheme is good….

4 components of ICP contacts (static occlusion)

functional cusps in ICP contacts (static occlusion)

non functional cusps in ICP contacts (static occlusion)

fossa in ICP contacts (static occlusion)

ICP contacts in static occlusion
tap for ICP contacts in static occlusion

way to remember function and non functional cusps
Functional cusps
Non-functional cusps

buccal cusps occlude….
palatal cusps occlude..
buccal cusps occluding with upper fossa
palatal cusps occluding with lower fossa
maxillary tooth looks more buccally placed than mandibular tooth

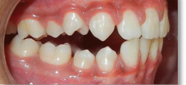
problems in static
incisor relationship classified by
angle’s

overbite
Vertical overlap of the incisors
2-4mm normal range
Akerly classification

Ackerly classification for overbite
I
II
III
IV
overjet
Relationship between the upper and lower teeth in a horizontal plane

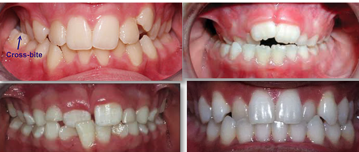
crossbite

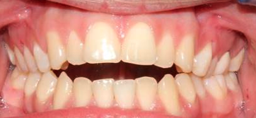
anterior open bite

posterior/lateral open bite

why 2 colours articulating paper
Better to use a different colour articulating paper to show canine guidance/dynamic from static
canine guidance
Dynamic
Canine roots are strong – adapted to withstand lateral forces
Unlike molar teeth – up and down and grinding cusp action

tooth wear case design for wax up
canine guidance
GOLD standard
mutually protected occlusion
gold standard
