Cardiovascular risk factors

Types of displaced fractures

Describing a radiograph

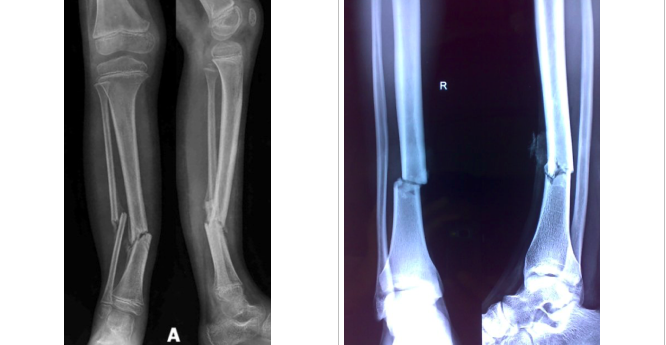
Describe this radiograph


Clinical features of a Fracture
Tip: Pain + CARDS (Crepitus, Adjacent structural injury, Redness, Deformity, Swelling)
Complications of Fractures
