Órbita Flashcards

(9 cards)

1
Q

Exoftalmos

A

Proptosis (se sale ojo ocular)
- Clx: edema palpebral, dolor retrocular, diplopia
- RM lo mejor

How well did you know this?
1
Not at all
2
3
4
5
Perfectly
2
Q

Tc exoftalmos

A

TC
- protusion ocular anormal
- disociacion indice globo ocular

How well did you know this?
1
Not at all
2
3
4
5
Perfectly
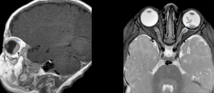
3
Q

RM exoftalmos

A

RM
- protusion ocular anormal
- disociacion indice globo ocular - linea intercantal
- masa ocupativas retroculares

How well did you know this?
1
Not at all
2
3
4
5
Perfectly
4
Q

Orbitopatia tiroidea

A

enf autoinmune orbital asociada con disfuncion de la tiroides
- Clx: exoftalmos (en ausencia de tumor), retracción del parpado, ojo seco, diplopia

How well did you know this?
1
Not at all
2
3
4
5
Perfectly
5
Q

Estudio imagen Orbitopatia tiroidea

A

Agrandamiento bilateral de musc extraoculares
- TC: abordar enf no complicada
- RM: decidir tx y ver compromiso del n.optico

How well did you know this?
1
Not at all
2
3
4
5
Perfectly
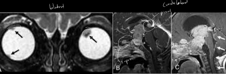
6
Q

Retinoblastoma

A

Tumor maligno primario de la retina
- Trilateral: bilateral + t. neurplastico (g. pineal)
- Cuadrilateral: bilateral + t. pineal y region supraselar
- Clx: leucocoria - pupila blanca

How well did you know this?
1
Not at all
2
3
4
5
Perfectly
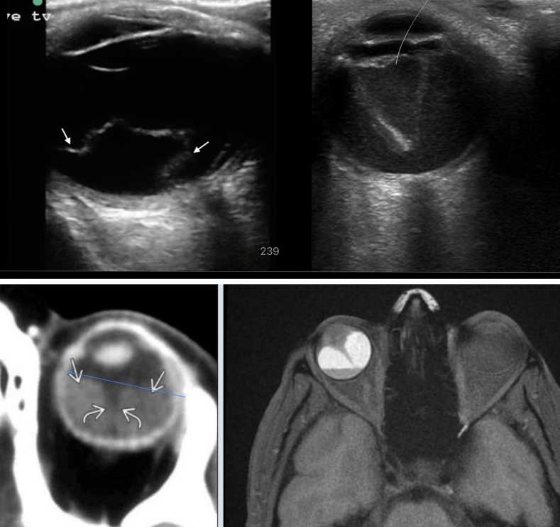
7
Q

Estudio de imagen retinoblastoma

A

Calcificaciones intraoculares
- TC: ver calcificaciones
- RM: mapeo del tumor
- US: ultima opcion si no hay tc o rm

How well did you know this?
1
Not at all
2
3
4
5
Perfectly
8
Q

Desprendimiento de retina

A
  • Regmatógeno: traumatismo
  • No regmatógeno: exudativo → neoplasia | traccional → retinopatia diabetica
How well did you know this?
1
Not at all
2
3
4
5
Perfectly
9
Q

estudios de imagen desprendimiento de retina

A
  • USG: retna doblada y brillante, forma triangular
  • TC y RM: retina triangular, hiperdensidad
How well did you know this?
1
Not at all
2
3
4
5
Perfectly