Optic neuritis Flashcards

(14 cards)

1
Q

Optic neuritis is an inflammatory condition that affects the optic nerve. What is the incidence of this?

1 - 7000 cases per 100,000
2 - 700 cases per 100,000
3 - 70 cases per 100,000
4 - 7 cases per 100,000

A

4 - 7 cases per 100,000

Equally likely in males and females

How well did you know this?
1
Not at all
2
3
4
5
Perfectly
2
Q

What age does the incidence of optic neuritis typically peak at?

1 - 10-30
2 - 20-40
3 - 30-50
4 - 60-80

A

2 - 20-40

How well did you know this?
1
Not at all
2
3
4
5
Perfectly
3
Q

In typical optic neuritis, do patients typically present with unilateral or bilateral vision loss?

A
  • unilateral
How well did you know this?
1
Not at all
2
3
4
5
Perfectly
4
Q

Patients with typical optic neuritis typically present with unilateral vision loss. Which 2 of the following do patients normally describe?

1 - central scotoma
2 - photopsia
3 - hazy vision
4 - blurred vision

A

3 - hazy vision
4 - blurred vision

How well did you know this?
1
Not at all
2
3
4
5
Perfectly
5
Q

Which of the following is NOT a key feature of typical optic neuritis?

1 - pain on eye movement
2 - bilateral vision loss
3 - relative afferent pupillary defect
4 - loss of colour vision

A

2 - bilateral vision loss

Loss is unilateral

How well did you know this?
1
Not at all
2
3
4
5
Perfectly
6
Q

In patients with typical optic neuritis, does the optic disc appear abnormal or normal?

A
  • typically normal
How well did you know this?
1
Not at all
2
3
4
5
Perfectly
7
Q

In patients with typical optic neuritis. do they typically present with any other demyelination disease symptoms?

A
  • yes

Pins and needles, poor coordination

How well did you know this?
1
Not at all
2
3
4
5
Perfectly
8
Q

Which neurological condition is typical optic neuritis associated with?

1 - motor neuron disease
2 - meningitis
3 - encephalitis
4 - multiple sclerosis

A

4 - multiple sclerosis

How well did you know this?
1
Not at all
2
3
4
5
Perfectly
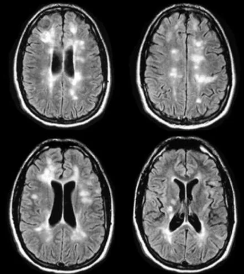
9
Q

What scan do patients typically receive to identify the cause of the optic neuritis?

1 - MRI
2 - CT
3 - ultrasound
4 - PET

A

1 - MRI

If MS then there will be lots of white lesions

How well did you know this?
1
Not at all
2
3
4
5
Perfectly
10
Q

Does the vision loss that patients with typical optic neuritis generally return?

A
  • yes

Will recover slowly over 6 weeks

Steroids may speed up the recovery

How well did you know this?
1
Not at all
2
3
4
5
Perfectly
11
Q

Which of the following can cause atypical optic neuritis?

1 - bacterial infection
2 - viral infection
3 - inflammatory conditions
4 - all of the above

A

4 - all of the above

How well did you know this?
1
Not at all
2
3
4
5
Perfectly
12
Q

Do patients with atypical optic neuritis have the characteristic eye pain when moving the eyes?

A
  • no
How well did you know this?
1
Not at all
2
3
4
5
Perfectly
13
Q

Does the vision loss in patients with atypical optic neuritis return as it does in typical optic neuritis?

A
  • no
How well did you know this?
1
Not at all
2
3
4
5
Perfectly
14
Q

Atypical optic neuritis is associsated with a number of conditions. Match the conditions with the groups that are most at risk of these conditions as these patients are at a greater risk of developing optic neuritis?

  • African Caribbeans
  • Indian subcontinent
  • Turkish
  • Behcets
  • Sarcoidosis
  • Tuberculosis
A
  • African Caribbeans = sarcoidosis
  • Indian subcontinent = Tuberculosis
  • Turkish = Behcets

These conditions must be screened for in optic neuritis as they can cause Treponema (bacteria) than can cause atypical presentation of the condition

How well did you know this?
1
Not at all
2
3
4
5
Perfectly