What is the most common shoulder dislocation?
The most common type of dislocation is anteroinferior (usually just termed ‘anterior’), constituting around 95% of shoulder dislocations, with posterior and inferior dislocations making up the remainder.
Briefly describe the pathophysiology of a anterior dislocation
An anterior dislocation is classically caused by force being applied to an extended, abducted, and externally rotated humerus.
Briefly describe the pathophysiology of a posterior dislocation
A posterior dislocation is typically caused by seizures or electrocution, but can occur through trauma (a direct blow to the anterior shoulder or force through a flexed adducted arm).
What are the clinical features of a shoulder dislocation?
All dislocations present with a painful shoulder, acutely reduced mobility, and a feeling of instability. Patients will be reluctant to move the affected limb.
On examination, there is often an asymmetry with the contralateral side. Often there is a loss of shoulder contours (from a ‘flattened deltoid’) and an anterior bulge from the head of the humerus may also be seen.
It is important to assess the neurovascular status of the arm, which can become compromised in some cases.
Which nerves are commonly affected following a shoulder dislocation?
The axillary and suprascapular nerves.
Give examples of bony and soft injuries associated with shoulder dislocations
Bony:
Soft:
Briefly describe bony Bankart lesions
Bony Bankart lesions are fractures of the anterior inferior glenoid bone, most commonly present in those with recurrent dislocations.
What are Hill-Sachs defects?
Hill-Sachs defects are impaction injuries to the chondral surface of the posterior and superior portions of the humeral head, present in approximately 80% of traumatic dislocations.
Briefly describe soft Bankart lesions
Soft Bankart lesions are avulsions of the anterior labrum and inferior glenohumeral ligament.
What investigations should be ordered for shoulder dislocations?
Imaging forms the bulk of investigations required for shoulder dislocations. Plain radiographs are usually adequate in the acute setting; a trauma shoulder series is required, comprising anterior-posterior, Y-scapular, and axial views.
How may an anterior dislocation present on plain radiographs?
Anterior dislocations can usually be spotted on the anterior-posterior film as the humeral head is visibly out of glenoid fossa, and the Y-scapular view also can confirm this. It is important to remember to check for concurrent bony injuries too.
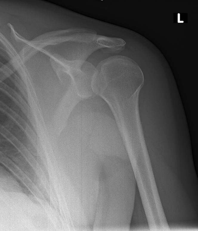
Briefly describe what is shown on the x-ray

Anterior shoulder dislocation, showing both AP and Y views.
How may a posterior dislocation present on plain radiographs?
The ‘light bulb sign’ suggests posterior dislocation, as the humerus is fixed in internal rotation.
Which view is useful at determining if the dislocation is anterior or posterior?
The Y view is very useful for differentiating between anterior and posterior dislocations.
Briefly describe the “light-bulb sign”
The lightbulb sign refers to the abnormal AP radiograph appearance of the humeral head in posterior shoulder dislocation.
When the humerus dislocates it also internally rotates such that the head contour projects like a lightbulb when viewed from the front.

Briefly describe what is shown on the x-ray

Lightbulb Sign suggesting a posterior shoulder dislocation.
Briefly describe the management of shoulder dislocation
Management should initially be an A to E trauma assessment of the patient, as dislocations frequently occur following trauma, ensuring to also stabilise and examine for other injuries. Provide appropriate analgesia, as this will aid in the management of the dislocation too.
The principle is reduction, immobilisation and rehabilitation. For shoulder dislocations, a closed reduction, such as the Hippocratic method, should be performed by a trained specialist, involving orthopaedics early before attempting any reduction.
Ensure to assess the neurovascular status both pre- and post-reduction.
Once reduced, the arm should be placed in to a broad-arm sling.
All dislocations require physiotherapy aiming to restore range of movement, functionality and to strengthen the rotator cuff and pericapsular musculature.
Following a shoulder dislocation, how long does the arm need to be immobilised for?
Once reduced, the arm should be placed in to a broad-arm sling; the length of immobilisation is still controversial for anterior dislocation; typically 2 weeks is used, however longer may be warranted for posterior dislocations.
Following a shoulder dislocation, when may surgery be required?
Future surgical treatment may be warranted for ongoing shoulder pain, joint instability, large Hill-Sachs defects, or large (bony) Bankart lesions.
What are the complications of shoulder dislocation?
Despite treatment, chronic pain, limited mobility, stiffness, and recurrence are possible; unfortunately, recurrence is still relatively common, particularly in those who continue high risk activities.
Other common complications include adhesive capsulitis, nerve damage, and rotator cuff injury is common and may require surgery. Degenerative joint disease can occur, typically after labral and cartilaginous injuries and chronic recurrence.