En 70 årig mand er kataraktopereret på begge øjne og bruger briller med læsetillæg.
Hans brillestyrke er:
-0,50 D sf, -0,50 D cylinder i 2 grader på højre øje
-0,25 D sf, -0,50 D cylinder i 179 grader på venstre øje.
Læsetillæg er +2,50 på begge sider.
Hvad er visus på højre øje?
Hvad viser billedet, og hvad kan det medføre?
(Foto)
1. Keratoconus. Kan medføre myopi, astigmatisme, cornealt ødem og nedsat syn
2. Vernal kerato-conjunctivit. Kan medføre kløe, corneal makulering, keratit og nedsat syn
3. Erosio recidivans. Kan medføre smertefulde recidiverende bristninger i corneaepitelet
4. Fuchs’ endoteldystrofi. Kan medføre ødem af cornea og nedsat syn.
5. Pterygium oculi. Kan medføre irritation, rødme, astigmatisme og nedsat syn

Du er læge i almen praksis og skal udstede helbredsattest i forbindelse med erhvervelse af kørekort til
privatkørsel (gruppe 1). Patienten er skeleamblyop på venstre øje.
Visus er 0,8 på højre øje og 0,16 på venstre øje.
Hvilket udsagn er korrekt angående syn og kørekort:
Note:
mindst 0,5 på bedste øje, mindst 0,1 på det dårlige øje. Det opfylder hun.
såfremt hun kan se 120 grader horisontalt med begge øjne, 50 grader til siderne med et øje, og 20 grader op og ned med et øje
Du er læge i almen praksis og ser en pige på 3 år som for nyligt er begyndt at skele indad på venstre øje.
Både far og en ældre storebror skeler også.
Visus er alderssvarende på højre øje og nedsat på venstre øje med 2 linjers forskel mellem øjnene på
Østerbergs tavle.
Hun har manifest venstresidig indadskelen. Øvrige objektive øjenundersøgelser er normale.
Hvad gør du:
Du er reservelæge i øjenafdelingen. Der kommer en 50 årig kvindelig patient ind som er akut henvist fra
egen læge, grundet nyopstået ptose på højre øje (se billede). Hun er tidligere systemisk rask og heller
ikke kendt med nogen øjensygdomme. Du undersøger øjet og finder en dilateret og lysstiv pupil samt
binokulært dobbeltsyn.
Hvad er din tentative diagnose og den videre plan?

Anfør den korrekte benævnelse af de markerede lag i retina:
a. 1: Ydre plexiforme lag, 2: Indre plexiforme lag, 3: Gangliecellelaget, 4: Fotoreceptorlaget
b. 1: Fotoreceptorlaget, 2: Indre plexiforme lag, 3: Ydre plexiforme lag, 4: Gangliecellelaget
c. 1: Fotoreceptorlaget, 2: Ydre plexiforme lag, 3: Indre plexiforme lag, 4: Gangliecellelaget
d. 1: Gangliecellelaget, 2: Indre plexiforme lag, 3: Ydre plexiforme lag, 4: Fotoreceptorlaget
e. 1: Gangliecellelaget, 2: Ydre plexiforme lag, 3: Indre plexiforme lag, 4: Fotoreceptorlaget

c. 1: Fotoreceptorlaget, 2: Ydre plexiforme lag, 3: Indre plexiforme lag, 4: Gangliecellelaget
23-årig, sund og rask mand kommer ind i vagten på øjenafdelingen med voldsomt hævede venstresidige
øjenomgivelser siden i morges. Han oplyser, at han de sidste par dage har følt sig sløj og været subfebril.
Intet kendt traume.
Objektiv undersøgelse af venstre øje:
Visus: 6/6 uden korrektion.
Lejring: Kan ikke vurderes sufficient grundet det hævede øjenlåg, men vurderes uden proptose.
Motilitet: normal bevægelighed.
Spaltelampe: Hævet, rødt og ømt øvre øjenlåg. Øjet blegt, ingen chemosis, cornea klar og blank, dybt
forkammer, iris normal, pupil rund og midt stillet og normal reagerende for lys.
Oftalmoskopi: Normale forhold.
(Foto)
Hvad er den mest sandsynlige diagnose?

65 årig landmand henvender sig på skadestuen. Han har 2 timer tidligere hamret på et plovskær, og
mærkede i den forbindelse et lille stik i øjet samt lidt efterfølgende bevægelige uklarheder for synet,
som også blev lidt sløret. Ingen nævneværdige smerter.
Ved undersøgelse med pencillygte ser øjet normalt ud.
Hvilken af følgende valg er vigtigst at foretage?
Hvilken paraklinisk undersøgelse er vigtigst at foretage i initiel fase ved mistanke om choroidalt
melanom?
42-årig kvinde henvender sig med øjengener. Klager over at højre øjenlåg ofte hænger, og at hun især
om aftenen tit bemærker dobbeltsyn i varierende retninger.
Hvilken diagnose vil du umiddelbart mistænke?
1-1
76 årig mand henvender sig til sin egen læge, idet han gennem det sidste år har oplevet tiltagende
besvær med at køre bil om aftenen pga. blændingsgener fra modkørende biler. Ved uddybning af
anamnese oplyser han også tiltagende læsebesvær, hvor han skal bruge mere lys, når han læser, samt
ændret farveopfattelse. Der er ingen metamorfopsigener. Generne er overvejende på højre øje. Han er
kendt med velreguleret, tabletbehandlet type 2 diabetes igennem 15 år.
Objektiv undersøgelse:
Visus o.dxt: 6/18 med egen korrektion
Visus o.sin.: 6/9 med egen korrektion
Applanatorisk tryk: 15 mmHg på begge øjne
Oftalmoskopi o.dxt (gennemlysning): Se foto
Hvad fejler patienten?

1-2
Du mistænker katarakt og sender patienten til øjenlæge, som konstaterer katarakt på begge øjne. Der
planlægges bilateral kataraktoperation, hvor man ved linseberegning planlægger slutrefraktion tæt på 0
(emmetropi på afstand). Patienten spørger, om han skal bruge briller efter operationen.
Hvad svarer du patienten?
1-3
Patienten opereres ukompliceret på højre øje og ved 1. dags kontrol ses pæne postoperative forhold. 2
dage senere henvender patienten sig i skadestuen om aftenen, pga. tiltagende sløret syn, rødme og
smerter på højre øje.
Øjet ser således ud:
Hvilket udsagn er rigtigt?

1-4
Du henviser patienten akut til øjenafdelingen med akut postoperativ endoftalmitis.
Hvilke udsagn er korrekte vedrørende endoftalmitis efter kataraktoperation?
Sæt kryds i rigtig svarmulighed:
a. 1+4
b. 1+2+4
c. 1+2+5
d. 1+3+4+5
e. 1+2+3+4+5
a. 1+4
Note:
2-1
Du er vagtlæge. En 40 årig kvinde kommer med gradvist tiltagende tågesyn og fluer på højre øje i et par
uger. Der er ikke smerter eller rødme. Hun er tidligere rask, bortset fra let nedsat syn på højre øje pga.
tidligere betændelse. Nu er synet så nedsat, at hun næsten ikke kan se med øjet. Kvinden arbejder som
dagplejer på familiens nedlagte landbrug, hvor der er en del katte og et par heste. Adspurgt svarer hun,
at hun har haft influenzalignende symptomer med muskelsmerter og feber i et par dage.
Visus er 0,1 på højre øje og 1,0 på venstre øje.
Øjet er blegt, og der er frie øjenbevægelser uden smerter. Pupillerne reagerer normalt.
Hvad gør du?
2-2
Oplysninger fra 1. delopgave:
Du er vagtlæge. En 40 årig kvinde kommer med gradvist tiltagende tågesyn og fluer på højre øje i et par
uger. Der er ikke smerter eller rødme. Hun er tidligere rask, bortset fra let nedsat syn på højre øje pga.
tidligere betændelse. Nu er synet så nedsat, at hun næsten ikke kan se med øjet. Kvinden arbejder som
dagplejer på familiens nedlagte landbrug, hvor der er en del katte og et par heste. Adspurgt svarer hun,
at hun har haft influenzalignende symptomer med muskelsmerter og feber i et par dage.
Visus er 0,1 på højre øje og 1,0 på venstre øje.
Øjet er blegt, og der er frie øjenbevægelser uden smerter. Pupillerne reagerer normalt.
Patienten sendes akut til øjenlæge som ved oftalmoskopi ser dette:
(Foto)
Hvad er formodet diagnose?

2-3
Der mistænkes toxoplasmose.
Hvad er de hyppigste årsager til infektion med toxoplasmose?
A. Toxoplasmose er en hyppig seksuelt overført sygdom
B. Udlandsrejser, da Toxoplasmose kun findes i lande som Indien og Afrika
C. Via maden. Indtag af ikke tilstrækkelig kogt kød eller grøntsager, der ikke er renset godt nok
D. Ved berøring med kattefæces
E. Toxoplasmose er en dråbe- og berøringsoverført virus
Vælg den korrekte kombination:
1. A og B
2. B og C
3. C og D
4. B og E
2-4
Hvordan behandles toxoplasmose, som afficerer macula?
A. Det er selvlimiterende og går over igen i løbet af et par måneder
B. Akupunktur er et godt middel, der virker mod det meste
C. Højdosis prednisolon
D. Systemisk antibiotika og prednisolon
E. Vitrektomi hvorved man kan fjerne betændelsesreaktionen og toxoplasmose oocysterne.
D. Systemisk antibiotika og prednisolon
3-1
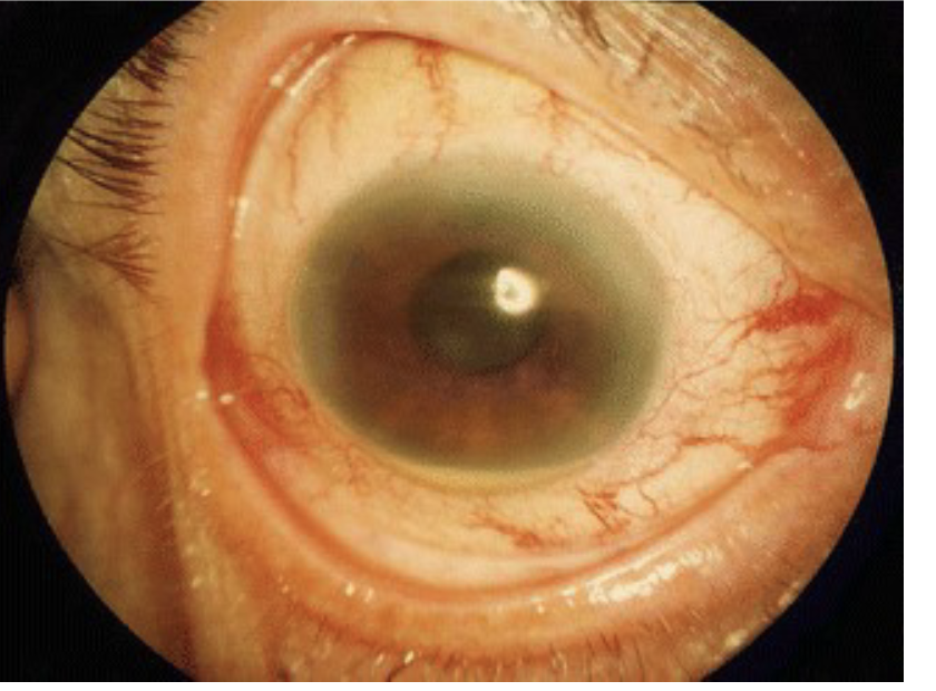
Du ser en 65-årig kvinde i skadestuen som har udviklet venstresidige øjensmerter med ledsagende
ensidig hovedpine samt kvalme og opkast. Når du ser på hendes smertefulde øje ser det således ud:
Hvilken sygdom mistænker du?

3-2
2. Du mistænker akut vinkelluknings glaukom. Hvilke øjensymptomer ses oftest ved denne sygdom?
Sæt kryds ved det rigtige udsagn:
a. 1+2
b. 1+4+5
c. 4+5
d. 3+4
e. 1+3
b. 1+4+5
3-3
Du skal nu sætte patienten (65-årig kvinde med akut vinkellukningsglaukom) i tryksænkende behandling.
Hvilket af nedenstående medikamenter vil man ikke bruge i behandlingen af akut vinkelluknings
glaukom?
3-4
Du er en kvik ung læge og giver selvfølgelig ikke den 65-årige kvinde med akut vinkellukningsglaukom
pupiludvidende dråber (metaoxedrin). Hvad er grunden til dette?

3-5
Pupiludvidende dråber vedligeholder pupilblokket og giver dermed forværring af akut vinkelluknings
glaukom.
Hvilken anden struktur frygter man i øvrigt (helt generelt) skal tage skade ved glaukom?