Oido Flashcards

(7 cards)

1
Q

Otitis media

A

Infeccion del oído medio
- Clx: perdida unilateral auditiva
- Obstrucción del tubo de eustaquio

How well did you know this?
1
Not at all
2
3
4
5
Perfectly
2
Q

estudio de imagen para otitis media

A

TC
- masa bien definida en oído medio (densidad intermedia) + erosiones osiculares (o laberinticas)
- asociado a mastoiditis

How well did you know this?
1
Not at all
2
3
4
5
Perfectly
3
Q

Mastoiditis / Otomastoiditis

A

infección de la apofisisi mastoides (cronica o aguda)
- cronica: resorción ósea y desmineralización
- complicacion de la otitis

How well did you know this?
1
Not at all
2
3
4
5
Perfectly
4
Q

estudio de imagen para mastoiditis

A

TC
- opacificacion de celdillas mastoideas
- cronico: esclerodiploico (engrosamiento óseo)

How well did you know this?
1
Not at all
2
3
4
5
Perfectly
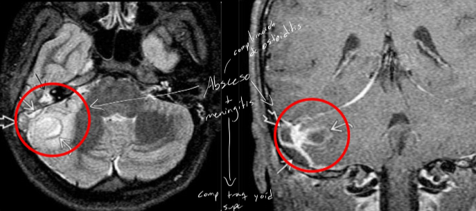
5
Q

como se ve en RM mastoiditis

A
How well did you know this?
1
Not at all
2
3
4
5
Perfectly
6
Q

Colesteatoma

A

Neoplasia de tejido epidermico q crece en el interior del conducto auditivo
- se forma despues de una infección
- Benigno pero con comportamiento maligno → destruye hueso y cadena osicular
- Clx: dolor retroauricular, sordera, meningitis

How well did you know this?
1
Not at all
2
3
4
5
Perfectly
7
Q

estudio de imagen de colesteatoma

A

TC y RM
- Masa que destruye hueso

How well did you know this?
1
Not at all
2
3
4
5
Perfectly