En 23 årig mand bruger briller med følgende styrke:
Højre: -2,00 D sfærisk
Venstre: -2,50 D sfærisk
Med briller er synet godt på alle afstande, men uden briller er det sløret på afstand.
Hvad er han?
Note:
(Foto)
Hvad er det? - og hvad kan det medføre?

Note:
Ketatoconus er en tilstand, hvor den centrale del af hornhinden (cornea) buler ud.
Myopi: langt øje dvs. nærsynet
Astigmatisme: bygningsfejl, kan gøre at synsindtrykket bliver uskarpt og forvrænget (sløret syn?)
Kornealt ødem: der er nogle barrierer som følge af denne her tilstand, der kan briste og kan medføre væskeophobning.
Nedsat syn: som følge af denne her væskeophobning kan man få pludselig nedsat syn.
Du sidder i almen praksis. En 19 årig mand kommer nu for 3. gang på 2 måneder med recidiverende
konjunktivit i det venstre øje. Objektivt er øjet rødt med konjunktival hyperæmi, mukopurulent sekretion og
follikler i fornices. Visus er normalt. Du har tidligere behandlet med Fucithalmic øjendråber uden effekt, og
nu med Kloramfenikol-øjendråber med delvis effekt. På mistanke om klamydiainfektion husker du at spørge
ind til urogenitale symptomer og seksualanamnese samt poder fra conjunctiva. Podningen viser sig at være
positiv for klamydia. Hvordan skal patienten behandles?
Hvilken af nedenstående udtalelser om katarakt er falsk?
Note:
Det er epithelceller og ikke nucleusceller.
En 21-årig mand kendt med Mb. Bechterew møder til vurdering ved øjenlæge grundet 2 dages varende
øjensmerter, lysskyhed og synsnedsættelse på det højre øje.
Ved objektive øjenundersøgelse findes:
Visus o.dx.: 0,5 (6/12) med egen brille.
Visus o.sin: 1,0 (6/6) med egen brille.
Øjet ses injiceret, med hypopyon og uregelmæssig pupil grundet posteriore synekier.
Intraokulært tryk på 31/15 mmHg
Øjenlægen diagnosticerer anterior uveit i højre øje. Hvilken af nedenstående behandlingsmuligheder er mest
korrekt?

Note:
Behandling af anterior uveit:
Bonus:
Behandling af intermediær uverit:
Behandling af posterior uveit:
Hvilket af følgende udsagn er mest korrekt om skelen hos børn?
Note:
1. Forkert
Behandling er brillekorrektion til at starte med. Man kan herefter overveje klap for det raske øje for at hindre amblyopi (dovent øje). Det er altså en mulighed, men ikke altid en del af behandlingen.
2. Korrekt
Hypermetropi betyder “langsynet” og medfører nedsat konvergens. Hypermetropi er en hyppig disponering til skelen.
3. Forkert
Det er nemlig ikke myopi (nærsynethed), men hypermetropi jf. 2.
4. Forkert
Paralytisk skelen ses ofte hos voksne og ældre - altså ikke børn.
5. Forkert
Medfødt grå stær er en årsag til skelen hos børn, men det er en sjældn årsag.
Hvilket udsagn om iris er mest korrekt:
Note:
1. Forkert
Iris dilateres via de sympatiske fibre i nerven, de parasympatiske får iris til at kontrahere sig.
2. Forkert
Linsen
3. Forkert
Corpus cilliare
4. Korrekt
Korrekt - delte meninger online om hvorvidt det er iris eller pupillen
5. Forkert
Makula (retina)
Ptosis palpebrae er en tilstand med flere mulige ætiologier. Hvilken af nedenstående svarmuligheder er
IKKE en årsag til ptosis plapebrae?

Hvilket af følgende symptomer ses vanligvis ikke ved våd AMD?
Note:
En tilstand karakteriseret ved pludselig synsforværring, metamorfopsier og centrals synsfeltudfald. Makula danner det sjkarpe syn, det nære syn og farvesynet. Derfor vil der ved makula degeneration ofte være farvesynsnedsættelse.
“Centralt skotom” er central synsfeltudfald.
DERFOR er perifert synsfeltudfald forkert - da det er central synsfeltudfald (som er det samme som centralt skotom).
Hvilken af følgende tilstande disponerer vanligvis ikke til tåreflåd?
Note:
1-1
Du tilser en 67-årig kvinde i skadestuen. Hun klager over højresidige øjensmerter med ledsagende ensidig
hovedpine samt kvalme og opkast. Når du ser på hendes smertefulde øje ser det således ud:
(Foto)
Hvilken sygdom er mest sandsynlig?

Note:
Hun har øjensmerter, hun har ciliær injektion, hun har dilateret pupil og så har hun hovedpine og kvalme/opkastninger.
Opgave 1-2:
Du mistænker akut vinkelluknings glaukom. Hvilke øjensymptomer kendetegner ikke denne sygdom?
Sæt kryds ved det rigtige udsagn:
a. 1+3+4
b. 1+4
c. 4+5
d. 2+3+5
e. 1+3
b. 1+4
Note:
Mouches volantes ses ved glaslegemesammenfald (–>amotio retinae)(nethindeløsning).
Metamorfopsier ses ved våd AMD.
Opgave 1-3:
Du skal nu sætte patienten i passende behandling. Hvilket af nedenstående medikamenter vil man ikke bruge
i den tryksænkende behandling af akut vinkellukningsglaukom?
Man giver pupilkontraherende for at bedre afløbet.
Behandling er:
Opgave 1-4:
Du har læst ’Praktisk oftalmologi’ grundigt og ved at man ikke giver pupiludvidende dråber til patienter med
akut vinkellukningsglaukom, da det vedligeholder pupilblokket som er årsagen til akut glaukom. Hvilken
anden (ikke medicinsk) behandling kan man udføre ved akut vinkellukningsglaukom for at sænke trykket?
Note:
Iridotomi er det samme som YAG-laser: man laver et lille hul i iris/regnbuehinden, hvilket bedrer kammervinklen.
Opgave 1-5:
Hos en patient med akut vinkellukningsglaukom, ville du selvfølgelig vælge en iridotomi for at skabe flow
mellem forreste og bagerste kammer. Hvilken okulær struktur kan lide irreversibel skade ved persisterende
trykforhøjelse ved akut glaukom?
Opgave 2-1
En 53-årig mand henvender sig på skadestuen, efter han i forbindelse med løft af tung dør snubler og slår
højre ansigtshalvdel ned i en bordkant. Forud for ulykkestilfældet har patienten ikke fejlet noget med øjnene.
Patienten angiver smerter omkring højre øje, kvalme og sløret syn.
Objektivt findes visus på 1/60 højre øje og 6/6 på venstre øje. Der er hævelse og misfarvning omkring højre
øje, samt højresidig exophthalmus og hæmoragisk chemosis. (se billede). Motiliteten er indskrænket på højre
øje i alle blikretninger og normal på venstre. Højre pupil er dilateret og trægt lysreagerende.
Hvilket af nedenstående udsagn er mest korrekt?
A: Du bestiller først en CT-scanning af cerebrum for at udelukke basis cranii fraktur
B: Du bestiller først en CT-scanning af orbita for at udelukke blow-out fraktur og øvrige
ansigtsfrakturer
C: Du sender en henvisning til øjenafdelingen mhp subakut tilsyn og indlægger patienten obs commotio
D: Du kontakter vagthavende neurolog, da du primært mistænker traumatisk oculomotoriusparese
E: Du kontakter først øjenafdelingen mhp akut tilsyn, da synet er truet

E: Du kontakter først øjenafdelingen mhp akut tilsyn, da synet er truet
Opgave 2-2
Basisoplysninger fra delopgave 1:
Du ser en 53-årig mand med stumpt traume mod højre øje. Patienten angiver smerter omkring højre øje,
kvalme og sløret syn. Objektivt finder du højresidigt periorbitalt hæmatom, kraftigt nedsat syn,
exophthalmus, trægt lysreagerende pupil og indskrænket motilitet på højre øje. Du beslutter fejlagtigt at
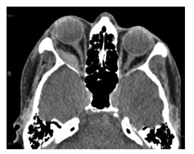
bestille en CT-scanning før du kontakter en øjenlæge (se billede).
Med udgangspunkt i kliniske fund og CT -scanning: Hvad er den mest sandsynlige diagnose?
A: Blow-out fraktur
B: Retrobulbær hæmoragi
C: Perforation af bulbus
D: Basis cranii fraktur
E: Glaslegemeblødning

B: Retrobulbær hæmoragi
Opgave 2-3
Basisoplysninger fra delopgave 2:
Du ser en 53-årig mand med stumpt traume mod højre øje. CT-scanningen bekræfter retrobulbær hæmoragi
med exophthalmus, og patienten henvises akut til øjenafdelingen.
Ved objektiv undersøgelse på øjenafdelingen er visus på højre øje faldet til håndbevægelser. Der måles et
intraokulært tryk på 53/21 mmHg på hhv. højre og venstre øje. Ved oftalmoskopi ses afsmalnede retinale kar
og afbleget papil.
Hvilket af nedenstående udsagn om den videre plan er mest korrekt?
A: Patienten indlægges mhp tryknedsættende øjendråber og i.v.-Diamox (carboanhydrasehæmmer).
B: Der er indikation for akut lateral kantholyse
C: Patienten indlægges mhp højdosis i.v.-hydrokortison
D: Der er indikation for akut vitrektomi
E: Der er indikation for akut filtrerende operation for at nedsætte trykket i øjet (trabekulektomi)
B: Der er indikation for akut lateral kantholyse
Note:
hun har jo akut orbitalt kompartmentsyndrom og hertil er behandlingen netop akut lateral katholyse, som er en incision for at skabe dekompression.
Opgave 2-4
Basisoplysninger fra delopgave 3:
En 53-årig mand med stumpt traume mod højre øje og retrobulbær blødning, behandles med lateral
cantholyse og efterfølgende orbital dekompression. Trods behandling ender han med et visus på 6/12 på
højre øje.
3 år efter ulykkestilfældet oplever han pludseligt synstab og skyggefornemmelse. Han henvender sig til
praktiserende øjenlæge der måler synet på højre øje til 6/60 med tillæg af +12 sfærisk brilleglas. Ved
spaltelampeundersøgelse gør øjenlægen følgende fund (se billede)
Hvilket af nedenstående udsagn er korrekt?
A: Der er nethindeløsning
B: Der er glaslegemeblødning
C: Linsen er sublukseret
D: Der er keratit
E: Der er et stort intraokulært fibrinplaque efter tidligere blødning i øjet

C: Linsen er sublukseret
Opgave 3-1
Du er øjenlæge og ser en 74 –årig kvinde der klager over nedsat syn på højre øje gennem et par måneder.
Hun oplever at hun har sløret syn på den ene øje, hun har fået sværere ved at læse og hun har også tænkt over
at naboens flagstang ser buet ud.
Hun er kendt med diabetes, hypertension og hyperkolesterolæmi. Hun har ikke tidligere fejlet noget med
øjnene.
Du undersøger hende og finder upåfaldende forhold svarende til øjenomgivelser og bulbus.
Visus o.dxt. 0,25 (6/24). Visus o.sin 0,67 (6/9).
Ved oftalmoskopi finder du følgende:
Hvilket af nedenstående udsagn er mest korrekt?

Opgave 3-2
Basisoplysninger fra delopgave 1:
Du er øjenlæge og ser en 74 –årig kvinde der klager over nedsat syn på højre øje gennem et par måneder.
Hun ved ikke præcist hvornår symptomerne indtrådte. Hun oplever at hun har sløret syn på den ene øje, hun
har fået sværere ved at læse og hun har også tænkt over at naboens flagstang ser buet ud.
Hun er kendt med diabetes, hypertension og hyperkolesterolæmi. Hun har ikke tidligere fejlet noget med
øjnene.
Du undersøger hende og finder upåfaldende forhold svarende til øjenomgivelser og bulbus.
Visus o.dxt. 0,25 (6/24). Visus o.sin 0,67 (6/9).
Du supplerer dine undersøgelser med en OCT-scanning:
Hvilket af nedenstående udsagn er mest korrekt?

Opgave 3-3
Basisoplysninger fra delopgave 1:
Du er øjenlæge og ser en 74 –årig kvinde der klager over nedsat syn på højre øje gennem et par måneder.
Hun ved ikke præcist hvornår symptomerne indtrådte. Hun oplever at hun har sløret syn på den ene øje, hun
har fået sværere ved at læse og hun har også tænkt over at naboens flagstang ser buet ud.
Hun er kendt med diabetes, hypertension og hyperkolesterolæmi. Hun har ikke tidligere fejlet noget med
øjnene.
Du undersøger hende og finder upåfaldende forhold svarende til øjenomgivelser og bulbus.
Visus o.dxt. 0,25 (6/24). Visus o.sin 0,67 (6/9).
Du konkluderer at patienten har grenveneokklusion med makulært ødem og informerer patienten om
følgende behandlingsmuligheder:
Hvilket af følgende udsagn er mest korrekt?
Opgave 3-4
Hvilke af følgende risikofaktorer disponerer til udviklingen af retinal veneokklusion?
A: Høj alder
B: Arteriel hypertension
C: Hyperkolesterolæmi
D: Diabetes
E: Tobaksrygning
Svar: