Trauma Flashcards

(125 cards)

1
Q

Fractura presente en el 10% de los TCE

A

Fractura de cráneo

How well did you know this?
1
Not at all
2
3
4
5
Perfectly
2
Q

Método de imagen inicial para trauma de bajo impacto / niños pequeños

A

Rx

How well did you know this?
1
Not at all
2
3
4
5
Perfectly
3
Q

¿Qué se distingue en la Rx?

A

Distinguir entre surcos vasculares y suturas

Surcos = “ríos”

How well did you know this?
1
Not at all
2
3
4
5
Perfectly
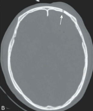
4
Q

Diferencuas entre fractura de cráneo y sutura

A
How well did you know this?
1
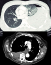
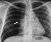
Not at all
2
3
4
5
Perfectly
5
Q

Mejor método de imagen para evaluación inicial en trauma de alto impacto

Lo que debieron haberle hecho a Derek Shepherd para que no se muriera

A

TC

3D

Ventana ósea

How well did you know this?
1
Not at all
2
3
4
5
Perfectly
6
Q

TCE

Fracturas más frecuentes

Asociadas a:

A

Lineales: temporales y parietales

Asociadas a hematoma epidural

How well did you know this?
1
Not at all
2
3
4
5
Perfectly
7
Q

TCE

¿A qué se asocian las fracturas deprimidas?

Localización común

A
  • Lesión cerebral
  • Trauma de gran energía en zona pequeña

Comunes frontoparietales

How well did you know this?
1
Not at all
2
3
4
5
Perfectly
8
Q

TCE

Fracturas más graves

A

De la base del cráneo

How well did you know this?
1
Not at all
2
3
4
5
Perfectly
9
Q

Las fracturas de base de cráneo solo se detectan en:

A

TC

How well did you know this?
1
Not at all
2
3
4
5
Perfectly
10
Q

Las fracturas de base de cráneo involucran: (4)

A
  • Desgarro de duramadre y pérdida de LCR/sangrado
  • Oto/Rino raquia/ragia
  • Puede ocasionar neumoencéfalo
  • Sangre/líquido en mastoides o seno esfenoidal
How well did you know this?
1
Not at all
2
3
4
5
Perfectly
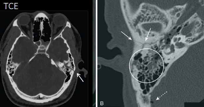
11
Q

TCE

¿Qué tipo de fractura es esta?

A

Fractura de base de cráneo

How well did you know this?
1
Not at all
2
3
4
5
Perfectly
12
Q

TCE

El hematoma subdural es venoso o arterial?

A

Venoso

How well did you know this?
1
Not at all
2
3
4
5
Perfectly
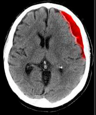
13
Q

TCE

Hematoma que puede pasar desapercibido y ser asintomático

A

Subdural

En adultos con trauma poco claro
Niños = abuso

How well did you know this?
1
Not at all
2
3
4
5
Perfectly
14
Q

TCE

Presión y crecimiento del hematoma subdural

A
  • Baja presión
  • Crecimiento lento
How well did you know this?
1
Not at all
2
3
4
5
Perfectly
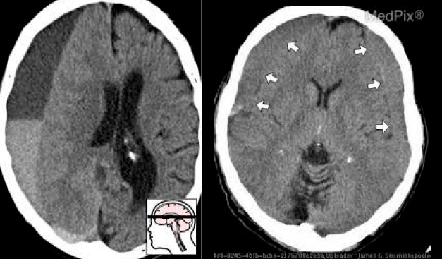
15
Q

TCE

¿Cómo se ve el hematoma subdural en TC?

A
  • Cóncavo o semilunar
  • Moderado o discreto
  • Efecto de masa y herniación (nulo en adultos mayores)
How well did you know this?
1
Not at all
2
3
4
5
Perfectly
16
Q

TCE

Los niveles sangre-líquido en hematoma subdural significan:

A

Hematoma subagudo

How well did you know this?
1
Not at all
2
3
4
5
Perfectly
17
Q

TCE

¿Qué tipo de hematoma es este?

A

Subdural

How well did you know this?
1
Not at all
2
3
4
5
Perfectly
18
Q

¿El hematoma epidural es venoso o arterial?

¿Qué arteria?

A

Arterial

Meningea media

How well did you know this?
1
Not at all
2
3
4
5
Perfectly
19
Q

Presión y crecimiento del hematoma epidural

A
  • Alta presión
  • Crecimiento rápido = emergencia
How well did you know this?
1
Not at all
2
3
4
5
Perfectly
20
Q

¿A qué se asocia el hematoma epidural?

A
  • Asociado a trauma, fractura
  • Pacientes jóvenes
  • URGENCIA
How well did you know this?
1
Not at all
2
3
4
5
Perfectly
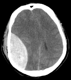
21
Q

¿Cómo se ve el hematoma epidural en TC?

A
  • Biconvexo o lenticular
  • Fx
  • Importante Efecto de masa y herniación
How well did you know this?
1
Not at all
2
3
4
5
Perfectly
22
Q

¿Qué hematoma es este?

A

Epidural

How well did you know this?
1
Not at all
2
3
4
5
Perfectly
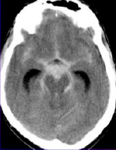
23
Q

¿Qué tipo de hematoma es este?

A

Subaracnoideo (hemorragia)

How well did you know this?
1
Not at all
2
3
4
5
Perfectly
24
Q

Fractura facial mas común

A

Fractura nasal

Hasta 45%

How well did you know this?
1
Not at all
2
3
4
5
Perfectly
25
# Fractura nasal Se asocia a:
Fractura o desviación del septum
26
# Fractura nasal Estudio de imagen con 80% de sensibilidad
Rx: perfilograma y Rx waters
27
Estudio de imagen con 100% de sensibilidad
TC
28
Las fracturas de LeFort abarcan:
Mitad de la cara
29
¿Cuántos tipos de fracturas de LeFort hay?
3
30
Las fracturas de LeFort son fácilmente diagnosticables por:
TC con reconstrucción 3D
31
¿Qué tipo de fractura de LeFort es esta? | ¿Dónde habrá equimosis?
Tipo I: Fractura transversal del maxilar | Equimosis del vestíbulo maxilar
32
¿Qué tipo de fractura de LeFort es esta? | ¿Qué signos hay?
Tipo II: se extiende a los rebordes orbitarios inferiores y hueso nasal * Epistaxis * Rinorraquia | * Ojo de mapache
33
¿Qué tipo de fractura de LeFort es esta? | ¿Qué se fractura y qué signos hay?
Tipo III: defecto en la unión craneofacial | Segmento móvil que abarca maxilares, cigomáticos y nariz ## Footnote - Ojos de mapache - Alargamiento de altura facial - Signo de battle - Rinorraquia, otorraquia
34
¿Qué signo es este? | ¿Qué indica?
Signo de Battle | Fractura de LeFort tipo 3
35
Causa mas común de trauma torácico
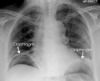
Fracturas costales | 4ª a 10ª costillas
36
Complicaciones que pueden ocasionar las fracturas costales
* Hemo/neumotórax * Trauma abdominal * Lesión neural
37
Estudio de imagen comúnmente usado para fracturas costales | ¿Cómo se toma? ## Footnote Sensibilidad y especificidad
- Rx: tórax óseo - AP y OBLICUA SIEMPRE - ABCDE en costillas | - 1 metro ## Footnote Muy baja sensibilidad y especificidad
38
Mejor método de imagen para fracturas costales | Hay que tener en cuenta:
TC: reconstrucción 3D | Movimientos respiratorios
39
# Fracturas costales ¿Qué detecta y evalúa la TC?
- Detecta fracturas no desplazadas - Permite evaluar complicaciones fácilmente: neumotórax, derrame, etc
40
Múltiples fracturas en más de 3 costillas adyacentes ocasiona: | El segmento de la pared torácica está:
Tórax inestable | Separado
41
El tórax inestable es marcador de:
Lesión pulmonar
42
Clínica de tórax inestable
* TAQUIPNEA * Desaturación * Insuficiencia respiratoria
43
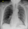
¿Qué es esto?
Tórax inestable
44
Acumulación de sangre en espacio pleural | Es secundario a:
Hemotórax | Secundario a trauma
45
¿Cómo se ve el hemotórax en Rx?
- Derrame pleural - Borramiento de silueta cardiaca
46
¿Qué es esto?
Hemotórax
47
Mejor método de imagen para hemotórax
TC: muestra derrame denso
48
Aire libre en la cavidad torácica | Es secundario a:
Neumotórax | * Trauma o procedimientos * Rotura de bulla
49
¿Cómo se ve el neumotórax en Rx y TC?
- Hiperclaridad - Pérdida de trama vascular - Pulmón colapsado
50
¿Qué es esto?
Neumotórax
51
Disrupción de las paredes de víscera abdominal hueca
Perforación de víscera hueca
52
# Perforación de víscera hueca Causas:
* Inflamación = apendicitis * Úlceras * Enfermedad diverticular * Cuerpo extraño * Cirugía reciente
53
# Perforación de víscera hueca ¿Cómo se toma la Rx?
- Tele de tórax, paciente de pie o sentado - Rx de abdomen de pie
54
¿Cómo se ve la perforación de víscera hueca en Rx?
Aire libre subdiafragmático, semilunar
55
¿Qué es esto?
Perforación de víscera hueca
56
# Perforación de víscera hueca Método de imagen que tiene como objetivo buscar líquido libre intraperitoneal (hemoperitoneo)
US: FAST → Focused Assestment with Sonograpy for Trauma (HX PAF, o punzocortante) | Pericardio, Fondo de saco, Espacio hepato y esplenorrenal ## Footnote * Se puede realizar en urgencias * Alta sensibilidad y especificidad
57
¿Cómo se ve la perforación de víscera hueca en TC?
* Neumoperitoneo * Líquido libre
58
Contusión abdominal sin pérdida de continuidad de la pared | Debido a una superficie:
Trauma cerrado de abdomen ## Footnote Plana y dura - Puño - Piso - Barra (bicicleta en niños)
59
# Trauma cerrado de abdomen Método de imagen que no suele dar información
Rx
60
# Perforación de víscera hueva ¿Qué se ve en el US?
Líquido libre: * Espacio hepato y esplenorrenal * Pericardio * Fondo de saco
61
¿Qué se ve aquí?
Líquido libre: posibre perforación de víscera hueva
62
# Trauma abdominal La TC permite identificar: (8)
- Lesión a órgano sólido - Líquido libre - Hemorragia activa - Contraste libre - Aire libre - Hematomas - Laceraciones - Infarto a organos
63
Lesión que incorrectamente se llama "esguince cervical" | ¿Qué implica? ## Footnote Secundaria a:
Pérdida de lordosis cervical | Implica lesión ligamentaria, no siempre presente ## Footnote Secundaria a trauma: automovilístico > común → ocasionada por contractura muscular
64
Clínica de pérdida de lordosis cervical
Dolor y rigidez
65
Signo que acompaña lumbalgia | Asociado a:
Pérdida de lordosis lumbar | Enfermedad discal, trauma (contractura muscular)
66
Las fracturas cervicales son detectables en: | ¿Cómo se toma?
Rx - AP boca abierta - Lateral - Valorar 3 líneas cervicales
67
Mejor método de imagen para fracturas cervicales
TC
68
# Fracturas cervicales La RM detecta:
Hematoma y lesión medular
69
# Fracturas cervicales Fractura en C1 de los arcos anteriores y posteriores | Difícil valorar en:
Fractura de Jefferson | Difícil valorar en Rx
70
# Fracturas cervicales Fractura de los elementos posteriores de C2 | ¿Cómo se toma la Rx?
Fractura del ahorcado | Rx lateral
71
# Fracturas cervicales Fractura de alta energía con desplazamiento de fragmentos dentro del conducto raquídeo
Fractura por estallido (burst)
72
¿Qué fractura es esta?
Fractura por estallido
73
Las fracturas dorsales y lumbares se dan por:
Compresión - Osteoporosis: común, asintomático, Rx - Trauma: compresión axial, estable
74
# Fracturas dorsales y lumbares ¿Qué se ve en la Rx y TC?
* Disminucion de altura vertebral * “Acuñamiento” * Osteopenia * Retropulsión: invasión a conducto
75
# Fracturas dorsales y lumbares ¿Qué permite evaluar la RM?
- Edema - Compromiso medular o radicular - Distinguir neoplasias asociadas
76
Las fracturas de sacro y cóccix se dan por:
Caídas
77
Zonas de las fracturas sacras
* Zona 1= trans alares * Zona 2 = transforaminales * Zona 3= centrales
78
En Rx, las fracturas del sacro pueden: | Las fracturas de cóccix son visibles en proyección:
Pasar desapercibidas | Lateral --> desplazamiento
79
# Fracturas de sacro y cóccix Método de imagen excelente para evaluación y clasificación
TC | Reconstrucción 3D
80
# Fracturas de sacro y cóccix ¿Qué se ve en la RM?
- Edema óseo - Compromiso neural
81
Comunidad internacional de cirujanos de columna | ¿Qué proponen?
AOSPINE: proponen sistema de clasificación de fracturas para mejorar diagnóstico (cervicales superiores, subaxiales, toracolumbares, sacras)
82
El traumatismo raquimedular tiene amplias manifestaciones clínicas por:
Daño a la médula o sus estructuras adyacentes | Desde déficit neurológico menor a parálisis completa (sección medular)
83
Patología del traumatismo raquimedular
* Edema medular * Contusión * Hemorragia intramedular * Compresión * Sección medular
84
# Traumatismo raquimedular Mecanismos de lesión
* Accidentes de tránsito * Lesiones deportivas * Arma de fuego * Caídas
85
# Traumatismo raquimedular Método de imagen con baja sensibilidad y especificidad
Rx
86
# Traumatismo raquimedular Mejor método de imagen para determinar lesiones óseas que requieran tratamiento
TC
87
# Traumatismo raquimedular Mejor método de imagen para evaluar compromiso medular y pronostico | Hemorragia, edema medular, contusión, sección medular
RM
88
¿Qué tipo de traumatismo es este?
Raquimedular en RM
89
Tipos de fracturas (9) | Son un buen, no te las aprendas
* Abierta o expuesta * Transversa * En tallo verde * Conminuta o multifragmentaria * Segmentaria * Cerrada * Espiral o helicoidea * Lineal * Impactada * Avulsión * Cabalgada * Con fragmento libre * En mariposa * Con extensión articular * Desplazada, no desplazada / reducida
90
Estudio inicial para fracturas óseas | ¿Qué se busca y cómo se toma?
Rx: - Buscar corticales - Evaluar extensión articular - AP y lateral simple - Oblicua en mano, pie, cadera y hombro
91
Mejor método de imagen para fracturas
TC | 3D
92
# Fracturas ¿En qué casos se hace RM?
* En caso de duda * Para evaluar lesión a ligamentos o tendones * Para fx ocultas
93
La fractura de clavícula puede ser causada por: | ¿Clínica?
Por caída sobre hombro, mano extendida o golpe directo | Dolor y deformidad palpable
94
Tipo de fractura del radio por flexión | ¿Clínica?
Fractura de Smith | Deformidad, edema, dolor
95
Tipo de fractura del radio por extensión | ¿Clínica?
Fractura de Colles | Deformidad, edema, dolor
96
Diferencias entre fx de Colles y Smith
97
¿Qué tipo de Rx se hace en fx de falanges y qué tipo se hace en fx de metacarpianos?
- Falanges: AP y latera - Metacarpianos: AP y oblicua
98
# Fractura de falanges Hacer TC en caso de ______ y hacer RM para buscar ______
- TC en caso de duda - RM para buscar lesión ligamentaria/tendinosa
99
La fractura de cadera se asocia a:
- Osteoporosis - Mujeres de edad avanzada
100
Tipos de fracturas de cadera
101
¿Cómo se toma la Rx en fx de cadera?
AP y oblicua
102
Tipos de fracturas de tibia
* Fractura de meseta tibial * Fractura del eje tibia-peroné * Fractura de pilón tibial (tobillo)
103
¿Qué clasificación se usa para las fracturas de meseta tibial?
Schatzker | No te la tienes que aprender
104
¿Qué tipos de fractura puede haber en el eje tibia-peroné? | Pueden ocasionar:
Transversa, oblicua, espiral, mariposa | Sx compartimental
105
Tipos de fx de tobillo
* Maleolar * Tibia distal (plafón) * Peroné * Astrágalo * Asociadas a esguince y luxación
106
Clasificación usada para fx de tobillo
Weber | Esta sí te la tienes que aprender
107
La fractura de la base del quinto metatarsiano se llama: | Sucede por:
Fx de Jones | Inversión
108
Fractura más común del pie | ¿Qué se fractura?
Fractura de Lisfranc: fractura-luxación | Articulación del tarso con metatarsianos
109
La fractura de Lisfranc es diagnosticable en ______ y la lesión ligamentaria se ve en ______
- Rx y TC - RM
110
Tipos de fx de Lisfranc
* Homolaterales * Divergente * Aislada
111
¿Qué fractura es esta?
Lisfranc
112
Los desgarros musculares suceden en:
Unión miotendinosa: común en miembros inferiores (bíceps femoral) | Común en atletas
113
# Desgarros musculares ¿Cómo se ve el US?
* Normal en lesiones de bajo grado * Edema, líquido * Disrupcion fibrilar
114
# Desgarros musculares Mejor método de imagen | ¿Qué permite evaluar?
RM: evaluar grados de desgarro y lesiones pequeñas
115
# Desgarros musculares ¿Cómo se ven los grados 1, 2 y 3 en RM?
* GRADO 1: hiperseñal, pluma de ave * GRADO 2: disrupción de fibras * GRADO 3: disrupcion completa y retracción
116
¿Qué signo es este y qué indica?
Pluma de ave: desgarro muscular grado 1 (hiperseñal)
117
Dirección de luxación de hombro más común | ¿Qué se desplaza?
Anterior: trauma de alto impacto | Desplazamiento caudal y medial de cabeza humeral
118
La impactación de la cabeza del hombro se llama:
Lesión de Hill Sachs
119
La fractura del glenoides se llama:
Lesión de Bankart
120
Segunda luxación más común en adultos y primera en niños
Luxación de codo
121
La luxación de codo se asocia a: | Puede condicionar:
* Fractura de coronoides * Fractura de olécranon * Lesión ligamentaria | Compromiso neural
122
Ligamento colateral que más comúnmente se desgarra | Se asocia a:
Medial (LCM) | Se asocia a desgarro meniscal y de LCA
123
Clínica del desgarro del LCM
- Dolor - Edema - Inestabilidad
124
# Desgarro de ligamentos colaterales Método de imagen que puede detectar lesiones y mejor método de imagen
* US puede detectar lesiones * RM lo mejor
125
¿Qué lesión es esta?
Desgarro de ligamento colateral