arcon articulator
articulating condyle on lower - anatomically correct
average value articulators
semi-adjustable articulator
Allows you to set the Bennet and Condylar Guidance Angles

types of articulator used for diagnostic casts
Diagnostic casts are most effectively mounted on a semi-adjustable articulator with a retruded record
depends what you are doing – if not advanced re-org, average value should be fine
to mount maxillary cast need
facebow transfer
tools needed to do facebow transfer
On the clinic you will be presented with a box of components that are joined together to construct the facebow instrument
https://www.youtube.com/watch?time_continue=475&v=m91NcwEwE1M&feature=emb_logo

first step in facebow tranfer
Mark the anterior reference point

2nd step in facebow transfer
Bite registration using the bite fork

earbow
measures intercondylar distance
how to assemble the earbow and transfer jig
want numbers facing you
loosen the centre wheel to allow the earbow to open/close
attach the vertical shaft to the measuring bow with clamp marked 2 on the pt right and tighten with the finger screw on earbow
make sure fingers screws 1 and 2 are loose

how to assemble the facebow on the pt
Assemble the facebow on the patient by sliding the bitefork arm through clamp marked #2
Fit the measuring bow’s earpieces tightly into the patient’s ear.
Raise or lower the bow so that the pointer aligns precisely with the anterior reference point. – marked at start

before removing the facebow ensure
the bow is parallel to the interpupillary line and floor
Make sure that the #1 and #2 clamps are secure.

how to remove the facebow
what does the facebow record
mounting lower casts needss
An interocclusal registration can be used to mount the mandibular cast in relation to maxillary cast already mounted on the articulator using the facebow transfer
2 choices of interocclusal registration to mount lower cast
Intercuspal Position (ICP)
Retruded Contact Position (RCP)
ICP registration when not obvious to technician
wax wafer
silicone paste
ICP registration when there is free end saddles (casts cannot be hand articulated)
request record block
ICP registration when there are plenty of tooth contacts (ICP obvious to technician)
hand articulate
do not use material can make it work

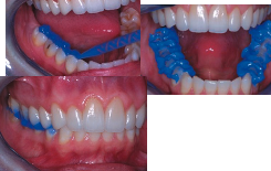
wax wafer for interocclusal registration

registration paste for bite registration

registration postion options decided when
before embarking on treatment you must decide whether to place restorations in the existing occlusal scheme (conformative approach) or to change it deliberately (the reorganized approach).

NOT simple registration option
RCP registration WITH or WITHOUT OVD increase
ICP registration WITH OVD increase
REORGANISED APPROACH
simple registration option
ICP registration WITHOUT OVD increase
conformative approach