Diagnose? S, U, B

D: Grå stær (billede matur type)
S: sløret syn, farveforstyrrelser, blændingsgener (nat), monookulært dobbeltsyn, myopi.
U: Spaltelampe, Visus,
B: Fra immatur stadie, fjern lines og erstat med kunstig (samme styrke), AB ind i øjet.
P: risiko for panoftalmi.
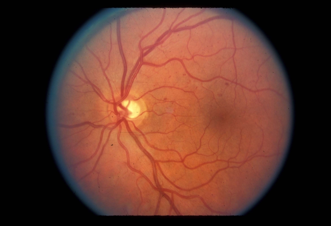
Diabetisk retinopati
S: normalt ingen. Mikroaneurismer, cottonwool spots, makulopati, hårde eksudater.
U: visus, oftalmoskopi, retina billede. Diabetes kontrol.
B: HbA1C <7%, BT < 130/80. proliferativ = panretinal laser. makulopati = fokal laser.
P: type 1, screening årligt efter 5 år, 80% retinopati efter 15 år. type 2, screening årligt 25% retinopati ved debut. Risiko for traktions amotio.
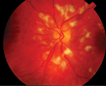
Diagnosis?

Non-proliferativ diabetisk retinopati.
Med mikroaneurismer.
Diagnosis?

Cotton Wool Spots
Diagnose og behandling?

Proliferative diabetisk retinopati
Som non-proliferativ + Makulopati, proliferationer.
Panretinal laser koagulation.
Symptomer, faretegn, behandling
S: Mouches volantes (fluer) flytter sig med forsinkelse.
F: En akut forøgelse af mouches. Lysglimt (tegn på retina rift) 1/3 udvikler sig til rhegmatogen amotio.
B: Begrænsede tilfælde ingen behandling. Laserkoagulation ved rift.
Amotio S, U, B
Typer
Typer: rhegmatogen (glaslegemesammenfald), serøs, traktions
S: Mouches volantes, lysglimt, pludelig synsnedsættelse “skygge”. Metamorfopsier (serøs). Nedsat visus=makulapåvirkning=dårlig prognose.
U: Oftalmoskopi/retina billede. Påvirket farvesyn. Flouroscensangiografi (serøs)
B: Laserkoagulation, vitrektomi (rhegmatogen),
Diagnose, symptomer, behandling

D: Okklusion a. centralis retinae
S: pludselig smertefri (et helt øje) blindhed.
U: visus (svært nedsat), oftalmoskopi (bleg retina)
B: Udredning for embolikilde.
P: forbigående= amaurosis fugax. Blivende = permanent synstab.
Diagnose, risikofaktorer, S, U, B

D: central vene okklusion
R: øget intraokulært tryk, glaukom, BT, DM, hyperlipidæmi.
S: aftagende syn over dage.
U: Oftalmoskopi
B: ingen, 80% genvinder brugbart syn.
Snigende synstab årsager?
AMD
Katarakt
Åben-vinkel glaukom
Diabetisk makulopati
Diagnose, S, U, B?

D: Tør AMD, druser
S: langsom tab af læsesyn “mølædt syn”. tab af visus hvis makula involveret
U: Retina billede, visus
B: Briller, antioxidanter, vitaminer.
D, S, U, B

D: Våd AMD, karnydannelser, makulaødem, hårde eksudater.
S: Metamorfopsier (formvrængning), samt reduceret visus. Over dage-uger.
B: Anti-VEGF, inj. i glaslegemet. skal ses akut/subakut.
Kraftige smerter, fremmedlegeme fornemmelse, fotofobi og tårflåd.
Der gives oxybuprokain, hvorefter smerter forsvinder
D, U, B, DDX
D: abrasio cornea
U: oxybuprokain, visus, ciliær(obs)/blandingsinjektion, flourescein, vende øje.
B: IKKE oxybuprokain (hæmmer helin), mydriatikum, klap, antibiotika dråber (kloramfenikol, kontaktlinse da ciloxan). Bedres i løbet 2-3 dg ellers øjenlæge.
DDX: herpeskeratit. Bakteriel keratit (hvid/grå plet)
Fremmedlegeme
Anamnese?
Obs punkter
B
Lav hastighed (støv, rust), høj hastighed (metal mod metal), ætsningsrisiko (gips, cement).
OBS: dråber og MR kontraindiceret indtil perforation udelukket. Ej tryk. Ej rund pupil =intraokulær skade el. perforation = øjenlæge.
U: oxybuprokain, visus, inspektion (vende), flourescein.
B: fjern overfladisk fremmelegeme med sterilt vand eller vatpind med oxy. AB salve 2-3 dg, evt mydriatikum + blinkklap ved ciliære smerter.
P: hvis fremmelegeme fjernet = intet yder. Hvis ikke = øjenlæge < 24 t.
Ved perforation
Klap + øjenskjold.
Sendes akut til øjenlæge.
Minus dråber og salve.
Diagnose? S, U, B

D: hyfæma (svært traume)
S: sløret syn, smerter ved højt tryk.
U: konf. med øjenlæge!
B: mydriatikum, steroid. rolig i 14 dage. svinder spontant efter 3-7 dage.
Hvornår henvises ved ætsning skader?
Vurdering og Behandling af ætsningsskade?
Skyl i min 30 min med neutral væske, vurder ved Ph måling i fornix inf., Oxybuprokain, Visus og flourescein.
AB salve, kortikosteroid salve, mydriatikum og klap.
Hvad er værst syre el. base i øje, hvorfor?
Anamnese?
Base, svært ætsende penetrerer cornea hurtigt.
Syre hypigst kun overfladisk læsion.
Hvilket stof, hvor meget og hvor længe?. Er der skyllet med vand, hvor længe?
Diagnose, U, B, P

D: Subkonjunktival hæmoragi
U: hyppigst harmløs, men skal udredes på penetration.. BT. Ved gentagne blødninger, da udred hæmo.
B: sutur hvis stor rift ellers AB 3-5 dg kloramfenikol. Henvis hvis ikke udelukke perforation.
Hvad vurderes ved traume mod øjet
Visus, Øjenrødme (hyfæma=øjenlæge < 12 t), cornea (abrasio), pupil (manglende pupil respons ikke nødvendigvis farlig), Oftamoskopi (glaslegeme blødning). Traume mekanisme.
Diagnose? S, U, B

D: Iridocyklitis (ant. Uveit) med hypopyon. Akut Tilstand
S: Smerter (udstråler til panden), nedsat syn, lysskyhed, opstået over timer-dage.
U: Visus, lille lysreagerende pupil, klar cornea, hypopyon, Ciliær injektion. Normal tryk.
B: Steroid og mydriatikum, ved infektiøs vitrektomi og AB. Forløbet varer få uger.
HLA-B27 (autoimmun, fx becterew)
Akut Infektiøs Uveit (panoftalmi)
S: Smerter, nedsat syn, Ciliær injektion. **Nylig traume el kirugi. **Ofte klar cornea
U: Lysvej, sløring i corpus vitreum, evt. hypopyon. Oftalmoskopi. D+R, infektionsudredning.
B: Øjenlæge akut. Akut vitrektomi med inj ag AB + systemisk.
Åbentvinklet glaukom
S: snigende synsfeltsindskrænkning, ingen smerter, rødme eller ubeheg. IOP >21 mmHg, papilekskavation.
U: Tryk og oftalmoskopi
B: Prostaglandin-analog og beta-blokker. Evt. carbonanhydrase-hæmmere, a-stimulerende farmaka eller miotikum.