Piel Flashcards

(15 cards)

1
Q

Generalidades y funciones de la piel

A

La piel es la cubierta externa del cuerpo y es el órgano más grande (15-20% de la masa total)

Derivados epidérmicos de la piel:
-Folículos pilosos y pelo
-Glándulas
-Uñas

FUNCIONES
Barrera contra agentes del medio externo Información inmunitaria
Homeostasis
Información sensitiva

How well did you know this?
1
Not at all
2
3
4
5
Perfectly
2
Q

Estratos principales de la piel

A

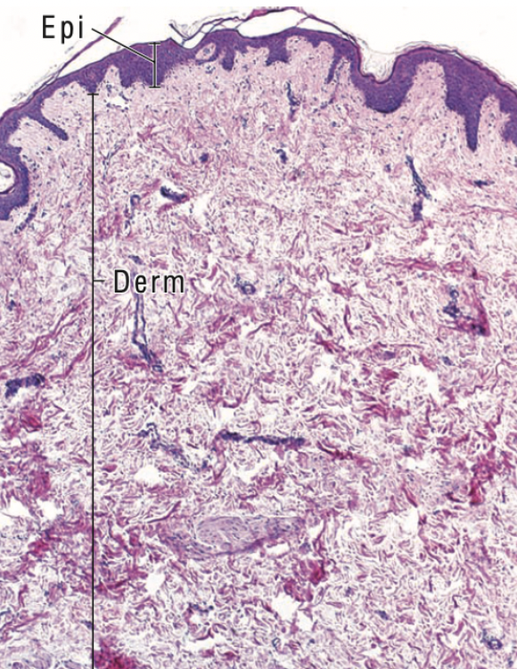
EPIDERMIS: compuesta por epitelio plano estratificado queratinizado que crece continuamente pero mantienen espesor normal
DERMIS: compuesta por tejido conjuntivo denso, que brinda sostén mecánico, resistencia y espesor de la piel

How well did you know this?
1
Not at all
2
3
4
5
Perfectly
3
Q

Estratos de la epidermis:

A

Córneo: cél queratinizadas
Estrato granuloso: cél con gránulos abundantes
Estrato espinoso: cél espinosas con proyecciones cortas
Estrato basal: cél con actividad mitótica Estrato lúcido: limitado a la piel gruesa

How well did you know this?
1
Not at all
2
3
4
5
Perfectly
4
Q

¿A qué estrato pertenece esta imagen?

A

Estrato espinoso

How well did you know this?
1
Not at all
2
3
4
5
Perfectly
5
Q

Principal diferenciador entre piel delgada y piel gruesa

A

Estrato lúcido

How well did you know this?
1
Not at all
2
3
4
5
Perfectly
6
Q

CÉLULAS DE LA EPIDERMIS

A

Queratinocitos
Melanocitos
Células de Langerhans
Células de Merkel

How well did you know this?
1
Not at all
2
3
4
5
Perfectly
7
Q

Características de la queratinocitos

A

Tipo celular predominante de la epidermis.
Se originan en el estrato epidérmico basal.
Producen queratina
Formación de la barrera epidérmica contra el agua

How well did you know this?
1
Not at all
2
3
4
5
Perfectly
8
Q

Características de los melanocitos

A

Derivan de células de la cresta neural.
Se encuentra entre las células basales del E. basal.
Aspecto dendrítico: emite evaginaciones entre queratinocitos
Producen melanina: protección contra luz UV

How well did you know this?
1
Not at all
2
3
4
5
Perfectly
9
Q

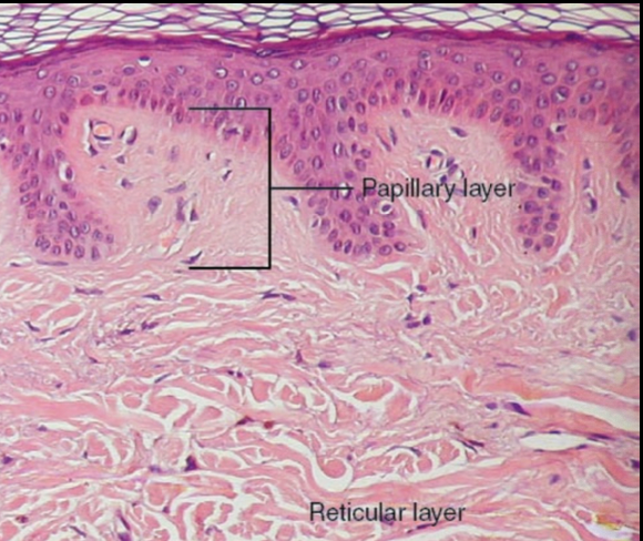
Generalidades de la dermis

A

Unión dermoepidérmica: entre la dermis y la epidermis

Papilas dérmicas: evaginaciones de tejido conjuntivo

Crestas epidérmicas: protuberancias parecidas a la dermis
-Patrón distintivo de surcos y pliegues en cada individuo (huellas digitales).

How well did you know this?
1
Not at all
2
3
4
5
Perfectly
10
Q

Composición de la dermis papilar

Capa más superficial

A

Tejido conjuntivo laxo justo debajo de la epidermis
Fibras de colágeno delgadas tipo I y II
Vasos sanguíneos que irrigan

How well did you know this?
1
Not at all
2
3
4
5
Perfectly
11
Q

Composición de la dermis reticular

Capa profunda

A

Fibras de colágeno gruesas tipo I
Líneas de Langer: líneas regulares de tensión elásticas formadas por fibras de colágeno

How well did you know this?
1
Not at all
2
3
4
5
Perfectly
12
Q

Estructuras más profundas de la dermis

A

PANÍCULO ADIPOSO
Tejido adiposo que almacena energía y sirve como termoaislante
MÚSCULOS ERECTORES DEL PELO
Músculo liso que conecta la parte profunda del folículo piloso con la dermis superficial.
PANÍCULO CARNOSO
Capa delgada de músculo estriado debajo de la fascia subcutánea

How well did you know this?
1
Not at all
2
3
4
5
Perfectly
13
Q

Terminaciones nerviosas de la piel

A

Corpúsculos de Pacini : detectan cambios de presión y vibraciones.
Corpúsculos de Meissner : percibir sensaciones táctiles leves
Corpúsculos de Ruffini : sensibles al estiramineto y tensión.

How well did you know this?
1
Not at all
2
3
4
5
Perfectly
14
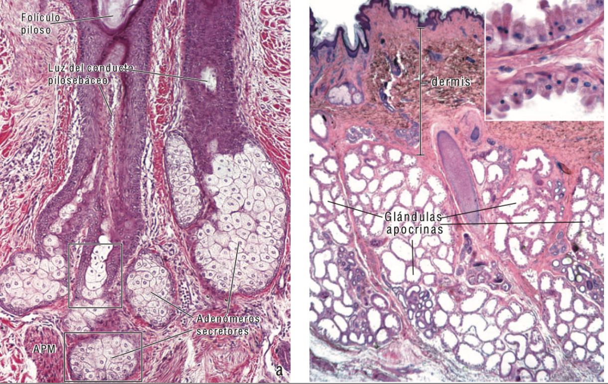
Q

Anexos cutáneos de la piel (4)

A

Folículos pilosos: producción y crecimiento de un pelo.

Glándulas sebáceas: se originan como brotes de la vaina radicular externa

Glándulas sudoríparas ecrinas: por todo el cuerpo menos labios y genitales externos

Glándulas sudoríparas apocrinas: axila, areola y pezón de la glándula mamaria, región perineal y genitales externo

How well did you know this?
1
Not at all
2
3
4
5
Perfectly
15
Q

Nombra las estructuras de la imagen:

A
How well did you know this?
1
Not at all
2
3
4
5
Perfectly