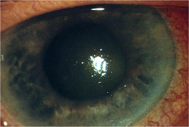
describe abnormal findings with this man’s right eye

•scleral injection, FB at 7 o’clock
*you would also want to document (if true): PERRLA, EOMI
In an older patient with sudden onset of eye pain, headache and vomiting, what MUST be on your DDx?
acute glaucoma
stroke

What % of ED visits are related to the eyes?
What are the 4 MC complaints?
•3-10% of ED complaints are related to the eyes

What 3 eye problems are true emergencies and require IMMEDIATE consultation?
Immediate consultation:
What should you include in taking an initial Hx?
•Chief complaint
•Change in vision
•Change in appearance
•Discomfort (FOB sensation, irritated/scratchy/etc)
•Duration
•Associated symptoms
►Remember to ask about contact use or eye meds

Relevant PMH:
List steps in 8 (9) point ER eye exam
Visual Acuity (single best eye exam)
Uses Snellen chart
•Should be done corrected (with eyeglasses or contacts on or if those aren’t available→ use pinhole card)

•If unable to see chart:
–finger count
–hand motion
–light perception

Pupillary Exam should include:

What is Anisocoria?
unequal pupil size
•Physiologic – 20% of cases

What is Horner’s syndrome?
•Horners Syndrome – ptosis, miosis, anhidrosis (loss of hemifacial sweating)
– many causes – MS, brain tumors, trauma, carotid artery dissection

What can cause an oculomotor nerve palsy?

What is a good trick if a patient doesn’t know when you ask them if their current eye presentation is “normal for them”?
ask to see his driver’s license and see how eyes look there

Why is it important to test EOM in all fields, plus convergence?

–cornea/lens/malingering
–CN source vs EOM source
why is it important to always check visual fields by confrontation?

Visual field defects – glaucoma, stroke, brain tumors, other neuro defects
•Patient may not notice change unless checked
What type of stain is best to evaluate for:
abrasions, dendritic lesions, open globe, ulcers, FB…
Flouroscein
►Have pt pull down lower lid and look medially. Put anesthetic drops in lateral part of globe

What is normal value for intraocular pressure?
What instrument could be used to measure if you were concerned about increased intraocular pressure?
•IOP: 10-20 is normal
A Tonopen
(do this before you dilate the pupils)

What are we looking at on the fundascopic exam?
(many things…!)

Describe steps in Slit lamp exam.

–esp if have foreign body sensation (flip over a q-tip stick if having trouble)
https://youtu.be/https://youtu.be/g0qqwJIKQlY

Describe components of an external eye exam.

*When you examine the “white part” of a patient’s eyes, you’re actually looking through the semi-transparent conjunctiva to the white sclera of the eyeball underneath.
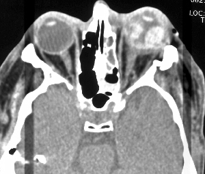
What imaging is quick, done at bedside and is 100% sensitive and 97% specific compared to exam and CT?
•Can Dx scleral and choroidal lacerations, vitreous hemorrhage, retinal detachment, radiolucent and radio-opaque FB, retrobulbar hematomas
When should this imaging NOT be used?
ULTRASOUND
ø Contraindicated in large globe lacerations

What is the MC way to evaluate:
–fractures of the orbit,
-intraocular foriegn body (>1 mm cuts)
►CT
•Indicated when posterior segment can’t be visualized, suspected occult globe rupture or laceration, and metallic foreign bodies

What is the best imaging to evaluate suspected orbital and periorbital tumors, optic nerve disorders?
MRI
May delineate small wooden and organic FB however must be sure no metallic IOFB present
What is the treatment for Blepharitis?
(Inflammation or infection of lid margin)

Tx: Hygiene; topical antibiotics +/- topical steroids