Ojo Flashcards

(19 cards)

1
Q

Cámaras del ojo

A

Cámara anterior
Cámara posterior
Cámara vítrea

How well did you know this?
1
Not at all
2
3
4
5
Perfectly
2
Q

Capas y características del cristalino

A

Estructura biconvexa, avascular y transparente
Está suspendido de los bordes del cuerpo ciliar por las fibras zonulares

3 componentes principales:
Cápsula del cristalino
Epitelio subcapsular
Fibras del cristalino

How well did you know this?
1
Not at all
2
3
4
5
Perfectly
3
Q

Capas que componen la túnica fibrosa

A

Córnea
Esclera

How well did you know this?
1
Not at all
2
3
4
5
Perfectly
4
Q

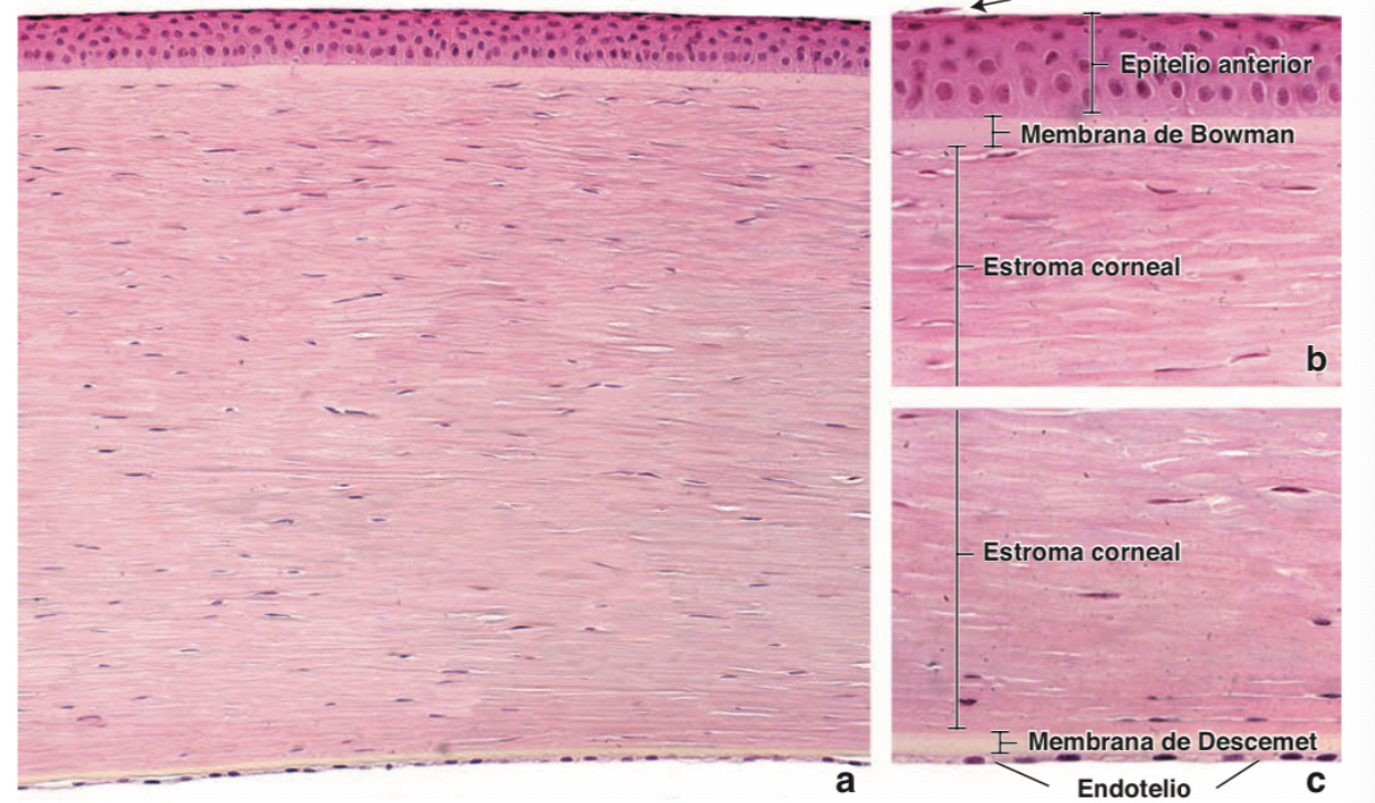
Capas de la córnea

A

Epitelio corneal: Plano estratificado con microvellosidades y terminaciones nerviosas libres.

Membrana de Bowman: entre el epitelio corneal y el estroma corneal.
-Termina en el limbo esclerocorneal
-Le da cierta resistencia a la córnea y actúa como una barrera contra la diseminación de infecciones

Estroma corneal: Laminillas delgadas de colágeno

Membrana de Descemet: Red de fibras y poros. Es lámina basal para endotelio.

Endotelio corneal: Capa de epitelio plano simple que limita la cámara anterior.

How well did you know this?
1
Not at all
2
3
4
5
Perfectly
5
Q

Características y capas de la esclera

A

Capa fibrosa gruesa que contiene haces colágenos aplanados Está compuesta por tejido conjuntivo denso fibroso

LÁMINA EPIESCLERAL
Capa externa del tejido conjuntivo laxo contigua al tejido adiposo periorbitario
CÁPSULA DE TENON
Fascia conjuntiva que reviste el globo ocular. Compuesta por una red densa de fibras de colágeno gruesas
LÁMINA SUPRACOROIDES
Superficie interna de la esclera. Contiene fibras de colágeno más delgadas, fibras elásticas, fibroblastos, melanocitos, macrófagos y otras células del tejido conjuntivo

How well did you know this?
1
Not at all
2
3
4
5
Perfectly
6
Q

Límite entre la córnea y la esclera situado en la cámara anterior del ojo, contiene el conducto de Schlemm

A

Ángulo iridocorneal

How well did you know this?
1
Not at all
2
3
4
5
Perfectly
7
Q

Capas del ojo de la túnica vascular

A

Coroides
Cuerpo ciliar
Iris

How well did you know this?
1
Not at all
2
3
4
5
Perfectly
8
Q

Capas de la coroides

A

Porción de la túnica vascular que cubre la retina

CAPA CORIOCAPILAR
Lámina vascular interna que se encuentra entre la esclera y la retina, cuyos vasos nutren a las células de la retina.

MEMBRANA DE BRUCH
Lámina delgada, amorfa, hialina y retráctil.
Lámina basal de las células endoteliales de la capa coriocapilar.
Capas de la membrana:
Capa de fibras colágenas
Capa de fibras elásticas
Segunda capa de fibras de colágeno
Lámina basal de las células epiteliales retinianas

How well did you know this?
1
Not at all
2
3
4
5
Perfectly
9
Q

Componentes del cuerpo ciliar

A

Engrosamiento de la porción anterior de la túnica vascular entre iris y coroides

ESTROMA
Capa externa de músculo liso - músculo ciliar (acomoda al cristalino)
* Porción medial o longitudinal
* Porción radial u oblicua: visión lejana
* Porción circular o esfinterniana: visión cercana

Procesos ciliares: Evaginaciones del cuerpo ciliar.
Hay dispersas fibras elásticas y macrófagos, con gránulos de pigmento de melanina.

Región vascular interna

CAPA EPITELIAL Células columnares
Reviste la superficie interna del cuerpo ciliar
Capa pigmentada: Capa interna
Capa no pigmentada: Capa externa

How well did you know this?
1
Not at all
2
3
4
5
Perfectly
10
Q

Funciones del epitelio ciliar

A

Secreción de humor acuoso
Composición similar al plasma
Presión intraocular (12-20 mmHg)
Sustancias nutritivas y eliminar metabolitos de tejidos avasculares
Participación en la barrera hematoacuosa
Secreción y anclaje de las fibras zonulares que forman el ligamento suspensorio del cristalino.

How well did you know this?
1
Not at all
2
3
4
5
Perfectly
11
Q

Enfermedad ocular caracterizada por el aumento de la presión intraocular y daño progresivo en diferentes estructuras intraoculares, incluyendo el nervio óptico.

Puede ser causado por la secreción excesiva del humor acuoso o un impedimento a su drenaje.

A

Glaucoma

How well did you know this?
1
Not at all
2
3
4
5
Perfectly
12
Q

¿Qué es, y componentes del iris?

A

Diafragma contráctil que se extiende sobre la superficie anterior del cristalino.

Estroma de tejido conjuntivo
Epitelio pigmentado posterior
Mioepitelio pigmentado anterior
Músc. dilatador de la pupila
Músc. esfínter de la pupila

How well did you know this?
1
Not at all
2
3
4
5
Perfectly
13
Q

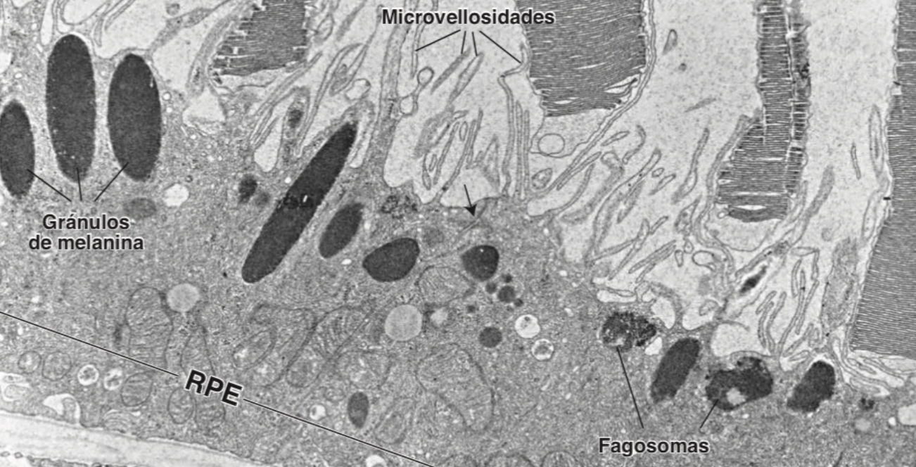
¿Qué es el epitelio pigmentado retiniano?

A

Epitelio cúbico simple cuyas células poseen melanina

Funciones:
Absorción de la luz
Componente de la barrera hematorretiniana
Fagocitosis y eliminación de los discos membranosos de los conos y bastones

How well did you know this?
1
Not at all
2
3
4
5
Perfectly
14
Q

Regiones de la retina nerviosa

A

Capa interna que contiene receptores fotosensibles y redes neuronales

Se distinguen dos regiones funcionales:
Región fotosensible
Región no fotosensible

How well did you know this?
1
Not at all
2
3
4
5
Perfectly
15
Q

Causas del desprendimiento de la retina

A

Se produce como consecuencia de enfermedades o traumatismos oculares (causa visión en cortina)

How well did you know this?
1
Not at all
2
3
4
5
Perfectly
16
Q

Capas de la retina

17
Q

Composición de las capas de la retina

18
Q

¿Cuáles son las estructuras accesorias del ojo?

A

Conjuntiva (2): membrana mucosa delgada y transparente que se extiende sobre la esclera.
CONJUNTIVA BULBAR: recubre el globo ocular
CONJUNTIVA TARSAL: recubre el tarso (cartílago palpebral que da consistencia a los párpados). Recubre la cara interna de los párpados.

Párpados: piel fina y elástica
Glándulas
Pestañas: pelos cortos, rígidos y curvos Músculos: recto superior, recto inferior, recto medial,
recto lateral, oblicuos superiores
y oblicuos inferiores

19
Q

Laminilla de ojo (para que la estudien)