Uveitis Flashcards

(19 cards)

1
Q

Anterior uveitis involves inflammation of the anterior uvea, also called the vascular tunic/layer. The uvea is composed of 3 parts:

  • iris
  • choroid
  • ciliary body

What is the incidence of uveitis?

1 - 4 cases per 100,000
2 - 40.00 cases per 100,000
3 - 400 cases per 100,000
4 - 4000 cases per 100,000

A

2 - 40.00 cases per 100,000

Equally likely in males and females

How well did you know this?
1
Not at all
2
3
4
5
Perfectly
2
Q

What is age does the peak incidence of uveitis typically occur?

1 - >65
2 - 40-50
3 - 30-40
4 - 20-30

A

3 - 30-40

How well did you know this?
1
Not at all
2
3
4
5
Perfectly
3
Q

The choroid is part of the uvea. Which 2 layers of the eye does the choroid sit between?

1 - lens and sclera
2 - sclera and retina
3 - cornea and lens
4 - retina and lens

A

2 - sclera and retina

How well did you know this?
1
Not at all
2
3
4
5
Perfectly
4
Q

There are 3 main types of uveitis:

  • anterior uveitis
  • posterior uveitis
  • intermediate uveitis

Which of these 3 accounts for 75-90% of uveitis?

A
  • anterior uveitis
How well did you know this?
1
Not at all
2
3
4
5
Perfectly
5
Q

Is uveitis typically uni or bilateral?

A
  • unilateral
How well did you know this?
1
Not at all
2
3
4
5
Perfectly
6
Q

Anterior uveitis can be caused by a number of factors, but which is often the most common?

1 - infection
2 - idiopathic
3 - autoimmune
4 - ischaemia or malignancy
5 - trauma

A

3 - autoimmune

Typically the anterior chamber becomes infiltrated by neutrophils, lymphocytes and macrophages.

Hypopyon refers to a fluid collection containing inflammatory cells seen at the bottom of the anterior chamber on inspection.

How well did you know this?
1
Not at all
2
3
4
5
Perfectly
7
Q

Autoimmune causes are among the most common causes of uveitis. Which of the following autoimmune conditions is NOT typically associated with uveitis?

1 - Seronegative ankylosing spondylitis
2 - reactive arthritis
3 - T1DM
4 - inflammatory bowel disease
5 - sarcoidosis
6 - Behçet’s disease

A

3 - T1DM

How well did you know this?
1
Not at all
2
3
4
5
Perfectly
8
Q

Which major histocompatibility complex (MHC) molecule present in a number of conditions is linked to causing uveitis?

1 - HLA-B27
2 - HLA-DRB1
3 - HLA-DQA1
4 - HLD-DR2

A

1 - HLA-B27

Common in ankylosing spondylitis and reactive arthritis

How well did you know this?
1
Not at all
2
3
4
5
Perfectly
9
Q

Which of the following pathogens has the weakest, if any link with uveitis?

1 - herpes simplex virus (HSV)
2 - hepatitis B
3 - varicella-zoster virus (VZV)
4 - cytomegalovirus (CMV)

A

2 - hepatitis B

How well did you know this?
1
Not at all
2
3
4
5
Perfectly
10
Q

Does uveitis typically have an insidious onset or acute onset?

A
  • acute
How well did you know this?
1
Not at all
2
3
4
5
Perfectly
11
Q

In uveitis, is there any change in visual acuity?

A
  • yes

Typically because of the Hypopyon refers to a fluid collection containing inflammatory cells seen at the bottom of the anterior chamber on inspection.

How well did you know this?
1
Not at all
2
3
4
5
Perfectly
12
Q

Patients typically present with which of the following if they have uveitis?

1 - Painful red eye (typically a dull, aching pain)
2 - Reduced visual acuity
3 - Photophobia (due to ciliary muscle spasm)
4 - Excessive lacrimation (tear production)
5 - all of the above

A

5 - all of the above

How well did you know this?
1
Not at all
2
3
4
5
Perfectly
13
Q

When suspecting a patient uveitis, which of the following examination findings would not likely be present?

1 - Ciliary flush
2 - Dilated but unresponsive pupil
3 - Abnormally shaped pupil
4 - Hypopyon (inflammatory cells collected as a white fluid in the anterior chamber)

A

2 - Dilated but unresponsive pupil

Typically miosis, a constricted pupil is present due to sphincter muscle contraction

Ciliary flush = ring of red spreading from the cornea outwards

Abnormally shaped pupil is due to posterior synechiae (adhesions) pulling the iris into abnormal shapes

How well did you know this?
1
Not at all
2
3
4
5
Perfectly
14
Q

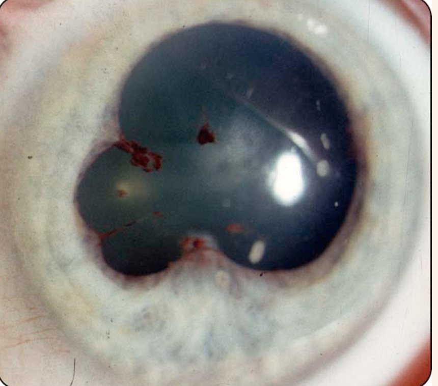
What is the term used to describe an abnormally shaped pupil in uveitis?

1 - episcleritis
2 - dendritic ulcer
3 - posterior synechiae
4 - nodular scleritis

A

3 - posterior synechiae Iris

Caused by attachments to the lens known as posterior synechiae gives rise to irregular shaped iris

How well did you know this?
1
Not at all
2
3
4
5
Perfectly
15
Q

Depending on the cause of the uveitis, a variety of tests need to be performed following an eye examination. Which of the following would NOT typically be performed?

1 - antibody testing
2 - serologic tests for STIs
3 - quantiFERON-TB Gold for tuberculosis
4 - autoimmune markers, such as HLA-B27, antinuclear antibody (ANA), and rheumatoid factor
5 - eye biopsy

A

5 - eye biopsy

Not performed

How well did you know this?
1
Not at all
2
3
4
5
Perfectly
16
Q

The initial aim when treating uveitis is to control inflammation, relieve pain, and prevent complications. All of the following can be used when treating uveitis, but which is 1st line?

1 - topical corticosteroids (e.g., prednisolone acetate 1% or dexamethasone 0.1%)
2 - topical cycloplegics (e.g., tropicamide or homatropine)
3 - oral corticosteroids or immunosuppressive agents (e.g., methotrexate, azathioprine, or mycophenolate mofetil)
4 - antimicrobial therapy
5 - interdisciplinary collaboration

A

1 - topical corticosteroids (e.g., prednisolone acetate 1% or dexamethasone 0.1%)

Given as eye drops

17
Q

The initial aim when treating uveitis is to control inflammation, relieve pain, and prevent complications. All of the following can be used when treating uveitis, but which is used to help stop ciliary spasm and pain, reduce the risk of posterior synechiae, and maintain the depth of the anterior chamber?

1 - topical corticosteroids (e.g., prednisolone acetate 1% or dexamethasone 0.1%)
2 - topical cycloplegics (e.g., tropicamide or homatropine)
3 - oral corticosteroids or immunosuppressive agents (e.g., methotrexate, azathioprine, or mycophenolate mofetil)
4 - antimicrobial therapy
5 - interdisciplinary collaboration

A

2 - topical cycloplegics (e.g., tropicamide or homatropine)

Causes paralysis of pupillary muscle causing dilation of the pupil

18
Q

The initial aim when treating uveitis is to control inflammation, relieve pain, and prevent complications. All of the following can be used when treating uveitis, but which is used if the patient is having a severe flare up of an autoimmune condition and uveitis is just a part of this?

1 - topical corticosteroids (e.g., prednisolone acetate 1% or dexamethasone 0.1%)
2 - topical cycloplegics (e.g., tropicamide or homatropine)
3 - oral corticosteroids or immunosuppressive agents (e.g., methotrexate, azathioprine, or mycophenolate mofetil)
4 - antimicrobial therapy
5 - interdisciplinary collaboration

A

3 - oral corticosteroids or immunosuppressive agents (e.g., methotrexate, azathioprine, or mycophenolate mofetil)

19
Q

According to NICE guidelines, patients with potentially life threatening causes of red eye should be seen how quickly by an opthamologist?

1 - same day assessment
2 - <24h
3 - <48h
4 - <1 week

A

1 - same day assessment