What is olecranon bursitis?
Olecranon bursitis is a common inflammatory pathology of the elbow. The olecranon bursa is prone to inflammation due to its superficial position and is vulnerability to pressure and trauma.
What causes olecranon bursitits?
Most patients develop the condition due to repetitive flexion-extension movements at the elbow, causing irritation of the bursa. Less common non-infective causes include gout and rheumatoid arthritis.
Less commonly, the fluid within the bursa can become infected, through a skin abrasion or puncture (most commonly from S. aureus), leading to a bursitis too.
What are the clinical features of olecranon bursitis?
Patients present with pain and swelling over the olecranon. The patient may report a small volume of swelling for some time, only with recent increases in size, discomfort, or erythema.
As the joint capsule is not involved, range of motion is usually preserved, with minimal discomfort unless at the extremes of movement. The swelling can be large and, if infected, systemic symptoms such as fever or lethargy may be present.
Ensure to examine the contralateral elbow joint, as well as the joints above and below the elbow.
What investigations should be ordered for olecranon bursitis?
Routine bloods, including a FBC and CRP, should be taken. Any suggestion of rheumatological causes may warrant further specialised tests. Serum urate levels should be checked if the history is suggestive of gout (or if bilateral disease).
Plain film radiographs of the elbow joint will not confirm the diagnosis, but may aid in ruling out any bony injury.
Definitive diagnosis is from aspiration of the fluid, being sent for microscopy and for culture, which can assess for evidence of infection and for the presence crystals. This also can provide symptomatic relief for some patients.
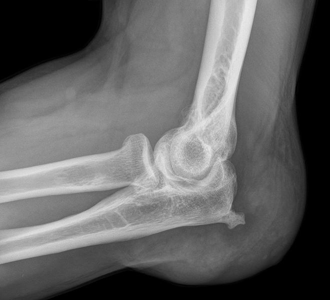
What is shown on the image?

A plain film radiograph showing soft tissue swelling (with associated bony spur) from olecranon bursitis.
Briefly describe the management of olecranon bursitis
Treatment is often dependant on if there is the presence of infection.
Swellings without an infection can be treated with analgesia (ideally NSAIDs) and rest, with splinting of the elbow for a short period of time if required. Occasionally if the swelling is large and causing high levels of discomfort, patients can undergo a washout in theatre (even with the bursa not being infected).
If infection is present or the patient has systemic symptoms, then intravenous antibiotics as per local guidelines are indicated, as well as surgical drainage. Prolonged or interactable cases can be treated with either long antibiotic courses or in some cases a bursectomy can provide helpful relief.
What are the complications of olecranon bursitis?
Most cases will resolve spontaneously. Rarely, septic arthritis or osteomyelitis can develop in infective cases, which will likely need surgical intervention.
What differentials should be considered for olecranon bursitis?
Differential diagnoses for olecranon bursitis are inflammatory arthropathies, gout, cellulitis and septic arthritis.