Oido Flashcards

(9 cards)

1
Q

Clínica de otitis media

A

pérdida unilat auditiva - conductiva
Obstrucción tubo Eustaquio
Masa incidental de oido medio
Posterior a IVAs mal tratada

How well did you know this?
1
Not at all
2
3
4
5
Perfectly
2
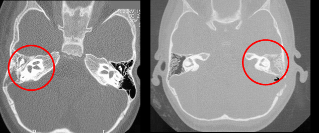
Q

Tc en otitis media

A

Masa bien definida en oído medio (densidad intermedia)
Erosiones osiculares o laberínticas
Asociación a mastoiditis

How well did you know this?
1
Not at all
2
3
4
5
Perfectly
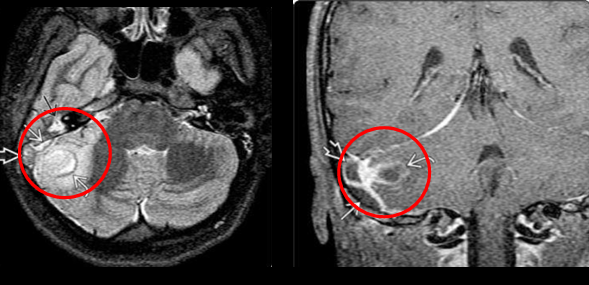
3
Q

RM en otitis media

A

T1 - masa hipointensa en odio intenso
T2 - masa hiperintensa en odio y mastoides

How well did you know this?
1
Not at all
2
3
4
5
Perfectly
4
Q

Definición mastoiditis

A

Infección de apófisis mastoides - crónica o aguda
Complicación de otitis

How well did you know this?
1
Not at all
2
3
4
5
Perfectly
5
Q

TC en mastoiditis

A

Opacificación de celdillas mastoideas
Crónico: esclerodiploico (engrosamiento óseo)

Abscesos

How well did you know this?
1
Not at all
2
3
4
5
Perfectly
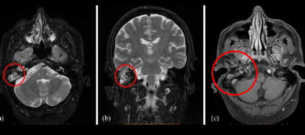
6
Q

RM en mastoiditis

A

Ver extensión intracraneal
T2- hiperseñal, disminución señal en seno sigmoide

How well did you know this?
1
Not at all
2
3
4
5
Perfectly
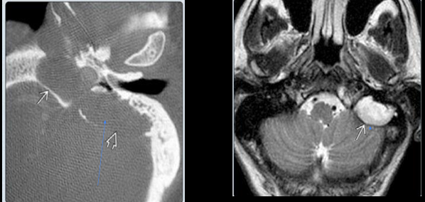
7
Q

Definición colesteatoma

A

Neoplasia tej epidérmico que crece en interior de conducto auditivo
Complicación otomastoiditis
Beningno - comportamiento maligno pq destruye hueso

How well did you know this?
1
Not at all
2
3
4
5
Perfectly
8
Q

Clínica colesteatoma

A

Dolor retroauricular, sordera, cefalea, meningitis

How well did you know this?
1
Not at all
2
3
4
5
Perfectly
9
Q

Imagen en colesteatoma

A

Masa que destruye el hueso

How well did you know this?
1
Not at all
2
3
4
5
Perfectly