Órbita Flashcards

(17 cards)

1
Q

Definición orbitopatía tiroidea

A

Enf Graves - autoinmune asociada con disfunción tiroides

How well did you know this?
1
Not at all
2
3
4
5
Perfectly
2
Q

Clínica de orbitopatía tiroidea

A

edema periorbital, dolor, retracción párpado, ojo seco, diplopía, EXOFTALMOS

How well did you know this?
1
Not at all
2
3
4
5
Perfectly
3
Q

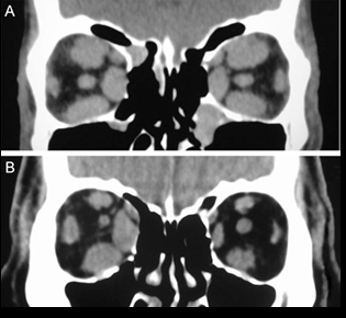
Imagen en orbitopatia tiroidea

A

Agrandamiento bilateral de músculos extraoculares

How well did you know this?
1
Not at all
2
3
4
5
Perfectly
4
Q

Tc en orbitopatia tiroidea

A

Agrandamiento músculos extraoculares, exoftalmos, nervio óptico estirado

How well did you know this?
1
Not at all
2
3
4
5
Perfectly
5
Q

RM en orbitopatia tiroidea

A

T1: agrandamiento músc extraoculares
T2: aumento señal en musculos extraoculares en fases agudas
Diametro disminuido nervio óptico

How well did you know this?
1
Not at all
2
3
4
5
Perfectly
6
Q

Definición exoftalmos

A

Protusión anormal de uno o dos globos oculares

How well did you know this?
1
Not at all
2
3
4
5
Perfectly
7
Q

Clínica de exoftalmos

A

Edema palpebral, dolor retroocular, diplopia

How well did you know this?
1
Not at all
2
3
4
5
Perfectly
8
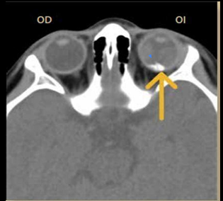
Q

TC en exoftalmos

A

Protrusión ocular anormal
Disociación índice globo ocular - línea intercantal

How well did you know this?
1
Not at all
2
3
4
5
Perfectly
9
Q

RM en exoftalmos

A

Ver causa (puede haber tumor)

How well did you know this?
1
Not at all
2
3
4
5
Perfectly
10
Q

Definición Retinoblastoma

A

Tumor maligno primario de la retina
Trilat o cuadrilat - arriba de silla turca o pineal

How well did you know this?
1
Not at all
2
3
4
5
Perfectly
11
Q

Clínica retinoblastoma

A

Leucocoria
Pérdida visión
Estrabismo
18 meses

How well did you know this?
1
Not at all
2
3
4
5
Perfectly
12
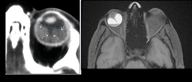
Q

Imagen en retinoblastoma

A

Calcificaciones intraoculares
TC- ver calcificaciones
RM - mapeo tumor
USG - lesión hiperecogénica con calcificaciones

How well did you know this?
1
Not at all
2
3
4
5
Perfectly
13
Q

RM en retinoblastoma

A

Evaluar implicaciones intra y extraoculares / intracraneales
Hemorragia retinal

How well did you know this?
1
Not at all
2
3
4
5
Perfectly
14
Q

Desprendimiento de retina características

A

9 capas - causa ceguera
Regmatógeno - por trauma
No Regmatógeno - exudativo (neoplasias), traccional (retinopatía diabética)

How well did you know this?
1
Not at all
2
3
4
5
Perfectly
15
Q

Dx desprendimiento de retina

A

Fondoscopia
US/TC
RM - evaluar presencia neoplasias

How well did you know this?
1
Not at all
2
3
4
5
Perfectly
16
Q

US en desprendimiento retina

A

Retina doblada y brillante (gusanito)
Forma triangular

17
Q

TC y RM en desprendimiento retina

A

Hiperdensidad / intensidad
Fluido subretiniano
Neoplasias
Trauma