Blood loss with specific fractures
• Rib = 100-200 cc • Tibia = 300-500 cc • Femur = 800-1200 cc • Pelvis = 1500 cc and up • Humerus = 100-800 cc
formula for estimating blood volume in patient: 150lb woman= 70kg
70cc/kg 70 x 70 = 4900cc blood volume
formula to estimate blood loss:
Est Blood Loss (cc) / Blood Vol (cc) = % blood loss
4 causes (classes) of shock in a trauma patient which type should you presume pt has until proven otherwise?
• Hemorrhagic—> consider this in ALL injured pts • Cardiogenic • Obstructive • Distributive (neurogenic)
Describe Glasgow Coma Scale
What are 3 categories, max score?
Below what score do we intubate, immobilize C-spine?
Eye Opening (4), Verbal Response (5), Best Motor Response (6)
Max score= 15
below 9 we intubate, below 8 we immobilize C-spine

Define shock.
state of severe systemic reduction in tissue perfusion characterized by decreased cellular oxygen delivery and utilization, as well as decreased removal of waste byproducts of metabolism
What 2 types of shock make up traumatic shock?
Traumatic shock = Hemorrhagic shock + Distributive Shock
What is the “lethal triad” of shock?
Coagulopathy, Acidosis, Hypothermia

describe “shearing force trauma” kinetics
hit on back, aortic arch not attached – dissection, liver attached but vessels aren’t
What other regions of the body should you check in a pt with MOI= fall that has bilateral calcaneous fractures?
check T/L spine for compression Fxs
are primary or secondary effects responsible for more casualties with blast injuries?
Secondary Effects *responsible for majority of causalities*
Cause: flying debris.
Affects: body surface area, MSK system
Injuries: blunt and penetrating trauma, lacerations, fracture, burns
Describe tertiary effects of a blast injury.
Cause: victim thrown by blast wave
Affects: area of impact, referred injury (closed head injury, fractures, contusions, amputations)
Injuries: similar to ejected MVA injuries
What % of body surface area burned puts a pt at risk for hypovolemic shock?
Risk of hypovolemic shock:
>10% BSA in children or
**>15% BSA in adults **
Which areas represent 9% of Body Surface Area?
on anterior: either leg, chest, abdomen, both arms together
(head is 4.5%, as is each arm)
posterior SA breakdown is same as front
pt’s palm represents ~1% SA (same as genitals)

Indications for a head CT
Head Trauma + NO loss of consciousness
Glasgow Coma Scale score <15 (any neuro deficit)
Focal neurologic findings
Vomiting more than two times
Moderate to severe headache
Age >65 y
Physical signs of basilar skull fracture
Coagulopathy
Dangerous mechanism of injury
Head Trauma + Loss of consciousness
Drug or alcohol intoxication
Physical evidence of trauma above the clavicles
Persistent amnesia
Post-traumatic seizures
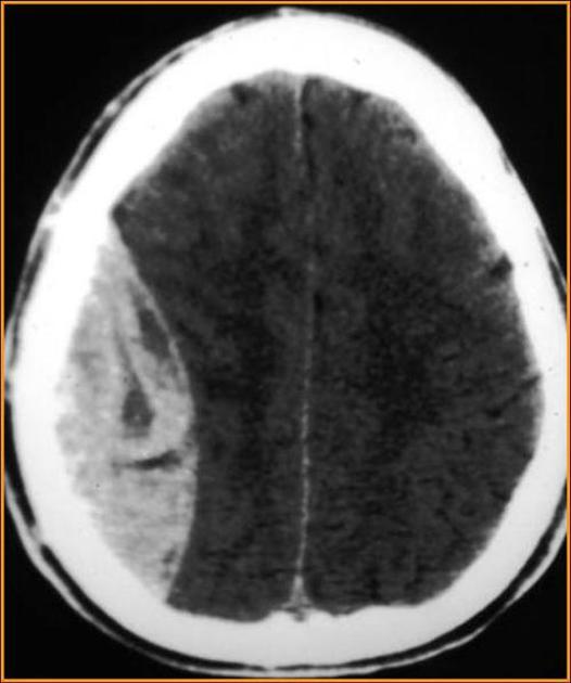
What type of bleed is this?
can the bleed cross suture lines?

subdural hematoma
yes, can cross suture lines
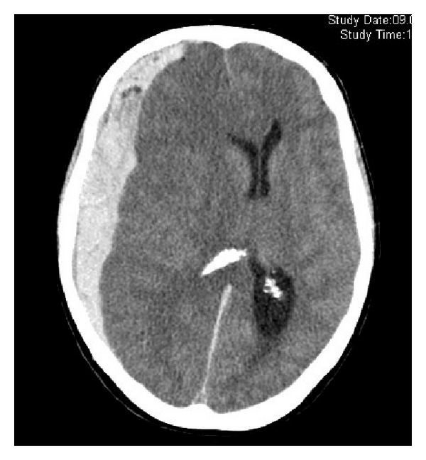
What type of bleed is this?
can it cross suture lines?

epidural hematomas CANNOT cross suture lines
Which injuries are associated with a basilar skull fracture?
Epidural hematoma → injury middle meningeal artery
Vertebral artery injuries
C-spine injuries (occipital condylar injuries)
Meningitis (esp with open fractures)
describe “central cord syndrome”
Usually due to cervical hyperextension
Quadriplegia may result
Motor >Sensory Loss
Upper > Lower Extremity Loss
Distal > Proximal Muscle Weakness
Describe “anterior cord syndrome”.
Results from cervical hyperflexion injuries
Position and vibration (posterior column functions) are preserved
Motor function, temperature, and pain sensation are lost bilaterally below the lesion.
List criteria for NEXUS C-spine clearance
NONE of the BELOW can exist to clear C-spine
Focal Neurologic Deficit
Midline Spinal Tenderness
Altered Level of Consciousness
Intoxication
Distracting Injury