Osteomuscular Flashcards

(132 cards)

1
Q

¿Cómo se interpreta una Rx ósea?

A

A: alignment
B: bone
C: cartilage
D: density
E: estructuras adyacentes

How well did you know this?
1
Not at all
2
3
4
5
Perfectly
2
Q

¿Qué se toma en cuenta en la Alineación? (5)

Interpretación de Rx ósea

A
  • Huesos largos
  • Alineación del propio hueso
  • Alineación del hueso con otros
  • Curvaturas
  • La columna se puede interpretar
    como un solo hueso y sus
    componentes
How well did you know this?
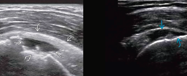
1
Not at all
2
3
4
5
Perfectly
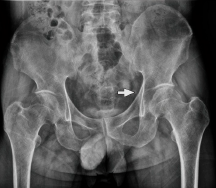
3
Q

¿Qué se toma en cuenta en el Hueso? (4)

Interpretación de Rx ósea

A
  • INTEGRIDAD
  • Buscar radioopaciades o radiolucencias anormales
  • Fractura: buscar las corticales
  • Morfologia del hueso
How well did you know this?
1
Not at all
2
3
4
5
Perfectly
4
Q

Cartílago es igual a:

Interpretación de Rx ósea

A

Articulaciones

How well did you know this?
1
Not at all
2
3
4
5
Perfectly
5
Q

¿Qué se toma en cuenta en el Cartílago? (4)

Interpretación de Rx ósea

A
  • Espacio entre dos huesos
  • Amplitud
  • Densidad
  • Cuerpos extraños
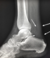
  • Simetría
  • Relación entre los dos huesos –> luxación
How well did you know this?
1
Not at all
2
3
4
5
Perfectly
6
Q

Qué tan radioopaco o radiolucido está el hueso en comparación a otros huesos habla de:

Interpretación de Rx ósea

A

Densidad
- Prominencia de las
trabeculas
- Grosor de la cortical

How well did you know this?
1
Not at all
2
3
4
5
Perfectly
7
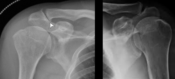
Q

Causa más común de omalgia

A

Desgarro del manguito rotador

How well did you know this?
1
Not at all
2
3
4
5
Perfectly
8
Q

El desgarro del manguito rotador es común en edad:

A

Edad avanzada

How well did you know this?
1
Not at all
2
3
4
5
Perfectly
9
Q

Causas etiológicas de desgarro del manguito rotador

A
  • Traumatismo: agudo, crónico
  • Degenerativa: sobreuso –> pinzamiento subacromial
How well did you know this?
1
Not at all
2
3
4
5
Perfectly
10
Q

Tendones que forman al manguito rotador

A
  • Supraespinoso
  • Infraespinoso
  • Redondo menor
  • Subescapular
  • Accesorio: tendón largo del biceps
How well did you know this?
1
Not at all
2
3
4
5
Perfectly
11
Q

Proyecciones de Rx para ver el desgarro de manguito rotador

A
  • AP
  • Oblicua en Y
How well did you know this?
1
Not at all
2
3
4
5
Perfectly
12
Q

Datos en Rx que sugieren pinzamiento (lesión)

Desgarro de manguito rotador

A
  • Osteofitos acromioclaviculares
  • Disminución del espacio subacromial (< 7 mm)
  • Irregularidad de cabeza humeral
How well did you know this?
1
Not at all
2
3
4
5
Perfectly
13
Q

Sensibilidad y especificidad del US

Desgarro de manguito rotador

A

90%

How well did you know this?
1
Not at all
2
3
4
5
Perfectly
14
Q

¿Qué diagnostica el US?

Desgarro de manguito rotador

A

Rotura y pinzamiento del tendón

How well did you know this?
1
Not at all
2
3
4
5
Perfectly
15
Q

Mejor estudio de imagen para desgarro de manguito rotador

A

RM

How well did you know this?
1
Not at all
2
3
4
5
Perfectly
16
Q

¿Cómo se ve el desgarro de manguito rotador en RM?

A

Hiperintensidad en T2

How well did you know this?
1
Not at all
2
3
4
5
Perfectly
17
Q

¿Qué detecta la RM?

Desgarro de manguito rotador

A
  • Desgarros pequeños
  • Lesión de múltiples estructuras: ligamentos, cartílago, labrum, etc
  • ArtroRM detecta lesiones ligamentarias
How well did you know this?
1
Not at all
2
3
4
5
Perfectly
18
Q

¿Qué lesión hay en el codo de tenista?

A

Epicondilitis lateral: tendón extensor común

How well did you know this?
1
Not at all
2
3
4
5
Perfectly
19
Q

¿Qué lesión hay en el codo de golfista?

A

Epicondilitis medial: tendón flexor común

How well did you know this?
1
Not at all
2
3
4
5
Perfectly
20
Q

Causas etiológicas del codo de tenista/golfista

A
  • Traumatismo
  • Sobreuso: microdesgarro y degeneración progresiva
How well did you know this?
1
Not at all
2
3
4
5
Perfectly
21
Q

Clínica del codo de tenista/golfista

A

Dolor: empeora con la actividad, mejora con reposo

How well did you know this?
1
Not at all
2
3
4
5
Perfectly
22
Q

¿Cómo se ve el codo de tenista/golfista en Rx?

Si hay calcificación significa que es:

A

Aumento densidad y volumen en epicóndilo medial o lateral

Calcificación –> crónico

How well did you know this?
1
Not at all
2
3
4
5
Perfectly
23
Q

¿Cómo se ve el codo de tenista/golfista en US?

A
  • Muy útil
  • Tendón engrosado, hipoecogénico
  • Rotura
How well did you know this?
1
Not at all
2
3
4
5
Perfectly
24
Q

Mejor estudio de imagen para codo de tenista/golfista

A

RM

How well did you know this?
1
Not at all
2
3
4
5
Perfectly
25
¿Cómo se ve el codo de tenista/golfista en RM?
- Hiperintensidad y engrosamiento del tendón - Permite ver lesiones ligamentarias e inestabilidad
26
Neuropatía por **atrapamiento**
Túnel del carpo | No es tanto una lesión osteomuscular
27
Nervio que se comprime en túnel del carpo
Nervio mediano dentro del túnel carpiano
28
Túnel del carpo es más común en ______, el dolor y síntomas son _____, se hace el test de ______ y de ______
- Mujeres y mano dominante - Sensoriales - Tinel - Phalen
29
Túnel del carpo es secundario a:
- Sobreuso - Lesiones ocupativas: quistes, tumores, etc
30
¿Qué se ve en el US? | Sx túnel del carpo
- Excelente método - Aplanamiento del nervio, hipoecoico - Engrosamiento del retináculo - Detección de masas o quistes
31
¿Qué se ve en la RM? | Sx túnel del carpo
- Nervio aplanado, hiperintenso - Captacion de contraste - Detección de masas
32
Inflamación del primer compartimento de tendones extensores de la muñeca
Tenosinovitis de De Quervain
33
Tendondes lesionados en la tenosinovitis de De Quervain
- Abductor largo del pulgar (APL) - Extensor corto (EPB)
34
Causa de la tenosinovitis de De Quervain
- Por sobreuso o trauma - Compresión de los tendones por el retináculo extensor
35
Clínica de la tenosinovitis de De Quervain
Dolor e inflamación en movimientos del pulgar o muñeca
36
Excelente método de imagen para tenosinovitis de De Quervain
US y RM
37
¿Cómo se ve la tenosinovitis de De Quervain en US?
- Engrosamiento e inflamación de tendones - Líquido en su vaina - Engrosamiento del retináculo
38
¿Cómo se ve la tenosinovitis de De Quervain en RM?
- Hiperseñal T2 del tendón - Edema subcutáneo peritendinoso - Captación del contraste
39
Recorrido anormal entre cabeza, acetábulo y cuello femoral
Pinzamiento femoroacetabular
40
Factores de riesgo del pinzamiento femoroacetabular
- Caídas - Actividad alto impacto - Sobre uso - Traumatismo - Artrosis
41
Clínica del pinzamiento femoroacetabular
- Dolor en flexión, rotación interna y aduccción - Dolor glúteo - Limitación de movimiento - Rigidez
42
Tipos de pinzamiento femoroacetabular
- CAM (leva) - Pincer (pinza) - Mixto
43
Planos de Rx para pinzamiento femoroacetabular
- AP y oblicua - Axial (Dunn)
44
Imagen que permite mejor evaluación anatómica | Pinzamiento femoroacetabular
TC | Reconstrucción 3D
45
Mejor método de imagen para pinzamiento femoroacetabular
RM
46
¿Qué se ve en la RM? | Pinzamiento femoroacetabular
- Permite ver edema óseo - Pinzamiento leve - Quistes - Lesión Labrum
47
La artrosis es un proceso:
Degenerativo (degeneración del cartílago) | Multifactorial: sobrepeso, sobreuso, pinzamiento, trauma...
48
Método de imagen más accesible para coxartrosis
Rx
49
Datos que se ven en la Rx | Coxartrosis
- Osteofitos - Disminución del espacio articular - Esclerosis ósea (mayor opacidad) - Quistes subcondrales ”geodas” (radiolucencias) - Deformidad ósea
50
Datos que se ven en la TC | Coxartrosis
Mismos que en Rx
51
Método de imagen que permite evaluar cartílago | Coxartrosis
RM: daño temprano | Mismos datos que RX y TC + edema óseo
52
Falla/lesión de los meniscos fibrocartilaginosos
Desgarro meniscal | - Agudo o crónico - Diferentes tipos (morfología)
53
Causas del desgarro meniscal
- Trauma rotatorio/sobreuso - Degenerativo
54
Imagen donde **no** se ve el menisco y solo se ven datos secundarios | Desgarro meniscal
Rx: edema de tej. blandos, calcificación (crónico)
55
Imagen con utilidad limitada | Desgarro meniscal
US: se ven **algunos** desgarros y derrame articular
56
Mejor método de imagen para desgarro meniscal | ¿Qué permite?
RM: permite caracterizar desgarros en múltiples planos
57
Disrupción de ligamento cruzado anterior | Puede ser:
Desgarro del LCA | Parcial o completo
58
Clínica del desgarro del LCA
* Atletas * Inestabilidad post trauma * Edema * Signo del cajón anterior
59
Métodos de imagen con utilidad limitada | Desgarro del LCA
Rx y TC
60
¿Qué se puede ver en Rx y TC? | Desgarro del LCA
- Puede verse avulsión tibial o lesiones asociadas - Fractura de Segond: avulsion de meseta tibial lateral
61
Mejor método de imagen para desgarro del LCA
RM: alta sensibilidad y especificidad, múltiples datos que apoyan el diagnóstico
62
Osteoartritis de la rodilla
Gonartrosis | Degeneracion de cartílago
63
La gonartrosis es común en:
Ancianos | Multifactorial * Sobrepeso * Sobreuso * Trauma repetitivo
64
Clínica de la gonartrosis
- Dolor - Limitación a la movilidad
65
Método de imagen más usado para gonartrosis
Rx: distintos grados y múltiples datos
66
Datos que se observan en la Rx | Gonartrosis
* Osteofitos * Disminución del espacio articular * Esclerosis ósea (mayor opacidad) * Quistes subcondrales ”geodas” (radiolucencias) * Deformidad ósea
67
Método de imagen que permite evaluar cartílago | Gonartrosis
RM
68
Lesión de ligamentos del tobillo
Esguince
69
Tipo de esguince de tobillo más común
Lateral (80%): talofibular anterior (ATFL)
70
Cinemática de la lesión | Esguince de tobillo
Inversión | Niños y adultos más frecuente
71
Factores de riesgo del esguince de tobillo
- Deportes - Uso de tacones - Antecedente de esguince - Obesidad
72
Clínica del esguince de tobillo
* Edema * Dolor * Rigidez * Equimosis * Inestabilidad
73
Grados de esguince de tobillo
1. Esguince sin lesión macroscópica o inestabilidad 2. Rotura parcial, edema y dolor moderado 3. Rotura completa, hematoma, edema, dolor e inestabilidad
74
Método de imagen donde **no** se ve el ligamento pero sí los datos secundarios
Rx
75
Datos secundarios que se ven en la Rx | Esguince de tobillo
- Edema de tejidos blandos - Aumento del espacio entre peroné y astrágalo - Rx con estrés: “bostezo” - Descarta fracturas
76
Método de imagen usualmenteusado para buscar fracturas
TC
77
Método de imagen que permite evaluar ATFL | Esguince de tobillo
US: utilidad limitada
78
Mejor método de imagen que clasifica la lesión y busca lesiones asociadas | Esguince de tobillo
RM
79
Tendon con lesión más frecuente del tobillo
Tendón de Aquiles (rotura) | Parcial o completa
80
Factores de riesgo de rotura del tendón de aquiles
- DM2 - Esteroides - Artritis - Microtrauma - Gota - Hiperparatiroidismo
81
Clínica de la rotura del tendón de aquiles
* Dolor en region del tendón * Chasquido audible * Limitación a la flexión * Equimosis * Depresión en sitio de rotura
82
Prueba para evaluar rotura del tendón de aquiles
Prueba de Thompson
83
¿Qué se ve en la Rx y TC de rotura del tendón de aquiles?
* Edema de tejido blando * Borramiento triangulo graso Kager * Descartar avulsión calcánea * Calcificación= crónico
84
¿Qué es esto?
Borramiento triángulo graso Kager = rotura del tendón de aquiles
85
Método excelente y accesible para rotura del tendón de aquiles | ¿Qué permite distinguir?
US | Desgarro parcial y total
86
Tendon engrosado e hipoecoico en US significa:
Tendinopatia
87
Mejor método de imagen para rotura del tendón de aquiles
RM | Búsqueda de lesiones asociadas
88
Infección de médula ósea
Osteomielitis
89
Etiología más frecuente de osteomielitis
Bacteriana (piógena): S. aureus
90
Patogenia de osteomielitis
* Diseminacion hematógena * Extension directa por trauma o ulceras (DM2)
91
Localizaciones más frecuentes de la osteomielitis
* Extremidades inferiores (mas común) * Vértebras . Lumbar>torácica>cervical * Estiloides radial * Sacroiliacas
92
Clínica de osteomielitis
- Dolor * Fiebre * Edema * Supuración * Inmovilidad
93
¿Cómo se hace el dx de osteomielitis?
**Clínica + imagen** | Puede simular neoplasias
94
Estudio de imgen con utilidad limitada para osteomielitis
Rx
95
¿Qué se ve en la Rx de osteomielitis? (6)
* Cambios tempranos sutiles: edema tejidos blandos * Osteopenia * Reacción perióstica * Festoneamiento de la cortical * Pérdida ósea focal o cortical * Pérdida de arquitectura trabecular
96
Estudio de imagen que limita mejor el involucro óseo en osteomielitis
TC
97
Mejor estudio de imagen para osteomielitis
RM * Alta sensibilidad y especificidad * Diagnostica complicaciones * Edema óseo * Captacion de contraste
98
2 tipos de tumores óseos
- Blásticos: **forman** hueso --> radio**opacos** - Líticos: **destruyen** hueso --> radio**lúcidos**
99
Tumor óseo benigno que forma hueso | Es asintomático
Osteoma | Endostosis
100
Tamaño y morfologia del osteoma
- Tamaño: 1-4 cm - Redondos, con bordes suaves
101
¿En qué huesos son frecuentes los osteomas?
Membranosos (cráneo)
102
¿Cómo se ve el osteoma en Rx y TC?
* Fácil DX * Radioopaco * Bien delimitado * Sin reacción perióstica
103
Estudio de imagen con mejor definición para osteoma
TC: * Expansión * Involucro tejidos blandos
104
¿Cómo se ve el osteoma en RM?
Hipointenso: valora extensión intracraneal
105
Tumor óseo maligno más común
Osteosarcoma
106
El osteosarcoma es productor de:
Matriz osteoide --> destructivo
107
El osteosarcoma es más común en huesos:
Metáfisis de huesos largos | Fémur distal y tibia proximal
108
Edad de presentación más común del osteosarcoma
Jóvenes: 2da década Hombre > mujer
109
Clínica del osteosarcoma (4)
- Dolor - Masa de tejidos blandos - Edema - Asociado a fx patológica --> hallazgo
110
Método de imagen que tiene un rol importante en el dx de osteosarcoma
Rx
111
¿Qué se ve en la Rx de osteosarcoma?
- Destrucción ósea - Reacción perióstica: rayos de sol, piel de cebolla, triángulo de Codman - Masa de tejidos blandos
112
¿Qué signo es este?
Piel de cebolla --> osteosarcoma
113
¿Qué signo es este?
Rayos de sol --> osteosarcoma
114
Método de imagen para estadificación de osteosarcoma
RM
115
¿Qué determina la RM en osteosarcoma?
* Determinar conservación de extremidad * Extensión intraósea y a tejidos blandos * CONTRASTE
116
¿Para qué sirve la TC en osteosarcoma?
Biopsia y estadificación (metástasis a pulmón es frecuente)
117
Tumor benigno de cartílago hialino | Solitario, asintomático e incidental
Encondroma
118
Localización del encondroma
- Metáfisis o metadiáfisis - Común en huesos tubulares cortos (manos) y huesos largos (húmero, fémur, tibia)
119
Encondroma en zona epifisial
Condrosarcoma
120
Edad de presentación del encondroma
3a a 5a década
121
¿Cómo se ve el encondroma en Rx y TC
- Variable - Lesión bien definida - Calcificaciones redondeadas y anulares - Expansiva - Sin reacción perióstica - Sin involucro a tej. blandos
122
Aspecto característico en Rx y TC del encondroma
Burbujas
123
¿Qué es esto?
Encondroma
124
¿Qué evalúa la RM en encondroma?
Extensión a tejidos blandos
125
¿Qué capta la medicina nuclear en el encondroma?
Radiotrazador
126
Tumor primario que se extiende a hueso
Metástasis
127
El hueso es el ______ sitio más común de metástasis
3er
128
Ubicaciones principales de metástasis en hueso
Huesos con médula roja persistente | Vértebras, fémur proximal, costillas, esternón, pelvis, cráneo...
129
Clínica de metástasis en hueso
* 40-60 a * Dolor * Fx patologica
130
¿Cómo se ven las metástasis líticas en RM?
* Captan contraste * Hipo en T1, hiper en T2
131
¿Cómo se ven las metástasis blásticas en RM?
Hipo en T1 y T2
132
Método de imagen excelente para evaluar: * Tejido subcutáneo * Nervios periféricos * Músculos * Bursas * Tendones * Ligamentos * Superficie ósea * Periostio | Gran utilidad en procedimientos dx y terapéuticos
US musculoesquelético | Elastografia